JavaScript is disabled in your browser. Please enable JavaScript to view this website.
AB251012

Anti-PRPF8/Prp8 antibody [EPR15228] - BSA and Azide free

Be the first to review this product! Submit a review

|

(1 Publication)

Rabbit Recombinant Monoclonal PRPF8/Prp8 antibody. Carrier free. Suitable for WB, IHC-P and reacts with Mouse, Human, Rat samples. Cited in 1 publication.

View Alternative Names

PRPC8, PRPF8, Pre-mRNA-processing-splicing factor 8, 220 kDa U5 snRNP-specific protein, PRP8 homolog, Splicing factor Prp8, p220

5 Images
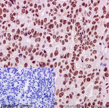
Immunohistochemistry (Formalin/PFA-fixed paraffin-embedded sections) - Anti-PRPF8/Prp8 antibody [EPR15228] - BSA and Azide free (AB251012)
  • IHC-P

Supplier Data

Immunohistochemistry (Formalin/PFA-fixed paraffin-embedded sections) - Anti-PRPF8/Prp8 antibody [EPR15228] - BSA and Azide free (AB251012)

This data was developed using ab190347, the same antibody clone in a different buffer formulation.

Immunohistochemical analysis of paraffin-embedded, Human ovarian carcinoma tissue labeling PRPF8/Prp8 with ab190347 at a 1/100 dilution. Counter stained with hematoxylin. Negative control also shown.

Perform heat mediated antigen retrieval with Tris/EDTA buffer pH 9.0 before commencing with IHC staining protocol.

Immunohistochemistry (Formalin/PFA-fixed paraffin-embedded sections) - Anti-PRPF8/Prp8 antibody [EPR15228] - BSA and Azide free (AB251012)
  • IHC-P

Supplier Data

Immunohistochemistry (Formalin/PFA-fixed paraffin-embedded sections) - Anti-PRPF8/Prp8 antibody [EPR15228] - BSA and Azide free (AB251012)

This data was developed using ab190347, the same antibody clone in a different buffer formulation.

Immunohistochemical analysis of paraffin-embedded, rat spleen tissue labeling PRPF8/Prp8 with ab190347 at a 1/100 dilution. Counter stained with hematoxylin. Negative control also shown.

Perform heat mediated antigen retrieval with Tris/EDTA buffer pH 9.0 before commencing with IHC staining protocol.

Western blot - Anti-PRPF8/Prp8 antibody [EPR15228] - BSA and Azide free (AB251012)
  • WB

Supplier Data

Western blot - Anti-PRPF8/Prp8 antibody [EPR15228] - BSA and Azide free (AB251012)

This data was developed using ab190347, the same antibody clone in a different buffer formulation.

All lanes:

Western blot - Anti-PRPF8/Prp8 antibody [EPR15228] (<a href='/en-us/products/primary-antibodies/prpf8-prp8-antibody-epr15228-ab190347'>ab190347</a>) at 1/20000 dilution

All lanes:

293T cell lysate at 10 µg

Secondary

All lanes:

goat anti-rabbit IgG, (H+L), peroxidase conjugated at 1/1000 dilution

Predicted band size: 274 kDa

Observed band size: 274 kDa

true

Western blot - Anti-PRPF8/Prp8 antibody [EPR15228] - BSA and Azide free (AB251012)
  • WB

Supplier Data

Western blot - Anti-PRPF8/Prp8 antibody [EPR15228] - BSA and Azide free (AB251012)

This data was developed using ab190347, the same antibody clone in a different buffer formulation.

All lanes:

Western blot - Anti-PRPF8/Prp8 antibody [EPR15228] (<a href='/en-us/products/primary-antibodies/prpf8-prp8-antibody-epr15228-ab190347'>ab190347</a>) at 1/1000 dilution

Lane 1:

mouse RAW 264.7 cell lysate at 10 µg

Lane 2:

rat PC12 cell lysate at 10 µg

Secondary

All lanes:

goat anti-rabbit IgG, (H+L), peroxidase conjugated at 1/1000 dilution

Predicted band size: 274 kDa

Observed band size: 274 kDa

true

Western blot - Anti-PRPF8/Prp8 antibody [EPR15228] - BSA and Azide free (AB251012)
  • WB

Supplier Data

Western blot - Anti-PRPF8/Prp8 antibody [EPR15228] - BSA and Azide free (AB251012)

This data was developed using ab190347, the same antibody clone in a different buffer formulation.

All lanes:

Western blot - Anti-PRPF8/Prp8 antibody [EPR15228] (<a href='/en-us/products/primary-antibodies/prpf8-prp8-antibody-epr15228-ab190347'>ab190347</a>) at 1/5000 dilution

Lane 1:

HeLa cell lysate at 10 µg

Lane 2:

HepG2 cell lysate at 10 µg

Lane 3:

K562 cell lysate at 10 µg

Secondary

All lanes:

goat anti-rabbit IgG, (H+L), peroxidase conjugated at 1/1000 dilution

Predicted band size: 274 kDa

Observed band size: 274 kDa

true

Key facts

Host species

Rabbit

Clonality

Monoclonal

Clone number

EPR15228

Isotype

IgG

Carrier free

Yes

Reacts with

Mouse, Rat, Human

Applications

IHC-P, WB

applications

Immunogen

The exact immunogen used to generate this antibody is proprietary information.

