JavaScript is disabled in your browser. Please enable JavaScript to view this website.
AB199359

Anti-PROX1 antibody [EPR19273]

  • RabMAb
  • Advanced Validation
  • Recombinant
  • 20ul selling size
  • What is this?

4

(6 Reviews)

|

(45 Publications)

Anti-PROX1 antibody [EPR19273] (ab199359) is a rabbit monoclonal antibody detecting PROX1 in Western Blot, IHC-P, ICC/IF. Suitable for Human, Mouse, Rat.

- Biophysical QC for unrivalled batch-batch consistency
- Over 20 publications

View Alternative Names

Prospero homeobox protein 1, Homeobox prospero-like protein PROX1, PROX-1, PROX1

8 Images
Immunocytochemistry/ Immunofluorescence - Anti-PROX1 antibody [EPR19273] (AB199359)
  • ICC/IF

Supplier Data

Immunocytochemistry/ Immunofluorescence - Anti-PROX1 antibody [EPR19273] (AB199359)

Immunofluorescent analysis of 4% paraformaldehyde-fixed, 0.1% Triton X-100 permeabilized SH-SY5Y (Human neuroblastoma cell line from bone marrow) and HEK-293 (Human epithelial cell line from embryonic kidney) cells labeling PROX1 with ab199359 at 1/500 dilution, followed by Goat Anti-Rabbit IgG (Alexa Fluor® 488) (ab150077) secondary antibody at 1/1000 dilution (green).

Confocal image showing nuclear staining on SH-SY5Y cell line.

Negative expression in HEK-293 cells. HEK-293 doesn't express PROX1. PMID : 18948102.

The nuclear counterstain is DAPI (blue). Tubulin is detected with Anti-alpha Tubulin antibody - Loading Control (ab7291) at 1/1000 dilution and Goat Anti-Mouse IgG (AlexaFluor®594) preadsorbed (ab150120) at 1/1000 dilution (red).

The negative controls are as follows : -

-ve control 1 : ab199359 at 1/500 dilution followed by ab150120 at 1/1000 dilution.

-ve control 2 : ab7291 at 1/1000 dilution followed by ab150077 at 1/1000 dilution.

Immunohistochemistry (Formalin/PFA-fixed paraffin-embedded sections) - Anti-PROX1 antibody [EPR19273] (AB199359)
  • IHC-P

Supplier Data

Immunohistochemistry (Formalin/PFA-fixed paraffin-embedded sections) - Anti-PROX1 antibody [EPR19273] (AB199359)

Immunohistochemical analysis of paraffin-embedded mouse hippocampus tissue labeling PROX1 with ab199359 at 1/500 dilution, followed by Goat Anti-Rabbit IgG H&L (HRP) (ab97051) at 1/500 dilution.

Nucleus staining on neurons of mouse hippocampus is observed.

Counter stained with Hematoxylin.

Secondary antibody only control : Used PBS instead of primary antibody, secondary antibody is Goat Anti-Rabbit IgG H&L (HRP) (ab97051) at 1/500 dilution.

Perform heat mediated antigen retrieval with Tris/EDTA buffer pH 9.0 before commencing with IHC staining protocol.

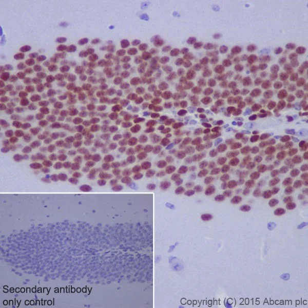
Immunohistochemistry (Formalin/PFA-fixed paraffin-embedded sections) - Anti-PROX1 antibody [EPR19273] (AB199359)
  • IHC-P

Supplier Data

Immunohistochemistry (Formalin/PFA-fixed paraffin-embedded sections) - Anti-PROX1 antibody [EPR19273] (AB199359)

Immunohistochemical analysis of paraffin-embedded rat hippocampus tissue labeling PROX1 with ab199359 at 1/500 dilution, followed by Goat Anti-Rabbit IgG H&L (HRP) (ab97051) at 1/500 dilution.

