JavaScript is disabled in your browser. Please enable JavaScript to view this website.
AB197158

Anti-PRSS22 antibody

Be the first to review this product! Submit a review

|

(2 Publications)

Rabbit Polyclonal PRSS22 antibody. Suitable for WB, IHC-P and reacts with Human samples. Cited in 2 publications. Immunogen corresponding to Recombinant Fragment Protein within Human PRSS22 aa 50-300.

View Alternative Names

BSSP4, PRSS26, SP001LA, UNQ302/PRO343, PRSS22, Brain-specific serine protease 4, BSSP-4, Serine protease 22, Serine protease 26, Tryptase epsilon

2 Images
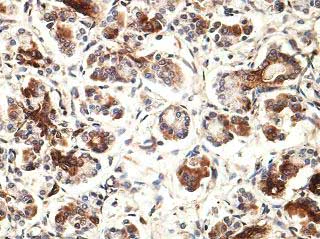
Immunohistochemistry (Formalin/PFA-fixed paraffin-embedded sections) - Anti-PRSS22 antibody (AB197158)
  • IHC-P

Supplier Data

Immunohistochemistry (Formalin/PFA-fixed paraffin-embedded sections) - Anti-PRSS22 antibody (AB197158)

Immunohistochemical analysis of formalin-fixed, paraffin-embedded Human fetal pancreas tissue labeling PRSS22 with ab197158 at 1/100 dilution.

Western blot - Anti-PRSS22 antibody (AB197158)
  • WB

Supplier Data

Western blot - Anti-PRSS22 antibody (AB197158)

All lanes:

Western blot - Anti-PRSS22 antibody (ab197158) at 1/1000 dilution

All lanes:

Human fetal lung lysate

Predicted band size: 34 kDa

false

Key facts

Host species

Rabbit

Clonality

Polyclonal

Isotype

IgG

Carrier free

No

Reacts with

Human

Applications

IHC-P, WB

applications

Immunogen

Recombinant Fragment Protein within Human PRSS22 aa 50-300. The exact immunogen used to generate this antibody is proprietary information.

Q9GZN4

Reactivity data

{ "title": "Reactivity Data", "filters": { "stats": ["", "Species", "Dilution Info", "Notes"], "tabs": { "all-applications": {"fullname" : "All Applications", "shortname": "All Applications"}, "WB" : {"fullname" : "Western blot", "shortname":"WB"}, "IHCP" : {"fullname" : "Immunohistochemistry (Formalin/PFA-fixed paraffin-embedded sections)", "shortname":"IHC-P"} }, "product-promise": { "all": "all", "testedAndGuaranteed": "tested", "guaranteed": "expected", "predicted": "predicted", "notRecommended": "not-recommended" } }, "values": { "Human": { "WB-species-checked": "testedAndGuaranteed", "WB-species-dilution-info": "1/200 - 1/1000", "WB-species-notes": "<p></p>", "IHCP-species-checked": "testedAndGuaranteed", "IHCP-species-dilution-info": "1/100 - 1/500", "IHCP-species-notes": "<p></p>" } } }

Properties and storage information

Form
Lyophilized
Reconstitution
reconstitute with water at 200µL
Purification technique
Affinity purification Immunogen
Storage buffer
pH: 7.2 Preservative: 0.02% Sodium azide Constituents: PBS, 1% BSA
Shipped at conditions
Blue Ice
Appropriate short-term storage duration
1-2 weeks
Appropriate short-term storage conditions
+4°C
Appropriate long-term storage conditions
-20°C
Aliquoting information
Upon delivery aliquot
Storage information
Avoid freeze / thaw cycle

Product protocols

For this product, it's our understanding that no specific protocols are required. You can visit:

Target data

Preferentially cleaves the synthetic substrate H-D-Leu-Thr-Arg-pNA compared to tosyl-Gly-Pro-Arg-pNA.
See full target information PRSS22

Publications (2)

Recent publications for all applications. Explore the full list and refine your search

The American journal of case reports 26:e947953 PubMed40305440

2025

AMH and Kisspeptin Receptor Expression in Rare Hydropic Leiomyoma: A Case Study.

Applications

Unspecified application

Species

Unspecified reactive species

Marek Gowkielewicz,Aleksandra Lipka,Aleksandra Piotrowska,Marta Szadurska-Noga,Anna Szalcunas-Olsztyn,Maciej Eliszewski,Paweł Radkowski,Piotr Dzięgiel,Tomasz Waśniewski,Marta Majewska

Cell death & disease 13:982 PubMed36414640

2022

E2F1-initiated transcription of PRSS22 promotes breast cancer metastasis by cleaving ANXA1 and activating FPR2/ERK signaling pathway.

Applications

Unspecified application

Species

Unspecified reactive species

Lin Song,Hui Li,Ran-Ran Ma,Sen Liu,Guo-Hao Zhang,Xiang-Yu Guo,Rui-Nan Zhao,Xiao-Juan Wu,Kai Zhang,Peng Gao
View all publications

Product promise

We are committed to supporting your work with high-quality reagents, and we're here for you every step of the way. In the unlikely event that one of our products does not perform as expected, you're protected by our Product Promise.
For full details, please see our Terms & Conditions

Please note: All products are 'FOR RESEARCH USE ONLY. NOT FOR USE IN DIAGNOSTIC OR THERAPEUTIC PROCEDURES'.

For licensing inquiries, please contact partnerships@abcam.com