JavaScript is disabled in your browser. Please enable JavaScript to view this website.
AB51366

Anti-PRPF8/Prp8 antibody [2834C1a]

Be the first to review this product! Submit a review

|

(3 Publications)

Mouse Monoclonal PRPF8/Prp8 antibody. Suitable for IHC-P, Flow Cyt, WB and reacts with Human, Mouse samples. Cited in 3 publications. Immunogen corresponding to Recombinant Fragment Protein within Human PRPF8.

View Alternative Names

PRPC8, PRPF8, Pre-mRNA-processing-splicing factor 8, 220 kDa U5 snRNP-specific protein, PRP8 homolog, Splicing factor Prp8, p220

5 Images
Flow Cytometry - Anti-PRPF8/Prp8 antibody [2834C1a] (AB51366)
  • Flow Cyt

Unknown

Flow Cytometry - Anti-PRPF8/Prp8 antibody [2834C1a] (AB51366)

Overlay histogram showing HeLa cells stained with ab51366 (red line). The cells were fixed with 80% methanol (5 min) and then permeabilized with 0.1% PBS-Tween for 20 min. The cells were then incubated in 1x PBS / 10% normal goat serum / 0.3M glycine to block non-specific protein-protein interactions followed by the antibody (ab51366, 2μg/1x106 cells) for 30 min at 22°C. The secondary antibody used was DyLight® 488 goat anti-mouse IgG (H+L) (ab96879) at 1/500 dilution for 30 min at 22°C. Isotype control antibody (black line) was mouse IgG1 [ICIGG1] (ab91353, 2μg/1x106 cells) used under the same conditions. Unlabelled sample (blue line). Acquisition of >5,000 events were collected using a 20mW Argon ion laser (488nm) and 525/30 bandpass filter.

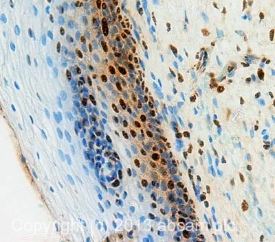
Immunohistochemistry (Formalin/PFA-fixed paraffin-embedded sections) - Anti-PRPF8/Prp8 antibody [2834C1a] (AB51366)
  • IHC-P

Unknown

Immunohistochemistry (Formalin/PFA-fixed paraffin-embedded sections) - Anti-PRPF8/Prp8 antibody [2834C1a] (AB51366)

IHC image of PRPF8/Prp8 staining in Human Normal Cervix formalin fixed paraffin embedded tissue section, performed on a Leica Bond™ system using the standard protocol F. The section was pre-treated using heat mediated antigen retrieval with sodium citrate buffer (pH6, epitope retrieval solution 1) for 20 mins. The section was then incubated with ab51366, 5μg/ml, for 15 mins at room temperature and detected using an HRP conjugated compact polymer system. DAB was used as the chromogen. The section was then counterstained with haematoxylin and mounted with DPX.

For other IHC staining systems (automated and non-automated) customers should optimize variable parameters such as antigen retrieval conditions, primary antibody concentration and antibody incubation times.

Western blot - Anti-PRPF8/Prp8 antibody [2834C1a] (AB51366)
  • WB

Unknown

Western blot - Anti-PRPF8/Prp8 antibody [2834C1a] (AB51366)

All lanes:

Western blot - Anti-PRPF8/Prp8 antibody [2834C1a] (ab51366) at 1/100 dilution

All lanes:

HeLa whole cell lysate at 25 µg

Secondary

All lanes:

Anti mouse IgG antibody at 1/2500 dilution

Predicted band size: 274 kDa

Observed band size: 250 kDa

false

Western blot - Anti-PRPF8/Prp8 antibody [2834C1a] (AB51366)
  • WB

Unknown

Western blot - Anti-PRPF8/Prp8 antibody [2834C1a] (AB51366)

All lanes:

Western blot - Anti-PRPF8/Prp8 antibody [2834C1a] (ab51366) at 1/100 dilution

All lanes:

NIH3T3 whole cell lysate at 25 µg

Secondary

All lanes:

Anti mouse IgG antibody at 1/2500 dilution

Predicted band size: 274 kDa

Observed band size: 250 kDa

false

Western blot - Anti-PRPF8/Prp8 antibody [2834C1a] (AB51366)
  • WB

CiteAb

Western blot - Anti-PRPF8/Prp8 antibody [2834C1a] (AB51366)

PRPF8/Prp8 western blot using anti-PRPF8/Prp8 antibody [2834C1a] ab51366. Publication image and figure legend from Pederiva, C., Bohm, S., et al., 2016, Cell Death Differ, PubMed 27315300.

ab51366 was used in this publication in western blot. This may not be the same as the application(s) guaranteed by Abcam. For a full list of applications guaranteed by Abcam for ab51366 please see the product overview.

When splicing-related factors are depleted, overexpression of RNF8 restores repair of DNA double-strand breaks. (a) Western blot of SF3B1, RBMX, PRPF8 and RNF8 in U2OS cells treated for 48 h with the siRNAs indicated. β-Actin was used as a loading control. (b) U2OS cells were transfected with the siRNAs indicated for 48 h, exposed to IR (6 Gy), and 1 h later, immunostained for γH2AX and conjugated ubiquitin (with the FK2 antibody). (c) U2OS cells were treated with the siRNAs indicated for 40 h, followed by transfection with either GFP-RNF8 or GFP-Empty plasmid for 7 h; exposure to IR (6 Gy) and fixation 1 h later and immunostaining for conjugated ubiquitin. The white numbers indicate the percentage of 100 transfected cells, i.e, green cells whose nuclei contained >10 IR-induced foci. Means±S.D. are shown, n=3. *P<0.05, as determined by a non-paired two-tailed Student's t-test. (d) Schematic model of how splicing regulates repair of DNA double-strand breaks

false

Key facts

Host species

Mouse

Clonality

Monoclonal

Clone number

2834C1a

Isotype

IgG1

Carrier free

No

Reacts with

Mouse, Human

Applications

IHC-P, WB, Flow Cyt

applications

Immunogen

Recombinant Fragment Protein within Human PRPF8. The exact immunogen used to generate this antibody is proprietary information.

