JavaScript is disabled in your browser. Please enable JavaScript to view this website.
AB126776

Anti-PRP19 antibody [EPR7446]

Be the first to review this product! Submit a review

|

(5 Publications)

Rabbit Recombinant Monoclonal PRP19 antibody. Suitable for IHC-P, WB and reacts with Human, Mouse, Rat samples. Cited in 5 publications.

View Alternative Names

NMP200, PRP19, SNEV, PRPF19, Pre-mRNA-processing factor 19, Nuclear matrix protein 200, PRP19/PSO4 homolog, RING-type E3 ubiquitin transferase PRP19, Senescence evasion factor, hPso4

4 Images
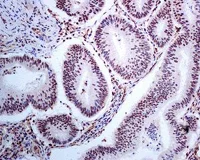
Immunohistochemistry (Formalin/PFA-fixed paraffin-embedded sections) - Anti-PRP19 antibody [EPR7446] (AB126776)
  • IHC-P

Unknown

Immunohistochemistry (Formalin/PFA-fixed paraffin-embedded sections) - Anti-PRP19 antibody [EPR7446] (AB126776)

ab126776 at 1/50 dilution staining PRP19 in Paraffin-embedded Human colon carcinoma tissue by Immunohistochemistry.

Perform heat mediated antigen retrieval before commencing with IHC staining protocol.

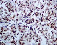
Immunohistochemistry (Formalin/PFA-fixed paraffin-embedded sections) - Anti-PRP19 antibody [EPR7446] (AB126776)
  • IHC-P

Unknown

Immunohistochemistry (Formalin/PFA-fixed paraffin-embedded sections) - Anti-PRP19 antibody [EPR7446] (AB126776)

ab126776 at 1/50 dilution staining PRP19 in Paraffin-embedded Human breast carcinoma tissue by Immunohistochemistry.

Perform heat mediated antigen retrieval before commencing with IHC staining protocol.

Western blot - Anti-PRP19 antibody [EPR7446] (AB126776)
  • WB

Unknown

Western blot - Anti-PRP19 antibody [EPR7446] (AB126776)

All lanes:

Western blot - Anti-PRP19 antibody [EPR7446] (ab126776) at 1/1000 dilution

Lane 1:

HepG2 cell lysate at 10 µg

Lane 2:

A431 cell lysate at 10 µg

Lane 3:

MCF7 cell lysate at 10 µg

Lane 4:

PC-12 cell lysate at 10 µg

Lane 5:

NIH/3T3 cell lysate at 10 µg

Lane 6:

HeLa cell lysate at 10 µg

Lane 7:

K562 cell lysate at 10 µg

Lane 8:

U937 cell lysate at 10 µg

Secondary

All lanes:

Goat anti-rabbit HRP conjugated at 1/2000 dilution

Predicted band size: 55 kDa

false

OI-RD Scanning - Anti-PRP19 antibody [EPR7446] (AB126776)
  • OI-RD Scanning

Unknown

OI-RD Scanning - Anti-PRP19 antibody [EPR7446] (AB126776)

We have systematically measured KD (the equilibrium dissociation constant between the antibody and its antigen), of more than 840 recombinant antibodies to assess not only their individual KD values but also to see the average affinity of antibody. Based on the comparison with published literature values for mouse monoclonal antibodies, Recombinant antibodies appear to be on average 1-2 order of magnitude higher affinity.

  • Carrier free

    Anti-PRP19 antibody [EPR7446] - BSA and Azide free

Key facts

Host species

Rabbit

Clonality

Monoclonal

Clone number

EPR7446

Isotype

IgG

Carrier free

No

Reacts with

Mouse, Rat, Human

Applications

WB, IHC-P

applications

Immunogen

The exact immunogen used to generate this antibody is proprietary information.

