JavaScript is disabled in your browser. Please enable JavaScript to view this website.
AB99292

Anti-PRP6/ANT-1 antibody

Be the first to review this product! Submit a review

|

(5 Publications)

Rabbit Polyclonal PRP6/ANT-1 antibody. Suitable for IHC-P, IP, WB and reacts with Human, Mouse samples. Cited in 5 publications. Immunogen corresponding to Synthetic Peptide within Human PRPF6 aa 1-50.

View Alternative Names

C20orf14, PRPF6, Pre-mRNA-processing factor 6, Androgen receptor N-terminal domain-transactivating protein 1, PRP6 homolog, U5 snRNP-associated 102 kDa protein, ANT-1, U5-102 kDa protein

3 Images
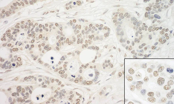
Immunohistochemistry (Formalin/PFA-fixed paraffin-embedded sections) - Anti-PRP6/ANT-1 antibody (AB99292)
  • IHC-P

Unknown

Immunohistochemistry (Formalin/PFA-fixed paraffin-embedded sections) - Anti-PRP6/ANT-1 antibody (AB99292)

Immunohistochemistry (Formalin/PFA-fixed paraffin-embedded sections) analysis of human ovarian carcinoma tissue labelling PRP6 with ab99292 at 1/200 (1µg/ml). Detection : DAB.

Immunoprecipitation - Anti-PRP6/ANT-1 antibody (AB99292)
  • IP

Unknown

Immunoprecipitation - Anti-PRP6/ANT-1 antibody (AB99292)

Lane 1 : Detection of Human PRP6/ANT-1 by immunoprecipitation from HeLa (1 mg for IP, 20% of IP loaded), using 3μg/ml ab99292. Lane 2 : Control IgG

All lanes:

Immunoprecipitation - Anti-PRP6/ANT-1 antibody (ab99292)

Predicted band size: 106 kDa

false

Western blot - Anti-PRP6/ANT-1 antibody (AB99292)
  • WB

Unknown

Western blot - Anti-PRP6/ANT-1 antibody (AB99292)

All lanes:

Western blot - Anti-PRP6/ANT-1 antibody (ab99292) at 0.04 µg/mL

Lane 1:

HeLa whole cell lysate at 50 µg

Lane 2:

HeLa whole cell lysate at 15 µg

Lane 3:

HeLa whole cell lysate at 5 µg

Lane 4:

293T whole cell lysate at 50 µg

Lane 5:

NIH3T3 whole cell lysate at 50 µg

Predicted band size: 106 kDa

false

Exposure time: 30s

Key facts

Host species

Rabbit

Clonality

Polyclonal

Isotype

IgG

Carrier free

No

Reacts with

Mouse, Human

Applications

WB, IHC-P, IP

applications

Immunogen

Synthetic Peptide within Human PRPF6 aa 1-50. The exact immunogen used to generate this antibody is proprietary information.

