JavaScript is disabled in your browser. Please enable JavaScript to view this website.
AB198998

Anti-PRPF4 antibody [EPR17207] - C-terminal

Be the first to review this product! Submit a review

|

(0 Publication)

Rabbit Recombinant Monoclonal PRPF4 antibody. C-terminal. Suitable for WB, Flow Cyt (Intra), IHC-P and reacts with Mouse, Rat, Human samples.

View Alternative Names

PRP4, PRPF4, U4/U6 small nuclear ribonucleoprotein Prp4, PRP4 homolog, U4/U6 snRNP 60 kDa protein, WD splicing factor Prp4, hPrp4

8 Images
Immunohistochemistry (Formalin/PFA-fixed paraffin-embedded sections) - Anti-PRPF4 antibody [EPR17207] - C-terminal (AB198998)
  • IHC-P

Supplier Data

Immunohistochemistry (Formalin/PFA-fixed paraffin-embedded sections) - Anti-PRPF4 antibody [EPR17207] - C-terminal (AB198998)

Immunohistochemical analysis of paraffin-embedded Human kidney tissue labeling PRPF4 with ab198998 at 1/500 followed by Goat Anti-Rabbit IgG H&L (HRP) (ab97051) at 1/500. Counter stained with Hematoxylin. Nuclear staining on Human kidney tissue was observed (Subcellular location - Nucleus speckle [UniProt]).
Negative control : Used PBS instead of primary antibody secondary antibody is Goat Anti-Rabbit IgG H&L (HRP) (ab97051) at 1/500 dilution.

Perform heat mediated antigen retrieval with Tris/EDTA buffer pH 9.0 before commencing with IHC staining protocol.

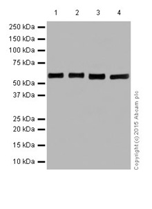
Western blot - Anti-PRPF4 antibody [EPR17207] - C-terminal (AB198998)
  • WB

Supplier Data

Western blot - Anti-PRPF4 antibody [EPR17207] - C-terminal (AB198998)

Blocking and diluting buffer was 5% NFDM/TBST

All lanes:

Western blot - Anti-PRPF4 antibody [EPR17207] - C-terminal (ab198998) at 1/20000 dilution

Lane 1:

Raji (Human Burkitt's lymphoma) whole cell lysate at 10 µg

Lane 2:

HepG2 (Human liver hepatocellular carcinoma) whole cell lysate at 10 µg

Lane 3:

293 (Human epithelial cells from embryonic kidney) whole cell lysate at 10 µg

Lane 4:

HeLa (Human epithelial cells from cervix adenocarcinoma ) whole cell lysate at 10 µg

Secondary

All lanes:

Goat Anti-Rabbit IgG, (H+L), Peroxidase conjugated at 1/1000 dilution

Predicted band size: 58 kDa

Observed band size: 58 kDa

true

Exposure time: 3min

Immunohistochemistry (Formalin/PFA-fixed paraffin-embedded sections) - Anti-PRPF4 antibody [EPR17207] - C-terminal (AB198998)
  • IHC-P

Supplier Data

Immunohistochemistry (Formalin/PFA-fixed paraffin-embedded sections) - Anti-PRPF4 antibody [EPR17207] - C-terminal (AB198998)

Immunohistochemical analysis of paraffin-embedded Human transitional cell carcinoma of bladder tissue labeling PRPF4 with ab198998 at 1/500 followed by Goat Anti-Rabbit IgG H&L (HRP) (ab97051) at 1/500. Counter stained with Hematoxylin. Nuclear staining on Human transitional cell carcinoma of bladder tissue was observed (Subcellular location - Nucleus speckle [UniProt]).

Negative control : Used PBS instead of primary antibody secondary antibody is Goat Anti-Rabbit IgG H&L (HRP) (ab97051) at 1/500 dilution.

Perform heat mediated antigen retrieval with Tris/EDTA buffer pH 9.0 before commencing with IHC staining protocol.

Immunohistochemistry (Formalin/PFA-fixed paraffin-embedded sections) - Anti-PRPF4 antibody [EPR17207] - C-terminal (AB198998)
  • IHC-P

Supplier Data

Immunohistochemistry (Formalin/PFA-fixed paraffin-embedded sections) - Anti-PRPF4 antibody [EPR17207] - C-terminal (AB198998)

Immunohistochemical analysis of paraffin-embedded Mouse cardiac muscle tissue labeling PRPF4 with ab198998 at 1/500 followed by Goat Anti-Rabbit IgG H&L (HRP) (ab97051) at 1/500. Counter stained with Hematoxylin. Nuclear staining on Mouse cardiac muscle tissuewas observed (Subcellular location - Nucleus speckle [UniProt]).
Negative control : Used PBS instead of primary antibody secondary antibody is Goat Anti-Rabbit IgG H&L (HRP) (ab97051) at 1/500 dilution.

