JavaScript is disabled in your browser. Please enable JavaScript to view this website.
AB250970

Anti-PRPF31 antibody [EPR14587] - BSA and Azide free

Be the first to review this product! Submit a review

|

(1 Publication)

Rabbit Recombinant Monoclonal PRPF31 antibody. Carrier free. Suitable for ICC/IF, WB, Flow Cyt (Intra) and reacts with Human, Rat samples. Cited in 1 publication.

View Alternative Names

PRP31, PRPF31, U4/U6 small nuclear ribonucleoprotein Prp31, Pre-mRNA-processing factor 31, Serologically defined breast cancer antigen NY-BR-99, U4/U6 snRNP 61 kDa protein, Protein 61K, hPrp31

4 Images
Immunocytochemistry/ Immunofluorescence - Anti-PRPF31 antibody [EPR14587] - BSA and Azide free (AB250970)
  • ICC/IF

Supplier Data

Immunocytochemistry/ Immunofluorescence - Anti-PRPF31 antibody [EPR14587] - BSA and Azide free (AB250970)

This data was developed using ab188577, the same antibody clone in a different buffer formulation.

Immunofluorescence analysis of, paraformaldehyde-fixed, HeLa cells labeling PRPF31 with ab188577 at a 1/250 dilution. As secondary antibody goat anti-rabbit IgG (Alexa Fluor®488) was used at a 1/200. In blue DAPI staining.

Flow Cytometry (Intracellular) - Anti-PRPF31 antibody [EPR14587] - BSA and Azide free (AB250970)
  • Flow Cyt (Intra)

Supplier Data

Flow Cytometry (Intracellular) - Anti-PRPF31 antibody [EPR14587] - BSA and Azide free (AB250970)

This data was developed using ab188577, the same antibody clone in a different buffer formulation.

Intracellular Flow Cytometry analysis of paraformaldehyde-fixed HeLa cells labeling PRPF31 with ab188577 at a 1/240 dilution and secondary antibody goat anti-rabbit IgG (FITC, red) at a 1/150 dilution, or negative control rabbit IgG (green).

Western blot - Anti-PRPF31 antibody [EPR14587] - BSA and Azide free (AB250970)
  • WB

Supplier Data

Western blot - Anti-PRPF31 antibody [EPR14587] - BSA and Azide free (AB250970)

This data was developed using ab188577, the same antibody clone in a different buffer formulation.

All lanes:

Western blot - Anti-PRPF31 antibody [EPR14587] (<a href='/en-us/products/primary-antibodies/prpf31-antibody-epr14587-ab188577'>ab188577</a>) at 1/10000 dilution

Lane 1:

HeLa cell lysate at 20 µg

Lane 2:

Jurkat cell lysate at 20 µg

Secondary

All lanes:

goat anti-rabbit IgG, (H+L), peroxidase conjugated at 1/1000 dilution

Predicted band size: 55 kDa

Observed band size: 55 kDa

true

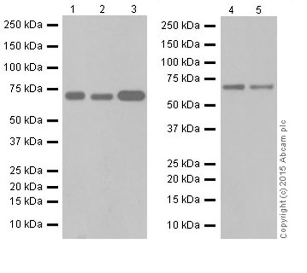
Western blot - Anti-PRPF31 antibody [EPR14587] - BSA and Azide free (AB250970)
  • WB

Supplier Data

Western blot - Anti-PRPF31 antibody [EPR14587] - BSA and Azide free (AB250970)

This data was developed using ab188577, the same antibody clone in a different buffer formulation.

All lanes:

Western blot - Anti-PRPF31 antibody [EPR14587] (<a href='/en-us/products/primary-antibodies/prpf31-antibody-epr14587-ab188577'>ab188577</a>) at 1/1000 dilution

All lanes:

Rat spleen tissue lysate at 10 µg

Secondary

All lanes:

goat anti-rabbit IgG, (H+L), peroxidase conjugated at 1/1000 dilution

Predicted band size: 55 kDa

Observed band size: 55 kDa

true

Key facts

Host species

Rabbit

Clonality

Monoclonal

Clone number

EPR14587

Isotype

IgG

Carrier free

Yes

Reacts with

Rat, Human

Applications

WB, ICC/IF, Flow Cyt (Intra)

applications

Immunogen

The exact immunogen used to generate this antibody is proprietary information.