O94906

Reactivity data

{ "title": "Reactivity Data", "filters": { "stats": ["", "Species", "Dilution Info", "Notes"], "tabs": { "all-applications": {"fullname" : "All Applications", "shortname": "All Applications"}, "IHCP" : {"fullname" : "Immunohistochemistry (Formalin/PFA-fixed paraffin-embedded sections)", "shortname":"IHC-P"}, "IP" : {"fullname" : "Immunoprecipitation", "shortname":"IP"}, "WB" : {"fullname" : "Western blot", "shortname":"WB"} }, "product-promise": { "all": "all", "testedAndGuaranteed": "tested", "guaranteed": "expected", "predicted": "predicted", "notRecommended": "not-recommended" } }, "values": { "Human": { "IHCP-species-checked": "testedAndGuaranteed", "IHCP-species-dilution-info": "1/100 - 1/1000", "IHCP-species-notes": "<p></p> Perform heat-mediated antigen retrieval with citrate buffer pH 6 before commencing with IHC staining protocol.", "IP-species-checked": "testedAndGuaranteed", "IP-species-dilution-info": "2-5 µg/mg of lysate", "IP-species-notes": "<p></p>", "WB-species-checked": "testedAndGuaranteed", "WB-species-dilution-info": "1/2000 - 1/10000", "WB-species-notes": "<p></p>" }, "Mouse": { "IHCP-species-checked": "guaranteed", "IHCP-species-dilution-info": "", "IHCP-species-notes": "", "IP-species-checked": "guaranteed", "IP-species-dilution-info": "", "IP-species-notes": "", "WB-species-checked": "testedAndGuaranteed", "WB-species-dilution-info": "1/2000 - 1/10000", "WB-species-notes": "<p></p>" }, "Rat": { "IHCP-species-checked": "predicted", "IHCP-species-dilution-info": "", "IHCP-species-notes": "", "IP-species-checked": "predicted", "IP-species-dilution-info": "", "IP-species-notes": "", "WB-species-checked": "predicted", "WB-species-dilution-info": "", "WB-species-notes": "" }, "Chicken": { "IHCP-species-checked": "predicted", "IHCP-species-dilution-info": "", "IHCP-species-notes": "", "IP-species-checked": "predicted", "IP-species-dilution-info": "", "IP-species-notes": "", "WB-species-checked": "predicted", "WB-species-dilution-info": "", "WB-species-notes": "" }, "Chimpanzee": { "IHCP-species-checked": "predicted", "IHCP-species-dilution-info": "", "IHCP-species-notes": "", "IP-species-checked": "predicted", "IP-species-dilution-info": "", "IP-species-notes": "", "WB-species-checked": "predicted", "WB-species-dilution-info": "", "WB-species-notes": "" }, "Cow": { "IHCP-species-checked": "predicted", "IHCP-species-dilution-info": "", "IHCP-species-notes": "", "IP-species-checked": "predicted", "IP-species-dilution-info": "", "IP-species-notes": "", "WB-species-checked": "predicted", "WB-species-dilution-info": "", "WB-species-notes": "" }, "Dog": { "IHCP-species-checked": "predicted", "IHCP-species-dilution-info": "", "IHCP-species-notes": "", "IP-species-checked": "predicted", "IP-species-dilution-info": "", "IP-species-notes": "", "WB-species-checked": "predicted", "WB-species-dilution-info": "", "WB-species-notes": "" }, "Gorilla": { "IHCP-species-checked": "predicted", "IHCP-species-dilution-info": "", "IHCP-species-notes": "", "IP-species-checked": "predicted", "IP-species-dilution-info": "", "IP-species-notes": "", "WB-species-checked": "predicted", "WB-species-dilution-info": "", "WB-species-notes": "" }, "Guinea pig": { "IHCP-species-checked": "predicted", "IHCP-species-dilution-info": "", "IHCP-species-notes": "", "IP-species-checked": "predicted", "IP-species-dilution-info": "", "IP-species-notes": "", "WB-species-checked": "predicted", "WB-species-dilution-info": "", "WB-species-notes": "" }, "Orangutan": { "IHCP-species-checked": "predicted", "IHCP-species-dilution-info": "", "IHCP-species-notes": "", "IP-species-checked": "predicted", "IP-species-dilution-info": "", "IP-species-notes": "", "WB-species-checked": "predicted", "WB-species-dilution-info": "", "WB-species-notes": "" }, "Pig": { "IHCP-species-checked": "predicted", "IHCP-species-dilution-info": "", "IHCP-species-notes": "", "IP-species-checked": "predicted", "IP-species-dilution-info": "", "IP-species-notes": "", "WB-species-checked": "predicted", "WB-species-dilution-info": "", "WB-species-notes": "" }, "Platypus": { "IHCP-species-checked": "predicted", "IHCP-species-dilution-info": "", "IHCP-species-notes": "", "IP-species-checked": "predicted", "IP-species-dilution-info": "", "IP-species-notes": "", "WB-species-checked": "predicted", "WB-species-dilution-info": "", "WB-species-notes": "" }, "Rhesus monkey": { "IHCP-species-checked": "predicted", "IHCP-species-dilution-info": "", "IHCP-species-notes": "", "IP-species-checked": "predicted", "IP-species-dilution-info": "", "IP-species-notes": "", "WB-species-checked": "predicted", "WB-species-dilution-info": "", "WB-species-notes": "" }, "Xenopus laevis": { "IHCP-species-checked": "predicted", "IHCP-species-dilution-info": "", "IHCP-species-notes": "", "IP-species-checked": "predicted", "IP-species-dilution-info": "", "IP-species-notes": "", "WB-species-checked": "predicted", "WB-species-dilution-info": "", "WB-species-notes": "" }, "Xenopus tropicalis": { "IHCP-species-checked": "predicted", "IHCP-species-dilution-info": "", "IHCP-species-notes": "", "IP-species-checked": "predicted", "IP-species-dilution-info": "", "IP-species-notes": "", "WB-species-checked": "predicted", "WB-species-dilution-info": "", "WB-species-notes": "" } } }

Properties and storage information

Form
Liquid
Purification technique
Affinity purification Immunogen
Storage buffer
pH: 6.8 - 7.4 Preservative: 0.09% Sodium azide Constituents: Tris buffered saline, 0.1% BSA
Shipped at conditions
Blue Ice
Appropriate short-term storage conditions
+4°C
Appropriate long-term storage conditions
+4°C
Aliquoting information
Upon delivery aliquot
Storage information
Avoid freeze / thaw cycle

Supplementary information

This supplementary information is collated from multiple sources and compiled automatically.

