JavaScript is disabled in your browser. Please enable JavaScript to view this website.
AB151970

Anti-PRSS35 antibody

Be the first to review this product! Submit a review

|

(3 Publications)

Rabbit Polyclonal PRSS35 antibody. Suitable for WB, IHC-P and reacts with Mouse, Human samples. Cited in 3 publications. Immunogen corresponding to Recombinant Fragment Protein within Human PRSS35 aa 1-250.

View Alternative Names

C6orf158, UNQ522/PRO1057, PRSS35, Inactive serine protease 35

3 Images
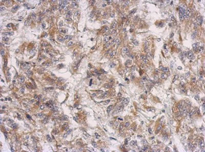
Immunohistochemistry (Formalin/PFA-fixed paraffin-embedded sections) - Anti-PRSS35 antibody (AB151970)
  • IHC-P

Unknown

Immunohistochemistry (Formalin/PFA-fixed paraffin-embedded sections) - Anti-PRSS35 antibody (AB151970)

Immunohistochemical analysis of paraffin-embedded Human U251 xenograft tissue labeling PRSS35 with ab151970 at 1/500 dilution.

Western blot - Anti-PRSS35 antibody (AB151970)
  • WB

Unknown

Western blot - Anti-PRSS35 antibody (AB151970)

10% SDS PAGE

All lanes:

Western blot - Anti-PRSS35 antibody (ab151970) at 1/1000 dilution

Lane 1:

PC3 whole cell lysate at 30 µg

Lane 2:

SK N SH whole cell lysate at 30 µg

Predicted band size: 47 kDa

false

Western blot - Anti-PRSS35 antibody (AB151970)
  • WB

Unknown

Western blot - Anti-PRSS35 antibody (AB151970)

10% SDS PAGE

All lanes:

Western blot - Anti-PRSS35 antibody (ab151970) at 1/1000 dilution

All lanes:

Mouse testis whole cell lysate at 50 µg

Predicted band size: 47 kDa

false

Key facts

Host species

Rabbit

Clonality

Polyclonal

Isotype

IgG

Carrier free

No

Reacts with

Mouse, Human

Applications

IHC-P, WB

applications

Immunogen

Recombinant Fragment Protein within Human PRSS35 aa 1-250. The exact immunogen used to generate this antibody is proprietary information.

Q8N3Z0

Reactivity data

{ "title": "Reactivity Data", "filters": { "stats": ["", "Species", "Dilution Info", "Notes"], "tabs": { "all-applications": {"fullname" : "All Applications", "shortname": "All Applications"}, "WB" : {"fullname" : "Western blot", "shortname":"WB"}, "IHCP" : {"fullname" : "Immunohistochemistry (Formalin/PFA-fixed paraffin-embedded sections)", "shortname":"IHC-P"} }, "product-promise": { "all": "all", "testedAndGuaranteed": "tested", "guaranteed": "expected", "predicted": "predicted", "notRecommended": "not-recommended" } }, "values": { "Human": { "WB-species-checked": "testedAndGuaranteed", "WB-species-dilution-info": "1/500 - 1/3000", "WB-species-notes": "<p></p>", "IHCP-species-checked": "testedAndGuaranteed", "IHCP-species-dilution-info": "1/100 - 1/1000", "IHCP-species-notes": "<p></p>" }, "Mouse": { "WB-species-checked": "testedAndGuaranteed", "WB-species-dilution-info": "1/500 - 1/3000", "WB-species-notes": "<p></p>", "IHCP-species-checked": "guaranteed", "IHCP-species-dilution-info": "", "IHCP-species-notes": "" } } }

Properties and storage information

Form
Liquid
Purification technique
Affinity purification Immunogen
Storage buffer
pH: 7 Preservative: 0.01% Thimerosal (merthiolate) Constituents: 20% Glycerol (glycerin, glycerine), 1.21% Tris, 0.75% Glycine
Shipped at conditions
Blue Ice
Appropriate short-term storage conditions
+4°C
Appropriate long-term storage conditions
-20°C
Aliquoting information
Upon delivery aliquot
Storage information
Avoid freeze / thaw cycle

Product protocols

For this product, it's our understanding that no specific protocols are required. You can visit:

Publications (3)

Recent publications for all applications. Explore the full list and refine your search

Naunyn-Schmiedeberg's archives of pharmacology 397:4823-4831 PubMed38157023

2024

Silencing HE4 alleviates the renal fibrosis in lupus nephritis mice by regulating the C3/MMPs/prss axis.

Applications

Unspecified application

Species

Unspecified reactive species

Yixia Li,Xiaorong Zhong,Feng Yang

EMBO reports 22:e51573 PubMed33780134

2021

Fibrotic enzymes modulate wound-induced skin tumorigenesis.

Applications

Unspecified application

Species

Unspecified reactive species

Lisette Van Hove,Kim Lecomte,Jana Roels,Niels Vandamme,Hanna-Kaisa Vikkula,Isabelle Hoorens,Katia Ongenae,Tino Hochepied,Giacomo Donati,Yvan Saeys,Sven R Quist,Fiona M Watt,Geert van Loo,Esther Hoste

Critical care medicine 44:e544-52 PubMed26757166

2016

Alda-1 Attenuates Lung Ischemia-Reperfusion Injury by Reducing 4-Hydroxy-2-Nonenal in Alveolar Epithelial Cells.

Applications

Unspecified application

Species

Unspecified reactive species

Jie Ding,Quanyi Zhang,Qipeng Luo,Yongquan Ying,Yiwei Liu,Yinan Li,Wei Wei,Fuxia Yan,Hao Zhang
View all publications

Product promise

We are committed to supporting your work with high-quality reagents, and we're here for you every step of the way. In the unlikely event that one of our products does not perform as expected, you're protected by our Product Promise.
For full details, please see our Terms & Conditions

Please note: All products are 'FOR RESEARCH USE ONLY. NOT FOR USE IN DIAGNOSTIC OR THERAPEUTIC PROCEDURES'.

For licensing inquiries, please contact partnerships@abcam.com