JavaScript is disabled in your browser. Please enable JavaScript to view this website.
AB280885

Anti-Protein S antibody [EPR24509-70]

  • BOND RX™ Validated
  • 20ul selling size
  • RabMAb
  • Recombinant
  • What is this?

Be the first to review this product! Submit a review

|

(2 Publications)

Rabbit Recombinant Monoclonal Protein S antibody. Suitable for IP, WB, IHC-P and reacts with Human samples. Cited in 2 publications.

View Alternative Names

PROS, PROS1, Vitamin K-dependent protein S

6 Images
Immunohistochemistry (Formalin/PFA-fixed paraffin-embedded sections) - Anti-Protein S antibody [EPR24509-70] (AB280885)
  • IHC-P

Supplier Data

Immunohistochemistry (Formalin/PFA-fixed paraffin-embedded sections) - Anti-Protein S antibody [EPR24509-70] (AB280885)

Immunohistochemical analysis of paraffin-embedded Human pancreas tissue labelling Protein S with ab280885 at 1/1000 dilution (1.603 ug/ml) followed by a ready to use Rabbit specific IHC polymer detection kit HRP/DAB (ab209101). Negative control : no staining on human pancreas (PMID : 7822769). The section was incubated with ab280885 for 30 mins at room temperature. The immunostaining was performed on a Leica Biosystems BOND® RX instrument. Counterstained with Hematoxylin.

Secondary antibody only control : Secondary antibody is a ready to use Rabbit specific IHC polymer detection kit HRP/DAB (ab209101).

Heat mediated antigen retrieval with Tris-EDTA buffer (pH 9.0, epitope retrieval solution2) for 20 mins.

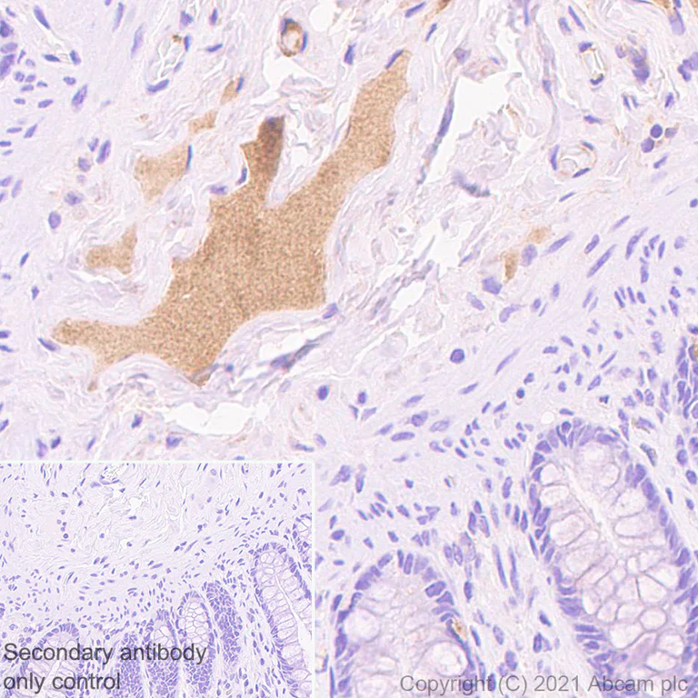
Immunohistochemistry (Formalin/PFA-fixed paraffin-embedded sections) - Anti-Protein S antibody [EPR24509-70] (AB280885)
  • IHC-P

Supplier Data

Immunohistochemistry (Formalin/PFA-fixed paraffin-embedded sections) - Anti-Protein S antibody [EPR24509-70] (AB280885)

Immunohistochemical analysis of paraffin-embedded Human colon tissue labelling Protein S with ab280885 at 1/1000 dilution (1.603 ug/ml) followed by a ready to use Rabbit specific IHC polymer detection kit HRP/DAB (ab209101). Positive staining on the plasma in human colon. The section was incubated with ab280885 for 30 mins at room temperature. The immunostaining was performed on a Leica Biosystems BOND® RX instrument. Counterstained with Hematoxylin.

Secondary antibody only control : Secondary antibody is a ready to use Rabbit specific IHC polymer detection kit HRP/DAB (ab209101).