Reactivity data

{ "title": "Reactivity Data", "filters": { "stats": ["", "Species", "Dilution Info", "Notes"], "tabs": { "all-applications": {"fullname" : "All Applications", "shortname": "All Applications"}, "ICCIF" : {"fullname" : "Immunocytochemistry/ Immunofluorescence", "shortname":"ICC/IF"}, "WB" : {"fullname" : "Western blot", "shortname":"WB"}, "FlowCytIntra" : {"fullname" : "Flow Cytometry (Intracellular)", "shortname":"Flow Cyt (Intra)"} }, "product-promise": { "all": "all", "testedAndGuaranteed": "tested", "guaranteed": "expected", "predicted": "predicted", "notRecommended": "not-recommended" } }, "values": { "Human": { "ICCIF-species-checked": "testedAndGuaranteed", "ICCIF-species-dilution-info": "", "ICCIF-species-notes": "<p></p>", "WB-species-checked": "testedAndGuaranteed", "WB-species-dilution-info": "", "WB-species-notes": "<p></p>", "FlowCytIntra-species-checked": "testedAndGuaranteed", "FlowCytIntra-species-dilution-info": "", "FlowCytIntra-species-notes": "<p></p>" }, "Rat": { "ICCIF-species-checked": "guaranteed", "ICCIF-species-dilution-info": "", "ICCIF-species-notes": "", "WB-species-checked": "testedAndGuaranteed", "WB-species-dilution-info": "", "WB-species-notes": "<p></p>", "FlowCytIntra-species-checked": "guaranteed", "FlowCytIntra-species-dilution-info": "", "FlowCytIntra-species-notes": "" } } }

Product details

ab250970 is the carrier-free version of ab188577.

Patented technology
Our RabMAb® technology is a patented hybridoma-based technology for making rabbit monoclonal antibodies. For details on our patents, please refer to RabMAb® patents.

What are the advantages of a recombinant monoclonal antibody?
This product is a recombinant monoclonal antibody, which offers several advantages including:

  • - High batch-to-batch consistency and reproducibility
  • - Improved sensitivity and specificity
  • - Long-term security of supply
  • - Animal-free batch production

For more information, read more on recombinant antibodies.

Conjugation ready
Our carrier-free antibodies are typically supplied in a PBS-only formulation, purified and free of BSA, sodium azide and glycerol. This conjugation-ready format is designed for use with fluorochromes, metal isotopes, oligonucleotides, and enzymes, which makes them ideal for antibody labelling, functional and cell-based assays, flow-based assays (e.g. mass cytometry) and Multiplex Imaging applications.

Use our conjugation kits for antibody conjugates that are ready-to-use in as little as 20 minutes with 1 minute hands-on-time and 100% antibody recovery: available for fluorescent dyes, HRP, biotin and gold.

Compatibility
This product is compatible with the Maxpar® Antibody Labeling Kit from Fluidigm, without the need for antibody preparation. Maxpar® is a trademark of Fluidigm Canada Inc.

Properties and storage information

Form
Liquid
Purification technique
Affinity purification Protein A
Storage buffer
pH: 7.2 - 7.4 Constituents: PBS
Shipped at conditions
Blue Ice
Appropriate short-term storage conditions
+4°C
Appropriate long-term storage conditions
+4°C
Storage information
Do Not Freeze

Supplementary information

This supplementary information is collated from multiple sources and compiled automatically.

PRPF31 also known as pre-mRNA processing factor 31 is an important component of the spliceosomal complex. It weights approximately 56 kDa. This protein is expressed in various tissues with prominence in the retina. It plays a critical role in the assembly of the spliceosome by interacting with other splicing factors essential for processing pre-mRNA into mature mRNA.
Biological function summary

PRPF31 is involved in RNA splicing a process fundamental for gene expression. It forms part of the U4/U6-U5 snRNP complex which is responsible for catalyzing the splicing of pre-mRNA. PRPF31 facilitates the rearrangement of RNA and protein components within the spliceosome ensuring accurate splicing and removal of introns.

Pathways

The protein plays a role in the spliceosome pathway and genetic information processing. PRPF31 interacts with other splicing factors like PRPF6 and SNRNP200 within these pathways. Its activity is important for maintaining the fidelity and efficiency of spliceosome assembly and function linking gene regulation and expression to various cellular responses.

Mutations in PRPF31 lead to autosomal dominant retinitis pigmentosa a progressive retinal disorder. This condition connects PRPF31 to other retinal proteins like RP9. Its dysfunction disrupts normal splicing activities causing photoreceptor cell degeneration and vision loss. Understanding PRPF31's role provides insight into therapeutic targets for retinal diseases.

Product protocols

For this product, it's our understanding that no specific protocols are required. You can visit:

Target data

Involved in pre-mRNA splicing as component of the spliceosome (PubMed : 11867543, PubMed : 20118938, PubMed : 28781166). Required for the assembly of the U4/U5/U6 tri-snRNP complex, one of the building blocks of the spliceosome (PubMed : 11867543).
See full target information PRPF31

Publications (1)

Recent publications for all applications. Explore the full list and refine your search

Genes 14: PubMed37239471

2023

Differential Regulation of POC5 by ERα in Human Normal and Scoliotic Cells.

Applications

Unspecified application

Species

Unspecified reactive species

Amani Hassan,Edward T Bagu,Shunmoogum A Patten,Sirinart Molidperee,Stefan Parent,Soraya Barchi,Isabelle Villemure,André Tremblay,Florina Moldovan
View all publications

Product promise

We are committed to supporting your work with high-quality reagents, and we're here for you every step of the way. In the unlikely event that one of our products does not perform as expected, you're protected by our Product Promise.
For full details, please see our Terms & Conditions

Please note: All products are 'FOR RESEARCH USE ONLY. NOT FOR USE IN DIAGNOSTIC OR THERAPEUTIC PROCEDURES'.

For licensing inquiries, please contact partnerships@abcam.com