JavaScript is disabled in your browser. Please enable JavaScript to view this website.
AB250607

Anti-Protein CASP antibody [EPR18806] - BSA and Azide free

Be the first to review this product! Submit a review

|

(1 Publication)

Rabbit Recombinant Monoclonal Protein CASP antibody. Carrier free. Suitable for ICC/IF, IP, WB, Flow Cyt (Intra) and reacts with Mouse, Human, Rat samples. Cited in 1 publication.

View Alternative Names

CUTL1, CUX1, Protein CASP

9 Images
Flow Cytometry (Intracellular) - Anti-Protein CASP antibody [EPR18806] - BSA and Azide free (AB250607)
  • Flow Cyt (Intra)

Supplier Data

Flow Cytometry (Intracellular) - Anti-Protein CASP antibody [EPR18806] - BSA and Azide free (AB250607)

This data was developed using ab182216, the same antibody clone in a different buffer formulation.

Intracellular flow cytometric analysis of 4% paraformaldehyde-fixed U-87 MG (Human glioblastoma-astrocytoma epithelial cell line) cells labeling Protein CASP with ab182216 at 1/60 dilution (red) compared with a Rabbit IgG,monoclonal [EPR25A] -Isotype control (ab172730) (black) and an unlabelled control (cells without incubation with primary antibody and secondary antibody) (blue). Goat anti Rabbit IgG (Alexa Fluor® 488) at 1/500 dilution was used as the secondary antibody.

Note : Cells were permeabilized with 90% methanol (in 1XPBS).

Immunocytochemistry/ Immunofluorescence - Anti-Protein CASP antibody [EPR18806] - BSA and Azide free (AB250607)
  • ICC/IF

Supplier Data

Immunocytochemistry/ Immunofluorescence - Anti-Protein CASP antibody [EPR18806] - BSA and Azide free (AB250607)

This data was developed using ab182216, the same antibody clone in a different buffer formulation.

Immunofluorescent analysis of 4% paraformaldehyde-fixed, 0.1% Triton X-100 permeabilized U-87 MG (Human glioblastoma-astrocytoma epithelial cell line) cells labeling Protein CASP with ab182216 at 1/100 dilution, followed by Goat Anti-Rabbit IgG (Alexa Fluor® 488) (ab150077) secondary antibody at 1/1000 dilution (green). Confocal image showing specific but weak cytoplasmic staining on U-87 MG cells. The nuclear counter stain is DAPI (blue). Tubulin is detected with Anti-alpha Tubulin antibody - Loading Control (ab7291) at 1/1000 dilution and Goat Anti-Mouse IgG (AlexaFluor®594) preadsorbed (ab150120) at 1/1000 dilution (red).

The negative controls are as follows :

-ve control 1 : ab210528 at 1/100 dilution followed by ab150120 at 1/1000 dilution.

-ve control 2 : ab7291 at 1/1000 dilution followed by ab150077 at 1/1000 dilution.

Immunoprecipitation - Anti-Protein CASP antibody [EPR18806] - BSA and Azide free (AB250607)
  • IP

Supplier Data

Immunoprecipitation - Anti-Protein CASP antibody [EPR18806] - BSA and Azide free (AB250607)

This data was developed using ab182216, the same antibody clone in a different buffer formulation.

Protein CASP was immunoprecipitated from 1mg of HepG2 (Human liver hepatocellular carcinoma cell line) whole cell lysate with ab182216 at 1/40 dilution. Western blot was performed from the immunoprecipitate using ab182216 at 1/1000 dilution. VeriBlot for IP Detection Reagent (HRP) (ab131366), was used for detection at 1/10000 dilution.

Lane 1 : HepG2 whole cell lysate, 10μg (Input).
Lane 2 : ab182216 IP in HepG2 whole cell lysate.
Lane 3 : Rabbit IgG, [EPR25A] - Isotype Control (ab172730) instead of ab182216 in HepG2 whole cell lysate.

Blocking and dilution buffer and concentration : 5% NFDM/TBST.

Exposure time : 3 seconds.

