JavaScript is disabled in your browser. Please enable JavaScript to view this website.
AB184127

Anti-PRPF31 antibody

Be the first to review this product! Submit a review

|

(1 Publication)

Rabbit Polyclonal PRPF31 antibody. Suitable for WB, IHC-P and reacts with Human, Mouse, Rat samples. Cited in 1 publication. Immunogen corresponding to Recombinant Fragment Protein within Human PRPF31 aa 200 to C-terminus.

View Alternative Names

PRP31, PRPF31, U4/U6 small nuclear ribonucleoprotein Prp31, Pre-mRNA-processing factor 31, Serologically defined breast cancer antigen NY-BR-99, U4/U6 snRNP 61 kDa protein, Protein 61K, hPrp31

3 Images
Immunohistochemistry (Formalin/PFA-fixed paraffin-embedded sections) - Anti-PRPF31 antibody (AB184127)
  • IHC-P

Supplier Data

Immunohistochemistry (Formalin/PFA-fixed paraffin-embedded sections) - Anti-PRPF31 antibody (AB184127)

Immunohistochemical analysis of paraffin-embedded mouse testis tissue labelling PRPF31 protein at nucleus speckles with ab184127 at a 1/500 dilution.

Antigen retrieval : Trilogy™ (EDTA based, pH 8.0) buffer, 15min

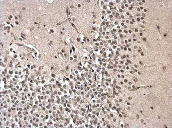
Immunohistochemistry (Formalin/PFA-fixed paraffin-embedded sections) - Anti-PRPF31 antibody (AB184127)
  • IHC-P

Supplier Data

Immunohistochemistry (Formalin/PFA-fixed paraffin-embedded sections) - Anti-PRPF31 antibody (AB184127)

Immunohistochemical analysis of paraffin-embedded rat fore brain tissue labelling PRPF31 protein at nucleus speckles with ab184127 at a 1/500 dilution.

Antigen retrieval : Trilogy™ (EDTA based, pH 8.0) buffer, 15min

Western blot - Anti-PRPF31 antibody (AB184127)
  • WB

Supplier Data

Western blot - Anti-PRPF31 antibody (AB184127)

7.5 % SDS-PAGE

All lanes:

Western blot - Anti-PRPF31 antibody (ab184127) at 1/1000 dilution

Lane 1:

A549 cell lysate

Lane 2:

H1299 cell lysate

Lane 3:

HCT116 whole cell lysate

Predicted band size: 55 kDa

false

Key facts

Host species

Rabbit

Clonality

Polyclonal

Isotype

IgG

Carrier free

No

Reacts with

Mouse, Rat, Human

Applications

IHC-P, WB

applications

Immunogen

Recombinant Fragment Protein within Human PRPF31 aa 200 to C-terminus. The exact immunogen used to generate this antibody is proprietary information.

Q8WWY3

Reactivity data

{ "title": "Reactivity Data", "filters": { "stats": ["", "Species", "Dilution Info", "Notes"], "tabs": { "all-applications": {"fullname" : "All Applications", "shortname": "All Applications"}, "WB" : {"fullname" : "Western blot", "shortname":"WB"}, "IHCP" : {"fullname" : "Immunohistochemistry (Formalin/PFA-fixed paraffin-embedded sections)", "shortname":"IHC-P"} }, "product-promise": { "all": "all", "testedAndGuaranteed": "tested", "guaranteed": "expected", "predicted": "predicted", "notRecommended": "not-recommended" } }, "values": { "Human": { "WB-species-checked": "testedAndGuaranteed", "WB-species-dilution-info": "1/500 - 1/3000", "WB-species-notes": "<p></p>", "IHCP-species-checked": "guaranteed", "IHCP-species-dilution-info": "", "IHCP-species-notes": "" }, "Mouse": { "WB-species-checked": "guaranteed", "WB-species-dilution-info": "", "WB-species-notes": "", "IHCP-species-checked": "testedAndGuaranteed", "IHCP-species-dilution-info": "1/100 - 1/1000", "IHCP-species-notes": "<p></p>" }, "Rat": { "WB-species-checked": "guaranteed", "WB-species-dilution-info": "", "WB-species-notes": "", "IHCP-species-checked": "testedAndGuaranteed", "IHCP-species-dilution-info": "1/100 - 1/1000", "IHCP-species-notes": "<p></p>" }, "Cow": { "WB-species-checked": "predicted", "WB-species-dilution-info": "", "WB-species-notes": "", "IHCP-species-checked": "predicted", "IHCP-species-dilution-info": "", "IHCP-species-notes": "" }, "Rhesus monkey": { "WB-species-checked": "predicted", "WB-species-dilution-info": "", "WB-species-notes": "", "IHCP-species-checked": "predicted", "IHCP-species-dilution-info": "", "IHCP-species-notes": "" } } }

