JavaScript is disabled in your browser. Please enable JavaScript to view this website.
AB236026

Anti-PROX1 antibody [EPR19273] - BSA and Azide free

Be the first to review this product! Submit a review

|

(1 Publication)

Rabbit Recombinant Monoclonal PROX1 antibody. Carrier free. Suitable for ChIC/CUT&RUN-seq, WB, ICC/IF, IHC-P and reacts with Human, Mouse, Rat samples. Cited in 1 publication.

View Alternative Names

Prospero homeobox protein 1, Homeobox prospero-like protein PROX1, PROX-1, PROX1

4 Images
Immunocytochemistry/ Immunofluorescence - Anti-PROX1 antibody [EPR19273] - BSA and Azide free (AB236026)
  • ICC/IF

Supplier Data

Immunocytochemistry/ Immunofluorescence - Anti-PROX1 antibody [EPR19273] - BSA and Azide free (AB236026)

Immunofluorescent analysis of 4% paraformaldehyde-fixed, 0.1% Triton X-100 permeabilized SH-SY5Y (Human neuroblastoma cell line from bone marrow) and HEK-293 (Human epithelial cell line from embryonic kidney) cells labeling PROX1 with ab199359 at 1/500 dilution, followed by Goat Anti-Rabbit IgG (Alexa Fluor® 488) (ab150077) secondary antibody at 1/1000 dilution (green).

Confocal image showing nuclear staining on SH-SY5Y cell line.

Negative expression in HEK-293 cells. HEK-293 doesn't express PROX1. PMID : 18948102.

The nuclear counterstain is DAPI (blue). Tubulin is detected with Anti-alpha Tubulin antibody - Loading Control (ab7291) at 1/1000 dilution and Goat Anti-Mouse IgG (AlexaFluor®594) preadsorbed (ab150120) at 1/1000 dilution (red).

The negative controls are as follows : -

-ve control 1 : ab199359 at 1/500 dilution followed by ab150120 at 1/1000 dilution.

-ve control 2 : ab7291  at 1/1000 dilution followed by ab150077  at 1/1000 dilution.

This data was developed using the same antibody clone in a different buffer formulation containing PBS, BSA, glycerol, and sodium azide (ab199359).

Immunohistochemistry (Formalin/PFA-fixed paraffin-embedded sections) - Anti-PROX1 antibody [EPR19273] - BSA and Azide free (AB236026)
  • IHC-P

Supplier Data

Immunohistochemistry (Formalin/PFA-fixed paraffin-embedded sections) - Anti-PROX1 antibody [EPR19273] - BSA and Azide free (AB236026)

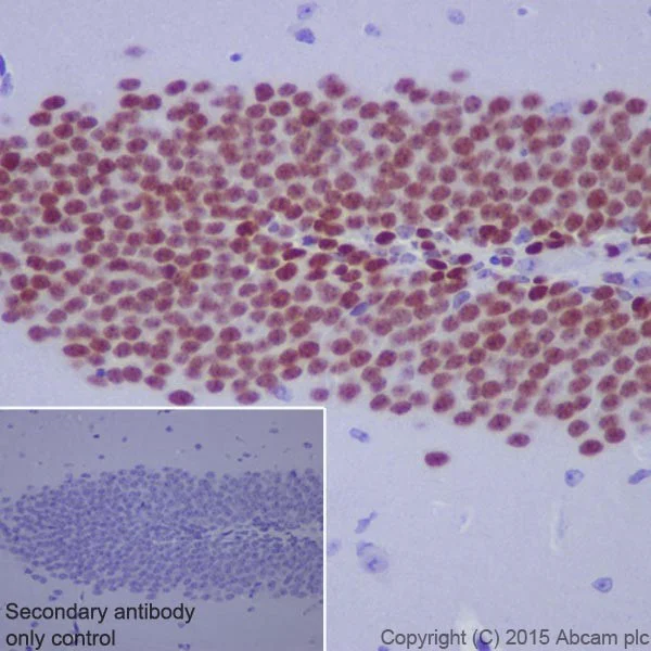
Immunohistochemical analysis of paraffin-embedded rat hippocampus tissue labeling PROX1 with ab199359 at 1/500 dilution, followed by Goat Anti-Rabbit IgG H&L (HRP) (ab97051) at 1/500 dilution.

