JavaScript is disabled in your browser. Please enable JavaScript to view this website.
AB185547

Anti-PRPF8/Prp8 antibody [EPR15229] - C-terminal

4

(1 Review)

|

(2 Publications)

Rabbit Recombinant Monoclonal PRPF8/Prp8 antibody. C-terminal. Suitable for WB, ICC/IF, Flow Cyt (Intra), IHC-P and reacts with Mouse, Rat, Human samples. Cited in 2 publications.

View Alternative Names

PRPC8, PRPF8, Pre-mRNA-processing-splicing factor 8, 220 kDa U5 snRNP-specific protein, PRP8 homolog, Splicing factor Prp8, p220

8 Images
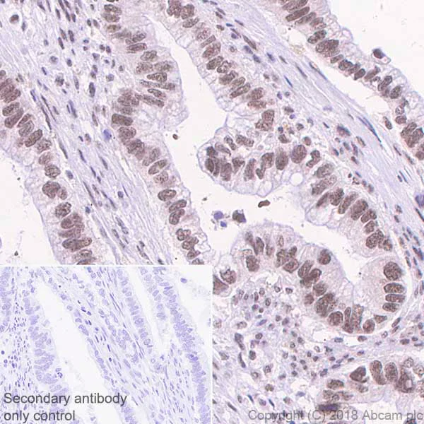
Immunohistochemistry (Formalin/PFA-fixed paraffin-embedded sections) - Anti-PRPF8/Prp8 antibody [EPR15229] - C-terminal (AB185547)
  • IHC-P

Supplier Data

Immunohistochemistry (Formalin/PFA-fixed paraffin-embedded sections) - Anti-PRPF8/Prp8 antibody [EPR15229] - C-terminal (AB185547)

Immunohistochemical analysis of paraffin embedded Human cervix carcinoma tissue sections labeling PRPF8/Prp8 using unpurifed ab185547 at a 1/250 dilution. A ready to use HRP Polymer for Rabbit IgG was used as the secondary. Hematoxylin counterstain.

Immunocytochemistry/ Immunofluorescence - Anti-PRPF8/Prp8 antibody [EPR15229] - C-terminal (AB185547)
  • ICC/IF

Unknown

Immunocytochemistry/ Immunofluorescence - Anti-PRPF8/Prp8 antibody [EPR15229] - C-terminal (AB185547)

Immunocytochemistry/ Immunofluorescence analysis of K-562 (human chronic myelogenous leukemia lymphoblast) cells labeling PRPF8/Prp8 with Purified ab185547 at 1 : 100 dilution (10 μg/ml). Cells were fixed in 100% Methanol. Cells were counterstained with ab195889 Anti-alpha Tubulin antibody [DM1A] - Microtubule Marker (Alexa Fluor® 594) 1 : 200 (2.5 μg/ml). Goat anti rabbit IgG (Alexa Fluor® 488, ab150077) was used as the secondary antibody at 1 : 1000 (2 μg/ml) dilution. DAPI nuclear counterstain. PBS instead of the primary antibody was used as the secondary antibody only control.

Flow Cytometry (Intracellular) - Anti-PRPF8/Prp8 antibody [EPR15229] - C-terminal (AB185547)
  • Flow Cyt (Intra)

Supplier Data

Flow Cytometry (Intracellular) - Anti-PRPF8/Prp8 antibody [EPR15229] - C-terminal (AB185547)

Intracellular Flow Cytometry analysis of K562 cells labeling PRPF8/Prp8 using unpurified ab185547 at a 1/190 dilution (pink). Goat anti rabbit IgG (FITC) used as the secondary at a 1/150 dilution. Isotype control Rabbit monoclonal IgG (green). Cells were fixed in 2% paraformaldehyde.

