JavaScript is disabled in your browser. Please enable JavaScript to view this website.
AB254934

Anti-Protein Z antibody

Be the first to review this product! Submit a review

|

(0 Publication)

Rabbit Polyclonal Protein Z antibody. Suitable for IHC-P and reacts with Human samples. Immunogen corresponding to Recombinant Fragment Protein within Human PROZ aa 250 to C-terminus.

View Alternative Names

Vitamin K-dependent protein Z, PROZ

2 Images
Immunohistochemistry (Formalin/PFA-fixed paraffin-embedded sections) - Anti-Protein Z antibody (AB254934)
  • IHC-P

Unknown

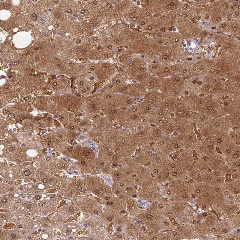
Immunohistochemistry (Formalin/PFA-fixed paraffin-embedded sections) - Anti-Protein Z antibody (AB254934)

Paraffin-embedded human liver tissue stained for Protein Z using ab254934 at 1/50 dilution in immunohistochemical analysis.

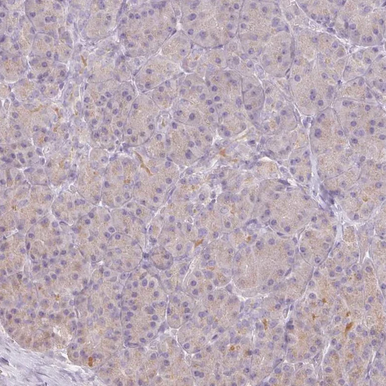
Immunohistochemistry (Formalin/PFA-fixed paraffin-embedded sections) - Anti-Protein Z antibody (AB254934)
  • IHC-P

Unknown

Immunohistochemistry (Formalin/PFA-fixed paraffin-embedded sections) - Anti-Protein Z antibody (AB254934)

Paraffin-embedded human pancreas tissue stained for Protein Z using ab254934 at 1/50 dilution in immunohistochemical analysis. Low expression as expected.

Key facts

Host species

Rabbit

Clonality

Polyclonal

Isotype

IgG

Carrier free

No

Reacts with

Human

Applications

IHC-P

applications

Immunogen

Recombinant Fragment Protein within Human PROZ aa 250 to C-terminus. The exact immunogen used to generate this antibody is proprietary information.

P22891

Reactivity data

{ "title": "Reactivity Data", "filters": { "stats": ["", "Species", "Dilution Info", "Notes"], "tabs": { "all-applications": {"fullname" : "All Applications", "shortname": "All Applications"}, "IHCP" : {"fullname" : "Immunohistochemistry (Formalin/PFA-fixed paraffin-embedded sections)", "shortname":"IHC-P"} }, "product-promise": { "all": "all", "testedAndGuaranteed": "tested", "guaranteed": "expected", "predicted": "predicted", "notRecommended": "not-recommended" } }, "values": { "Human": { "IHCP-species-checked": "testedAndGuaranteed", "IHCP-species-dilution-info": "1/50.00000 - 1/200.00000", "IHCP-species-notes": "<p></p>" } } }

You may be interested in:

AB137989

Human Protein Z ELISA Kit

0

0 Reviews

View product

We recommend this product because it’s often used in the same experiment or related research.

We advise that you always check the datasheet to ensure it fits your experiments, or contact ourtechnical teamfor help.

Properties and storage information

Form
Liquid
Purification technique
Affinity purification Immunogen
Storage buffer
pH: 7.2 Preservative: 0.02% Sodium azide Constituents: PBS, 40% Glycerol (glycerin, glycerine)
Shipped at conditions
Blue Ice
Appropriate short-term storage duration
1-2 weeks
Appropriate short-term storage conditions
+4°C
Appropriate long-term storage conditions
-20°C
Aliquoting information
Upon delivery aliquot
Storage information
Avoid freeze / thaw cycle

Supplementary information

This supplementary information is collated from multiple sources and compiled automatically.

Protein Z also known as PZ is a vitamin K-dependent plasma protein with a molecular mass of approximately 62 kDa. It is primarily expressed in the liver and circulates in the blood. This protein plays a mechanical role in the coagulation system by interacting with the protein Z-dependent protease inhibitor which downregulates blood coagulation contributing to hemostasis. Protein Z is different from other coagulation proteins due to its lack of enzymatic activity but impacts the regulation of thrombin formation.
Biological function summary

Protein Z serves as a significant factor in the coagulation cascade being a part of the protein C pathway complex. Although it lacks enzymatic action Protein Z interacts with other proteins such as Factor Xa and Protein Z-dependent protease inhibitor to exert its effects. Its involvement helps modulate clot formation and stabilize the coagulation process impacting blood flow regulation.

Pathways

Protein Z is intricately linked to the coagulation and thrombosis pathways. It associates with proteins including Factor Xa and Protein C. Protein Z assists in regulating thrombin generation by inhibiting excess coagulation maintaining a balance within the hemostatic system. This interaction ensures the rapid and effective stopping of blood flow when required while preventing unwarranted thrombosis a critical aspect of circulatory system maintenance.

Protein Z levels link to thrombosis and hemorrhagic disorders. Abnormalities in Protein Z levels have connections with deep vein thrombosis due to its role in regulating coagulation balance. The protein Z-dependent protease inhibitor's association highlights its significance in clot formation and thrombosis prevention. Additionally deficiencies in Protein Z have connections with bleeding disorders emphasizing the protein's role in maintaining a balanced coagulation process essential for preventing excessive bleeding or clotting.

Product protocols

For this product, it's our understanding that no specific protocols are required. You can visit:

Target data

Appears to assist hemostasis by binding thrombin and promoting its association with phospholipid vesicles. Inhibits activity of the coagulation protease factor Xa in the presence of SERPINA10, calcium and phospholipids.
See full target information PROZ

Product promise

We are committed to supporting your work with high-quality reagents, and we're here for you every step of the way. In the unlikely event that one of our products does not perform as expected, you're protected by our Product Promise.
For full details, please see our Terms & Conditions

Please note: All products are 'FOR RESEARCH USE ONLY. NOT FOR USE IN DIAGNOSTIC OR THERAPEUTIC PROCEDURES'.

For licensing inquiries, please contact partnerships@abcam.com