JavaScript is disabled in your browser. Please enable JavaScript to view this website.
AB249366

Anti-Proteasome subunit beta type 2/PSMB2 antibody [EPR8826(2)(B)] - BSA and Azide free

Be the first to review this product! Submit a review

|

(0 Publication)

Rabbit Recombinant Monoclonal Proteasome subunit beta type 2/PSMB2 antibody. Carrier free. Suitable for IHC-P, WB, Flow Cyt (Intra) and reacts with Human samples.

View Alternative Names

Proteasome subunit beta type-2, Macropain subunit C7-I, Multicatalytic endopeptidase complex subunit C7-I, Proteasome component C7-I, Proteasome subunit beta-4, beta-4, PSMB2

5 Images
Western blot - Anti-Proteasome subunit beta type 2/PSMB2 antibody [EPR8826(2)(B)] - BSA and Azide free (AB249366)
  • WB

Unknown

Western blot - Anti-Proteasome subunit beta type 2/PSMB2 antibody [EPR8826(2)(B)] - BSA and Azide free (AB249366)

This data was developed using ab166628, the same antibody clone in a different buffer formulation.

All lanes:

Western blot - Anti-Proteasome subunit beta type 2/PSMB2 antibody [EPR8826(2)(B)] (<a href='/en-us/products/primary-antibodies/proteasome-subunit-beta-type-2-psmb2-antibody-epr88262b-ab166628'>ab166628</a>) at 1/1000 dilution

All lanes:

immunoprecipitation pellet from HeLa (Human cervix adenocarcinoma epithelial cell) whole cell lysate at 10 µg

Secondary

All lanes:

HRP-conjugated anti-Rabbit IgG preferentially detecting the non-reduced form of Rabbit IgG

Predicted band size: 23 kDa

false

Western blot - Anti-Proteasome subunit beta type 2/PSMB2 antibody [EPR8826(2)(B)] - BSA and Azide free (AB249366)
  • WB

Unknown

Western blot - Anti-Proteasome subunit beta type 2/PSMB2 antibody [EPR8826(2)(B)] - BSA and Azide free (AB249366)

This data was developed using ab166628, the same antibody clone in a different buffer formulation.

All lanes:

Western blot - Anti-Proteasome subunit beta type 2/PSMB2 antibody [EPR8826(2)(B)] (<a href='/en-us/products/primary-antibodies/proteasome-subunit-beta-type-2-psmb2-antibody-epr88262b-ab166628'>ab166628</a>) at 1/1000 dilution

Lane 1:

Jurkat cell lysate at 10 µg

Lane 2:

HepG2 cell lysate at 10 µg

Lane 3:

HeLa cell lysate at 10 µg

Lane 4:

LoVo cell lysate at 10 µg

Predicted band size: 23 kDa

false

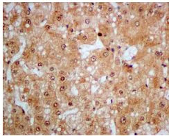
Immunohistochemistry (Formalin/PFA-fixed paraffin-embedded sections) - Anti-Proteasome subunit beta type 2/PSMB2 antibody [EPR8826(2)(B)] - BSA and Azide free (AB249366)
  • IHC-P

Unknown

Immunohistochemistry (Formalin/PFA-fixed paraffin-embedded sections) - Anti-Proteasome subunit beta type 2/PSMB2 antibody [EPR8826(2)(B)] - BSA and Azide free (AB249366)

This data was developed using ab166628, the same antibody clone in a different buffer formulation.

Immunohistochemical analysis of paraffin embedded Human liver tissue labeling Proteasome subunit beta type 2/PSMB2 with ab166628 at a 1/100 dilution.

Perform heat mediated antigen retrieval with citrate buffer pH 6 before commencing with IHC staining protocol.

Flow Cytometry (Intracellular) - Anti-Proteasome subunit beta type 2/PSMB2 antibody [EPR8826(2)(B)] - BSA and Azide free (AB249366)
  • Flow Cyt (Intra)

Unknown

Flow Cytometry (Intracellular) - Anti-Proteasome subunit beta type 2/PSMB2 antibody [EPR8826(2)(B)] - BSA and Azide free (AB249366)

This data was developed using ab166628, the same antibody clone in a different buffer formulation.