Reactivity data

{ "title": "Reactivity Data", "filters": { "stats": ["", "Species", "Dilution Info", "Notes"], "tabs": { "all-applications": {"fullname" : "All Applications", "shortname": "All Applications"}, "IHCP" : {"fullname" : "Immunohistochemistry (Formalin/PFA-fixed paraffin-embedded sections)", "shortname":"IHC-P"}, "IP" : {"fullname" : "Immunoprecipitation", "shortname":"IP"}, "WB" : {"fullname" : "Western blot", "shortname":"WB"} }, "product-promise": { "all": "all", "testedAndGuaranteed": "tested", "guaranteed": "expected", "predicted": "predicted", "notRecommended": "not-recommended" } }, "values": { "Human": { "IHCP-species-checked": "testedAndGuaranteed", "IHCP-species-dilution-info": "1/50 - 1/100", "IHCP-species-notes": "<p></p>", "IP-species-checked": "notRecommended", "IP-species-dilution-info": "", "IP-species-notes": "<p></p>", "WB-species-checked": "testedAndGuaranteed", "WB-species-dilution-info": "1/1000 - 1/10000", "WB-species-notes": "<p></p>" }, "Mouse": { "IHCP-species-checked": "guaranteed", "IHCP-species-dilution-info": "", "IHCP-species-notes": "", "IP-species-checked": "notRecommended", "IP-species-dilution-info": "", "IP-species-notes": "<p></p>", "WB-species-checked": "testedAndGuaranteed", "WB-species-dilution-info": "1/1000 - 1/10000", "WB-species-notes": "<p></p>" }, "Rat": { "IHCP-species-checked": "guaranteed", "IHCP-species-dilution-info": "", "IHCP-species-notes": "", "IP-species-checked": "notRecommended", "IP-species-dilution-info": "", "IP-species-notes": "<p></p>", "WB-species-checked": "testedAndGuaranteed", "WB-species-dilution-info": "1/1000 - 1/10000", "WB-species-notes": "<p></p>" } } }

Product details

Patented technology
Our RabMAb® technology is a patented hybridoma-based technology for making rabbit monoclonal antibodies. For details on our patents, please refer to RabMAb® patents.

What are the advantages of a recombinant monoclonal antibody?
This product is a recombinant monoclonal antibody, which offers several advantages including:

  • - High batch-to-batch consistency and reproducibility
  • - Improved sensitivity and specificity
  • - Long-term security of supply
  • - Animal-free batch production

For more information, read more on recombinant antibodies.

Properties and storage information

Form
Liquid
Purification technique
Affinity purification Protein A
Storage buffer
pH: 7.2 - 7.4 Preservative: 0.01% Sodium azide Constituents: PBS, 50% Tissue culture supernatant, 40% Glycerol (glycerin, glycerine), 0.05% BSA
Shipped at conditions
Blue Ice
Appropriate short-term storage duration
1-2 weeks
Appropriate short-term storage conditions
+4°C
Appropriate long-term storage conditions
-20°C
Aliquoting information
Upon delivery aliquot
Storage information
Avoid freeze / thaw cycle

Supplementary information

This supplementary information is collated from multiple sources and compiled automatically.

The PRP19 protein also known as Pre-mRNA Processing factor 19 weighs approximately 55 kDa. This protein plays a role in the splicing of pre-mRNA by functioning as part of the spliceosome complex. PRP19 is expressed in many tissues and cells which reflects its important role in RNA processing. It is not confined to a specific type of tissue indicating its broad relevance in cellular processes. Mechanically PRP19 acts by enhancing the efficiency of splicing ensuring that mRNA molecules are properly matured for translation.
Biological function summary

PRP19 engages in multiple processes beyond its initial splicing role. It forms part of the NTC complex which is critical for the activation of the spliceosome. This complex includes other key proteins essential for RNA splicing transition phases. Additionally PRP19 contributes to DNA repair mechanisms playing a part in maintaining genomic integrity under stress conditions. Its role in these processes demonstrates its versatile functionality in cell homeostasis and response to damage.

Pathways

Experts recognize PRP19's involvement in the mRNA processing and DNA damage response pathways. These pathways are key to understanding how cells manage genetic information and react to physiological challenges. PRP19 interacts with other proteins such as CDC5L and PLRG1 within these pathways illustrating its interconnected role in cellular regulation. These associations underline how PRP19 integrates into critical networks that balance gene expression and genome stability.

Researchers have linked PRP19 to cancer and neurodegenerative disorders. In cancer abnormal PRP19 function may contribute to unchecked cell growth by impacting mRNA splicing and DNA repair. In neurodegenerative diseases its dysfunction might influence neuron survival through defective RNA processing. The relationship of PRP19 with proteins like BRCA1 in the context of cancer further highlights its significance in disease mechanisms. As such PRP19 serves as a potential target for therapeutic exploration.

