JavaScript is disabled in your browser. Please enable JavaScript to view this website.
AB251351

Anti-PRPF4 antibody [EPR17206(B)] - BSA and Azide free

Be the first to review this product! Submit a review

|

(1 Publication)

Rabbit Recombinant Monoclonal PRPF4 antibody. Carrier free. Suitable for IP, WB, ICC/IF, Flow Cyt (Intra), IHC-P and reacts with Human samples. Cited in 1 publication.

View Alternative Names

PRP4, PRPF4, U4/U6 small nuclear ribonucleoprotein Prp4, PRP4 homolog, U4/U6 snRNP 60 kDa protein, WD splicing factor Prp4, hPrp4

7 Images
Flow Cytometry (Intracellular) - Anti-PRPF4 antibody [EPR17206(B)] - BSA and Azide free (AB251351)
  • Flow Cyt (Intra)

Lab

Flow Cytometry (Intracellular) - Anti-PRPF4 antibody [EPR17206(B)] - BSA and Azide free (AB251351)

This data was developed using ab201684, the same antibody clone in a different buffer formulation.

Intracellular Flow Cytometry analysis of HeLa cells labelling PRPF4 (red) with purified ab201684 at dilution of 1/50. The secondary antibody used was Alexa Fluor® 488 goat-anti-rabbit IgG (1/2000). Cells were fixed with 4% paraformaldehyde and permeabilised with 90% methanol. Isotype control antibody was Rabbit monoclonal IgG (black). The blue line shows cells without incubation with primary antibody and secondary antibody.

Immunocytochemistry/ Immunofluorescence - Anti-PRPF4 antibody [EPR17206(B)] - BSA and Azide free (AB251351)
  • ICC/IF

Lab

Immunocytochemistry/ Immunofluorescence - Anti-PRPF4 antibody [EPR17206(B)] - BSA and Azide free (AB251351)

This data was developed using ab201684, the same antibody clone in a different buffer formulation.

Immunofluorescent analysis of 4% paraformaldehyde-fixed, 0.1% Triton X-100 permeabilized HeLa (Human epithelial cells from cervix adenocarcinoma) cells labeling PRPF4 with ab201684 at 1/1200 dilution, followed by Goat anti-rabbit IgG (Alexa Fluor® 488) (ab150077) secondary antibody at 1/500 dilution (green). Confocal image showing nuclear staining on HeLa cell line. The nuclear counter stain is DAPI (blue). Tubulin is detected with ab7291 (anti-Tubulin mouse mAb) at 1/1000 dilution and ab150120 (AlexaFluor®594 Goat anti-Mouse secondary) at 1/500 dilution (red).

The negative controls are as follows :
-ve control 1 : ab201684 at 1/1200 dilution followed by ab150120 (AlexaFluor®594 Goat anti-Mouse secondary) at 1/500 dilution.
-ve control 2 : ab7291 (anti-Tubulin mouse mAb) at 1/1000 dilution followed by ab150077 (Alexa Fluor®488 Goat Anti-Rabbit IgG H&L) at 1/500 dilution.

Immunocytochemistry/ Immunofluorescence - Anti-PRPF4 antibody [EPR17206(B)] - BSA and Azide free (AB251351)
  • ICC/IF

Lab

Immunocytochemistry/ Immunofluorescence - Anti-PRPF4 antibody [EPR17206(B)] - BSA and Azide free (AB251351)

This data was developed using ab201684, the same antibody clone in a different buffer formulation.

Immunofluorescent analysis of 4% paraformaldehyde-fixed, 0.1% Triton X-100 permeabilized MCF7 (Human breast adenocarcinoma cell line) cells labeling PRPF4 with ab201684 at 1/1200 dilution, followed by Goat anti-rabbit IgG (Alexa Fluor® 488) (ab150077) secondary antibody at 1/500 dilution (green). Confocal image showing nuclear staining on MCF7 cell line. The nuclear counter stain is DAPI (blue). Tubulin is detected with ab7291 (anti-Tubulin mouse mAb) at 1/1000 dilution and ab150120 (AlexaFluor®594 Goat anti-Mouse secondary) at 1/500 dilution (red).

