JavaScript is disabled in your browser. Please enable JavaScript to view this website.
AB239003

Anti-PRPF8/Prp8 antibody [EPR15229] - BSA and Azide free

Be the first to review this product! Submit a review

|

(1 Publication)

Rabbit Recombinant Monoclonal PRPF8/Prp8 antibody. Carrier free. Suitable for WB, ICC/IF, Flow Cyt (Intra), IHC-P and reacts with Mouse, Rat, Human samples. Cited in 1 publication.

View Alternative Names

PRPC8, PRPF8, Pre-mRNA-processing-splicing factor 8, 220 kDa U5 snRNP-specific protein, PRP8 homolog, Splicing factor Prp8, p220

6 Images
Immunocytochemistry/ Immunofluorescence - Anti-PRPF8/Prp8 antibody [EPR15229] - BSA and Azide free (AB239003)
  • ICC/IF

Unknown

Immunocytochemistry/ Immunofluorescence - Anti-PRPF8/Prp8 antibody [EPR15229] - BSA and Azide free (AB239003)

Immunocytochemistry/ Immunofluorescence analysis of K-562 (human chronic myelogenous leukemia lymphoblast) cells labeling PRPF8/Prp8 with Purified ab185547 at 1 : 100 dilution (10 μg/ml). Cells were fixed in 100% Methanol. Cells were counterstained with ab195889 Anti-alpha Tubulin antibody [DM1A] - Microtubule Marker (Alexa Fluor® 594) 1 : 200 (2.5 μg/ml). Goat anti rabbit IgG (Alexa Fluor® 488, ab150077) was used as the secondary antibody at 1 : 1000 (2 μg/ml) dilution. DAPI nuclear counterstain. PBS instead of the primary antibody was used as the secondary antibody only control.

This data was developed using the same antibody clone in a different buffer formulation containing PBS, BSA, glycerol, and sodium azide (ab185547).

Flow Cytometry (Intracellular) - Anti-PRPF8/Prp8 antibody [EPR15229] - BSA and Azide free (AB239003)
  • Flow Cyt (Intra)

Supplier Data

Flow Cytometry (Intracellular) - Anti-PRPF8/Prp8 antibody [EPR15229] - BSA and Azide free (AB239003)

Intracellular Flow Cytometry analysis of K562 cells labeling PRPF8/Prp8 using unpurified ab185547 at a 1/190 dilution (pink). Goat anti rabbit IgG (FITC) used as the secondary at a 1/150 dilution. Isotype control Rabbit monoclonal IgG (green). Cells were fixed in 2% paraformaldehyde.

This data was developed using the same antibody clone in a different buffer formulation containing PBS, BSA, glycerol, and sodium azide (ab185547).

Immunocytochemistry/ Immunofluorescence - Anti-PRPF8/Prp8 antibody [EPR15229] - BSA and Azide free (AB239003)
  • ICC/IF

Supplier Data

Immunocytochemistry/ Immunofluorescence - Anti-PRPF8/Prp8 antibody [EPR15229] - BSA and Azide free (AB239003)

Immunofluorescent analysis of formaldehyde fixed HeLa cells labeling PRPF8/Prp8 using unpurified ab185547 at a 1/250 dilution. A Goat anti rabbit IgG (Alexa Fluor®555) was used as the secondary at a 1/200 dilution.

This data was developed using the same antibody clone in a different buffer formulation containing PBS, BSA, glycerol, and sodium azide (ab185547).

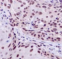
Immunohistochemistry (Formalin/PFA-fixed paraffin-embedded sections) - Anti-PRPF8/Prp8 antibody [EPR15229] - BSA and Azide free (AB239003)
  • IHC-P

Unknown

Immunohistochemistry (Formalin/PFA-fixed paraffin-embedded sections) - Anti-PRPF8/Prp8 antibody [EPR15229] - BSA and Azide free (AB239003)

Immunohistochemistry (Formalin/PFA-fixed paraffin-embedded sections) analysis of Human gastric cancer tissue sections labeling PRPF8/Prp8 with Purified ab185547 at 1 : 2000 dilution (0.52 μg/ml). Heat mediated antigen retrieval was performed using ab93684 (Tris/EDTA buffer, pH 9.0). ImmunoHistoProbe one step HRP Polymer (ready to use) was used as the secondary antibody. Negative control : PBS instead of the primary antibody.Hematoxylin was used as a counterstain.