Q6P2Q9

Reactivity data

{ "title": "Reactivity Data", "filters": { "stats": ["", "Species", "Dilution Info", "Notes"], "tabs": { "all-applications": {"fullname" : "All Applications", "shortname": "All Applications"}, "IHCP" : {"fullname" : "Immunohistochemistry (Formalin/PFA-fixed paraffin-embedded sections)", "shortname":"IHC-P"}, "FlowCyt" : {"fullname" : "Flow Cytometry", "shortname":"Flow Cyt"}, "WB" : {"fullname" : "Western blot", "shortname":"WB"} }, "product-promise": { "all": "all", "testedAndGuaranteed": "tested", "guaranteed": "expected", "predicted": "predicted", "notRecommended": "not-recommended" } }, "values": { "Human": { "IHCP-species-checked": "testedAndGuaranteed", "IHCP-species-dilution-info": "5 µg/mL", "IHCP-species-notes": "<p></p> Perform heat-mediated antigen retrieval with citrate buffer pH 6 before commencing with IHC staining protocol.", "FlowCyt-species-checked": "testedAndGuaranteed", "FlowCyt-species-dilution-info": "2 µg for 10^6 Cells", "FlowCyt-species-notes": "<p><a href='/en-us/products/primary-antibodies/mouse-igg1-kappa-monoclonal-15-6e10a7-isotype-control-ab170190'>ab170190</a> - Mouse monoclonal IgG1, is suitable for use as an isotype control with this antibody.</p>", "WB-species-checked": "testedAndGuaranteed", "WB-species-dilution-info": "1/100", "WB-species-notes": "<p></p>" }, "Mouse": { "IHCP-species-checked": "guaranteed", "IHCP-species-dilution-info": "", "IHCP-species-notes": "", "FlowCyt-species-checked": "guaranteed", "FlowCyt-species-dilution-info": "", "FlowCyt-species-notes": "", "WB-species-checked": "testedAndGuaranteed", "WB-species-dilution-info": "1/100", "WB-species-notes": "<p></p>" } } }

Properties and storage information

Form
Liquid
Purification technique
Affinity purification Protein G
Purification notes
Filtered through a 0.22 µm membrane.
Storage buffer
pH: 7.4 Preservative: 0.05% Sodium azide Constituents: PBS, 1% BSA
Shipped at conditions
Blue Ice
Appropriate short-term storage duration
1-2 weeks
Appropriate short-term storage conditions
+4°C
Appropriate long-term storage conditions
-20°C
Aliquoting information
Upon delivery aliquot

Product protocols

For this product, it's our understanding that no specific protocols are required. You can visit:

Target data

Plays a role in pre-mRNA splicing as core component of precatalytic, catalytic and postcatalytic spliceosomal complexes, both of the predominant U2-type spliceosome and the minor U12-type spliceosome (PubMed : 10411133, PubMed : 11971955, PubMed : 28076346, PubMed : 28502770, PubMed : 28781166, PubMed : 29301961, PubMed : 29360106, PubMed : 29361316, PubMed : 30315277, PubMed : 30705154, PubMed : 30728453). Functions as a scaffold that mediates the ordered assembly of spliceosomal proteins and snRNAs. Required for the assembly of the U4/U6-U5 tri-snRNP complex, a building block of the spliceosome. Functions as a scaffold that positions spliceosomal U2, U5 and U6 snRNAs at splice sites on pre-mRNA substrates, so that splicing can occur. Interacts with both the 5' and the 3' splice site.
See full target information PRPF8

Publications (3)

Recent publications for all applications. Explore the full list and refine your search

Biochimica et biophysica acta. Gene regulatory mec 1863:194624 PubMed32798738

2020

The lysine demethylase KDM4A controls the cell-cycle expression of replicative canonical histone genes.

Applications

Unspecified application

Species

Unspecified reactive species

Capucine Van Rechem,Fei Ji,Sweta Mishra,Damayanti Chakraborty,Sedona E Murphy,Megan E Dillingham,Ruslan I Sadreyev,Johnathan R Whetstine

Cell death and differentiation 23:1648-57 PubMed27315300

2016

Splicing controls the ubiquitin response during DNA double-strand break repair.

Applications

Unspecified application

Species

Unspecified reactive species

C Pederiva,S Böhm,A Julner,M Farnebo

RNA biology 10:1741-57 PubMed24270455

2013

Chromatin context and ncRNA highlight targets of MeCP2 in brain.

Applications

Unspecified application

Species

Unspecified reactive species

Scott S Maxwell,Gregory J Pelka,Patrick Pl Tam,Assam El-Osta
View all publications

Product promise

We are committed to supporting your work with high-quality reagents, and we're here for you every step of the way. In the unlikely event that one of our products does not perform as expected, you're protected by our Product Promise.
For full details, please see our Terms & Conditions

Please note: All products are 'FOR RESEARCH USE ONLY. NOT FOR USE IN DIAGNOSTIC OR THERAPEUTIC PROCEDURES'.

For licensing inquiries, please contact partnerships@abcam.com