JavaScript is disabled in your browser. Please enable JavaScript to view this website.
AB97563

Anti-Proteasome subunit alpha type 6 antibody

Be the first to review this product! Submit a review

|

(1 Publication)

Rabbit Polyclonal Proteasome subunit alpha type 6 antibody. Suitable for WB, IHC-P, ICC/IF and reacts with Mouse, Rat, Human samples. Cited in 1 publication. Immunogen corresponding to Recombinant Fragment Protein within Human PSMA6 aa 50 to C-terminus.

View Alternative Names

PROS27, PSMA6, Proteasome subunit alpha type-6, 27 kDa prosomal protein, Macropain iota chain, Multicatalytic endopeptidase complex iota chain, Proteasome iota chain, Proteasome subunit alpha-1, PROS-27, p27K, alpha-1

8 Images
Western blot - Anti-Proteasome subunit alpha type 6 antibody (AB97563)
  • WB

Supplier Data

Western blot - Anti-Proteasome subunit alpha type 6 antibody (AB97563)

All lanes:

Western blot - Anti-Proteasome subunit alpha type 6 antibody (ab97563) at 1/1000 dilution

All lanes:

mouse liver lysate at 50 µg

Predicted band size: 27 kDa

false

Immunohistochemistry (Formalin/PFA-fixed paraffin-embedded sections) - Anti-Proteasome subunit alpha type 6 antibody (AB97563)
  • IHC-P

Supplier Data

Immunohistochemistry (Formalin/PFA-fixed paraffin-embedded sections) - Anti-Proteasome subunit alpha type 6 antibody (AB97563)

Immunohistochemical analysis of paraffin-embedded mouse lung tissue staining Proteasome subunit alpha type 6 with ab97563 at 1/500 dilution.

Antigen Retrieval : Trilogy™ (EDTA based, pH 8.0) buffer, 15min.

Immunocytochemistry/ Immunofluorescence - Anti-Proteasome subunit alpha type 6 antibody (AB97563)
  • ICC/IF

Unknown

Immunocytochemistry/ Immunofluorescence - Anti-Proteasome subunit alpha type 6 antibody (AB97563)

ab97563, at a 1/200 dilution, staining Proteasome subunit alpha type 6 in paraformaldehyde-fixed A431 cells by Immunofluorescence analysis. Right image is merged with a DNA probe.

Western blot - Anti-Proteasome subunit alpha type 6 antibody (AB97563)
  • WB

Unknown

Western blot - Anti-Proteasome subunit alpha type 6 antibody (AB97563)

12% SDS PAGE

All lanes:

Western blot - Anti-Proteasome subunit alpha type 6 antibody (ab97563) at 1/1000 dilution

Lane 1:

293T whole cell lysate at 30 µg

Lane 2:

A431 whole cell lysate at 30 µg

Lane 3:

H1299 whole cell lysate at 30 µg

Lane 4:

HeLa whole cell lysate at 30 µg

Predicted band size: 27 kDa

false

Western blot - Anti-Proteasome subunit alpha type 6 antibody (AB97563)
  • WB

Supplier Data

Western blot - Anti-Proteasome subunit alpha type 6 antibody (AB97563)

All lanes:

Western blot - Anti-Proteasome subunit alpha type 6 antibody (ab97563) at 1/1000 dilution

All lanes:

rat liver lysate at 50 µg

Predicted band size: 27 kDa

false

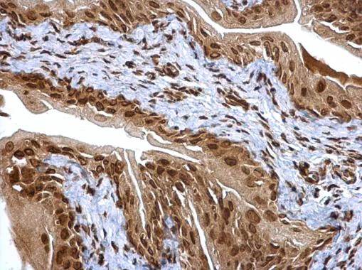
Immunohistochemistry (Formalin/PFA-fixed paraffin-embedded sections) - Anti-Proteasome subunit alpha type 6 antibody (AB97563)
  • IHC-P

Supplier Data

Immunohistochemistry (Formalin/PFA-fixed paraffin-embedded sections) - Anti-Proteasome subunit alpha type 6 antibody (AB97563)

Immunohistochemical analysis of paraffin-embedded mouse urinary bladder tissue staining Proteasome subunit alpha type 6 with ab97563 at 1/500 dilution.

Antigen Retrieval : Trilogy™ (EDTA based, pH 8.0) buffer, 15min.