Heat mediated antigen retrieval with Tris-EDTA buffer (pH 9.0, epitope retrieval solution2) for 20 mins.

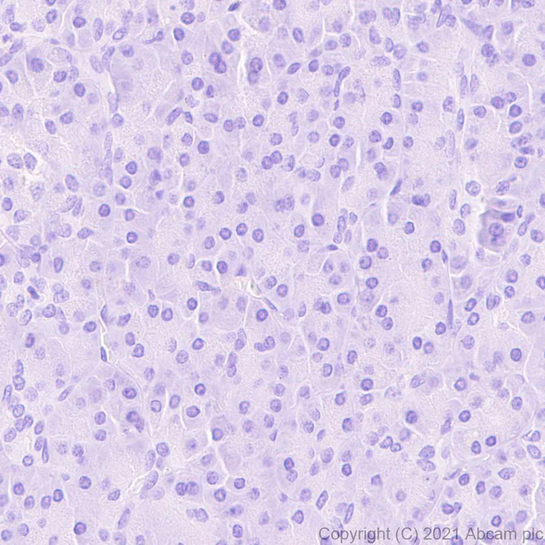
Immunohistochemistry (Formalin/PFA-fixed paraffin-embedded sections) - Anti-Protein S antibody [EPR24509-70] (AB280885)
  • IHC-P

Supplier Data

Immunohistochemistry (Formalin/PFA-fixed paraffin-embedded sections) - Anti-Protein S antibody [EPR24509-70] (AB280885)

Immunohistochemical analysis of paraffin-embedded human testis tissue labelling Protein S with ab280885 at 1/1000 dilution (1.603 ug/ml) followed by a ready to use Rabbit specific IHC polymer detection kit HRP/DAB (ab209101). Positive staining on the leydig cells in human testis (PMID : 7945211). The section was incubated with ab280885 for 30 mins at room temperature. The immunostaining was performed on a Leica Biosystems BOND® RX instrument Counterstained with Hematoxylin.

Secondary antibody only control : Secondary antibody is a ready to use Rabbit specific IHC polymer detection kit HRP/DAB (ab209101).

Heat mediated antigen retrieval with Tris-EDTA buffer (pH 9.0, epitope retrieval solution2) for 20 mins.

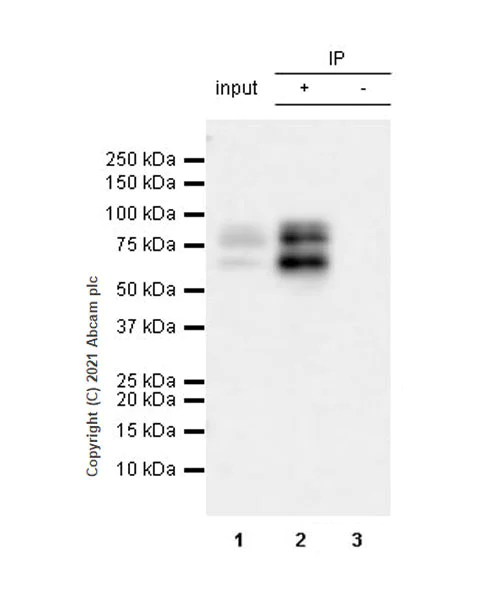
Immunoprecipitation - Anti-Protein S antibody [EPR24509-70] (AB280885)
  • IP

Supplier Data

Immunoprecipitation - Anti-Protein S antibody [EPR24509-70] (AB280885)

Protein S was immunoprecipitated from 0.35 mg of Human liver tissue lysate with ab280885 at 1/30 dilution (2ug in 0.35mg lysates). Western blot was performed on the immunoprecipitate using ab280885 at 1/1000 dilution. VeriBlot for IP Detection Reagent (HRP)(ab131366) was used at 1/5000 dilution.

Lane 1 : Human liver tissue lysate 10 ug

Lane 2 : ab280885 IP in Human liver tissue lysate

Lane 3 : Rabbit monoclonal IgG (ab172730) instead of ab280885 in human liver tissue lysate

Blocking and dilution buffer and concentration : 5% NFDM/TBST.

