JavaScript is disabled in your browser. Please enable JavaScript to view this website.
AB308122

Anti-PSAP antibody [EPR25649-20]

  • BOND RX™ Validated
  • 20ul selling size
  • RabMAb
  • Recombinant
  • KO Validated
  • What is this?

Be the first to review this product! Submit a review

|

(0 Publication)

Rabbit Recombinant Monoclonal PSAP antibody. Suitable for WB, IHC-P, ICC/IF, IP and reacts with Human samples.

View Alternative Names

GLBA, SAP1, PSAP, Prosaposin, Proactivator polypeptide

10 Images
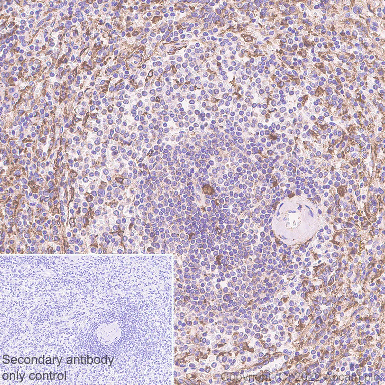
Immunohistochemistry - Anti-PSAP antibody [EPR25649-20] (AB308122)
  • IHC

Supplier Data

Immunohistochemistry - Anti-PSAP antibody [EPR25649-20] (AB308122)

Immunohistochemical analysis of paraffin-embedded human spleen tissue labeling PSAP with ab308122 at 1/2000 followed by a ready to use LeicaDS9800 (Bond™, Polymer Refine Detection). Positive cytoplasmic staining on human spleen. The section was incubated with ab308122 for 30 mins at room temperature. The immunostaining was performed on a Leica Biosystems BOND® RX instrument. Counterstained with Hematoxylin. Secondary antibody only control : Secondary antibody is a ready to use LeicaDS9800 (Bond™, Polymer Refine Detection). Heat mediated antigen retrieval was performed with Tris-EDTA buffer (pH 9.0, Epitope Retrieval Solution2) for 20 mins.

Immunocytochemistry/ Immunofluorescence - Anti-PSAP antibody [EPR25649-20] (AB308122)
  • ICC/IF

Supplier Data

Immunocytochemistry/ Immunofluorescence - Anti-PSAP antibody [EPR25649-20] (AB308122)

Immunofluorescent analysis of 4% Paraformaldehyde-fixed, 0.1% TritonX-100 permeabilized PC-3 (human prostate adenocarcinoma epithelial cell) cells labelling PSAP with ab308122 at 1/100 dilution, followed by ab150081 Goat Anti-Rabbit IgG H&L (Alexa Fluor® 488) preadsorbed antibody at 1/1000 dilution (Green). Confocal image showing cytoplasmic staining in PC-3 cell line. Image was taken with a confocal microscope(Leica-Microsystems, TCS SP8). ab195889 Anti-alpha Tubulin mouse monoclonal antibody - Microtubule Marker (Alexa Fluor® 594) was used to counterstain tubulin at 1/200 dilution (2.5 ug/ml) (Red). The nuclear counterstain was DAPI (Blue). Secondary antibody only control : Secondary antibody is ab150081 Goat Anti-Rabbit IgG H&L (Alexa Fluor® 488) preadsorbed at 1/1000 dilution.

Immunohistochemistry - Anti-PSAP antibody [EPR25649-20] (AB308122)
  • IHC

Supplier Data

Immunohistochemistry - Anti-PSAP antibody [EPR25649-20] (AB308122)

Immunohistochemical analysis of paraffin-embedded human cerebrum tissue labeling PSAP with ab308122 at 1/2000 followed by a ready to use LeicaDS9800 (Bond™, Polymer Refine Detection). Positive cytoplasmic staining on human cerebrum. The section was incubated with ab308122 for 30 mins at room temperature. The immunostaining was performed on a Leica Biosystems BOND® RX instrument. Counterstained with Hematoxylin. Secondary antibody only control : Secondary antibody is a ready to use LeicaDS9800 (Bond™, Polymer Refine Detection). Heat mediated antigen retrieval was performed with Tris-EDTA buffer (pH 9.0, Epitope Retrieval Solution2) for 20 mins.

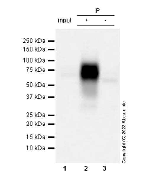
Immunoprecipitation - Anti-PSAP antibody [EPR25649-20] (AB308122)
  • IP

Supplier Data

Immunoprecipitation - Anti-PSAP antibody [EPR25649-20] (AB308122)

PSAP was immunoprecipitated from 0.35 mg PC-3 (human prostate adenocarcinoma epithelial cell) whole cell lysate with ab308122 at 1/30 dilution (2ug in 0.35mg lysates). Western blot was performed on the immunoprecipitate using ab308122 at 1/1000 dilution. VeriBlot for IP secondary antibody(HRP)(ab131366) was used at 1/5000 dilution. Lane 1 : PC-3 whole cell lysate Lane 2 : ab308122 IP in PC-3 whole cell lysate Lane 3 : Rabbit monoclonal IgG (ab172730) instead of ab308122 in PC-3 whole cell lysate Blocking and dilution buffer and concentration : 5% NFDM/TBST. Exposure time : 8 seconds.