Nucleus staining on neurons of rat hippocampus is observed.

Counter stained with Hematoxylin.

Secondary antibody only control : Used PBS instead of primary antibody, secondary antibody is Goat Anti-Rabbit IgG H&L (HRP) (ab97051) at 1/500 dilution.

This data was using the same antibody clone in a different buffer formulation containing PBS, BSA, glycerol, and sodium azide (ab199359).

Heat mediated antigen retrieval was performed with Tris/EDTA buffer pH 9.0 before commencing with IHC staining protocol.

Immunohistochemistry (Formalin/PFA-fixed paraffin-embedded sections) - Anti-PROX1 antibody [EPR19273] - BSA and Azide free (AB236026)
  • IHC-P

Supplier Data

Immunohistochemistry (Formalin/PFA-fixed paraffin-embedded sections) - Anti-PROX1 antibody [EPR19273] - BSA and Azide free (AB236026)

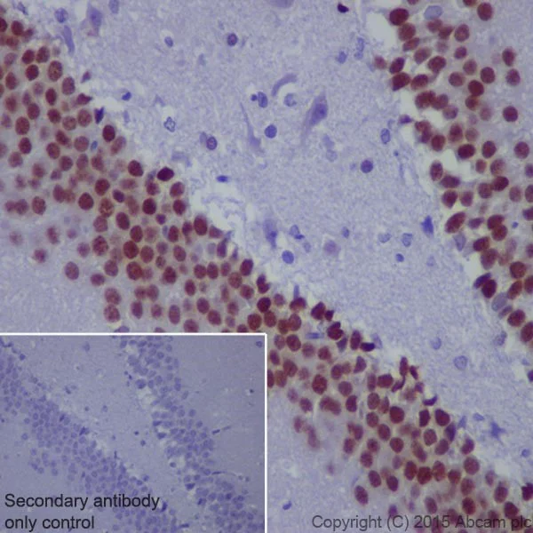
Immunohistochemical analysis of paraffin-embedded mouse hippocampus tissue labeling PROX1 with ab199359 at 1/500 dilution, followed by Goat Anti-Rabbit IgG H&L (HRP) (ab97051) at 1/500 dilution.

Nucleus staining on neurons of mouse hippocampus is observed.

Counter stained with Hematoxylin.

Secondary antibody only control : Used PBS instead of primary antibody, secondary antibody is Goat Anti-Rabbit IgG H&L (HRP) (ab97051) at 1/500 dilution.

This data was developed using the same antibody clone in a different buffer formulation containing PBS, BSA, glycerol, and sodium azide (ab199359).

Heat mediated antigen retrieval was performed with Tris/EDTA buffer pH 9.0 before commencing with IHC staining protocol.

ChIC/CUT&RUN sequencing - Anti-PROX1 antibody [EPR19273] - BSA and Azide free (AB236026)
  • ChIC/CUT&RUN-seq

Supplier Data

ChIC/CUT&RUN sequencing - Anti-PROX1 antibody [EPR19273] - BSA and Azide free (AB236026)

ChIC/CUT&RUN was performed using a pAG-MNAse at a final concentration of 700 ng/mL, 2.5 x 10^5 HepG2 (Human liver hepatocellular carcinoma cell line) cells and 5 µg of ab199359 [EPR19273]. The resulting DNA was sequenced on the Illumina NovaSeq 6000 to a depth of 10 million reads. The negative IgG control ab172730 is also shown.

Additional screenshots of mapped reads can be found in the Protocol booklet in the Product Protocol section.

The University of Geneva owns patents relevant to ChIC (Chromatin Immuno-Cleavage) methods.

This data was developed using the same antibody clone in a different buffer formulation containing PBS, BSA, glycerol, and sodium azide (ab199359).