PRP6 also known as ANT-1 is a protein involved in pre-mRNA splicing. Its molecular mass is approximately 111 kDa. PRP6 is expressed ubiquitously across different tissues but shows higher expression in cells with high transcriptional activity. It functions as a part of the spliceosome a large complex responsible for the removal of introns from pre-mRNA. The protein's structure consists of distinct domains that mediate interactions with other spliceosomal components which ensures proper assembly and function.
Biological function summary

This protein has a significant role in regulating gene expression at the post-transcriptional level. PRP6 forms part of the U4/U6-U5 tri-snRNP complex in the spliceosome. This complex plays an important role during spliceosome assembly and the activation process. By facilitating accurate splicing PRP6 influences the diversity of proteins produced by cells. It interacts directly with other proteins like ANT-Anti which contribute to its function.

Pathways

Several key processes involve PRP6's function. It integrates into the splicing pathway which is essential for mRNA maturation. PRP6 is related to proteins like ANT1s which regulates energy metabolism and homeostasis. In addition PRP6 participates in pathways that control the cellular response to different growth factors and environmental signals. This role links PRP6 to the regulation of other important cellular functions including cell growth and differentiation.

Research indicates that impairment in PRP6 function may associate with certain types of cancer and splicing-related genetic disorders. Altered splicing patterns often lead to oncogenic transformations connecting PRP6 to cancer development through pathways involving proteins such as ANT-Anti. Moreover mutations or malfunctions in splicing factors like PRP6 can result in various neurodegenerative diseases highlighting its critical role in maintaining transcriptome integrity.

Product protocols

For this product, it's our understanding that no specific protocols are required. You can visit:

Target data

Involved in pre-mRNA splicing as component of the U4/U6-U5 tri-snRNP complex, one of the building blocks of the spliceosome (PubMed : 20118938, PubMed : 21549338, PubMed : 28781166). Enhances dihydrotestosterone-induced transactivation activity of AR, as well as dexamethasone-induced transactivation activity of NR3C1, but does not affect estrogen-induced transactivation.
See full target information PRPF6

Publications (5)

Recent publications for all applications. Explore the full list and refine your search

Nature 630:1012-1019 PubMed38778104

2024

Structural insights into the cross-exon to cross-intron spliceosome switch.

Applications

Unspecified application

Species

Unspecified reactive species

Zhenwei Zhang,Vinay Kumar,Olexandr Dybkov,Cindy L Will,Jiayun Zhong,Sebastian E J Ludwig,Henning Urlaub,Berthold Kastner,Holger Stark,Reinhard Lührmann

Oncology research 29:275-289 PubMed37303939

2023

PRPF6 promotes metastasis and paclitaxel resistance of ovarian cancer via SNHG16/CEBPB/GATA3 axis.

Applications

Unspecified application

Species

Unspecified reactive species

Han Wang,Yingying Zhou,Siyang Zhang,Y A Qi,Min Wang

Nucleic acids research 50:5263-5281 PubMed35489070

2022

Reovirus μ2 protein modulates host cell alternative splicing by reducing protein levels of U5 snRNP core components.

Applications

Unspecified application

Species

Unspecified reactive species

Simon Boudreault,Mathieu Durand,Carole-Anne Martineau,Jean-Pierre Perreault,Guy Lemay,Martin Bisaillon

Nature communications 8:15615 PubMed28561026

2017

R2TP/Prefoldin-like component RUVBL1/RUVBL2 directly interacts with ZNHIT2 to regulate assembly of U5 small nuclear ribonucleoprotein.

Applications

WB

Species

Unspecified reactive species

Philippe Cloutier,Christian Poitras,Mathieu Durand,Omid Hekmat,Émilie Fiola-Masson,Annie Bouchard,Denis Faubert,Benoit Chabot,Benoit Coulombe

PLoS pathogens 10:e1004199 PubMed24968230

2014

Cytoplasmic viral RNA-dependent RNA polymerase disrupts the intracellular splicing machinery by entering the nucleus and interfering with Prp8.

Applications

WB

Species

Human

Yen-Chin Liu,Rei-Lin Kuo,Jing-Yi Lin,Peng-Nien Huang,Yi Huang,Hsuan Liu,Jamine J Arnold,Shu-Jen Chen,Robert Yung-Liang Wang,Craig E Cameron,Shin-Ru Shih
View all publications

Product promise

We are committed to supporting your work with high-quality reagents, and we're here for you every step of the way. In the unlikely event that one of our products does not perform as expected, you're protected by our Product Promise.
For full details, please see our Terms & Conditions

Please note: All products are 'FOR RESEARCH USE ONLY. NOT FOR USE IN DIAGNOSTIC OR THERAPEUTIC PROCEDURES'.

For licensing inquiries, please contact partnerships@abcam.com