Reactivity data

{ "title": "Reactivity Data", "filters": { "stats": ["", "Species", "Dilution Info", "Notes"], "tabs": { "all-applications": {"fullname" : "All Applications", "shortname": "All Applications"}, "WB" : {"fullname" : "Western blot", "shortname":"WB"}, "IHCP" : {"fullname" : "Immunohistochemistry (Formalin/PFA-fixed paraffin-embedded sections)", "shortname":"IHC-P"} }, "product-promise": { "all": "all", "testedAndGuaranteed": "tested", "guaranteed": "expected", "predicted": "predicted", "notRecommended": "not-recommended" } }, "values": { "Human": { "WB-species-checked": "testedAndGuaranteed", "WB-species-dilution-info": "", "WB-species-notes": "<p></p>", "IHCP-species-checked": "testedAndGuaranteed", "IHCP-species-dilution-info": "", "IHCP-species-notes": "<p></p>" }, "Mouse": { "WB-species-checked": "testedAndGuaranteed", "WB-species-dilution-info": "", "WB-species-notes": "<p></p>", "IHCP-species-checked": "guaranteed", "IHCP-species-dilution-info": "", "IHCP-species-notes": "" }, "Rat": { "WB-species-checked": "testedAndGuaranteed", "WB-species-dilution-info": "", "WB-species-notes": "<p></p>", "IHCP-species-checked": "testedAndGuaranteed", "IHCP-species-dilution-info": "", "IHCP-species-notes": "<p></p>" } } }

Product details

ab251012 is the carrier-free version of ab190347.

Patented technology
Our RabMAb® technology is a patented hybridoma-based technology for making rabbit monoclonal antibodies. For details on our patents, please refer to RabMAb® patents.

What are the advantages of a recombinant monoclonal antibody?
This product is a recombinant monoclonal antibody, which offers several advantages including:

  • - High batch-to-batch consistency and reproducibility
  • - Improved sensitivity and specificity
  • - Long-term security of supply
  • - Animal-free batch production

For more information, read more on recombinant antibodies.

Conjugation ready
Our carrier-free antibodies are typically supplied in a PBS-only formulation, purified and free of BSA, sodium azide and glycerol. This conjugation-ready format is designed for use with fluorochromes, metal isotopes, oligonucleotides, and enzymes, which makes them ideal for antibody labelling, functional and cell-based assays, flow-based assays (e.g. mass cytometry) and Multiplex Imaging applications.

Use our conjugation kits for antibody conjugates that are ready-to-use in as little as 20 minutes with 1 minute hands-on-time and 100% antibody recovery: available for fluorescent dyes, HRP, biotin and gold.

Compatibility
This product is compatible with the Maxpar® Antibody Labeling Kit from Fluidigm, without the need for antibody preparation. Maxpar® is a trademark of Fluidigm Canada Inc.

Properties and storage information

Form
Liquid
Storage buffer
pH: 7.2 - 7.4 Constituents: PBS
Shipped at conditions
Blue Ice
Appropriate short-term storage conditions
+4°C
Appropriate long-term storage conditions
+4°C
Storage information
Do Not Freeze

Product protocols

For this product, it's our understanding that no specific protocols are required. You can visit:

Target data

Plays a role in pre-mRNA splicing as core component of precatalytic, catalytic and postcatalytic spliceosomal complexes, both of the predominant U2-type spliceosome and the minor U12-type spliceosome (PubMed : 10411133, PubMed : 11971955, PubMed : 28076346, PubMed : 28502770, PubMed : 28781166, PubMed : 29301961, PubMed : 29360106, PubMed : 29361316, PubMed : 30315277, PubMed : 30705154, PubMed : 30728453). Functions as a scaffold that mediates the ordered assembly of spliceosomal proteins and snRNAs. Required for the assembly of the U4/U6-U5 tri-snRNP complex, a building block of the spliceosome. Functions as a scaffold that positions spliceosomal U2, U5 and U6 snRNAs at splice sites on pre-mRNA substrates, so that splicing can occur. Interacts with both the 5' and the 3' splice site.
See full target information PRPF8

Publications (1)

Recent publications for all applications. Explore the full list and refine your search

Molecular medicine reports 21:454-462 PubMed31746378

2019

Blueberry anthocyanin‑enriched extract ameliorates transverse aortic constriction‑induced myocardial dysfunction via the DDAH1/ADMA/NO signaling pathway in mice.

Applications

Unspecified application

Species

Unspecified reactive species

Weiqing Hu,Wenyue Wang,Qing Ma,Tao Liu,Jiefeng Zhang,Jicun Zhang
View all publications

Product promise

We are committed to supporting your work with high-quality reagents, and we're here for you every step of the way. In the unlikely event that one of our products does not perform as expected, you're protected by our Product Promise.
For full details, please see our Terms & Conditions

Please note: All products are 'FOR RESEARCH USE ONLY. NOT FOR USE IN DIAGNOSTIC OR THERAPEUTIC PROCEDURES'.

For licensing inquiries, please contact partnerships@abcam.com