Product protocols

For this product, it's our understanding that no specific protocols are required. You can visit:

Target data

Ubiquitin-protein ligase which is a core component of several complexes mainly involved pre-mRNA splicing and DNA repair. Required for pre-mRNA splicing as component of the spliceosome (PubMed : 28076346, PubMed : 28502770, PubMed : 29301961, PubMed : 29360106, PubMed : 30705154). Core component of the PRP19C/Prp19 complex/NTC/Nineteen complex which is part of the spliceosome and participates in its assembly, its remodeling and is required for its activity. During assembly of the spliceosome, mediates 'Lys-63'-linked polyubiquitination of the U4 spliceosomal protein PRPF3. Ubiquitination of PRPF3 allows its recognition by the U5 component PRPF8 and stabilizes the U4/U5/U6 tri-snRNP spliceosomal complex (PubMed : 20595234). Recruited to RNA polymerase II C-terminal domain (CTD) and the pre-mRNA, it may also couple the transcriptional and spliceosomal machineries (PubMed : 21536736). The XAB2 complex, which contains PRPF19, is also involved in pre-mRNA splicing, transcription and transcription-coupled repair (PubMed : 17981804). Beside its role in pre-mRNA splicing PRPF19, as part of the PRP19-CDC5L complex, plays a role in the DNA damage response/DDR. It is recruited to the sites of DNA damage by the RPA complex where PRPF19 directly ubiquitinates RPA1 and RPA2. 'Lys-63'-linked polyubiquitination of the RPA complex allows the recruitment of the ATR-ATRIP complex and the activation of ATR, a master regulator of the DNA damage response (PubMed : 24332808). May also play a role in DNA double-strand break (DSB) repair by recruiting the repair factor SETMAR to altered DNA (PubMed : 18263876). As part of the PSO4 complex may also be involved in the DNA interstrand cross-links/ICLs repair process (PubMed : 16223718). In addition, may also mediate 'Lys-48'-linked polyubiquitination of substrates and play a role in proteasomal degradation (PubMed : 11435423). May play a role in the biogenesis of lipid droplets (By similarity). May play a role in neural differentiation possibly through its function as part of the spliceosome (By similarity).
See full target information PRPF19

Publications (5)

Recent publications for all applications. Explore the full list and refine your search

Scientific reports 15:315 PubMed39747150

2025

CDC40 suppression induces CDCA5 splicing defects and anti-proliferative effects in lung cancer cells.

Applications

Unspecified application

Species

Unspecified reactive species

Die Hu,Brigitte L Thériault,Vida Talebian,Laurent Hoffer,Julie Owen,Justin Lim,Benjamin J Blencowe,Evelyne Lima-Fernandes,Punit Saraon,Richard Marcellus,Rima Al-Awar

Cytotechnology 76:85-96 PubMed38304628

2024

PRPF19 functions in DNA damage repair and gemcitabine sensitivity via regulating DDB1 in bladder cancer cells.

Applications

Unspecified application

Species

Unspecified reactive species

Jingjiang Yu,Shuxiong Ge

Frontiers in immunology 14:1289198 PubMed38022515

2023

Comprehensive analysis of PRPF19 immune infiltrates, DNA methylation, senescence-associated secretory phenotype and ceRNA network in bladder cancer.

Applications

Unspecified application

Species

Unspecified reactive species

YaXuan Wang,Jinfeng Wang,JiaXing He,Bo Ji,ZhongQi Pang,JianShe Wang,Yang Liu,MingHua Ren

Frontiers in oncology 10:575366 PubMed33224878

2020

Prp19 Is an Independent Prognostic Marker and Promotes Neuroblastoma Metastasis by Regulating the Hippo-YAP Signaling Pathway.

Applications

Unspecified application

Species

Unspecified reactive species

Yuanxia Cai,Kai Chen,Cheng Cheng,Yonghu Xu,Qianqian Cheng,Guofeng Xu,Yeming Wu,Zhixiang Wu

Cell cycle (Georgetown, Tex.) 15:1591-601 PubMed27104882

2016

Unraveling molecular effects of ADAR1 overexpression in HEK293T cells by label-free quantitative proteomics.

Applications

Unspecified application

Species

Unspecified reactive species

Jisheng Guo,Xiaoyue Wang,Xin Lü,Ruirui Jing,Junqiang Li,CuiLing Li,Daoguang Wang,Baibin Bi,Xinjun Chen,Fengqin Wang,Shengnan Sun,Jing Gong,Kazem M Azadzoi,Jing-Hua Yang
View all publications

Product promise

We are committed to supporting your work with high-quality reagents, and we're here for you every step of the way. In the unlikely event that one of our products does not perform as expected, you're protected by our Product Promise.
For full details, please see our Terms & Conditions

Please note: All products are 'FOR RESEARCH USE ONLY. NOT FOR USE IN DIAGNOSTIC OR THERAPEUTIC PROCEDURES'.

For licensing inquiries, please contact partnerships@abcam.com