All lanes:

Immunoprecipitation - Anti-Protein CASP antibody [EPR18806] (<a href='/en-us/products/primary-antibodies/protein-casp-antibody-epr18806-ab182216'>ab182216</a>)

Predicted band size: 77 kDa

false

Immunocytochemistry/ Immunofluorescence - Anti-Protein CASP antibody [EPR18806] - BSA and Azide free (AB250607)
  • ICC/IF

Unknown

Immunocytochemistry/ Immunofluorescence - Anti-Protein CASP antibody [EPR18806] - BSA and Azide free (AB250607)

This data was developed using ab182216, the same antibody clone in a different buffer formulation.

Immunofluorescent analysis of 4% paraformaldehyde-fixed, 0.1% Triton X-100 permeabilized NIH/3T3 (Mouse embryonic fibroblast cell line) cells labeling Protein CASP with ab182216 at 1/100 dilution, followed by Goat Anti-Rabbit IgG (Alexa Fluor® 488) (ab150077) secondary antibody at 1/1000 dilution (green). Confocal image showing specific but weak cytoplasmic staining on NIH/3T3 cells. The nuclear counter stain is DAPI (blue). Tubulin is detected with Anti-alpha Tubulin antibody - Loading Control (ab7291) at 1/1000 dilution and Goat Anti-Mouse IgG (AlexaFluor®594) preadsorbed (ab150120) at 1/1000 dilution (red).

The negative controls are as follows :

-ve control 1 : ab210528 at 1/100 dilution followed by ab150120 at 1/1000 dilution.

-ve control 2 : ab7291 at 1/1000 dilution followed by ab150077 at 1/1000 dilution.

Flow Cytometry (Intracellular) - Anti-Protein CASP antibody [EPR18806] - BSA and Azide free (AB250607)
  • Flow Cyt (Intra)

Supplier Data

Flow Cytometry (Intracellular) - Anti-Protein CASP antibody [EPR18806] - BSA and Azide free (AB250607)

This data was developed using ab182216, the same antibody clone in a different buffer formulation.

Intracellular flow cytometric analysis of 4% paraformaldehyde-fixed NIH/3T3 (Mouse embryonic fibroblast cell line) cells labeling Protein CASP with ab182216 at 1/120 dilution (red) compared with a Rabbit IgG,monoclonal [EPR25A] - Isotype control (ab172730) (black) and an unlabelled control (cells without incubation with primary antibody and secondary antibody) (blue). Goat anti Rabbit IgG (Alexa Fluor® 488) at 1/500 dilution was used as the secondary antibody.

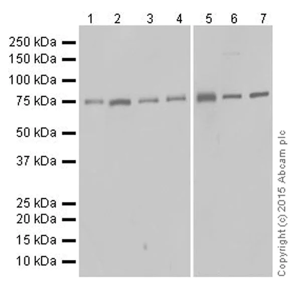
Western blot - Anti-Protein CASP antibody [EPR18806] - BSA and Azide free (AB250607)
  • WB

Supplier Data

Western blot - Anti-Protein CASP antibody [EPR18806] - BSA and Azide free (AB250607)

This data was developed using ab182216, the same antibody clone in a different buffer formulation.

Blocking and dilution buffer : 5% NFDM/TBST.

Exposure time : Lanes 1-4 : 3 minutes; Lanes 5-7 : 30 seconds.

All lanes:

Western blot - Anti-Protein CASP antibody [EPR18806] (<a href='/en-us/products/primary-antibodies/protein-casp-antibody-epr18806-ab182216'>ab182216</a>) at 1/2000 dilution

Lane 1:

Rat testis lysate at 20 µg

Lane 2:

Rat cerebral cortex lysate at 20 µg

Lane 3:

Mouse cerebral cortex lysate at 20 µg

Lane 4:

Neuro-2a (Mouse neuroblastoma cell line) whole cell lysate at 20 µg

Lane 5:

Mouse testis lysate at 20 µg

Lane 6:

HeLa (Human epithelial cell line from cervix adenocarcinoma) whole cell lysate at 20 µg

Lane 7:

HepG2 (Human liver hepatocellular carcinoma cell line) whole cell lysate at 20 µg

Secondary

All lanes:

Western blot - Goat Anti-Rabbit IgG H&L (HRP) (<a href='/en-us/products/secondary-antibodies/goat-rabbit-igg-h-l-hrp-ab97051'>ab97051</a>) at 1/100000 dilution

Predicted band size: 77 kDa

Observed band size: 77 kDa

false

Western blot - Anti-Protein CASP antibody [EPR18806] - BSA and Azide free (AB250607)
  • WB

Supplier Data

Western blot - Anti-Protein CASP antibody [EPR18806] - BSA and Azide free (AB250607)

This data was developed using ab182216, the same antibody clone in a different buffer formulation.