All lanes:

Immunoprecipitation - Anti-PSAP antibody [EPR25649-20] (ab308122) at 1/30 dilution

Lane 1:

PC-3 whole cell lysate at 20 µg

Lane 2:

PC-3 whole cell lysate

Secondary

All lanes:

Immunoprecipitation - VeriBlot for IP Detection Reagent (HRP) (<a href='/en-us/products/reagents/veriblot-for-ip-detection-reagent-hrp-ab131366'>ab131366</a>) at 1/5000 dilution

Observed band size: 70 kDa

false

Exposure time: 8s

Immunoprecipitation - Anti-PSAP antibody [EPR25649-20] (AB308122)
  • IP

Supplier Data

Immunoprecipitation - Anti-PSAP antibody [EPR25649-20] (AB308122)

Immunoprecipitation of PSAP in HeLa cells. Lysates were prepared and immunoprecipitation was performed using 2 μg of ab308122 pre-coupled to Protein A beads. Samples were then washed and processed for western blot.

This data was provided by YCharOS Inc., an open science company with the mission of characterizing commercially available antibody reagents for all human proteins. Abcam and YCharOS are working together to help address the reproducibility crisis by enabling the life science community to better evaluate commercially available antibodies.

All lanes:

HeLa cells

false

Western blot - Anti-PSAP antibody [EPR25649-20] (AB308122)
  • WB

Supplier Data

Western blot - Anti-PSAP antibody [EPR25649-20] (AB308122)

ab308122 was shown to react with PSAP in wild-type HeLa cells in Western blot with loss of signal observed in PSAP knockout cell line ab265989. Wild-type HeLa and PSAP knockout cell lysates were subjected to SDS-PAGE. Membranes were blocked in 5% milk in TBST for 1 hr before incubation with ab308122 overnight at 4 °C at a 1/1000 dilution. Blots were incubated with secondary antibodies at 0.2 μg/mL before imaging.

This data was provided by YCharOS Inc., an open science company with the mission of characterizing commercially available antibody reagents for all human proteins. Abcam and YCharOS are working together to help address the reproducibility crisis by enabling the life science community to better evaluate commercially available antibodies.

All lanes:

Western blot - Anti-PSAP antibody [EPR25649-20] (ab308122) at 1/1000 dilution

Lane 1:

Wild-type HeLa lysate at 10 µg

Lane 2:

PSAP knock-out HeLa lysate at 10 µg

false

Western blot - Anti-PSAP antibody [EPR25649-20] (AB308122)
  • WB

Supplier Data

Western blot - Anti-PSAP antibody [EPR25649-20] (AB308122)

Blocking and diluting buffer and concentration : 5% NFDM/TBST.

This blot was developed using a high sensitivity ECL substrate. The high-sensitivity ECL substrate used allows for the detection of proteins in the mid-femtogram range.

Lysates were freshly made and used immediately to minimize protein degradation.

The expression profile/ molecular weight observed is consistent with what has been described in the literature (PMID : 15743835) (PMID : 15353235).

Exposure time :

Lane 1 : 180 seconds

Lane 2 : 15 seconds

All lanes:

Western blot - Anti-PSAP antibody [EPR25649-20] (ab308122) at 1/1000 dilution

Lane 1:

HeLa whole cell lysate at 20 µg

Lane 2:

PC-3 whole cell lysate at 20 µg

Secondary

All lanes:

Western blot - Goat Anti-Rabbit IgG H&L (HRP) (<a href='/en-us/products/secondary-antibodies/goat-rabbit-igg-h-l-hrp-ab97051'>ab97051</a>) at 1/100000 dilution

Observed band size: 70 kDa

true

Western blot - Anti-PSAP antibody [EPR25649-20] (AB308122)
  • WB

Supplier Data

Western blot - Anti-PSAP antibody [EPR25649-20] (AB308122)

Blocking and diluting buffer and concentration : 5% NFDM/TBST.

This blot was developed using a high sensitivity ECL substrate. The high-sensitivity ECL substrate used allows for the detection of proteins in the mid-femtogram range.

The band below 70 kDa may be caused by degradation.

In Western blot, anti-GAPDH antibody (ab181602) loading control staining at 1/200000 dilution.