Exposure time : 32 seconds

All lanes:

Immunoprecipitation - Anti-Protein S antibody [EPR24509-70] (ab280885)

Predicted band size: 75 kDa

Observed band size: 65 kDa,75 kDa,85 kDa

false

Western blot - Anti-Protein S antibody [EPR24509-70] (AB280885)
  • WB

Lab

Western blot - Anti-Protein S antibody [EPR24509-70] (AB280885)

Blocking and diluting buffer and concentration : 5% NFDM/TBST

The expression profile/molecular weight observed is consistent with what has been described in the literature (PMID : 28118606, 27447084).

Exposure time : 15 seconds

All lanes:

Western blot - Anti-Protein S antibody [EPR24509-70] (ab280885) at 1/2000 dilution

All lanes:

Human plasma at 20 µg

Secondary

All lanes:

Goat Anti-Rabbit IgG (HRP) with minimal cross-reactivity with human IgG at 1/2000 dilution

Predicted band size: 75 kDa

Observed band size: 75 kDa,85 kDa

false

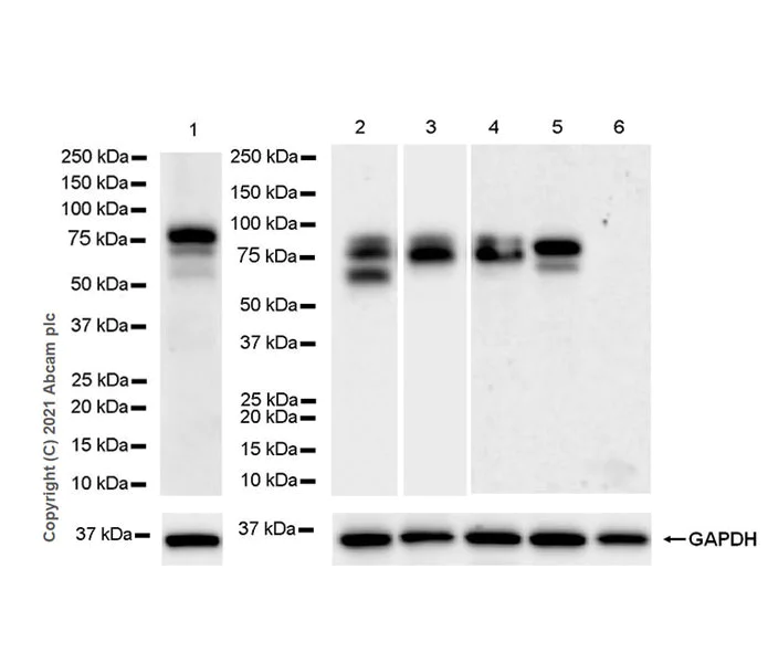
Western blot - Anti-Protein S antibody [EPR24509-70] (AB280885)
  • WB

Lab

Western blot - Anti-Protein S antibody [EPR24509-70] (AB280885)

Blocking and diluting buffer and concentration : 5% NFDM/TBST

The expression profile/molecular weight observed is consistent with what has been described in the literature (PMID : 28118606, 27447084).

Negative control : HaCaT (PMID : 28118606).

The blot of lane 1 was developed using a higher sensitivity ECL substrate.

Exposure time : Lane 1 : 92 seconds Lane 2 : 48 seconds Lane 3 : 26 seconds Lane 4-6 : 3 minutes

All lanes:

Western blot - Anti-Protein S antibody [EPR24509-70] (ab280885) at 1/1000 dilution

Lane 1:

Huh7 (human hepatocellar carcinoma epithelial cell) whole cell lysate at 20 µg

Lane 2:

Human liver tissue lysate at 20 µg

Lane 3:

Human lung tissue lysate at 20 µg

Lane 4:

Human stomach tissue lysate at 20 µg

Lane 5:

HepG2 (human hepatocellar carcinoma epithelial cell) whole cell lysate at 20 µg

Lane 6:

HaCaT (human skin keratinocyte) whole cell lysate at 20 µg

Secondary

All lanes:

Western blot - Goat Anti-Rabbit IgG H&L (HRP) (<a href='/en-us/products/secondary-antibodies/goat-rabbit-igg-h-l-hrp-ab97051'>ab97051</a>) at 1/100000 dilution

Predicted band size: 75 kDa

Observed band size: 65 kDa,75 kDa,85 kDa

false

  • Carrier free

    Anti-Protein S antibody [EPR24509-70] - BSA and Azide free

Key facts

Host species

Rabbit

Clonality

Monoclonal

Clone number

EPR24509-70

Isotype

IgG

Carrier free

No

Reacts with

Human

Applications

WB, IP, IHC-P

applications

Immunogen

The exact immunogen used to generate this antibody is proprietary information.