Intracellular flow cytometric analysis of permeabilized Jurkat cells using ab166628 at a 1/100 dilution (red) or a Rabbit IgG (negative) (green).

Immunohistochemistry (Formalin/PFA-fixed paraffin-embedded sections) - Anti-Proteasome subunit beta type 2/PSMB2 antibody [EPR8826(2)(B)] - BSA and Azide free (AB249366)
  • IHC-P

Unknown

Immunohistochemistry (Formalin/PFA-fixed paraffin-embedded sections) - Anti-Proteasome subunit beta type 2/PSMB2 antibody [EPR8826(2)(B)] - BSA and Azide free (AB249366)

This data was developed using ab166628, the same antibody clone in a different buffer formulation.

Immunohistochemical analysis of paraffin embedded Human gastric carcinoma tissue labeling Proteasome subunit beta type 2/PSMB2 with ab166628 at a 1/100 dilution.

Perform heat mediated antigen retrieval with citrate buffer pH 6 before commencing with IHC staining protocol.

  • Unconjugated

    Anti-Proteasome subunit beta type 2/PSMB2 antibody [EPR8826(2)(B)]

Key facts

Host species

Rabbit

Clonality

Monoclonal

Clone number

EPR8826(2)(B)

Isotype

IgG

Carrier free

Yes

Reacts with

Human

Applications

Flow Cyt (Intra), WB, IHC-P

applications

Immunogen

The exact immunogen used to generate this antibody is proprietary information.

Reactivity data

{ "title": "Reactivity Data", "filters": { "stats": ["", "Species", "Dilution Info", "Notes"], "tabs": { "all-applications": {"fullname" : "All Applications", "shortname": "All Applications"}, "IHCP" : {"fullname" : "Immunohistochemistry (Formalin/PFA-fixed paraffin-embedded sections)", "shortname":"IHC-P"}, "WB" : {"fullname" : "Western blot", "shortname":"WB"}, "FlowCytIntra" : {"fullname" : "Flow Cytometry (Intracellular)", "shortname":"Flow Cyt (Intra)"} }, "product-promise": { "all": "all", "testedAndGuaranteed": "tested", "guaranteed": "expected", "predicted": "predicted", "notRecommended": "not-recommended" } }, "values": { "Human": { "IHCP-species-checked": "testedAndGuaranteed", "IHCP-species-dilution-info": "", "IHCP-species-notes": "<p></p>", "WB-species-checked": "testedAndGuaranteed", "WB-species-dilution-info": "", "WB-species-notes": "<p></p>", "FlowCytIntra-species-checked": "testedAndGuaranteed", "FlowCytIntra-species-dilution-info": "", "FlowCytIntra-species-notes": "<p></p>" }, "Mouse": { "IHCP-species-checked": "predicted", "IHCP-species-dilution-info": "", "IHCP-species-notes": "", "WB-species-checked": "predicted", "WB-species-dilution-info": "", "WB-species-notes": "", "FlowCytIntra-species-checked": "predicted", "FlowCytIntra-species-dilution-info": "", "FlowCytIntra-species-notes": "" }, "Rat": { "IHCP-species-checked": "predicted", "IHCP-species-dilution-info": "", "IHCP-species-notes": "", "WB-species-checked": "predicted", "WB-species-dilution-info": "", "WB-species-notes": "", "FlowCytIntra-species-checked": "predicted", "FlowCytIntra-species-dilution-info": "", "FlowCytIntra-species-notes": "" } } }

Product details

ab249366 is the carrier-free version of ab166628.

Patented technology
Our RabMAb® technology is a patented hybridoma-based technology for making rabbit monoclonal antibodies. For details on our patents, please refer to RabMAb® patents.

What are the advantages of a recombinant monoclonal antibody?
This product is a recombinant monoclonal antibody, which offers several advantages including:

  • - High batch-to-batch consistency and reproducibility
  • - Improved sensitivity and specificity
  • - Long-term security of supply
  • - Animal-free batch production

For more information, read more on recombinant antibodies.