This data was developed using the same antibody clone in a different buffer formulation containing PBS, BSA, glycerol, and sodium azide (ab185547).

Flow Cytometry (Intracellular) - Anti-PRPF8/Prp8 antibody [EPR15229] - BSA and Azide free (AB239003)
  • Flow Cyt (Intra)

Unknown

Flow Cytometry (Intracellular) - Anti-PRPF8/Prp8 antibody [EPR15229] - BSA and Azide free (AB239003)

Intracellular Flow Cytometry analysis of K-562 (human chronic myelogenous leukemia lymphoblast) cells labeling PRPF8/Prp8 with Purified ab185547 at 1/100 dilution (10μg/ml) (red). Cells were fixed with 4% Paraformaldehyde. A Goat anti rabbit IgG (Alexa Fluor® 488, ab150077) secondary antibody was used at 1/2000. Isotype control - Rabbit monoclonal IgG (Black). Unlabeled control - Cell without incubation with primary antibody and secondary antibody (Blue).

This data was developed using the same antibody clone in a different buffer formulation containing PBS, BSA, glycerol, and sodium azide (ab185547).

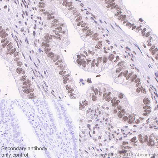
Immunohistochemistry (Formalin/PFA-fixed paraffin-embedded sections) - Anti-PRPF8/Prp8 antibody [EPR15229] - BSA and Azide free (AB239003)
  • IHC-P

Supplier Data

Immunohistochemistry (Formalin/PFA-fixed paraffin-embedded sections) - Anti-PRPF8/Prp8 antibody [EPR15229] - BSA and Azide free (AB239003)

Immunohistochemical analysis of paraffin embedded Human cervix carcinoma tissue sections labeling PRPF8/Prp8 using unpurifed ab185547 at a 1/250 dilution. A ready to use HRP Polymer for Rabbit IgG was used as the secondary. Hematoxylin counterstain.

This data was developed using the same antibody clone in a different buffer formulation containing PBS, BSA, glycerol, and sodium azide (ab185547).

  • Unconjugated

    Anti-PRPF8/Prp8 antibody [EPR15229] - C-terminal

Key facts

Host species

Rabbit

Clonality

Monoclonal

Clone number

EPR15229

Isotype

IgG

Carrier free

Yes

Reacts with

Mouse, Rat, Human

Applications

WB, Flow Cyt (Intra), IHC-P, ICC/IF

applications

Immunogen

The exact immunogen used to generate this antibody is proprietary information.

Specificity

The mouse and rat recommendation is based on the WB results. We do not guarantee IHC-P for mouse and rat.

Reactivity data

{ "title": "Reactivity Data", "filters": { "stats": ["", "Species", "Dilution Info", "Notes"], "tabs": { "all-applications": {"fullname" : "All Applications", "shortname": "All Applications"}, "WB" : {"fullname" : "Western blot", "shortname":"WB"}, "ICCIF" : {"fullname" : "Immunocytochemistry/ Immunofluorescence", "shortname":"ICC/IF"}, "FlowCytIntra" : {"fullname" : "Flow Cytometry (Intracellular)", "shortname":"Flow Cyt (Intra)"}, "IHCP" : {"fullname" : "Immunohistochemistry (Formalin/PFA-fixed paraffin-embedded sections)", "shortname":"IHC-P"} }, "product-promise": { "all": "all", "testedAndGuaranteed": "tested", "guaranteed": "expected", "predicted": "predicted", "notRecommended": "not-recommended" } }, "values": { "Human": { "WB-species-checked": "guaranteed", "WB-species-dilution-info": "", "WB-species-notes": "<p></p>", "ICCIF-species-checked": "testedAndGuaranteed", "ICCIF-species-dilution-info": "", "ICCIF-species-notes": "<p></p>", "FlowCytIntra-species-checked": "testedAndGuaranteed", "FlowCytIntra-species-dilution-info": "", "FlowCytIntra-species-notes": "<p><a href='/en-us/products/primary-antibodies/rabbit-igg-monoclonal-epr25a-isotype-control-ab172730'>ab172730</a> - Rabbit monoclonal IgG, is suitable for use as an isotype control with this antibody.</p>", "IHCP-species-checked": "testedAndGuaranteed", "IHCP-species-dilution-info": "", "IHCP-species-notes": "<p>The mouse and rat recommendation is based on the WB results. We do not guarantee IHC-P for mouse and rat.</p>" }, "Mouse": { "WB-species-checked": "guaranteed", "WB-species-dilution-info": "", "WB-species-notes": "<p></p>", "ICCIF-species-checked": "predicted", "ICCIF-species-dilution-info": "", "ICCIF-species-notes": "", "FlowCytIntra-species-checked": "predicted", "FlowCytIntra-species-dilution-info": "", "FlowCytIntra-species-notes": "", "IHCP-species-checked": "predicted", "IHCP-species-dilution-info": "", "IHCP-species-notes": "" }, "Rat": { "WB-species-checked": "guaranteed", "WB-species-dilution-info": "", "WB-species-notes": "<p></p>", "ICCIF-species-checked": "predicted", "ICCIF-species-dilution-info": "", "ICCIF-species-notes": "", "FlowCytIntra-species-checked": "predicted", "FlowCytIntra-species-dilution-info": "", "FlowCytIntra-species-notes": "", "IHCP-species-checked": "predicted", "IHCP-species-dilution-info": "", "IHCP-species-notes": "" } } }