Key facts

Host species

Rabbit

Clonality

Monoclonal

Clone number

EPR19273

Isotype

IgG

Carrier free

Yes

Reacts with

Mouse, Rat, Human

Applications

WB, ICC/IF, ChIC/CUT&RUN-seq, IHC-P

applications

Immunogen

The exact immunogen used to generate this antibody is proprietary information.

Reactivity data

{ "title": "Reactivity Data", "filters": { "stats": ["", "Species", "Dilution Info", "Notes"], "tabs": { "all-applications": {"fullname" : "All Applications", "shortname": "All Applications"}, "ChICCUTRUNseq" : {"fullname" : "ChIC/CUT&RUN sequencing", "shortname":"ChIC/CUT&RUN-seq"}, "WB" : {"fullname" : "Western blot", "shortname":"WB"}, "ICCIF" : {"fullname" : "Immunocytochemistry/ Immunofluorescence", "shortname":"ICC/IF"}, "IHCP" : {"fullname" : "Immunohistochemistry (Formalin/PFA-fixed paraffin-embedded sections)", "shortname":"IHC-P"} }, "product-promise": { "all": "all", "testedAndGuaranteed": "tested", "guaranteed": "expected", "predicted": "predicted", "notRecommended": "not-recommended" } }, "values": { "Human": { "ChICCUTRUNseq-species-checked": "testedAndGuaranteed", "ChICCUTRUNseq-species-dilution-info": "", "ChICCUTRUNseq-species-notes": "<p></p>", "WB-species-checked": "testedAndGuaranteed", "WB-species-dilution-info": "", "WB-species-notes": "<p></p>", "ICCIF-species-checked": "testedAndGuaranteed", "ICCIF-species-dilution-info": "", "ICCIF-species-notes": "<p></p>", "IHCP-species-checked": "guaranteed", "IHCP-species-dilution-info": "", "IHCP-species-notes": "" }, "Mouse": { "ChICCUTRUNseq-species-checked": "guaranteed", "ChICCUTRUNseq-species-dilution-info": "", "ChICCUTRUNseq-species-notes": "", "WB-species-checked": "testedAndGuaranteed", "WB-species-dilution-info": "", "WB-species-notes": "<p></p>", "ICCIF-species-checked": "guaranteed", "ICCIF-species-dilution-info": "", "ICCIF-species-notes": "", "IHCP-species-checked": "testedAndGuaranteed", "IHCP-species-dilution-info": "", "IHCP-species-notes": "<p>IHC is recommended for rat and mouse only.</p>" }, "Rat": { "ChICCUTRUNseq-species-checked": "guaranteed", "ChICCUTRUNseq-species-dilution-info": "", "ChICCUTRUNseq-species-notes": "", "WB-species-checked": "testedAndGuaranteed", "WB-species-dilution-info": "", "WB-species-notes": "<p></p>", "ICCIF-species-checked": "guaranteed", "ICCIF-species-dilution-info": "", "ICCIF-species-notes": "", "IHCP-species-checked": "testedAndGuaranteed", "IHCP-species-dilution-info": "", "IHCP-species-notes": "<p>IHC is recommended for rat and mouse only.</p>" } } }

Product details

ab236026 is the carrier-free version of ab199359.

Patented technology
Our RabMAb® technology is a patented hybridoma-based technology for making rabbit monoclonal antibodies. For details on our patents, please refer to RabMAb® patents.

What are the advantages of a recombinant monoclonal antibody?
This product is a recombinant monoclonal antibody, which offers several advantages including:

  • - High batch-to-batch consistency and reproducibility
  • - Improved sensitivity and specificity
  • - Long-term security of supply
  • - Animal-free batch production

For more information, read more on recombinant antibodies.

Conjugation ready
Our carrier-free antibodies are typically supplied in a PBS-only formulation, purified and free of BSA, sodium azide and glycerol. This conjugation-ready format is designed for use with fluorochromes, metal isotopes, oligonucleotides, and enzymes, which makes them ideal for antibody labelling, functional and cell-based assays, flow-based assays (e.g. mass cytometry) and Multiplex Imaging applications.