All lanes:

Western blot - Anti-PSAP antibody [EPR25649-20] (ab308122) at 1/1000 dilution

All lanes:

Human cerebellum tissue lysate at 20 µg

Secondary

All lanes:

Western blot - Goat Anti-Rabbit IgG H&L (HRP) (<a href='/en-us/products/secondary-antibodies/goat-rabbit-igg-h-l-hrp-ab97051'>ab97051</a>) at 1/100000 dilution

Observed band size: 70 kDa

true

Exposure time: 180s

Western blot - Anti-PSAP antibody [EPR25649-20] (AB308122)
  • WB

Supplier Data

Western blot - Anti-PSAP antibody [EPR25649-20] (AB308122)

Blocking and diluting buffer and concentration : 5% NFDM/TBST. The expression profile/ molecular weight observed is consistent with what has been described in the literature (PMID : 15743835) (PMID : 15353235). In Western blot, anti-GAPDH antibody (ab181602) loading control staining at 1/200000 dilution. Exposure time : 180 seconds.

All lanes:

Western blot - Anti-PSAP antibody [EPR25649-20] (ab308122) at 1/1000 dilution

Lane 1:

HeLa transfected with scrambled siRNA control whole cell lysate at 20 µg

Lane 2:

HeLa transfected with siRNA specifically targeting PSAP whole cell lysate at 20 µg

Secondary

All lanes:

Western blot - Goat Anti-Rabbit IgG H&L (HRP) (<a href='/en-us/products/secondary-antibodies/goat-rabbit-igg-h-l-hrp-ab97051'>ab97051</a>) at 1/100000 dilution

Observed band size: 70 kDa

false

Exposure time: 180s

Western blot - Anti-PSAP antibody [EPR25649-20] (AB308122)
  • WB

Supplier Data

Western blot - Anti-PSAP antibody [EPR25649-20] (AB308122)

Blocking and diluting buffer and concentration : 5% NFDM/TBST.

The expression profile/ molecular weight observed is consistent with what has been described in the literature (PMID : 15743835) (PMID : 15353235).

This blot was developed using a high sensitivity ECL substrate. The high-sensitivity ECL substrate used allows for the detection of proteins in the mid-femtogram range.

In Western blot, anti-GAPDH antibody (ab181602) loading control staining at 1/200000 dilution.

All lanes:

Western blot - Anti-PSAP antibody [EPR25649-20] (ab308122) at 1/1000 dilution

Lane 1:

293T transfected with scrambled siRNA control whole cell lysate at 20 µg

Lane 2:

293T transfected with siRNA specifically targeting PSAP whole cell lysate at 20 µg

Secondary

All lanes:

Western blot - Goat Anti-Rabbit IgG H&L (HRP) (<a href='/en-us/products/secondary-antibodies/goat-rabbit-igg-h-l-hrp-ab97051'>ab97051</a>) at 1/20000 dilution

Observed band size: 70 kDa

true

Exposure time: 103s

  • Carrier free

    Anti-PSAP antibody [EPR25649-20] - BSA and Azide free

Key facts

Host species

Rabbit

Clonality

Monoclonal

Clone number

EPR25649-20

Isotype

IgG

Carrier free

No

Reacts with

Human

Applications

IP, WB, IHC-P, ICC/IF

applications

Immunogen

The exact immunogen used to generate this antibody is proprietary information.