The negative controls are as follows :
-ve control 1 : ab201684 at 1/1200 dilution followed by ab150120 (AlexaFluor®594 Goat anti-Mouse secondary) at 1/500 dilution.
-ve control 2 : ab7291 (anti-Tubulin mouse mAb) at 1/1000 dilution followed by ab150077 (Alexa Fluor®488 Goat Anti-Rabbit IgG H&L) at 1/500 dilution.

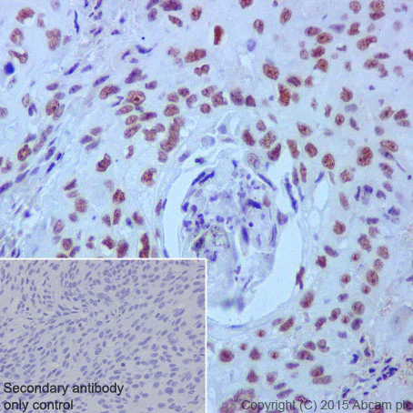
Immunohistochemistry (Formalin/PFA-fixed paraffin-embedded sections) - Anti-PRPF4 antibody [EPR17206(B)] - BSA and Azide free (AB251351)
  • IHC-P

Supplier Data

Immunohistochemistry (Formalin/PFA-fixed paraffin-embedded sections) - Anti-PRPF4 antibody [EPR17206(B)] - BSA and Azide free (AB251351)

This data was developed using ab201684, the same antibody clone in a different buffer formulation.

Immunohistochemical analysis of paraffin-embedded Human cervix carcinoma tissue labeling PRPF4 with ab201684 at 1/3000 dilution, followed by Goat Anti-Rabbit IgG H&L (HRP) (ab97051) secondary antibody at 1/500 dilution. Nuclear staining on Human cervix carcinoma tissue is observed. Counter stained with Hematoxylin.

Secondary antibody only control : Used PBS instead of primary antibody, secondary antibody is Goat Anti-Rabbit IgG H&L (HRP) (ab97051) at 1/500 dilution.

Perform heat mediated antigen retrieval with Tris/EDTA buffer pH 9.0 before commencing with IHC staining protocol.

Immunoprecipitation - Anti-PRPF4 antibody [EPR17206(B)] - BSA and Azide free (AB251351)
  • IP

Supplier Data

Immunoprecipitation - Anti-PRPF4 antibody [EPR17206(B)] - BSA and Azide free (AB251351)

This data was developed using ab201684, the same antibody clone in a different buffer formulation.

PRPF4 was immunoprecipitated from 1mg of HeLa (Human epithelial cells from cervix adenocarcinoma) whole cell lysate with ab201684 at 1/40 dilution. Western blot was performed from the immunoprecipitate using ab201684 at 1/1000 dilution. VeriBlot for IP Detection Reagent (HRP) (ab131366) was used for detection at 1/1500 dilution.

Lane 1 : HeLa whole cell lysate 10 μg (Input). Lane 2 : ab201684 IP in HeLa whole cell lysate. Lane 3 : Rabbit monoclonal IgG (ab172730) instead of ab201684 in HeLa whole cell lysate.
Blocking and dilution buffer and concentration : 5% NFDM/TBST.

Exposure time : 5 seconds.

All lanes:

Immunoprecipitation - Anti-PRPF4 antibody [EPR17206(B)] (<a href='/en-us/products/primary-antibodies/prpf4-antibody-epr17206b-ab201684'>ab201684</a>)

Predicted band size: 58 kDa

false

Western blot - Anti-PRPF4 antibody [EPR17206(B)] - BSA and Azide free (AB251351)
  • WB

Supplier Data

Western blot - Anti-PRPF4 antibody [EPR17206(B)] - BSA and Azide free (AB251351)

This data was developed using ab201684, the same antibody clone in a different buffer formulation.