Perform heat mediated antigen retrieval with Tris/EDTA buffer pH 9.0 before commencing with IHC staining protocol.

Immunohistochemistry (Formalin/PFA-fixed paraffin-embedded sections) - Anti-PRPF4 antibody [EPR17207] - C-terminal (AB198998)
  • IHC-P

Supplier Data

Immunohistochemistry (Formalin/PFA-fixed paraffin-embedded sections) - Anti-PRPF4 antibody [EPR17207] - C-terminal (AB198998)

Immunohistochemical analysis of paraffin-embedded Rat cerebral cortex tissue labeling PRPF4 with ab198998 at 1/500 followed by Goat Anti-Rabbit IgG H&L (HRP) (ab97051) at 1/500. Counter stained with Hematoxylin. Nuclear staining on Rat cerebral cortex tissue was observed (Subcellular location - Nucleus speckle [UniProt]).
Negative control : Used PBS instead of primary antibody secondary antibody is Goat Anti-Rabbit IgG H&L (HRP) (ab97051) at 1/500 dilution.

Perform heat mediated antigen retrieval with Tris/EDTA buffer pH 9.0 before commencing with IHC staining protocol.

Flow Cytometry (Intracellular) - Anti-PRPF4 antibody [EPR17207] - C-terminal (AB198998)
  • Flow Cyt (Intra)

Lab

Flow Cytometry (Intracellular) - Anti-PRPF4 antibody [EPR17207] - C-terminal (AB198998)

Intracellular Flow Cytometry analysis of HeLa cells labelling PRPF4 (red) with purified ab198998 at dilution of 1/70. The secondary antibody used was Alexa Fluorr® 488 goat-anti-rabbit IgG (1/2000). Cells were fixed with 4% paraformaldehyde and permeabilised with 90% methanol. Isotype control antibody was Rabbit monoclonal IgG (black). The blue line shows cells without incubation with primary antibody and secondary antibody.

Western blot - Anti-PRPF4 antibody [EPR17207] - C-terminal (AB198998)
  • WB

Supplier Data

Western blot - Anti-PRPF4 antibody [EPR17207] - C-terminal (AB198998)

Blocking and diluting buffer was 5% NFDM/TBST

All lanes:

Western blot - Anti-PRPF4 antibody [EPR17207] - C-terminal (ab198998) at 1/1000 dilution

Lane 1:

C6 (Rat glial tumor) whole cell lysate at 10 µg

Lane 2:

Raw264.7 (Mouse macrophages transformed with Abelson murine leukemia virus) whole cell lysate at 10 µg

Lane 3:

NIH/3T3 (Mouse embryo fibroblast) whole cell lysate at 10 µg

Secondary

All lanes:

Goat Anti-Rabbit IgG, (H+L), Peroxidase conjugated at 1/1000 dilution

Predicted band size: 58 kDa

Observed band size: 58 kDa

true

Exposure time: 15s

Western blot - Anti-PRPF4 antibody [EPR17207] - C-terminal (AB198998)
  • WB

Supplier Data

Western blot - Anti-PRPF4 antibody [EPR17207] - C-terminal (AB198998)

Blocking and diluting buffer was 5% NFDM/TBST

All lanes:

Western blot - Anti-PRPF4 antibody [EPR17207] - C-terminal (ab198998) at 1/1000 dilution

Lane 1:

Mouse brain tissue lysate at 10 µg

Lane 2:

Mouse kidney tissue lysate at 10 µg

Lane 3:

Mouse spleen tissue lysate at 10 µg

Secondary

All lanes:

Goat Anti-Rabbit IgG, (H+L), Peroxidase conjugated at 1/1000 dilution

Predicted band size: 58 kDa

Observed band size: 58 kDa

true

Exposure time: 3min

  • Carrier free

    Anti-PRPF4 antibody [EPR17207] - BSA and Azide free

Key facts

Host species

Rabbit

Clonality

Monoclonal

Clone number

EPR17207

Isotype

IgG

Carrier free

No

Reacts with

Mouse, Rat, Human

Applications

WB, IHC-P, Flow Cyt (Intra)

applications

Immunogen

The exact immunogen used to generate this antibody is proprietary information.