Nucleus staining on neurons of rat hippocampus is observed.

Counter stained with Hematoxylin.

Secondary antibody only control : Used PBS instead of primary antibody, secondary antibody is Goat Anti-Rabbit IgG H&L (HRP) (ab97051) at 1/500 dilution.

Perform heat mediated antigen retrieval with Tris/EDTA buffer pH 9.0 before commencing with IHC staining protocol.

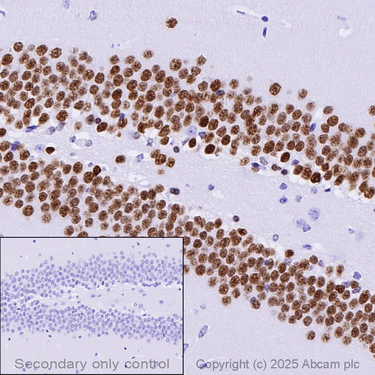
Immunohistochemistry (Formalin/PFA-fixed paraffin-embedded sections) - Anti-PROX1 antibody [EPR19273] (AB199359)
  • IHC-P

Lab

Immunohistochemistry (Formalin/PFA-fixed paraffin-embedded sections) - Anti-PROX1 antibody [EPR19273] (AB199359)

Immunohistochemical analysis of formalin fixed paraffin embedded mouse brain labelling PROX1 with ab199359 at a concentration of 0.5µg/ml. The immunostaining was performed on a Ventana DISCOVERY ULTRA (Roche Tissue Diagnostics) instrument with a ChromoMap DAB kit and anti-rabbit HQ and anti-HQ HRP detection. Heat mediated antigen retrieval was performed with DISCOVERY cell conditioning solution (CC1) 100°C, pH8.5 for 32mins. ab199359 Anti-PROX1 antibody [EPR19273] was incubated for 16mins at 37°C. Sections were counterstained with Hematoxylin II. Image inset shows absence of staining in secondary antibody only control.

Customers are encouraged to optimise antigen retrieval conditions, antibody concentration, incubation times and temperature for best results in their own IHC assay workflow (automated and manual).

Western blot - Anti-PROX1 antibody [EPR19273] (AB199359)
  • WB

Supplier Data

Western blot - Anti-PROX1 antibody [EPR19273] (AB199359)

Blocking/Dilution buffer : 5% NFDM/TBST.

All lanes:

Western blot - Anti-PROX1 antibody [EPR19273] (ab199359) at 1/1000 dilution

Lane 1:

Human fetal liver lysate at 10 µg

Lane 2:

Human brain lysate at 10 µg

Secondary

All lanes:

Goat Anti-Rabbit IgG Peroxidase Conjugate, specific to the non-reduced form of IgG at 1/10000 dilution

Predicted band size: 83 kDa

Observed band size: 83 kDa

false

Exposure time: 3min

Western blot - Anti-PROX1 antibody [EPR19273] (AB199359)
  • WB

Supplier Data

Western blot - Anti-PROX1 antibody [EPR19273] (AB199359)

Blocking/Dilution buffer : 5% NFDM/TBST.

HEK-293 doesn't express PROX1. PMID : 18948102.

All lanes:

Western blot - Anti-PROX1 antibody [EPR19273] (ab199359) at 1/1000 dilution

Lane 1:

SH-SY5Y (Human neuroblastoma cell line from bone marrow) whole cell lysate at 20 µg

Lane 2:

HepG2 (Human liver hepatocellular carcinoma cell line) whole cell lysate at 20 µg

Lane 3:

HEK-293 (Human epithelial cell line from embryonic kidney) whole cell lysate at 20 µg

Secondary

All lanes:

Western blot - Goat Anti-Rabbit IgG H&L (HRP) (<a href='/en-us/products/secondary-antibodies/goat-rabbit-igg-h-l-hrp-ab97051'>ab97051</a>) at 1/100000 dilution