Immunocytochemistry/ Immunofluorescence - Anti-PRPF8/Prp8 antibody [EPR15229] - C-terminal (AB185547)
  • ICC/IF

Supplier Data

Immunocytochemistry/ Immunofluorescence - Anti-PRPF8/Prp8 antibody [EPR15229] - C-terminal (AB185547)

Immunofluorescent analysis of formaldehyde fixed HeLa cells labeling PRPF8/Prp8 using unpurified ab185547 at a 1/250 dilution. A Goat anti rabbit IgG (Alexa Fluor®555) was used as the secondary at a 1/200 dilution.

Immunohistochemistry (Formalin/PFA-fixed paraffin-embedded sections) - Anti-PRPF8/Prp8 antibody [EPR15229] - C-terminal (AB185547)
  • IHC-P

Unknown

Immunohistochemistry (Formalin/PFA-fixed paraffin-embedded sections) - Anti-PRPF8/Prp8 antibody [EPR15229] - C-terminal (AB185547)

Immunohistochemistry (Formalin/PFA-fixed paraffin-embedded sections) analysis of Human gastric cancer tissue sections labeling PRPF8/Prp8 with Purified ab185547 at 1 : 2000 dilution (0.52 μg/ml). Heat mediated antigen retrieval was performed using ab93684 (Tris/EDTA buffer, pH 9.0). ImmunoHistoProbe one step HRP Polymer (ready to use) was used as the secondary antibody. Negative control : PBS instead of the primary antibody.Hematoxylin was used as a counterstain.

Flow Cytometry (Intracellular) - Anti-PRPF8/Prp8 antibody [EPR15229] - C-terminal (AB185547)
  • Flow Cyt (Intra)

Unknown

Flow Cytometry (Intracellular) - Anti-PRPF8/Prp8 antibody [EPR15229] - C-terminal (AB185547)

Intracellular Flow Cytometry analysis of K-562 (human chronic myelogenous leukemia lymphoblast) cells labeling PRPF8/Prp8 with Purified ab185547 at 1/100 dilution (10μg/ml) (red). Cells were fixed with 4% Paraformaldehyde. A Goat anti rabbit IgG (Alexa Fluor® 488, ab150077) secondary antibody was used at 1/2000. Isotype control - Rabbit monoclonal IgG (Black). Unlabeled control - Cell without incubation with primary antibody and secondary antibody (Blue).

Western blot - Anti-PRPF8/Prp8 antibody [EPR15229] - C-terminal (AB185547)
  • WB

Supplier Data

Western blot - Anti-PRPF8/Prp8 antibody [EPR15229] - C-terminal (AB185547)

Blocking/ Dilution buffer : 5% NFDM /TBST.

All lanes:

Western blot - Anti-PRPF8/Prp8 antibody [EPR15229] - C-terminal (ab185547) at 1/20000 dilution

Lane 1:

K562 cell lysate at 20 µg

Lane 2:

293T cell lysate at 20 µg

Lane 3:

HeLa cell lysate at 20 µg

Secondary

All lanes:

Goat Anti-Rabbit IgG, (H+L), Peroxidase conjugated at 1/1000 dilution

Predicted band size: 274 kDa

Observed band size: 274 kDa

false

Western blot - Anti-PRPF8/Prp8 antibody [EPR15229] - C-terminal (AB185547)
  • WB

Unknown

Western blot - Anti-PRPF8/Prp8 antibody [EPR15229] - C-terminal (AB185547)

Blocking and diluting buffer : 5% NFDM/TBST

All lanes:

Anti-Ikaros antibody [SP108] (<a href='/en-us/products/unavailable/ikaros-antibody-sp108-ab188547'>ab188547</a>) at 0.01 µg/mL

Lane 1:

C6 (Rat glial tumor glial cell) whole cell lysates at 15 µg

Lane 2:

NIH/3T3 (Mouse embryonic fibroblast) whole cell lysate at 15 µg

Lane 3:

293T (human embryonic kidney epithelial cell) whole cell lysates at 15 µg

Lane 4:

HeLa (Human cervix adenocarcinoma epithelial cell) whole cell lysates at 15 µg

Secondary

All lanes:

Western blot - Goat Anti-Rabbit IgG H&L (HRP) (<a href='/en-us/products/secondary-antibodies/goat-rabbit-igg-h-l-hrp-ab97051'>ab97051</a>) at 1/20000 dilution

Predicted band size: 274 kDa

false

  • Carrier free

    Anti-PRPF8/Prp8 antibody [EPR15229] - BSA and Azide free

Key facts

Host species

Rabbit

Clonality

Monoclonal

Clone number

EPR15229

Isotype

IgG

Carrier free

No

Reacts with

Mouse, Rat, Human

Applications

IHC-P, ICC/IF, Flow Cyt (Intra), WB

applications

Immunogen

The exact immunogen used to generate this antibody is proprietary information.

Specificity

The mouse and rat recommendation is based on the WB results. We do not guarantee IHC-P for mouse and rat.

Reactivity data

{ "title": "Reactivity Data", "filters": { "stats": ["", "Species", "Dilution Info", "Notes"], "tabs": { "all-applications": {"fullname" : "All Applications", "shortname": "All Applications"}, "WB" : {"fullname" : "Western blot", "shortname":"WB"}, "ICCIF" : {"fullname" : "Immunocytochemistry/ Immunofluorescence", "shortname":"ICC/IF"}, "FlowCytIntra" : {"fullname" : "Flow Cytometry (Intracellular)", "shortname":"Flow Cyt (Intra)"}, "IHCP" : {"fullname" : "Immunohistochemistry (Formalin/PFA-fixed paraffin-embedded sections)", "shortname":"IHC-P"} }, "product-promise": { "all": "all", "testedAndGuaranteed": "tested", "guaranteed": "expected", "predicted": "predicted", "notRecommended": "not-recommended" } }, "values": { "Human": { "WB-species-checked": "testedAndGuaranteed", "WB-species-dilution-info": "1/10000 - 1/50000", "WB-species-notes": "<p></p>", "ICCIF-species-checked": "testedAndGuaranteed", "ICCIF-species-dilution-info": "1/100", "ICCIF-species-notes": "<p><strong>For unpurified use at 1/250</strong></p>", "FlowCytIntra-species-checked": "testedAndGuaranteed", "FlowCytIntra-species-dilution-info": "1/100", "FlowCytIntra-species-notes": "<p><strong>For unpurified use at 1/190.</strong></p><p><a href='/en-us/products/primary-antibodies/rabbit-igg-monoclonal-epr25a-isotype-control-ab172730'>ab172730</a> - Rabbit monoclonal IgG, is suitable for use as an isotype control with this antibody.</p>", "IHCP-species-checked": "testedAndGuaranteed", "IHCP-species-dilution-info": "1/2000", "IHCP-species-notes": "<p><strong>For unpurified use at 1/2000</strong></p><p>The mouse and rat recommendation is based on the WB results. We do not guarantee IHC-P for mouse and rat.</p>" }, "Mouse": { "WB-species-checked": "testedAndGuaranteed", "WB-species-dilution-info": "1/10000 - 1/50000", "WB-species-notes": "<p></p>", "ICCIF-species-checked": "guaranteed", "ICCIF-species-dilution-info": "", "ICCIF-species-notes": "", "FlowCytIntra-species-checked": "guaranteed", "FlowCytIntra-species-dilution-info": "", "FlowCytIntra-species-notes": "", "IHCP-species-checked": "guaranteed", "IHCP-species-dilution-info": "", "IHCP-species-notes": "" }, "Rat": { "WB-species-checked": "testedAndGuaranteed", "WB-species-dilution-info": "1/10000 - 1/50000", "WB-species-notes": "<p></p>", "ICCIF-species-checked": "guaranteed", "ICCIF-species-dilution-info": "", "ICCIF-species-notes": "", "FlowCytIntra-species-checked": "guaranteed", "FlowCytIntra-species-dilution-info": "", "FlowCytIntra-species-notes": "", "IHCP-species-checked": "guaranteed", "IHCP-species-dilution-info": "", "IHCP-species-notes": "" } } }

Product details

Patented technology
Our RabMAb® technology is a patented hybridoma-based technology for making rabbit monoclonal antibodies. For details on our patents, please refer to RabMAb® patents.