Use our conjugation kits for antibody conjugates that are ready-to-use in as little as 20 minutes with 1 minute hands-on-time and 100% antibody recovery: available for fluorescent dyes, HRP, biotin and gold.

Compatibility
This product is compatible with the Maxpar® Antibody Labeling Kit from Fluidigm, without the need for antibody preparation. Maxpar® is a trademark of Fluidigm Canada Inc.

Properties and storage information

Form
Liquid
Purification technique
Affinity purification Protein A
Storage buffer
pH: 7.2 - 7.4 Constituents: PBS
Shipped at conditions
Blue Ice
Appropriate short-term storage conditions
+4°C
Appropriate long-term storage conditions
+4°C
Storage information
Do Not Freeze

Supplementary information

This supplementary information is collated from multiple sources and compiled automatically.

The PROX1 protein also known as Prospero homeobox 1 acts mechanically as a transcription factor and plays an important role in cell differentiation. Its molecular mass is about 83 kilodaltons. This protein is expressed in a range of tissues including the liver heart and lymphatic system. During embryonic development PROX1 is notably active where it participates in organogenesis and differentiation into specific cell types.
Biological function summary

PROX1 influences numerous processes by regulating gene expression. It forms part of several protein complexes that determine the fate of lymphatic endothelial cells balancing between lymphatic and blood vascular destinies. PROX1 directly affects the promotion and maintenance of the lymphatic endothelial cell phenotype. Its activity is fundamental to the development and maintenance of several organs and tissues impacting overall physiological function.

Pathways

The transcription factor PROX1 integrates into the VEGF signaling pathway and the Wnt signaling pathway. Within these pathways it interacts closely with other proteins such as VEGF-C and β-catenin. PROX1 modulates these pathways to orchestrate cell proliferation migration and vessel formation. Through its interactions PROX1 significantly contributes to the intricate communication between cells in developing tissues.

Research indicates that dysregulation of PROX1 is linked to cancer and lymphatic diseases. In cancer particularly colorectal and breast cancers aberrant PROX1 expression can promote tumor progression. It interacts with proteins like NF-κB which influence inflammatory responses and cell survival. Similarly in lymphedema altered PROX1 can disrupt normal lymphatic development affecting fluid balance and immune function in the body.

Product protocols

For this product, it's our understanding that no specific protocols are required. You can visit:

Target data

Transcription factor involved in developmental processes such as cell fate determination, gene transcriptional regulation and progenitor cell regulation in a number of organs. Plays a critical role in embryonic development and functions as a key regulatory protein in neurogenesis and the development of the heart, eye lens, liver, pancreas and the lymphatic system. Involved in the regulation of the circadian rhythm. Represses : transcription of the retinoid-related orphan receptor RORG, transcriptional activator activity of RORA and RORG and the expression of RORA/G-target genes including core clock components : BMAL1, NPAS2 and CRY1 and metabolic genes : AVPR1A and ELOVL3.
See full target information PROX1

Publications (1)

Recent publications for all applications. Explore the full list and refine your search

Journal of cardiovascular pharmacology 80:609-615 PubMed35881902

2022

Sestrin2 Is Increased in Calcific Aortic Disease and Inhibits Osteoblastic Differentiation in Valvular Interstitial Cells via the Nuclear Factor E2-related Factor 2 Pathway.

Applications

Unspecified application

Species

Unspecified reactive species

Haixiong Wang,Jicheng Xi,Zhibiao Zhang,Jun Li,Liping Guo,Na Li,Yuehui Sun,Xiaofang Li,Xuebin Han
View all publications
chicCutRunSequencingBooklet
en

Product promise

We are committed to supporting your work with high-quality reagents, and we're here for you every step of the way. In the unlikely event that one of our products does not perform as expected, you're protected by our Product Promise.
For full details, please see our Terms & Conditions

Please note: All products are 'FOR RESEARCH USE ONLY. NOT FOR USE IN DIAGNOSTIC OR THERAPEUTIC PROCEDURES'.

For licensing inquiries, please contact partnerships@abcam.com