JavaScript is disabled in your browser. Please enable JavaScript to view this website.
AB73948

Anti-Protein phosphatase 1 inhibitor subunit 2 antibody

Be the first to review this product! Submit a review

|

(0 Publication)

Rabbit Polyclonal Protein phosphatase 1 inhibitor subunit 2 antibody. Suitable for WB, IHC-P and reacts with Human samples. Immunogen corresponding to Synthetic Peptide within Human PPP1R2.

View Alternative Names

IPP2, PPP1R2, Protein phosphatase inhibitor 2, IPP-2

2 Images
Western blot - Anti-Protein phosphatase 1 inhibitor subunit 2 antibody (AB73948)
  • WB

Unknown

Western blot - Anti-Protein phosphatase 1 inhibitor subunit 2 antibody (AB73948)

All lanes:

Western blot - Anti-Protein phosphatase 1 inhibitor subunit 2 antibody (ab73948) at 1/500 dilution

Lane 1:

Extracts from Jurkat cells at 5 µg

Lane 2:

Extracts from Jurkat cells at 5 µg with immunising peptide

Predicted band size: 23 kDa

Observed band size: 25 kDa

false

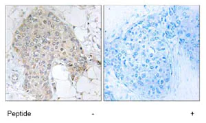
Immunohistochemistry (Formalin/PFA-fixed paraffin-embedded sections) - Anti-Protein phosphatase 1 inhibitor subunit 2 antibody (AB73948)
  • IHC-P

Unknown

Immunohistochemistry (Formalin/PFA-fixed paraffin-embedded sections) - Anti-Protein phosphatase 1 inhibitor subunit 2 antibody (AB73948)

Immunohistochemistry analysis of paraffin-embedded human breast carcinoma tissue using ab73948, at 1/50 dilution, in the presence (right panel) or absence (left panel) of immunising peptide.

Key facts

Host species

Rabbit

Clonality

Polyclonal

Isotype

IgG

Carrier free

No

Reacts with

Human

Applications

IHC-P, WB

applications

Immunogen

Synthetic Peptide within Human PPP1R2. The exact immunogen used to generate this antibody is proprietary information.

P41236

Reactivity data

{ "title": "Reactivity Data", "filters": { "stats": ["", "Species", "Dilution Info", "Notes"], "tabs": { "all-applications": {"fullname" : "All Applications", "shortname": "All Applications"}, "WB" : {"fullname" : "Western blot", "shortname":"WB"}, "IHCP" : {"fullname" : "Immunohistochemistry (Formalin/PFA-fixed paraffin-embedded sections)", "shortname":"IHC-P"} }, "product-promise": { "all": "all", "testedAndGuaranteed": "tested", "guaranteed": "expected", "predicted": "predicted", "notRecommended": "not-recommended" } }, "values": { "Human": { "WB-species-checked": "testedAndGuaranteed", "WB-species-dilution-info": "1/500.00000 - 1/1000.00000", "WB-species-notes": "<p></p>", "IHCP-species-checked": "testedAndGuaranteed", "IHCP-species-dilution-info": "1/50.00000 - 1/100.00000", "IHCP-species-notes": "<p></p>" }, "Mouse": { "WB-species-checked": "predicted", "WB-species-dilution-info": "", "WB-species-notes": "", "IHCP-species-checked": "predicted", "IHCP-species-dilution-info": "", "IHCP-species-notes": "" }, "Rat": { "WB-species-checked": "predicted", "WB-species-dilution-info": "", "WB-species-notes": "", "IHCP-species-checked": "predicted", "IHCP-species-dilution-info": "", "IHCP-species-notes": "" } } }

Properties and storage information

Form
Liquid
Purification technique
Affinity purification Immunogen
Storage buffer
pH: 7.4 Preservative: 0.02% Sodium azide Constituents: PBS, 50% Glycerol (glycerin, glycerine), 0.87% Sodium chloride
Shipped at conditions
Blue Ice
Appropriate short-term storage conditions
+4°C
Appropriate long-term storage conditions
-20°C
Storage information
Stable for 12 months at -20°C

Supplementary information

This supplementary information is collated from multiple sources and compiled automatically.

The Protein Phosphatase 1 Inhibitor Subunit 2 often abbreviated as PPP1R2 functions as a regulatory protein that inhibits the activity of Protein Phosphatase 1 (PP1). PP1 is an important enzyme in various cellular processes including cell division and glycogen metabolism. PPP1R2 has a molecular mass of approximately 20 kDa. This inhibitory protein is ubiquitously expressed throughout different tissues indicating its role in fundamental cellular functions.
Biological function summary

PPP1R2 plays a critical role in cellular regulation by modulating PP1 activity. It forms a complex with PP1 in which PPP1R2 binds directly to the catalytic subunit of PP1 inhibiting its phosphatase activity. By controlling PP1 activity PPP1R2 impacts processes like muscle contraction protein synthesis and neuronal signaling making it an active participant in maintaining cellular homeostasis.

Pathways

PPP1R2 functions within important signaling and dephosphorylation pathways. It is notably involved in the glycogen metabolism pathway where it regulates PP1 activity influencing glycogen synthesis and breakdown. Additionally it participates in the cell cycle regulation pathway interacting with other proteins such as PP1 to control cell proliferation and division. The regulation of these pathways by PPP1R2 highlights its importance in key cellular activities.

PPP1R2's dysregulation can associate with several conditions. For instance alterations in PPP1R2 levels have implications in neurodegenerative diseases like Alzheimer's Disease since it affects neuronal protein dephosphorylation. Furthermore abnormal PPP1R2 expression can link to metabolic disorders including Type 2 Diabetes due to its role in glycogen metabolism. In these diseases its interaction with other proteins like PP1 and insulin signaling components is significant highlighting its potential as a therapeutic target.

Product protocols

For this product, it's our understanding that no specific protocols are required. You can visit:

Target data

Inhibitor of protein-phosphatase 1.
See full target information PPP1R2

Product promise

We are committed to supporting your work with high-quality reagents, and we're here for you every step of the way. In the unlikely event that one of our products does not perform as expected, you're protected by our Product Promise.
For full details, please see our Terms & Conditions

Associated Products

Select an associated product type
Alternative Product
Primary Antibodies

AB27850

Anti-Protein phosphatase 1 inhibitor subunit 2 (phospho T72) antibody

primary-antibodies

protein-phosphatase-1-inhibitor-subunit-2-phospho-t72-antibody-ab27850

0

(0 reviews)

Please note: All products are 'FOR RESEARCH USE ONLY. NOT FOR USE IN DIAGNOSTIC OR THERAPEUTIC PROCEDURES'.

For licensing inquiries, please contact partnerships@abcam.com