What are the advantages of a recombinant monoclonal antibody?
This product is a recombinant monoclonal antibody, which offers several advantages including:

  • - High batch-to-batch consistency and reproducibility
  • - Improved sensitivity and specificity
  • - Long-term security of supply
  • - Animal-free batch production

For more information, read more on recombinant antibodies.

Properties and storage information

Form
Liquid
Purification technique
Affinity purification Protein A
Storage buffer
pH: 7.2 - 7.4 Preservative: 0.01% Sodium azide Constituents: PBS, 40% Glycerol (glycerin, glycerine), 0.05% BSA
Shipped at conditions
Blue Ice
Appropriate short-term storage duration
1-2 weeks
Appropriate short-term storage conditions
+4°C
Appropriate long-term storage conditions
-20°C
Aliquoting information
Upon delivery aliquot
Storage information
Avoid freeze / thaw cycle

Product protocols

For this product, it's our understanding that no specific protocols are required. You can visit:

Target data

Plays a role in pre-mRNA splicing as core component of precatalytic, catalytic and postcatalytic spliceosomal complexes, both of the predominant U2-type spliceosome and the minor U12-type spliceosome (PubMed : 10411133, PubMed : 11971955, PubMed : 28076346, PubMed : 28502770, PubMed : 28781166, PubMed : 29301961, PubMed : 29360106, PubMed : 29361316, PubMed : 30315277, PubMed : 30705154, PubMed : 30728453). Functions as a scaffold that mediates the ordered assembly of spliceosomal proteins and snRNAs. Required for the assembly of the U4/U6-U5 tri-snRNP complex, a building block of the spliceosome. Functions as a scaffold that positions spliceosomal U2, U5 and U6 snRNAs at splice sites on pre-mRNA substrates, so that splicing can occur. Interacts with both the 5' and the 3' splice site.
See full target information PRPF8

Publications (2)

Recent publications for all applications. Explore the full list and refine your search

Cell proliferation 55:e13169 PubMed34957619

2021

Glycomics reveal that ST6GAL1-mediated sialylation regulates uterine lumen closure during implantation.

Applications

Unspecified application

Species

Unspecified reactive species

Kun Han,Feiyu Wang,Yulu Yue,Xihong Tan,Miao Tian,Yiliang Miao,Shuhong Zhao,Weijie Dong,Mei Yu

Cancer cell 34:119-135.e10 PubMed29937354

2018

Apoptotic Cell-Derived Extracellular Vesicles Promote Malignancy of Glioblastoma Via Intercellular Transfer of Splicing Factors.

Applications

Unspecified application

Species

Unspecified reactive species

Marat S Pavlyukov,Hai Yu,Soniya Bastola,Mutsuko Minata,Victoria O Shender,Yeri Lee,Suojun Zhang,Jia Wang,Svetlana Komarova,Jun Wang,Shinobu Yamaguchi,Heba Allah Alsheikh,Junfeng Shi,Dongquan Chen,Ahmed Mohyeldin,Sung-Hak Kim,Yong Jae Shin,Ksenia Anufrieva,Evgeniy G Evtushenko,Nadezhda V Antipova,Georgij P Arapidi,Vadim Govorun,Nikolay B Pestov,Mikhail I Shakhparonov,L James Lee,Do-Hyun Nam,Ichiro Nakano
View all publications

Product promise

We are committed to supporting your work with high-quality reagents, and we're here for you every step of the way. In the unlikely event that one of our products does not perform as expected, you're protected by our Product Promise.
For full details, please see our Terms & Conditions

Please note: All products are 'FOR RESEARCH USE ONLY. NOT FOR USE IN DIAGNOSTIC OR THERAPEUTIC PROCEDURES'.

For licensing inquiries, please contact partnerships@abcam.com