Predicted band size: 83 kDa

Observed band size: 83 kDa

false

Exposure time: 10s

ChIC/CUT&RUN sequencing - Anti-PROX1 antibody [EPR19273] (AB199359)
  • ChIC/CUT&RUN-seq

Supplier Data

ChIC/CUT&RUN sequencing - Anti-PROX1 antibody [EPR19273] (AB199359)

ChIC/CUT&RUN was performed using a pAG-MNAse at a final concentration of 700 ng/mL, 2.5 x 10^5 HepG2 (Human liver hepatocellular carcinoma cell line) cells and 5 µg of ab199359 [EPR19273]. The resulting DNA was sequenced on the Illumina NovaSeq 6000 to a depth of 10 million reads. The negative IgG control ab172730 is also shown.

Additional screenshots of mapped reads can be found in the Protocol booklet in the Product Protocol section.

The University of Geneva owns patents relevant to ChIC (Chromatin Immuno-Cleavage) methods.

Western blot - Anti-PROX1 antibody [EPR19273] (AB199359)
  • WB

Supplier Data

Western blot - Anti-PROX1 antibody [EPR19273] (AB199359)

Blocking/Dilution buffer : 5% NFDM/TBST.

Exposure time : Lane 1,2 and 3 : minutes; Lane 4 : 5 seconds.

All lanes:

Western blot - Anti-PROX1 antibody [EPR19273] (ab199359) at 1/1000 dilution

Lane 1:

Mouse brain lysate at 10 µg

Lane 2:

Rat brain lysate at 10 µg

Lane 3:

Mouse hippocampus lysate at 10 µg

Lane 4:

Rat hippocampus lysate at 10 µg

Secondary

All lanes:

Western blot - Goat Anti-Rabbit IgG H&L (HRP) (<a href='/en-us/products/secondary-antibodies/goat-rabbit-igg-h-l-hrp-ab97051'>ab97051</a>) at 1/100000 dilution

Predicted band size: 83 kDa

Observed band size: 83 kDa

false

Key facts

Host species

Rabbit

Clonality

Monoclonal

Clone number

EPR19273

Isotype

IgG

Carrier free

No

Reacts with

Mouse, Rat, Human

Applications

WB, IHC-P, ICC/IF, ChIC/CUT&RUN-seq

applications

Immunogen

The exact immunogen used to generate this antibody is proprietary information.