Conjugation ready
Our carrier-free antibodies are typically supplied in a PBS-only formulation, purified and free of BSA, sodium azide and glycerol. This conjugation-ready format is designed for use with fluorochromes, metal isotopes, oligonucleotides, and enzymes, which makes them ideal for antibody labelling, functional and cell-based assays, flow-based assays (e.g. mass cytometry) and Multiplex Imaging applications.

Use our conjugation kits for antibody conjugates that are ready-to-use in as little as 20 minutes with 1 minute hands-on-time and 100% antibody recovery: available for fluorescent dyes, HRP, biotin and gold.

Compatibility
This product is compatible with the Maxpar® Antibody Labeling Kit from Fluidigm, without the need for antibody preparation. Maxpar® is a trademark of Fluidigm Canada Inc.

Properties and storage information

Form
Liquid
Purification technique
Affinity purification
Storage buffer
pH: 7.2 - 7.4 Constituents: PBS
Shipped at conditions
Blue Ice
Appropriate short-term storage conditions
+4°C
Appropriate long-term storage conditions
+4°C
Storage information
Do Not Freeze

Supplementary information

This supplementary information is collated from multiple sources and compiled automatically.

Proteasome subunit beta type 2 also known as PSMB2 is a part of the proteasome complex which plays an important role in protein degradation. PSMB2 has a mass of about 22 kDa and functions within the multi-catalytic proteinase complex known as the 20S proteasome core particle. This protein is expressed in various tissues with significant activities found in cells that demand high protein turnover. PSMB2 contributes to the proteasome's chymotrypsin-like activity aiding in the breakdown of damaged or unneeded proteins into peptides.
Biological function summary

Proteasome subunit beta type 2 is essential in maintaining protein homeostasis. It functions as a component of the 20S core of the 26S proteasome where it participates in degrading ubiquitin-tagged proteins. This complex also regulates multiple cellular processes including cell cycle progression and signal transduction. Proper function of PSMB2 is necessary for removing misfolded or damaged proteins thereby preventing their accumulation which could be toxic to cells.

Pathways

Proteasome subunit beta type 2 has a role in the ubiquitin-proteasome pathway which is important for protein degradation and turnover. This pathway contributes to important cellular processes such as DNA repair and antigen processing. PSMB2 in this context is linked to other proteins like ubiquitin-ligase that mediate the tagging of proteins for degradation. Another pathway involving PSMB2 is the NF-kB signaling pathway which controls inflammatory responses and immune system regulation.

Proteasome subunit beta type 2 has been implicated in neurodegenerative diseases like Parkinson’s. The dysregulation or malfunctioning of the proteasome complex might result in protein aggregation seen in such disorders. Additionally PSMB2 is associated with certain cancers due to its role in regulating apoptosis and cellular proliferative activities. Proteins like p53 which is important for tumor suppression are related to PSMB2 through these disease mechanisms highlighting its significance in maintaining normal cellular function and preventing disease progression.

Product protocols

For this product, it's our understanding that no specific protocols are required. You can visit:

Target data

Non-catalytic component of the 20S core proteasome complex involved in the proteolytic degradation of most intracellular proteins. This complex plays numerous essential roles within the cell by associating with different regulatory particles. Associated with two 19S regulatory particles, forms the 26S proteasome and thus participates in the ATP-dependent degradation of ubiquitinated proteins. The 26S proteasome plays a key role in the maintenance of protein homeostasis by removing misfolded or damaged proteins that could impair cellular functions, and by removing proteins whose functions are no longer required. Associated with the PA200 or PA28, the 20S proteasome mediates ubiquitin-independent protein degradation. This type of proteolysis is required in several pathways including spermatogenesis (20S-PA200 complex) or generation of a subset of MHC class I-presented antigenic peptides (20S-PA28 complex).
See full target information PSMB2

Product promise

We are committed to supporting your work with high-quality reagents, and we're here for you every step of the way. In the unlikely event that one of our products does not perform as expected, you're protected by our Product Promise.
For full details, please see our Terms & Conditions

Please note: All products are 'FOR RESEARCH USE ONLY. NOT FOR USE IN DIAGNOSTIC OR THERAPEUTIC PROCEDURES'.

For licensing inquiries, please contact partnerships@abcam.com