Blocking and dilution buffer : 5% NFDM/TBST.

All lanes:

Western blot - Anti-PRPF4 antibody [EPR17206(B)] (<a href='/en-us/products/primary-antibodies/prpf4-antibody-epr17206b-ab201684'>ab201684</a>) at 1/5000 dilution

Lane 1:

HeLa (Human epithelial cells from cervix adenocarcinoma) whole cell lysate at 20 µg

Lane 2:

SW480 (Human colon adenocarcinoma cell line) whole cell lysate at 20 µg

Lane 3:

Raji (Human Burkitt's lymphoma cell line) whole cell lysate at 20 µg

Lane 4:

Jurkat (Human T cell leukemia cells from peripheral blood) whole cell lysate at 20 µg

Secondary

All lanes:

Goat Anti-Rabbit IgG, (H+L), Peroxidase conjugated at 1/1000 dilution

Predicted band size: 58 kDa

Observed band size: 58 kDa

false

Exposure time: 3min

Western blot - Anti-PRPF4 antibody [EPR17206(B)] - BSA and Azide free (AB251351)
  • WB

Supplier Data

Western blot - Anti-PRPF4 antibody [EPR17206(B)] - BSA and Azide free (AB251351)

This data was developed using ab201684, the same antibody clone in a different buffer formulation.

Blocking and dilution buffer : 5% NFDM/TBST.

All lanes:

Western blot - Anti-PRPF4 antibody [EPR17206(B)] (<a href='/en-us/products/primary-antibodies/prpf4-antibody-epr17206b-ab201684'>ab201684</a>) at 1/5000 dilution

All lanes:

Human fetal spleen lysate at 10 µg

Secondary

All lanes:

Anti-Rabbit IgG (HRP), specific to the non-reduced form of IgG at 1/1000 dilution

Predicted band size: 58 kDa

Observed band size: 58 kDa

false

Exposure time: 3min

  • Unconjugated

    Anti-PRPF4 antibody [EPR17206(B)]

  • 775 Alexa Fluor® 750

    Alexa Fluor® 750 Anti-PRPF4 antibody [EPR17206(B)]

  • 578 PE

    PE Anti-PRPF4 antibody [EPR17206(B)]

  • 660 APC

    APC Anti-PRPF4 antibody [EPR17206(B)]

  • HRP

    HRP Anti-PRPF4 antibody [EPR17206(B)]

  • 519 Alexa Fluor® 488

    Alexa Fluor® 488 Anti-PRPF4 antibody [EPR17206(B)]

  • 665 Alexa Fluor® 647

    Alexa Fluor® 647 Anti-PRPF4 antibody [EPR17206(B)]

  • 617 Alexa Fluor® 594

    Alexa Fluor® 594 Anti-PRPF4 antibody [EPR17206(B)]

  • 565 Alexa Fluor® 555

    Alexa Fluor® 555 Anti-PRPF4 antibody [EPR17206(B)]

  • 603 Alexa Fluor® 568

    Alexa Fluor® 568 Anti-PRPF4 antibody [EPR17206(B)]

Key facts

Host species

Rabbit

Clonality

Monoclonal

Clone number

EPR17206(B)

Isotype

IgG

Carrier free

Yes

Reacts with

Human

Applications

WB, Flow Cyt (Intra), ICC/IF, IP, IHC-P

applications

Immunogen

The exact immunogen used to generate this antibody is proprietary information.