Reactivity data

{ "title": "Reactivity Data", "filters": { "stats": ["", "Species", "Dilution Info", "Notes"], "tabs": { "all-applications": {"fullname" : "All Applications", "shortname": "All Applications"}, "WB" : {"fullname" : "Western blot", "shortname":"WB"}, "FlowCytIntra" : {"fullname" : "Flow Cytometry (Intracellular)", "shortname":"Flow Cyt (Intra)"}, "IHCP" : {"fullname" : "Immunohistochemistry (Formalin/PFA-fixed paraffin-embedded sections)", "shortname":"IHC-P"} }, "product-promise": { "all": "all", "testedAndGuaranteed": "tested", "guaranteed": "expected", "predicted": "predicted", "notRecommended": "not-recommended" } }, "values": { "Human": { "WB-species-checked": "testedAndGuaranteed", "WB-species-dilution-info": "1/1000", "WB-species-notes": "<p></p> Perform heat-mediated antigen retrieval with Tris/EDTA buffer pH 9.0 before commencing with IHC staining protocol.", "FlowCytIntra-species-checked": "testedAndGuaranteed", "FlowCytIntra-species-dilution-info": "1/70", "FlowCytIntra-species-notes": "<p></p>", "IHCP-species-checked": "testedAndGuaranteed", "IHCP-species-dilution-info": "1/250", "IHCP-species-notes": "<p></p> Perform heat-mediated antigen retrieval with Tris/EDTA buffer pH 9.0 before commencing with IHC staining protocol." }, "Mouse": { "WB-species-checked": "testedAndGuaranteed", "WB-species-dilution-info": "1/1000", "WB-species-notes": "<p></p> Perform heat-mediated antigen retrieval with Tris/EDTA buffer pH 9.0 before commencing with IHC staining protocol.", "FlowCytIntra-species-checked": "guaranteed", "FlowCytIntra-species-dilution-info": "", "FlowCytIntra-species-notes": "", "IHCP-species-checked": "testedAndGuaranteed", "IHCP-species-dilution-info": "1/250", "IHCP-species-notes": "<p></p> Perform heat-mediated antigen retrieval with Tris/EDTA buffer pH 9.0 before commencing with IHC staining protocol." }, "Rat": { "WB-species-checked": "testedAndGuaranteed", "WB-species-dilution-info": "1/1000", "WB-species-notes": "<p></p> Perform heat-mediated antigen retrieval with Tris/EDTA buffer pH 9.0 before commencing with IHC staining protocol.", "FlowCytIntra-species-checked": "guaranteed", "FlowCytIntra-species-dilution-info": "", "FlowCytIntra-species-notes": "", "IHCP-species-checked": "testedAndGuaranteed", "IHCP-species-dilution-info": "1/250", "IHCP-species-notes": "<p></p> Perform heat-mediated antigen retrieval with Tris/EDTA buffer pH 9.0 before commencing with IHC staining protocol." } } }

Product details

Patented technology
Our RabMAb® technology is a patented hybridoma-based technology for making rabbit monoclonal antibodies. For details on our patents, please refer to RabMAb® patents.

What are the advantages of a recombinant monoclonal antibody?
This product is a recombinant monoclonal antibody, which offers several advantages including:

  • - High batch-to-batch consistency and reproducibility
  • - Improved sensitivity and specificity
  • - Long-term security of supply
  • - Animal-free batch production

For more information, read more on recombinant antibodies.

Properties and storage information

Form
Liquid
Purification technique
Affinity purification Protein A
Storage buffer
pH: 7.2 - 7.4 Preservative: 0.01% Sodium azide Constituents: 59% PBS, 40% Glycerol (glycerin, glycerine), 0.05% BSA
Shipped at conditions
Blue Ice
Appropriate short-term storage duration
1-2 weeks
Appropriate short-term storage conditions
+4°C
Appropriate long-term storage conditions
-20°C
Aliquoting information
Upon delivery aliquot
Storage information
Avoid freeze / thaw cycle

Product protocols

For this product, it's our understanding that no specific protocols are required. You can visit:

Target data

Plays a role in pre-mRNA splicing as component of the U4/U6-U5 tri-snRNP complex that is involved in spliceosome assembly, and as component of the precatalytic spliceosome (spliceosome B complex).
See full target information PRPF4

Product promise

We are committed to supporting your work with high-quality reagents, and we're here for you every step of the way. In the unlikely event that one of our products does not perform as expected, you're protected by our Product Promise.
For full details, please see our Terms & Conditions

Please note: All products are 'FOR RESEARCH USE ONLY. NOT FOR USE IN DIAGNOSTIC OR THERAPEUTIC PROCEDURES'.

For licensing inquiries, please contact partnerships@abcam.com