Reactivity data

{ "title": "Reactivity Data", "filters": { "stats": ["", "Species", "Dilution Info", "Notes"], "tabs": { "all-applications": {"fullname" : "All Applications", "shortname": "All Applications"}, "ChICCUTRUNseq" : {"fullname" : "ChIC/CUT&RUN sequencing", "shortname":"ChIC/CUT&RUN-seq"}, "WB" : {"fullname" : "Western blot", "shortname":"WB"}, "ICCIF" : {"fullname" : "Immunocytochemistry/ Immunofluorescence", "shortname":"ICC/IF"}, "IHCP" : {"fullname" : "Immunohistochemistry (Formalin/PFA-fixed paraffin-embedded sections)", "shortname":"IHC-P"} }, "product-promise": { "all": "all", "testedAndGuaranteed": "tested", "guaranteed": "expected", "predicted": "predicted", "notRecommended": "not-recommended" } }, "values": { "Human": { "ChICCUTRUNseq-species-checked": "testedAndGuaranteed", "ChICCUTRUNseq-species-dilution-info": "5 µg", "ChICCUTRUNseq-species-notes": "<p></p>", "WB-species-checked": "testedAndGuaranteed", "WB-species-dilution-info": "1/1000", "WB-species-notes": "<p></p>", "ICCIF-species-checked": "testedAndGuaranteed", "ICCIF-species-dilution-info": "1/500", "ICCIF-species-notes": "<p></p>", "IHCP-species-checked": "guaranteed", "IHCP-species-dilution-info": "", "IHCP-species-notes": "" }, "Mouse": { "ChICCUTRUNseq-species-checked": "guaranteed", "ChICCUTRUNseq-species-dilution-info": "", "ChICCUTRUNseq-species-notes": "", "WB-species-checked": "testedAndGuaranteed", "WB-species-dilution-info": "1/1000", "WB-species-notes": "<p></p>", "ICCIF-species-checked": "guaranteed", "ICCIF-species-dilution-info": "", "ICCIF-species-notes": "", "IHCP-species-checked": "testedAndGuaranteed", "IHCP-species-dilution-info": "1/500", "IHCP-species-notes": "<p>IHC is recommended for rat and mouse only</p> Perform heat-mediated antigen retrieval with Tris/EDTA buffer pH 9.0 before commencing with IHC staining protocol." }, "Rat": { "ChICCUTRUNseq-species-checked": "guaranteed", "ChICCUTRUNseq-species-dilution-info": "", "ChICCUTRUNseq-species-notes": "", "WB-species-checked": "testedAndGuaranteed", "WB-species-dilution-info": "1/1000", "WB-species-notes": "<p></p>", "ICCIF-species-checked": "guaranteed", "ICCIF-species-dilution-info": "", "ICCIF-species-notes": "", "IHCP-species-checked": "testedAndGuaranteed", "IHCP-species-dilution-info": "1/500", "IHCP-species-notes": "<p>IHC is recommended for rat and mouse only</p> Perform heat-mediated antigen retrieval with Tris/EDTA buffer pH 9.0 before commencing with IHC staining protocol." } } }

Product details

Product Specifications
Anti-PROX1 antibody [EPR19273] (ab199359) is a rabbit recombinant monoclonal antibody and is validated for use in ChIC/CUT&RUN-seq, ICC/IF, IHC-P, WB in human, mouse and rat samples.
Anti-PROX1 antibody [EPR19273] (ab199359) specifically detects PROX1 (UniProt ID: P48437; Molecular weight: 83kDa) and is sold in 100 µL and 1 mL selling sizes.

Quality and Validation
Abcam's high quality manufacturing and validation processes ensure Anti-PROX1 antibody [EPR19273] (ab199359) has high sensitivity and specificity alongside high lot-to-lot consistency and reproducibility.
Anti-PROX1 antibody [EPR19273] (ab199359) has been cited over 26 times in peer reviewed journals and is trusted by the scientific community.
Anti-PROX1 antibody [EPR19273] (ab199359) has 6 independent reviews from customers.

Related Products
Conjugation-ready, carrier free format available for antibody clone EPR19273 - ab236026.
Antibody clone EPR19273 is also available pre-conjugated to a variety of labels for your convenience - Alexa Fluor® 647 (ab225414).

Patented technology
Our RabMAb® technology is a patented hybridoma-based technology for making rabbit monoclonal antibodies. For details on our patents, please refer to RabMAb® patents.

What are the advantages of a recombinant monoclonal antibody?
This product is a recombinant monoclonal antibody, which offers several advantages including:

  • - High batch-to-batch consistency and reproducibility
  • - Improved sensitivity and specificity
  • - Long-term security of supply
  • - Animal-free batch production

For more information, read more on recombinant antibodies.

Properties and storage information

Form
Liquid
Purification technique
Affinity purification Protein A
Storage buffer
pH: 7.2 - 7.4 Preservative: 0.01% Sodium azide Constituents: PBS, 40% Glycerol (glycerin, glycerine), 0.05% BSA
Shipped at conditions
Blue Ice
Appropriate short-term storage duration
1-2 weeks
Appropriate short-term storage conditions
+4°C
Appropriate long-term storage conditions
-20°C
Aliquoting information
Upon delivery aliquot
Storage information
Avoid freeze / thaw cycle

Supplementary information

This supplementary information is collated from multiple sources and compiled automatically.

