JavaScript is disabled in your browser. Please enable JavaScript to view this website.
AB137577

Anti-PRPS1 antibody

Be the first to review this product! Submit a review

|

(4 Publications)

Rabbit Polyclonal PRPS1 antibody. Suitable for WB, ICC/IF, IHC-P and reacts with Human samples. Cited in 4 publications. Immunogen corresponding to Recombinant Fragment Protein within Human PRPS1 aa 100 to C-terminus.

View Alternative Names

Ribose-phosphate pyrophosphokinase 1, PPRibP, Phosphoribosyl pyrophosphate synthase I, PRS-I, PRPS1

3 Images
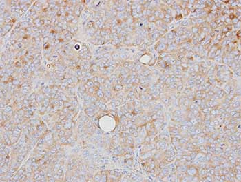
Immunohistochemistry (Formalin/PFA-fixed paraffin-embedded sections) - Anti-PRPS1 antibody (AB137577)
  • IHC-P

Unknown

Immunohistochemistry (Formalin/PFA-fixed paraffin-embedded sections) - Anti-PRPS1 antibody (AB137577)

Immunohistochemical analysis of paraffin-embedded SW480 xenograft labelling PRPS1 with ab137577 at 1/500 dilution.

Immunocytochemistry/ Immunofluorescence - Anti-PRPS1 antibody (AB137577)
  • ICC/IF

Unknown

Immunocytochemistry/ Immunofluorescence - Anti-PRPS1 antibody (AB137577)

Immunofluorescent analysis of methanol-fixed HeLa cells labelling PRPS1 with ab137577 at 1/200 dilution. Lower image is costained with Hoechst 33342.

Western blot - Anti-PRPS1 antibody (AB137577)
  • WB

Unknown

Western blot - Anti-PRPS1 antibody (AB137577)

10% SDS PAGE

All lanes:

Western blot - Anti-PRPS1 antibody (ab137577) at 1/1000 dilution

All lanes:

Molt 4 whole cell lysate at 30 µg

Predicted band size: 34 kDa

false

Key facts

Host species

Rabbit

Clonality

Polyclonal

Isotype

IgG

Carrier free

No

Reacts with

Human

Applications

ICC/IF, WB, IHC-P

applications

Immunogen

Recombinant Fragment Protein within Human PRPS1 aa 100 to C-terminus. The exact immunogen used to generate this antibody is proprietary information.

P60891

Reactivity data

{ "title": "Reactivity Data", "filters": { "stats": ["", "Species", "Dilution Info", "Notes"], "tabs": { "all-applications": {"fullname" : "All Applications", "shortname": "All Applications"}, "WB" : {"fullname" : "Western blot", "shortname":"WB"}, "ICCIF" : {"fullname" : "Immunocytochemistry/ Immunofluorescence", "shortname":"ICC/IF"}, "IHCP" : {"fullname" : "Immunohistochemistry (Formalin/PFA-fixed paraffin-embedded sections)", "shortname":"IHC-P"} }, "product-promise": { "all": "all", "testedAndGuaranteed": "tested", "guaranteed": "expected", "predicted": "predicted", "notRecommended": "not-recommended" } }, "values": { "Human": { "WB-species-checked": "testedAndGuaranteed", "WB-species-dilution-info": "1/500 - 1/3000", "WB-species-notes": "<p></p>", "ICCIF-species-checked": "testedAndGuaranteed", "ICCIF-species-dilution-info": "1/100 - 1/1000", "ICCIF-species-notes": "<p></p>", "IHCP-species-checked": "testedAndGuaranteed", "IHCP-species-dilution-info": "1/100 - 1/1000", "IHCP-species-notes": "<p>Perform heat mediated antigen retrieval before commencing with IHC staining protocol using 10mM citrate buffer (pH6.0) or Tris-EDTA buffer (pH8.0).</p>" }, "Mouse": { "WB-species-checked": "predicted", "WB-species-dilution-info": "", "WB-species-notes": "", "ICCIF-species-checked": "predicted", "ICCIF-species-dilution-info": "", "ICCIF-species-notes": "", "IHCP-species-checked": "predicted", "IHCP-species-dilution-info": "", "IHCP-species-notes": "" }, "Rat": { "WB-species-checked": "predicted", "WB-species-dilution-info": "", "WB-species-notes": "", "ICCIF-species-checked": "predicted", "ICCIF-species-dilution-info": "", "ICCIF-species-notes": "", "IHCP-species-checked": "predicted", "IHCP-species-dilution-info": "", "IHCP-species-notes": "" }, "Cow": { "WB-species-checked": "predicted", "WB-species-dilution-info": "", "WB-species-notes": "", "ICCIF-species-checked": "predicted", "ICCIF-species-dilution-info": "", "ICCIF-species-notes": "", "IHCP-species-checked": "predicted", "IHCP-species-dilution-info": "", "IHCP-species-notes": "" }, "Xenopus laevis": { "WB-species-checked": "predicted", "WB-species-dilution-info": "", "WB-species-notes": "", "ICCIF-species-checked": "predicted", "ICCIF-species-dilution-info": "", "ICCIF-species-notes": "", "IHCP-species-checked": "predicted", "IHCP-species-dilution-info": "", "IHCP-species-notes": "" }, "Xenopus tropicalis": { "WB-species-checked": "predicted", "WB-species-dilution-info": "", "WB-species-notes": "", "ICCIF-species-checked": "predicted", "ICCIF-species-dilution-info": "", "ICCIF-species-notes": "", "IHCP-species-checked": "predicted", "IHCP-species-dilution-info": "", "IHCP-species-notes": "" } } }