Immunohistochemistry (Formalin/PFA-fixed paraffin-embedded sections) - Anti-Proteasome subunit alpha type 6 antibody (AB97563)
  • IHC-P

Supplier Data

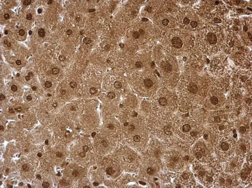
Immunohistochemistry (Formalin/PFA-fixed paraffin-embedded sections) - Anti-Proteasome subunit alpha type 6 antibody (AB97563)

Immunohistochemical analysis of paraffin-embedded mouse liver tissue staining Proteasome subunit alpha type 6 with ab97563 at 1/500 dilution.

Antigen Retrieval : Trilogy™ (EDTA based, pH 8.0) buffer, 15min.

Immunohistochemistry (Formalin/PFA-fixed paraffin-embedded sections) - Anti-Proteasome subunit alpha type 6 antibody (AB97563)
  • IHC-P

Unknown

Immunohistochemistry (Formalin/PFA-fixed paraffin-embedded sections) - Anti-Proteasome subunit alpha type 6 antibody (AB97563)

ab97563, at a 1/100 dilution, staining Proteasome subunit alpha type 6 in paraffin-embedded H1299 xenograft by Immunohistochemical analysis.

Key facts

Host species

Rabbit

Clonality

Polyclonal

Isotype

IgG

Carrier free

No

Reacts with

Mouse, Rat, Human

Applications

WB, IHC-P, ICC/IF

applications

Immunogen

Recombinant Fragment Protein within Human PSMA6 aa 50 to C-terminus. The exact immunogen used to generate this antibody is proprietary information.

P60900

Reactivity data

{ "title": "Reactivity Data", "filters": { "stats": ["", "Species", "Dilution Info", "Notes"], "tabs": { "all-applications": {"fullname" : "All Applications", "shortname": "All Applications"}, "WB" : {"fullname" : "Western blot", "shortname":"WB"}, "IHCP" : {"fullname" : "Immunohistochemistry (Formalin/PFA-fixed paraffin-embedded sections)", "shortname":"IHC-P"}, "ICCIF" : {"fullname" : "Immunocytochemistry/ Immunofluorescence", "shortname":"ICC/IF"} }, "product-promise": { "all": "all", "testedAndGuaranteed": "tested", "guaranteed": "expected", "predicted": "predicted", "notRecommended": "not-recommended" } }, "values": { "Human": { "WB-species-checked": "testedAndGuaranteed", "WB-species-dilution-info": "1/500.00000 - 1/3000.00000", "WB-species-notes": "<p></p>", "IHCP-species-checked": "testedAndGuaranteed", "IHCP-species-dilution-info": "1/100.00000 - 1/500.00000", "IHCP-species-notes": "<p></p>", "ICCIF-species-checked": "testedAndGuaranteed", "ICCIF-species-dilution-info": "1/100.00000 - 1/200.00000", "ICCIF-species-notes": "<p></p>" }, "Mouse": { "WB-species-checked": "testedAndGuaranteed", "WB-species-dilution-info": "1/500.00000 - 1/3000.00000", "WB-species-notes": "<p></p>", "IHCP-species-checked": "testedAndGuaranteed", "IHCP-species-dilution-info": "1/100.00000 - 1/500.00000", "IHCP-species-notes": "<p></p>", "ICCIF-species-checked": "guaranteed", "ICCIF-species-dilution-info": "", "ICCIF-species-notes": "" }, "Rat": { "WB-species-checked": "testedAndGuaranteed", "WB-species-dilution-info": "1/500.00000 - 1/3000.00000", "WB-species-notes": "<p></p>", "IHCP-species-checked": "guaranteed", "IHCP-species-dilution-info": "", "IHCP-species-notes": "", "ICCIF-species-checked": "guaranteed", "ICCIF-species-dilution-info": "", "ICCIF-species-notes": "" }, "Pig": { "WB-species-checked": "predicted", "WB-species-dilution-info": "", "WB-species-notes": "", "IHCP-species-checked": "predicted", "IHCP-species-dilution-info": "", "IHCP-species-notes": "", "ICCIF-species-checked": "predicted", "ICCIF-species-dilution-info": "", "ICCIF-species-notes": "" } } }

You may be interested in:

AB107921

Proteasome Activity Assay Kit

4

2 Reviews

View product

We recommend this product because it’s often used in the same experiment or related research.