Properties and storage information

Form
Liquid
Purification technique
Affinity purification Immunogen
Storage buffer
pH: 7 Preservative: 0.01% Thimerosal (merthiolate) Constituents: PBS, 20% Glycerol (glycerin, glycerine)
Shipped at conditions
Blue Ice
Appropriate short-term storage duration
1-2 weeks
Appropriate short-term storage conditions
+4°C
Appropriate long-term storage conditions
-20°C
Aliquoting information
Upon delivery aliquot
Storage information
Avoid freeze / thaw cycle

Supplementary information

This supplementary information is collated from multiple sources and compiled automatically.

PRPF31 also known as pre-mRNA processing factor 31 is an important component of the spliceosomal complex. It weights approximately 56 kDa. This protein is expressed in various tissues with prominence in the retina. It plays a critical role in the assembly of the spliceosome by interacting with other splicing factors essential for processing pre-mRNA into mature mRNA.
Biological function summary

PRPF31 is involved in RNA splicing a process fundamental for gene expression. It forms part of the U4/U6-U5 snRNP complex which is responsible for catalyzing the splicing of pre-mRNA. PRPF31 facilitates the rearrangement of RNA and protein components within the spliceosome ensuring accurate splicing and removal of introns.

Pathways

The protein plays a role in the spliceosome pathway and genetic information processing. PRPF31 interacts with other splicing factors like PRPF6 and SNRNP200 within these pathways. Its activity is important for maintaining the fidelity and efficiency of spliceosome assembly and function linking gene regulation and expression to various cellular responses.

Mutations in PRPF31 lead to autosomal dominant retinitis pigmentosa a progressive retinal disorder. This condition connects PRPF31 to other retinal proteins like RP9. Its dysfunction disrupts normal splicing activities causing photoreceptor cell degeneration and vision loss. Understanding PRPF31's role provides insight into therapeutic targets for retinal diseases.

Product protocols

For this product, it's our understanding that no specific protocols are required. You can visit:

Target data

Involved in pre-mRNA splicing as component of the spliceosome (PubMed : 11867543, PubMed : 20118938, PubMed : 28781166). Required for the assembly of the U4/U5/U6 tri-snRNP complex, one of the building blocks of the spliceosome (PubMed : 11867543).
See full target information PRPF31

Publications (1)

Recent publications for all applications. Explore the full list and refine your search

Journal of oncology 2022:2164897 PubMed36405249

2022

GTPBP4: A New Therapeutic Target Gene Promotes Tumor Progression in Non-Small Cell Lung Cancer via EMT.

Applications

Unspecified application

Species

Unspecified reactive species

Junlu Wu,Guofei Chen,Weiwei Wang,Yang Yang,Yi Yuan,Anquan Shang,Wenqiang Quan,Lixin Wang
View all publications

Product promise

We are committed to supporting your work with high-quality reagents, and we're here for you every step of the way. In the unlikely event that one of our products does not perform as expected, you're protected by our Product Promise.
For full details, please see our Terms & Conditions

Please note: All products are 'FOR RESEARCH USE ONLY. NOT FOR USE IN DIAGNOSTIC OR THERAPEUTIC PROCEDURES'.

For licensing inquiries, please contact partnerships@abcam.com