JavaScript is disabled in your browser. Please enable JavaScript to view this website.
AB227225

Anti-PRSS8 antibody

Be the first to review this product! Submit a review

|

(1 Publication)

Rabbit Polyclonal PRSS8 antibody. Suitable for WB, IHC-P and reacts with Human samples. Cited in 1 publication. Immunogen corresponding to Recombinant Fragment Protein within Human Prostasin.

View Alternative Names

Prostasin, Channel-activating protease 1, Serine protease 8, CAP1, PRSS8

2 Images
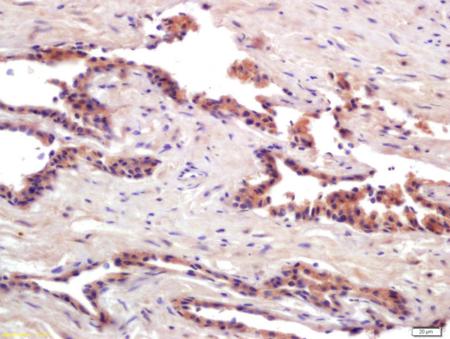
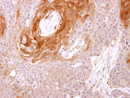
Immunohistochemistry (Formalin/PFA-fixed paraffin-embedded sections) - Anti-PRSS8 antibody (AB227225)
  • IHC-P

Supplier Data

Immunohistochemistry (Formalin/PFA-fixed paraffin-embedded sections) - Anti-PRSS8 antibody (AB227225)

Paraffin-embedded Ca992 xenograft tissue stained for PRSS8 with ab227225 at 1/250 dilution in immunohistochemical analysis.

Western blot - Anti-PRSS8 antibody (AB227225)
  • WB

Supplier Data

Western blot - Anti-PRSS8 antibody (AB227225)

10% SDS-PAGE

All lanes:

Western blot - Anti-PRSS8 antibody (ab227225) at 1/1000 dilution

Lane 1:

HeLa S3 (human epithelial cell line from cervix adenocarcinoma) whole cell lysate at 30 µg

Lane 2:

Raji (human Burkitt's lymphoma cell line) whole cell lysate at 30 µg

Predicted band size: 36 kDa

true

Key facts

Host species

Rabbit

Clonality

Polyclonal

Isotype

IgG

Carrier free

No

Reacts with

Human

Applications

IHC-P, WB

applications

Immunogen

Recombinant Fragment Protein within Human Prostasin. The exact immunogen used to generate this antibody is proprietary information.

Q16651

Reactivity data

{ "title": "Reactivity Data", "filters": { "stats": ["", "Species", "Dilution Info", "Notes"], "tabs": { "all-applications": {"fullname" : "All Applications", "shortname": "All Applications"}, "WB" : {"fullname" : "Western blot", "shortname":"WB"}, "IHCP" : {"fullname" : "Immunohistochemistry (Formalin/PFA-fixed paraffin-embedded sections)", "shortname":"IHC-P"} }, "product-promise": { "all": "all", "testedAndGuaranteed": "tested", "guaranteed": "expected", "predicted": "predicted", "notRecommended": "not-recommended" } }, "values": { "Human": { "WB-species-checked": "testedAndGuaranteed", "WB-species-dilution-info": "1/500 - 1/3000", "WB-species-notes": "<p></p>", "IHCP-species-checked": "testedAndGuaranteed", "IHCP-species-dilution-info": "1/100 - 1/1000", "IHCP-species-notes": "<p></p>" }, "Rhesus monkey": { "WB-species-checked": "predicted", "WB-species-dilution-info": "", "WB-species-notes": "", "IHCP-species-checked": "predicted", "IHCP-species-dilution-info": "", "IHCP-species-notes": "" } } }

Properties and storage information

Form
Liquid
Purification technique
Affinity purification Immunogen
Storage buffer
pH: 7 Preservative: 0.01% Thimerosal (merthiolate) Constituents: 10% Glycerol (glycerin, glycerine), 1.21% Tris, 0.75% Glycine
Shipped at conditions
Blue Ice
Appropriate short-term storage duration
1-2 weeks
Appropriate short-term storage conditions
+4°C
Appropriate long-term storage conditions
-20°C
Aliquoting information
Upon delivery aliquot
Storage information
Avoid freeze / thaw cycle

Product protocols

For this product, it's our understanding that no specific protocols are required. You can visit:

Target data

Possesses a trypsin-like cleavage specificity with a preference for poly-basic substrates. Stimulates epithelial sodium channel (ENaC) activity through activating cleavage of the gamma subunits (SCNN1G).
See full target information Prostasin

Publications (1)

Recent publications for all applications. Explore the full list and refine your search

In vivo (Athens, Greece) 37:2421-2432 PubMed37905617

2023

Chemical Carcinogen (Dimethyl-benzanthracene) Induced Transplantable Cancer in Fanconi Anemia (Fanca-/-) Mice.

Applications

Unspecified application

Species

Unspecified reactive species

Michael W Epperly,Amitava Mukherjee,Renee Fisher,Donna Shields,Wen Hou,Hong Wang,Lora H Rigatti,Anthony Green,M Saiful Huq,Joel S Greenberger
View all publications

Product promise

We are committed to supporting your work with high-quality reagents, and we're here for you every step of the way. In the unlikely event that one of our products does not perform as expected, you're protected by our Product Promise.
For full details, please see our Terms & Conditions

Please note: All products are 'FOR RESEARCH USE ONLY. NOT FOR USE IN DIAGNOSTIC OR THERAPEUTIC PROCEDURES'.

For licensing inquiries, please contact partnerships@abcam.com