Properties and storage information

Form
Liquid
Purification technique
Affinity purification Immunogen
Storage buffer
pH: 7 Preservative: 0.01% Thimerosal (merthiolate) Constituents: 10% Glycerol (glycerin, glycerine), 1.21% Tris, 0.75% Glycine
Shipped at conditions
Blue Ice
Appropriate short-term storage conditions
+4°C
Appropriate long-term storage conditions
-20°C
Aliquoting information
Upon delivery aliquot
Storage information
Avoid freeze / thaw cycle

Product protocols

For this product, it's our understanding that no specific protocols are required. You can visit:

Target data

Catalyzes the synthesis of phosphoribosylpyrophosphate (PRPP) that is essential for nucleotide synthesis.
See full target information PRPS1

Publications (4)

Recent publications for all applications. Explore the full list and refine your search

Human mutation 2025:6690588 PubMed40677922

2025

Identification and Functional Characterization of a Novel PRPS1 Variant in X-Linked Nonsyndromic Hearing Loss: Insights From Zebrafish and Cellular Models.

Applications

Unspecified application

Species

Unspecified reactive species

Yining Wan,Jinqiu Li,Yingyuan Guo,Fang Guo,Ying Zhao,Yue Li,Xia Yang,Huidan Chen,Shimin Xie,Mingyong Wang,Guofang Guan,Yilong Zhu,Xiao Li

Cell reports 36:109491 PubMed34348154

2021

Exocyst protein subnetworks integrate Hippo and mTOR signaling to promote virus detection and cancer.

Applications

Unspecified application

Species

Unspecified reactive species

Aubhishek Zaman,Xiaofeng Wu,Andrew Lemoff,Sivaramakrishna Yadavalli,Jeon Lee,Chensu Wang,Jonathan Cooper,Elizabeth A McMillan,Charles Yeaman,Hamid Mirzaei,Michael A White,Trever G Bivona

Frontiers in oncology 11:640276 PubMed34113562

2021

LncRNA DLEU1 Contributes to the Growth and Invasion of Colorectal Cancer Targeting miR-320b/PRPS1.

Applications

Unspecified application

Species

Unspecified reactive species

Dong Xu,Fei Yang,Yongchao Fan,Wanling Jing,Jianfei Wen,Wen Miao,Xiaoyan Ding,Hongbao Yang

Oncology letters 15:4314-4322 PubMed29541198

2018

High expression of PRPS1 induces an anti-apoptotic effect in B-ALL cell lines and predicts an adverse prognosis in Chinese children with B-ALL.

Applications

Unspecified application

Species

Unspecified reactive species

Yimei Ma,Xizhou An,Xianmin Guan,Qinglin Kong,Yanzhen Wang,Pengfei Li,Yan Meng,Yinghui Cui,Xianhao Wen,Yuxia Guo,Yali Shen,Jie Yu
View all publications

Product promise

We are committed to supporting your work with high-quality reagents, and we're here for you every step of the way. In the unlikely event that one of our products does not perform as expected, you're protected by our Product Promise.
For full details, please see our Terms & Conditions

Please note: All products are 'FOR RESEARCH USE ONLY. NOT FOR USE IN DIAGNOSTIC OR THERAPEUTIC PROCEDURES'.

For licensing inquiries, please contact partnerships@abcam.com