Reactivity data

{ "title": "Reactivity Data", "filters": { "stats": ["", "Species", "Dilution Info", "Notes"], "tabs": { "all-applications": {"fullname" : "All Applications", "shortname": "All Applications"}, "ICCIF" : {"fullname" : "Immunocytochemistry/ Immunofluorescence", "shortname":"ICC/IF"}, "IP" : {"fullname" : "Immunoprecipitation", "shortname":"IP"}, "WB" : {"fullname" : "Western blot", "shortname":"WB"}, "IHCP" : {"fullname" : "Immunohistochemistry (Formalin/PFA-fixed paraffin-embedded sections)", "shortname":"IHC-P"}, "IHCFr" : {"fullname" : "Immunohistochemistry (Frozen sections)", "shortname":"IHC-Fr"}, "FlowCytIntra" : {"fullname" : "Flow Cytometry (Intracellular)", "shortname":"Flow Cyt (Intra)"} }, "product-promise": { "all": "all", "testedAndGuaranteed": "tested", "guaranteed": "expected", "predicted": "predicted", "notRecommended": "not-recommended" } }, "values": { "Human": { "ICCIF-species-checked": "notRecommended", "ICCIF-species-dilution-info": "", "ICCIF-species-notes": "<p></p>", "IP-species-checked": "testedAndGuaranteed", "IP-species-dilution-info": "1/30", "IP-species-notes": "<p></p>", "WB-species-checked": "testedAndGuaranteed", "WB-species-dilution-info": "1/1000", "WB-species-notes": "<p></p>", "IHCP-species-checked": "testedAndGuaranteed", "IHCP-species-dilution-info": "1/1000", "IHCP-species-notes": "<p></p>", "IHCFr-species-checked": "notRecommended", "IHCFr-species-dilution-info": "", "IHCFr-species-notes": "<p></p>", "FlowCytIntra-species-checked": "notRecommended", "FlowCytIntra-species-dilution-info": "", "FlowCytIntra-species-notes": "<p></p>" }, "Mouse": { "ICCIF-species-checked": "notRecommended", "ICCIF-species-dilution-info": "", "ICCIF-species-notes": "", "IP-species-checked": "notRecommended", "IP-species-dilution-info": "", "IP-species-notes": "", "WB-species-checked": "notRecommended", "WB-species-dilution-info": "1/1000", "WB-species-notes": "<p></p>", "IHCP-species-checked": "notRecommended", "IHCP-species-dilution-info": "1/1000", "IHCP-species-notes": "<p></p>", "IHCFr-species-checked": "notRecommended", "IHCFr-species-dilution-info": "", "IHCFr-species-notes": "<p></p>", "FlowCytIntra-species-checked": "notRecommended", "FlowCytIntra-species-dilution-info": "", "FlowCytIntra-species-notes": "" }, "Rat": { "ICCIF-species-checked": "notRecommended", "ICCIF-species-dilution-info": "", "ICCIF-species-notes": "", "IP-species-checked": "notRecommended", "IP-species-dilution-info": "", "IP-species-notes": "", "WB-species-checked": "notRecommended", "WB-species-dilution-info": "1/1000", "WB-species-notes": "<p></p>", "IHCP-species-checked": "notRecommended", "IHCP-species-dilution-info": "1/1000", "IHCP-species-notes": "<p></p>", "IHCFr-species-checked": "notRecommended", "IHCFr-species-dilution-info": "", "IHCFr-species-notes": "<p></p>", "FlowCytIntra-species-checked": "notRecommended", "FlowCytIntra-species-dilution-info": "", "FlowCytIntra-species-notes": "" } } }

Product details

Patented technology
Our RabMAb® technology is a patented hybridoma-based technology for making rabbit monoclonal antibodies. For details on our patents, please refer to RabMAb® patents.