We advise that you always check the datasheet to ensure it fits your experiments, or contact ourtechnical teamfor help.

Properties and storage information

Form
Liquid
Purification technique
Affinity purification Immunogen
Storage buffer
pH: 7 Preservative: 0.01% Thimerosal (merthiolate) Constituents: 20% Glycerol (glycerin, glycerine), 1.21% Tris, 0.75% Glycine
Shipped at conditions
Blue Ice
Appropriate short-term storage conditions
+4°C
Appropriate long-term storage conditions
-20°C
Aliquoting information
Upon delivery aliquot
Storage information
Avoid freeze / thaw cycle

Supplementary information

This supplementary information is collated from multiple sources and compiled automatically.

Proteasome subunit alpha type 6 also known as PSMA6 is a component of the 20S core particle of the proteasome complex. This protein has a molecular mass of approximately 28.4 kDa. PSMA6 occurs in the cytoplasm and nucleus of eukaryotic cells. The proteasome functions as a protease that degrades unneeded or damaged proteins by proteolysis a chemical reaction that breaks peptide bonds. PSMA6 plays a role in the assembly and structural integrity of the proteasome.
Biological function summary

The proteasome is essential for the ubiquitin-proteasome pathway which regulates protein turnover by degrading ubiquitinated proteins. As part of the 20S core complex PSMA6 contributes to unfolding and translocating substrates into proteolytic sites. This activity helps control various cellular processes such as cell cycle progression and transcription. Abnormalities in this protein can affect normal cellular functions and regulate apoptosis and DNA repair.

Pathways

Proteasome subunit alpha type 6 is important in the Wnt signaling pathway and the NF-kB signaling pathways. In the Wnt pathway the proteasome controls the degradation of β-catenin an important effector in this signaling cascade. In the NF-kB pathway it regulates the turnover of IκB proteins repressors of NF-kB transcription factors. Together these pathways play roles in cellular proliferation differentiation and inflammation.

Abnormalities in PSMA6 have been associated with disorders such as cancer and neurodegenerative diseases. In cancer dysregulation of proteasome activity can lead to uncontrolled cell growth and resistance to apoptosis. Correlations exist between proteasome function and proteins like p53 a tumor suppressor protein. In neurodegenerative diseases like Alzheimer's proteasome impairment affects protein aggregation and degradation of misfolded proteins. Understanding PSMA6's role contributes to therapeutic developments in these conditions.

Product protocols

For this product, it's our understanding that no specific protocols are required. You can visit:

Target data

Component of the 20S core proteasome complex involved in the proteolytic degradation of most intracellular proteins. This complex plays numerous essential roles within the cell by associating with different regulatory particles. Associated with two 19S regulatory particles, forms the 26S proteasome and thus participates in the ATP-dependent degradation of ubiquitinated proteins. The 26S proteasome plays a key role in the maintenance of protein homeostasis by removing misfolded or damaged proteins that could impair cellular functions, and by removing proteins whose functions are no longer required. Associated with the PA200 or PA28, the 20S proteasome mediates ubiquitin-independent protein degradation. This type of proteolysis is required in several pathways including spermatogenesis (20S-PA200 complex) or generation of a subset of MHC class I-presented antigenic peptides (20S-PA28 complex).
See full target information PSMA6

Publications (1)

Recent publications for all applications. Explore the full list and refine your search

Science signaling 9:ra86 PubMed27577261

2016

Distinct microenvironmental cues stimulate divergent TLR4-mediated signaling pathways in macrophages.

Applications

WB

Species

Unspecified reactive species

Anna M Piccinini,Lorena Zuliani-Alvarez,Jenny M P Lim,Kim S Midwood
View all publications

Product promise

We are committed to supporting your work with high-quality reagents, and we're here for you every step of the way. In the unlikely event that one of our products does not perform as expected, you're protected by our Product Promise.
For full details, please see our Terms & Conditions

Associated Products

Select an associated product type
Alternative Product
Primary Antibodies

AB109377

Anti-Proteasome subunit alpha type 6 antibody [EPR5835]

primary-antibodies

proteasome-subunit-alpha-type-6-antibody-epr5835-ab109377

5

(1 reviews)

Please note: All products are 'FOR RESEARCH USE ONLY. NOT FOR USE IN DIAGNOSTIC OR THERAPEUTIC PROCEDURES'.

For licensing inquiries, please contact partnerships@abcam.com