Blocking and dilution buffer : 5% NFDM/TBST.

Exposure times : Lanes 1-2 : 30 seconds; Lane 3 : 3 minutes.

All lanes:

Western blot - Anti-Protein CASP antibody [EPR18806] (<a href='/en-us/products/primary-antibodies/protein-casp-antibody-epr18806-ab182216'>ab182216</a>) at 1/2000 dilution

Lane 1:

HEK-293 (Human epithelial cell line from embryonic kidney) whole cell lysate at 10 µg

Lane 2:

SH-SY5Y (Human neuroblastoma cell line from bone marrow) whole cell lysate at 10 µg

Lane 3:

U-87 MG (Human glioblastoma-astrocytoma epithelial cell line) whole cell lysate at 10 µg

Secondary

All lanes:

Western blot - Goat Anti-Rabbit IgG H&L (HRP) (<a href='/en-us/products/secondary-antibodies/goat-rabbit-igg-h-l-hrp-ab97051'>ab97051</a>) at 1/100000 dilution

Predicted band size: 77 kDa

Observed band size: 77 kDa

false

Western blot - Anti-Protein CASP antibody [EPR18806] - BSA and Azide free (AB250607)
  • WB

Supplier Data

Western blot - Anti-Protein CASP antibody [EPR18806] - BSA and Azide free (AB250607)

This data was developed using ab182216, the same antibody clone in a different buffer formulation.

Blocking and dilution buffer : 5% NFDM/TBST.

All lanes:

Western blot - Anti-Protein CASP antibody [EPR18806] (<a href='/en-us/products/primary-antibodies/protein-casp-antibody-epr18806-ab182216'>ab182216</a>) at 1/2000 dilution

Lane 1:

Human fetal liver lysate at 10 µg

Lane 2:

Human fetal heart lysate at 10 µg

Secondary

All lanes:

Goat Anti-Rabbit IgG Peroxidase Conjugate, specific to the non-reduced form of IgG at 1/100000 dilution

Predicted band size: 77 kDa

Observed band size: 77 kDa

false

Exposure time: 30s

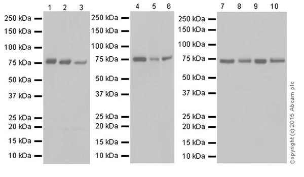
Western blot - Anti-Protein CASP antibody [EPR18806] - BSA and Azide free (AB250607)
  • WB

Supplier Data

Western blot - Anti-Protein CASP antibody [EPR18806] - BSA and Azide free (AB250607)

This data was developed using ab182216, the same antibody clone in a different buffer formulation.

Blocking and dilution buffer : 5% NFDM/TBST.

Exposure times : Lanes 1-6 : 30 seconds; Lanes 7-10 : 8 seconds.

All lanes:

Western blot - Anti-Protein CASP antibody [EPR18806] (<a href='/en-us/products/primary-antibodies/protein-casp-antibody-epr18806-ab182216'>ab182216</a>) at 1/2000 dilution

Lane 1:

Mouse brain lysate at 10 µg

Lane 2:

Mouse kidney lysate at 10 µg

Lane 3:

Mouse spleen lysate at 10 µg

Lane 4:

Rat brain lysate at 10 µg

Lane 5:

Rat heart lysate at 10 µg

Lane 6:

Rat spleen lysate at 10 µg

Lane 7:

C6 (Rat glial tumor cell line) whole cell lysate at 10 µg

Lane 8:

RAW 264.7 (Mouse macrophage cell line transformed with Abelson murine leukemia virus) whole cell lysate at 10 µg

Lane 9:

PC-12 (Rat adrenal gland pheochromocytoma cell line) whole cell lysate at 10 µg

Lane 10:

NIH/3T3 (Mouse embryonic fibroblast cell line) whole cell lysate at 10 µg

Secondary

All lanes:

Western blot - Goat Anti-Rabbit IgG H&L (HRP) (<a href='/en-us/products/secondary-antibodies/goat-rabbit-igg-h-l-hrp-ab97051'>ab97051</a>) at 1/100000 dilution

Predicted band size: 77 kDa,85 kDa

Observed band size: 77 kDa

false

Key facts

Host species

Rabbit

Clonality

Monoclonal

Clone number

EPR18806

Isotype

IgG

Carrier free

Yes

Reacts with

Mouse, Rat, Human

Applications

Flow Cyt (Intra), IP, WB, ICC/IF

applications

Immunogen

The exact immunogen used to generate this antibody is proprietary information.

Reactivity data

{ "title": "Reactivity Data", "filters": { "stats": ["", "Species", "Dilution Info", "Notes"], "tabs": { "all-applications": {"fullname" : "All Applications", "shortname": "All Applications"}, "ICCIF" : {"fullname" : "Immunocytochemistry/ Immunofluorescence", "shortname":"ICC/IF"}, "IP" : {"fullname" : "Immunoprecipitation", "shortname":"IP"}, "WB" : {"fullname" : "Western blot", "shortname":"WB"}, "FlowCytIntra" : {"fullname" : "Flow Cytometry (Intracellular)", "shortname":"Flow Cyt (Intra)"} }, "product-promise": { "all": "all", "testedAndGuaranteed": "tested", "guaranteed": "expected", "predicted": "predicted", "notRecommended": "not-recommended" } }, "values": { "Human": { "ICCIF-species-checked": "testedAndGuaranteed", "ICCIF-species-dilution-info": "", "ICCIF-species-notes": "<p><a href='/en-us/products/primary-antibodies/protein-casp-antibody-epr18806-ab182216'>ab182216</a> binds weakly in ICC</p>", "IP-species-checked": "testedAndGuaranteed", "IP-species-dilution-info": "", "IP-species-notes": "<p></p>", "WB-species-checked": "testedAndGuaranteed", "WB-species-dilution-info": "", "WB-species-notes": "<p></p>", "FlowCytIntra-species-checked": "testedAndGuaranteed", "FlowCytIntra-species-dilution-info": "", "FlowCytIntra-species-notes": "<p></p>" }, "Mouse": { "ICCIF-species-checked": "testedAndGuaranteed", "ICCIF-species-dilution-info": "", "ICCIF-species-notes": "<p><a href='/en-us/products/primary-antibodies/protein-casp-antibody-epr18806-ab182216'>ab182216</a> binds weakly in ICC</p>", "IP-species-checked": "guaranteed", "IP-species-dilution-info": "", "IP-species-notes": "", "WB-species-checked": "testedAndGuaranteed", "WB-species-dilution-info": "", "WB-species-notes": "<p></p>", "FlowCytIntra-species-checked": "testedAndGuaranteed", "FlowCytIntra-species-dilution-info": "", "FlowCytIntra-species-notes": "<p></p>" }, "Rat": { "ICCIF-species-checked": "guaranteed", "ICCIF-species-dilution-info": "", "ICCIF-species-notes": "", "IP-species-checked": "guaranteed", "IP-species-dilution-info": "", "IP-species-notes": "", "WB-species-checked": "testedAndGuaranteed", "WB-species-dilution-info": "", "WB-species-notes": "<p></p>", "FlowCytIntra-species-checked": "guaranteed", "FlowCytIntra-species-dilution-info": "", "FlowCytIntra-species-notes": "" } } }

Product details

ab250607 is the carrier-free version of ab182216.

Patented technology
Our RabMAb® technology is a patented hybridoma-based technology for making rabbit monoclonal antibodies. For details on our patents, please refer to RabMAb® patents.

What are the advantages of a recombinant monoclonal antibody?
This product is a recombinant monoclonal antibody, which offers several advantages including:

  • - High batch-to-batch consistency and reproducibility
  • - Improved sensitivity and specificity
  • - Long-term security of supply
  • - Animal-free batch production

For more information, read more on recombinant antibodies.