Reactivity data

{ "title": "Reactivity Data", "filters": { "stats": ["", "Species", "Dilution Info", "Notes"], "tabs": { "all-applications": {"fullname" : "All Applications", "shortname": "All Applications"}, "WB" : {"fullname" : "Western blot", "shortname":"WB"}, "IHCP" : {"fullname" : "Immunohistochemistry (Formalin/PFA-fixed paraffin-embedded sections)", "shortname":"IHC-P"}, "ICCIF" : {"fullname" : "Immunocytochemistry/ Immunofluorescence", "shortname":"ICC/IF"}, "IP" : {"fullname" : "Immunoprecipitation", "shortname":"IP"}, "FlowCytIntra" : {"fullname" : "Flow Cytometry (Intracellular)", "shortname":"Flow Cyt (Intra)"} }, "product-promise": { "all": "all", "testedAndGuaranteed": "tested", "guaranteed": "expected", "predicted": "predicted", "notRecommended": "not-recommended" } }, "values": { "Human": { "WB-species-checked": "testedAndGuaranteed", "WB-species-dilution-info": "1/1000", "WB-species-notes": "<p></p>", "IHCP-species-checked": "testedAndGuaranteed", "IHCP-species-dilution-info": "1/2000", "IHCP-species-notes": "<p></p> Perform heat-mediated antigen retrieval with Tris/EDTA buffer pH 9.0 before commencing with IHC staining protocol.", "ICCIF-species-checked": "testedAndGuaranteed", "ICCIF-species-dilution-info": "1/100", "ICCIF-species-notes": "<p></p>", "IP-species-checked": "testedAndGuaranteed", "IP-species-dilution-info": "1/30", "IP-species-notes": "<p></p>", "FlowCytIntra-species-checked": "notRecommended", "FlowCytIntra-species-dilution-info": "", "FlowCytIntra-species-notes": "<p></p>" }, "Mouse": { "WB-species-checked": "notRecommended", "WB-species-dilution-info": "1/1000", "WB-species-notes": "<p></p>", "IHCP-species-checked": "notRecommended", "IHCP-species-dilution-info": "1/2000", "IHCP-species-notes": "<p></p> Perform heat-mediated antigen retrieval with Tris/EDTA buffer pH 9.0 before commencing with IHC staining protocol.", "ICCIF-species-checked": "notRecommended", "ICCIF-species-dilution-info": "1/100", "ICCIF-species-notes": "<p></p>", "IP-species-checked": "notRecommended", "IP-species-dilution-info": "", "IP-species-notes": "", "FlowCytIntra-species-checked": "notRecommended", "FlowCytIntra-species-dilution-info": "", "FlowCytIntra-species-notes": "<p></p>" }, "Rat": { "WB-species-checked": "notRecommended", "WB-species-dilution-info": "1/1000", "WB-species-notes": "<p></p>", "IHCP-species-checked": "notRecommended", "IHCP-species-dilution-info": "1/2000", "IHCP-species-notes": "<p></p> Perform heat-mediated antigen retrieval with Tris/EDTA buffer pH 9.0 before commencing with IHC staining protocol.", "ICCIF-species-checked": "notRecommended", "ICCIF-species-dilution-info": "", "ICCIF-species-notes": "", "IP-species-checked": "notRecommended", "IP-species-dilution-info": "", "IP-species-notes": "", "FlowCytIntra-species-checked": "notRecommended", "FlowCytIntra-species-dilution-info": "", "FlowCytIntra-species-notes": "" } } }

Product details

Patented technology
Our RabMAb® technology is a patented hybridoma-based technology for making rabbit monoclonal antibodies. For details on our patents, please refer to RabMAb® patents.

What are the advantages of a recombinant monoclonal antibody?
This product is a recombinant monoclonal antibody, which offers several advantages including:

  • - High batch-to-batch consistency and reproducibility
  • - Improved sensitivity and specificity
  • - Long-term security of supply
  • - Animal-free batch production

For more information, read more on recombinant antibodies.

Properties and storage information

Form
Liquid
Purification technique
Affinity purification Protein A
Storage buffer
pH: 7.2 - 7.4 Preservative: 0.01% Sodium azide Constituents: PBS, 40% Glycerol (glycerin, glycerine), 0.05% BSA
Shipped at conditions
Blue Ice
Appropriate short-term storage duration
1-2 weeks
Appropriate short-term storage conditions
+4°C
Appropriate long-term storage conditions
-20°C
Aliquoting information
Upon delivery aliquot
Storage information
Avoid freeze / thaw cycle

Product protocols

For this product, it's our understanding that no specific protocols are required. You can visit:

Target data

Saposin-A and saposin-C stimulate the hydrolysis of glucosylceramide by beta-glucosylceramidase (EC 3.2.1.45) and galactosylceramide by beta-galactosylceramidase (EC 3.2.1.46). Saposin-C apparently acts by combining with the enzyme and acidic lipid to form an activated complex, rather than by solubilizing the substrate.. Saposin-B stimulates the hydrolysis of galacto-cerebroside sulfate by arylsulfatase A (EC 3.1.6.8), GM1 gangliosides by beta-galactosidase (EC 3.2.1.23) and globotriaosylceramide by alpha-galactosidase A (EC 3.2.1.22). Saposin-B forms a solubilizing complex with the substrates of the sphingolipid hydrolases.. Saposin-D is a specific sphingomyelin phosphodiesterase activator (EC 3.1.4.12).. Prosaposin. Behaves as a myelinotrophic and neurotrophic factor, these effects are mediated by its G-protein-coupled receptors, GPR37 and GPR37L1, undergoing ligand-mediated internalization followed by ERK phosphorylation signaling.. Saposins are specific low-molecular mass non-enzymic proteins, they participate in the lysosomal degradation of sphingolipids, which takes place by the sequential action of specific hydrolases.
See full target information PSAP

Product promise

We are committed to supporting your work with high-quality reagents, and we're here for you every step of the way. In the unlikely event that one of our products does not perform as expected, you're protected by our Product Promise.
For full details, please see our Terms & Conditions

Please note: All products are 'FOR RESEARCH USE ONLY. NOT FOR USE IN DIAGNOSTIC OR THERAPEUTIC PROCEDURES'.

For licensing inquiries, please contact partnerships@abcam.com