Reactivity data

{ "title": "Reactivity Data", "filters": { "stats": ["", "Species", "Dilution Info", "Notes"], "tabs": { "all-applications": {"fullname" : "All Applications", "shortname": "All Applications"}, "IP" : {"fullname" : "Immunoprecipitation", "shortname":"IP"}, "WB" : {"fullname" : "Western blot", "shortname":"WB"}, "ICCIF" : {"fullname" : "Immunocytochemistry/ Immunofluorescence", "shortname":"ICC/IF"}, "FlowCytIntra" : {"fullname" : "Flow Cytometry (Intracellular)", "shortname":"Flow Cyt (Intra)"}, "IHCP" : {"fullname" : "Immunohistochemistry (Formalin/PFA-fixed paraffin-embedded sections)", "shortname":"IHC-P"} }, "product-promise": { "all": "all", "testedAndGuaranteed": "tested", "guaranteed": "expected", "predicted": "predicted", "notRecommended": "not-recommended" } }, "values": { "Human": { "IP-species-checked": "testedAndGuaranteed", "IP-species-dilution-info": "", "IP-species-notes": "<p></p>", "WB-species-checked": "testedAndGuaranteed", "WB-species-dilution-info": "", "WB-species-notes": "<p></p>", "ICCIF-species-checked": "testedAndGuaranteed", "ICCIF-species-dilution-info": "", "ICCIF-species-notes": "<p></p>", "FlowCytIntra-species-checked": "testedAndGuaranteed", "FlowCytIntra-species-dilution-info": "", "FlowCytIntra-species-notes": "<p></p>", "IHCP-species-checked": "testedAndGuaranteed", "IHCP-species-dilution-info": "", "IHCP-species-notes": "<p></p>" } } }

Product details

ab251351 is the carrier-free version of ab201684.

Patented technology
Our RabMAb® technology is a patented hybridoma-based technology for making rabbit monoclonal antibodies. For details on our patents, please refer to RabMAb® patents.

What are the advantages of a recombinant monoclonal antibody?
This product is a recombinant monoclonal antibody, which offers several advantages including:

  • - High batch-to-batch consistency and reproducibility
  • - Improved sensitivity and specificity
  • - Long-term security of supply
  • - Animal-free batch production

For more information, read more on recombinant antibodies.

Conjugation ready
Our carrier-free antibodies are typically supplied in a PBS-only formulation, purified and free of BSA, sodium azide and glycerol. This conjugation-ready format is designed for use with fluorochromes, metal isotopes, oligonucleotides, and enzymes, which makes them ideal for antibody labelling, functional and cell-based assays, flow-based assays (e.g. mass cytometry) and Multiplex Imaging applications.

Use our conjugation kits for antibody conjugates that are ready-to-use in as little as 20 minutes with 1 minute hands-on-time and 100% antibody recovery: available for fluorescent dyes, HRP, biotin and gold.

Compatibility
This product is compatible with the Maxpar® Antibody Labeling Kit from Fluidigm, without the need for antibody preparation. Maxpar® is a trademark of Fluidigm Canada Inc.

Properties and storage information

Form
Liquid
Purification technique
Affinity purification Protein A
Storage buffer
pH: 7.2 - 7.4 Constituents: PBS
Shipped at conditions
Blue Ice
Appropriate short-term storage conditions
+4°C
Appropriate long-term storage conditions
+4°C
Storage information
Do Not Freeze

Product protocols

For this product, it's our understanding that no specific protocols are required. You can visit:

Target data

Plays a role in pre-mRNA splicing as component of the U4/U6-U5 tri-snRNP complex that is involved in spliceosome assembly, and as component of the precatalytic spliceosome (spliceosome B complex).
See full target information PRPF4

Publications (1)

Recent publications for all applications. Explore the full list and refine your search

Journal of nanobiotechnology 22:800 PubMed39731111

2024

Role of PCBP2 in regulating nanovesicles loaded with curcumin to mitigate neuroferroptosis in neural damage caused by heat stroke.

Applications

Unspecified application

Species

Unspecified reactive species

Fei Guo,Yizhan Wu,Guangjun Wang,Jiangwei Liu
View all publications

Product promise

We are committed to supporting your work with high-quality reagents, and we're here for you every step of the way. In the unlikely event that one of our products does not perform as expected, you're protected by our Product Promise.
For full details, please see our Terms & Conditions

Please note: All products are 'FOR RESEARCH USE ONLY. NOT FOR USE IN DIAGNOSTIC OR THERAPEUTIC PROCEDURES'.

For licensing inquiries, please contact partnerships@abcam.com