What are the advantages of a recombinant monoclonal antibody?
This product is a recombinant monoclonal antibody, which offers several advantages including:

  • - High batch-to-batch consistency and reproducibility
  • - Improved sensitivity and specificity
  • - Long-term security of supply
  • - Animal-free batch production

For more information, read more on recombinant antibodies.

Properties and storage information

Form
Liquid
Purification technique
Affinity purification Protein A
Storage buffer
Preservative: 0.01% Sodium azide Constituents: PBS, 40% Glycerol (glycerin, glycerine), 0.05% BSA
Shipped at conditions
Blue Ice
Appropriate short-term storage duration
1-2 weeks
Appropriate short-term storage conditions
+4°C
Appropriate long-term storage conditions
-20°C
Aliquoting information
Upon delivery aliquot
Storage information
Avoid freeze / thaw cycle

Supplementary information

This supplementary information is collated from multiple sources and compiled automatically.

Protein S also known as PROS1 is a vitamin K-dependent plasma glycoprotein with a molecular mass of approximately 75 kDa. It is synthesized mainly in the liver but also found in other tissues such as the endothelium megakaryocytes and osteoblasts. This protein plays a significant role in the regulation of blood coagulation by serving as a non-enzymatic cofactor for activated protein C (APC) in the proteolytic degradation of coagulation factors Va and VIIIa.
Biological function summary

The integrated function of Protein S within the coagulation cascade cannot be overemphasized. It acts synergistically with APC to limit thrombin generation therefore facilitating anticoagulation. Protein S is part of a complex with APC that exerts a potent anticoagulant effect. While free Protein S shows functional activity a large fraction circulates in complex with C4b-binding protein where it exhibits limited cofactor activity.

Pathways

The anticoagulant role of Protein S anchors it within the critical pathways like the protein C pathway impacting hemostasis. It directly associates with proteins such as Factor Va and Factor VIIIa and indirectly with proteins like thrombin. The regulation of coagulation through these pathways highlights its contribution to maintaining vascular integrity and preventing thrombosis.

Protein S deficiency has clinical implications in thrombotic conditions including deep vein thrombosis (DVT) and pulmonary embolism (PE). Such deficiencies can be hereditary or acquired often linked to disorders affecting vitamin K metabolism or liver function. Protein C another key anticoagulant closely interacts with Protein S in these disorders highlighting their collaborative effort in preventing excessive clot formation.

Product protocols

For this product, it's our understanding that no specific protocols are required. You can visit:

Target data

Anticoagulant plasma protein; it is a cofactor to activated protein C in the degradation of coagulation factors Va and VIIIa. It helps to prevent coagulation and stimulating fibrinolysis.
See full target information PROS1

Publications (2)

Recent publications for all applications. Explore the full list and refine your search

Cancers 16: PubMed38254761

2024

MICA+ Tumor Cell Upregulated Macrophage-Secreted MMP9 via PROS1-AXL Axis to Induce Tumor Immune Escape in Advanced Hepatocellular Carcinoma (HCC).

Applications

Unspecified application

Species

Unspecified reactive species

Qiulin Wu,Xicai Li,Yan Yang,Jingquan Huang,Ming Yao,Jianjun Li,Yubin Huang,Xiaoyong Cai,David A Geller,Yihe Yan

Cancers 14: PubMed35954340

2022

BAP1 Loss Promotes Suppressive Tumor Immune Microenvironment via Upregulation of PROS1 in Class 2 Uveal Melanomas.

Applications

Unspecified application

Species

Unspecified reactive species

Christopher J Kaler,James J Dollar,Anthony M Cruz,Jeffim N Kuznetsoff,Margaret I Sanchez,Christina L Decatur,Jonathan D Licht,Keiran S M Smalley,Zelia M Correa,Stefan Kurtenbach,J William Harbour
View all publications

Product promise

We are committed to supporting your work with high-quality reagents, and we're here for you every step of the way. In the unlikely event that one of our products does not perform as expected, you're protected by our Product Promise.
For full details, please see our Terms & Conditions

Please note: All products are 'FOR RESEARCH USE ONLY. NOT FOR USE IN DIAGNOSTIC OR THERAPEUTIC PROCEDURES'.

For licensing inquiries, please contact partnerships@abcam.com