Conjugation ready
Our carrier-free antibodies are typically supplied in a PBS-only formulation, purified and free of BSA, sodium azide and glycerol. This conjugation-ready format is designed for use with fluorochromes, metal isotopes, oligonucleotides, and enzymes, which makes them ideal for antibody labelling, functional and cell-based assays, flow-based assays (e.g. mass cytometry) and Multiplex Imaging applications.

Use our conjugation kits for antibody conjugates that are ready-to-use in as little as 20 minutes with 1 minute hands-on-time and 100% antibody recovery: available for fluorescent dyes, HRP, biotin and gold.

Compatibility
This product is compatible with the Maxpar® Antibody Labeling Kit from Fluidigm, without the need for antibody preparation. Maxpar® is a trademark of Fluidigm Canada Inc.

Properties and storage information

Form
Liquid
Purification technique
Affinity purification Protein A
Storage buffer
pH: 7.2 - 7.4 Constituents: PBS
Shipped at conditions
Blue Ice
Appropriate short-term storage conditions
+4°C
Appropriate long-term storage conditions
+4°C
Storage information
Do Not Freeze

Supplementary information

This supplementary information is collated from multiple sources and compiled automatically.

Protein CASP also known as Caspase or CASP protein is an important player in the process of apoptosis. Caspases are cysteine-aspartic proteases that exist as inactive proenzymes made of a prodomain large and small subunits. Upon activation caspases cleave substrates after aspartic acid residues. The Caspase family proteins have similar structures with molecular masses around 20 kDa to 40 kDa. CASP proteins are widely expressed across different tissues in the body. Activation can happen through intrinsic and extrinsic pathways enabling them to mediate the orderly dismantling of cellular components.
Biological function summary

Protein CASP acts as an executioner enzyme in cell death. It forms part of intricate protein complexes notably the apoptosome which includes APAF1 and cytochrome c. Once activated CASP proteins initiate a cascade of proteolytic events that lead to the dismantling of the cell. This process is tightly regulated and is essential for maintaining homeostasis and tissue development. Other caspases work upstream to activate downstream executioner caspases further highlighting the protein's role in these biological functions.

Pathways

Protein CASP plays a significant role in apoptotic signaling pathways. It is pivotal in both the extrinsic and intrinsic apoptotic pathways. In the extrinsic pathway proteins such as FADD and DISC interact with CASP-8 to trigger apoptosis. The intrinsic pathway includes the release of cytochrome c which partners with APAF1 leading to the activation of CASP-9 and subsequently other caspases. This cascade illustrates the interconnected nature of apoptotic signaling with other molecular pathways ensuring the precise regulation of cell death.

Protein CASP is associated with cancer and neurodegenerative diseases. Dysregulation of CASP activity can result in either excessive cell death or survival contributing to disease pathogenesis. In cancers often CASP activity is impaired allowing cancer cells to evade apoptosis and proliferate unchecked. In neurodegenerative disorders such as Alzheimer's abnormal CASP activation contributes to neuronal loss. The interaction between CASP proteins and BCL-2 family members highlights their role in these diseases emphasizing the therapeutic targeting potential in modulating CASP activity.

Product protocols

For this product, it's our understanding that no specific protocols are required. You can visit:

Target data

May be involved in intra-Golgi retrograde transport.
See full target information CUX1

Publications (1)

Recent publications for all applications. Explore the full list and refine your search

Oncology letters 26:458 PubMed37736555

2023

S100A6 is a potential diagnostic and prognostic biomarker for human glioma.

Applications

Unspecified application

Species

Unspecified reactive species

Bo Hong,Hui Zhang,Yufei Xiao,Lingwei Shen,Yun Qian
View all publications

Product promise

We are committed to supporting your work with high-quality reagents, and we're here for you every step of the way. In the unlikely event that one of our products does not perform as expected, you're protected by our Product Promise.
For full details, please see our Terms & Conditions

Please note: All products are 'FOR RESEARCH USE ONLY. NOT FOR USE IN DIAGNOSTIC OR THERAPEUTIC PROCEDURES'.

For licensing inquiries, please contact partnerships@abcam.com