The PROX1 protein also known as Prospero homeobox 1 acts mechanically as a transcription factor and plays an important role in cell differentiation. Its molecular mass is about 83 kilodaltons. This protein is expressed in a range of tissues including the liver heart and lymphatic system. During embryonic development PROX1 is notably active where it participates in organogenesis and differentiation into specific cell types.
Biological function summary

PROX1 influences numerous processes by regulating gene expression. It forms part of several protein complexes that determine the fate of lymphatic endothelial cells balancing between lymphatic and blood vascular destinies. PROX1 directly affects the promotion and maintenance of the lymphatic endothelial cell phenotype. Its activity is fundamental to the development and maintenance of several organs and tissues impacting overall physiological function.

Pathways

The transcription factor PROX1 integrates into the VEGF signaling pathway and the Wnt signaling pathway. Within these pathways it interacts closely with other proteins such as VEGF-C and β-catenin. PROX1 modulates these pathways to orchestrate cell proliferation migration and vessel formation. Through its interactions PROX1 significantly contributes to the intricate communication between cells in developing tissues.

Research indicates that dysregulation of PROX1 is linked to cancer and lymphatic diseases. In cancer particularly colorectal and breast cancers aberrant PROX1 expression can promote tumor progression. It interacts with proteins like NF-κB which influence inflammatory responses and cell survival. Similarly in lymphedema altered PROX1 can disrupt normal lymphatic development affecting fluid balance and immune function in the body.

Product protocols

For this product, it's our understanding that no specific protocols are required. You can visit:

Target data

Transcription factor involved in developmental processes such as cell fate determination, gene transcriptional regulation and progenitor cell regulation in a number of organs. Plays a critical role in embryonic development and functions as a key regulatory protein in neurogenesis and the development of the heart, eye lens, liver, pancreas and the lymphatic system. Involved in the regulation of the circadian rhythm. Represses : transcription of the retinoid-related orphan receptor RORG, transcriptional activator activity of RORA and RORG and the expression of RORA/G-target genes including core clock components : BMAL1, NPAS2 and CRY1 and metabolic genes : AVPR1A and ELOVL3.
See full target information PROX1

Publications (45)

Recent publications for all applications. Explore the full list and refine your search

Journal of tissue engineering 16:20417314251360755 PubMed40792201

2025

Transplantation of engineered vascularized lymphatic tissue using LEC and in vivo AV loop model to enhance lymphangiogenesis and restore lymphatic drainage in a lymphadenectomy rat model.

Applications

Unspecified application

Species

Unspecified reactive species

Gina A Mackert,Hui-Yi Hsiao,Yung-Chun Chang,Robin T Wu,Rushil R Dang,Richard Tee,Jung-Ju Huang

Journal of experimental & clinical cancer research : CR 44:188 PubMed40611320

2025

Extracellular vesicle-mediated transmission of circPDLIM5 promotes lymphatic metastasis in prostate cancer.

Applications

Unspecified application

Species

Unspecified reactive species

Tao He,Wen Tao,Jie Zhang,Tao-Lin Xia,Bin Xu,Liao-Yuan Li

Investigative ophthalmology & visual science 66:81 PubMed40298888

2025

Prox1 Protein in Corneal Limbal Lymphatic Vessels Maintains Limbal Stem Cell Stemness and Regulates Corneal Injury Repair.

Applications

Unspecified application

Species

Unspecified reactive species

An Wang,Zongyuan Li,Yilin Jiang,Mingxiong Chen,Hanrui Yu,Zhao Li,Shengshu Sun,Ge Bai,Qun Wang,Yifei Huang,Liqiang Wang

Nature 637:947-954 PubMed39478232

2024

Progressive plasticity during colorectal cancer metastasis.