Product details

ab239003 is the carrier-free version of ab185547.

Patented technology
Our RabMAb® technology is a patented hybridoma-based technology for making rabbit monoclonal antibodies. For details on our patents, please refer to RabMAb® patents.

What are the advantages of a recombinant monoclonal antibody?
This product is a recombinant monoclonal antibody, which offers several advantages including:

  • - High batch-to-batch consistency and reproducibility
  • - Improved sensitivity and specificity
  • - Long-term security of supply
  • - Animal-free batch production

For more information, read more on recombinant antibodies.

Conjugation ready
Our carrier-free antibodies are typically supplied in a PBS-only formulation, purified and free of BSA, sodium azide and glycerol. This conjugation-ready format is designed for use with fluorochromes, metal isotopes, oligonucleotides, and enzymes, which makes them ideal for antibody labelling, functional and cell-based assays, flow-based assays (e.g. mass cytometry) and Multiplex Imaging applications.

Use our conjugation kits for antibody conjugates that are ready-to-use in as little as 20 minutes with 1 minute hands-on-time and 100% antibody recovery: available for fluorescent dyes, HRP, biotin and gold.

Compatibility
This product is compatible with the Maxpar® Antibody Labeling Kit from Fluidigm, without the need for antibody preparation. Maxpar® is a trademark of Fluidigm Canada Inc.

Properties and storage information

Form
Liquid
Purification technique
Affinity purification Protein A
Storage buffer
pH: 7.2 - 7.4 Constituents: PBS
Shipped at conditions
Blue Ice
Appropriate short-term storage conditions
+4°C
Appropriate long-term storage conditions
+4°C
Storage information
Do Not Freeze

Product protocols

For this product, it's our understanding that no specific protocols are required. You can visit:

Target data

Plays a role in pre-mRNA splicing as core component of precatalytic, catalytic and postcatalytic spliceosomal complexes, both of the predominant U2-type spliceosome and the minor U12-type spliceosome (PubMed : 10411133, PubMed : 11971955, PubMed : 28076346, PubMed : 28502770, PubMed : 28781166, PubMed : 29301961, PubMed : 29360106, PubMed : 29361316, PubMed : 30315277, PubMed : 30705154, PubMed : 30728453). Functions as a scaffold that mediates the ordered assembly of spliceosomal proteins and snRNAs. Required for the assembly of the U4/U6-U5 tri-snRNP complex, a building block of the spliceosome. Functions as a scaffold that positions spliceosomal U2, U5 and U6 snRNAs at splice sites on pre-mRNA substrates, so that splicing can occur. Interacts with both the 5' and the 3' splice site.
See full target information PRPF8

Publications (1)

Recent publications for all applications. Explore the full list and refine your search

Oncology letters 19:505-512 PubMed31897164

2020

p28GANK overexpression is associated with chemotherapy resistance and poor prognosis in ovarian cancer.

Applications

Unspecified application

Species

Unspecified reactive species

Ge Yu,Na Li,Wei Wang,Ming Niu,Xiaoling Feng
View all publications

Product promise

We are committed to supporting your work with high-quality reagents, and we're here for you every step of the way. In the unlikely event that one of our products does not perform as expected, you're protected by our Product Promise.
For full details, please see our Terms & Conditions

Please note: All products are 'FOR RESEARCH USE ONLY. NOT FOR USE IN DIAGNOSTIC OR THERAPEUTIC PROCEDURES'.

For licensing inquiries, please contact partnerships@abcam.com