Applications

Unspecified application

Species

Unspecified reactive species

Andrew Moorman,Elizabeth K Benitez,Francesco Cambulli,Qingwen Jiang,Ahmed Mahmoud,Melissa Lumish,Saskia Hartner,Sasha Balkaran,Jonathan Bermeo,Simran Asawa,Canan Firat,Asha Saxena,Fan Wu,Anisha Luthra,Cassandra Burdziak,Yubin Xie,Valeria Sgambati,Kathleen Luckett,Yanyun Li,Zhifan Yi,Ignas Masilionis,Kevin Soares,Emmanouil Pappou,Rona Yaeger,T Peter Kingham,William Jarnagin,Philip B Paty,Martin R Weiser,Linas Mazutis,Michael D'Angelica,Jinru Shia,Julio Garcia-Aguilar,Tal Nawy,Travis J Hollmann,Ronan Chaligné,Francisco Sanchez-Vega,Roshan Sharma,Dana Pe'er,Karuna Ganesh

Cancer medicine 13:e70273 PubMed39382373

2024

Regulatory Effects of SLC7A2-CPB2 on Lymphangiogenesis: A New Approach to Suppress Lymphatic Metastasis in HNSCC.

Applications

Unspecified application

Species

Unspecified reactive species

Kai Song,Yanshi Li,Kai Yang,Tao Lu,Min Wang,Zhihai Wang,Chuan Liu,Ming Yu,Mengna Wang,Zhaobo Cheng,Min Pan,Guohua Hu

Frontiers in neuroscience 18:1398913 PubMed39371609

2024

Gut microbiota-derived acetate promotes long-term recovery through angiogenesis guided by lymphatic ingrowth in older adults with stroke.

Applications

Unspecified application

Species

Unspecified reactive species

Yujia Yuan,Linlin Li,Jingjing Wang,Bat-Otgon Myagmar,Yuxiao Gao,Huan Wang,Zhao Wang,Cong Zhang,Xiangjian Zhang

Pharmaceutics 16: PubMed39339187

2024

Herbal Formula Extract Ameliorates Anxiety and Cognitive Impairment via Regulation of the Reelin/Dab-1 Pathway in a Murine Model of Post-Traumatic Stress Disorder.

Applications

Unspecified application

Species

Unspecified reactive species

Hee Ra Park,Mudan Cai,Eun Jin Yang

Journal of advanced research 73:681-695 PubMed39265888

2024

Haploinsufficiency of intraflagellar transport protein 172 causes autism-like behavioral phenotypes in mice through BDNF.

Applications

Unspecified application

Species

Unspecified reactive species

Nanxi Zheng,Shilin Luo,Xin Zhang,Ling Hu,Muzhi Huang,Mingyu Li,Colin McCaig,Yu-Qiang Ding,Bing Lang

Scientific reports 14:21324 PubMed39266641

2024

Influenza induces lung lymphangiogenesis independent of YAP/TAZ activity in lymphatic endothelial cells.

Applications

Unspecified application

Species

Unspecified reactive species

Erin Crossey,Senegal Carty,Fengzhi Shao,Jhonatan Henao-Vasquez,Alexandra B Ysasi,Michelle Zeng,Anne Hinds,Ming Lo,Andrew Tilston-Lunel,Xaralabos Varelas,Matthew R Jones,Alan Fine

Avicenna journal of phytomedicine 14:64-77 PubMed38948179

2024

The modulating effects of astaxanthin on apoptosis in women with polycystic ovarian syndrome: A randomized clinical trial.

Applications

Unspecified application

Species

Unspecified reactive species

Masoome Jabarpour,Ashraf Aleyasin,Maryam Shabani Nashtaei,Mahshad Khodarahmian,Sara Lotfi,Fardin Amidi
View all publications
chicCutRunSequencingBooklet
en

Product promise

We are committed to supporting your work with high-quality reagents, and we're here for you every step of the way. In the unlikely event that one of our products does not perform as expected, you're protected by our Product Promise.
For full details, please see our Terms & Conditions

Please note: All products are 'FOR RESEARCH USE ONLY. NOT FOR USE IN DIAGNOSTIC OR THERAPEUTIC PROCEDURES'.

For licensing inquiries, please contact partnerships@abcam.com