JavaScript is disabled in your browser. Please enable JavaScript to view this website.
AB300469

Anti-PSAP antibody [EPR25650-11]

  • BOND RX™ Validated
  • 20ul selling size
  • RabMAb
  • Recombinant
  • What is this?

Be the first to review this product! Submit a review

|

(1 Publication)

Rabbit Recombinant Monoclonal PSAP antibody. Suitable for IHC-P, WB, IP, Flow Cyt (Intra), ICC/IF, IHC-Fr and reacts with Mouse, Rat, Transfected cell line samples. Cited in 1 publication.

View Alternative Names

Sgp1, Psap, Prosaposin, Sulfated glycoprotein 1, SGP-1

13 Images
Immunohistochemistry (Formalin/PFA-fixed paraffin-embedded sections) - Anti-PSAP antibody [EPR25650-11] (AB300469)
  • IHC-P

Supplier Data

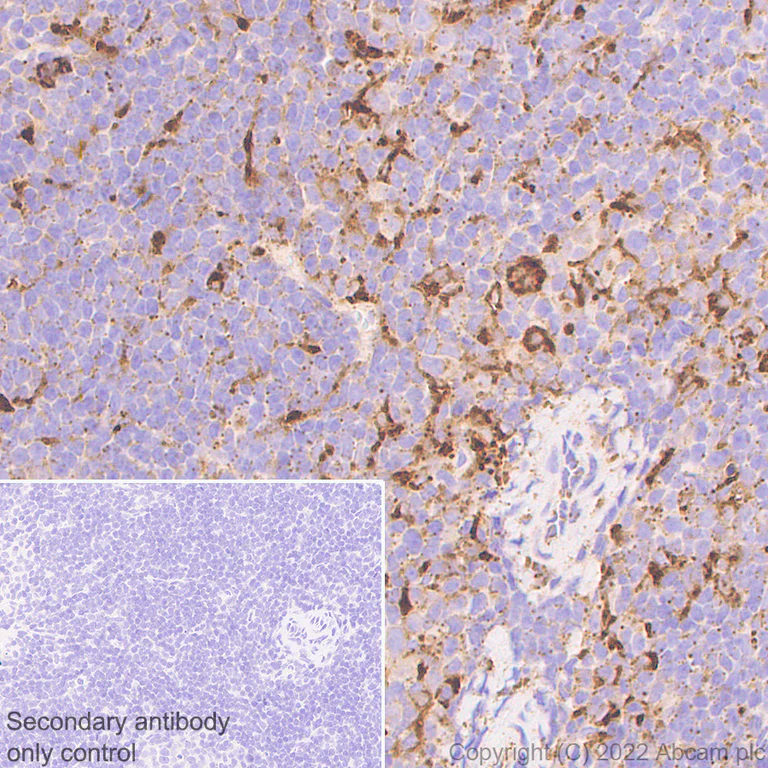
Immunohistochemistry (Formalin/PFA-fixed paraffin-embedded sections) - Anti-PSAP antibody [EPR25650-11] (AB300469)

Immunohistochemical analysis of paraffin-embedded Mouse spleen tissue labeling PSAP with ab300469 at 1/5000 (0.294 ug/ml) followed by a ready to use LeicaDS9800 (Bond® Polymer Refine Detection) was used. Positive staining on mouse spleen (PMID : 9570738). The section was incubated with ab300469 for 10 mins at room temperature.The immunostaining was performed on a Leica Biosystems BOND® RX instrument. Counterstained with Hematoxylin. Secondary antibody only control : Secondary antibody is a ready to use LeicaDS9800 (Bond® Polymer Refine Detection) was used.Heat mediated antigen retrieval with Tris-EDTA buffer (pH 9.0, epitope retrieval solution2) for 20 mins

Immunohistochemistry (Formalin/PFA-fixed paraffin-embedded sections) - Anti-PSAP antibody [EPR25650-11] (AB300469)
  • IHC-P

Supplier Data

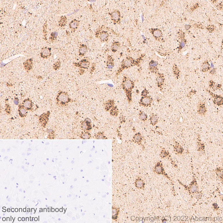
Immunohistochemistry (Formalin/PFA-fixed paraffin-embedded sections) - Anti-PSAP antibody [EPR25650-11] (AB300469)

Immunohistochemical analysis of paraffin-embedded Rat cerebral cortex tissue labeling PSAP with ab300469 at 1/5000 (0.294 ug/ml) followed by a ready to use LeicaDS9800 (Bond® Polymer Refine Detection) was used. Positive staining on rat cerebral cortex (PMID : 9570738). The section was incubated with ab300469 for 10 mins at room temperature. The immunostaining was performed on a Leica Biosystems BOND® RX instrument Counterstained with Hematoxylin. Secondary antibody only control : Secondary antibody is a ready to use LeicaDS9800 (Bond® Polymer Refine Detection) was used.Heat mediated antigen retrieval with Tris-EDTA buffer (pH 9.0, epitope retrieval solution2) for 20 mins

Immunohistochemistry (Formalin/PFA-fixed paraffin-embedded sections) - Anti-PSAP antibody [EPR25650-11] (AB300469)
  • IHC-P

Supplier Data

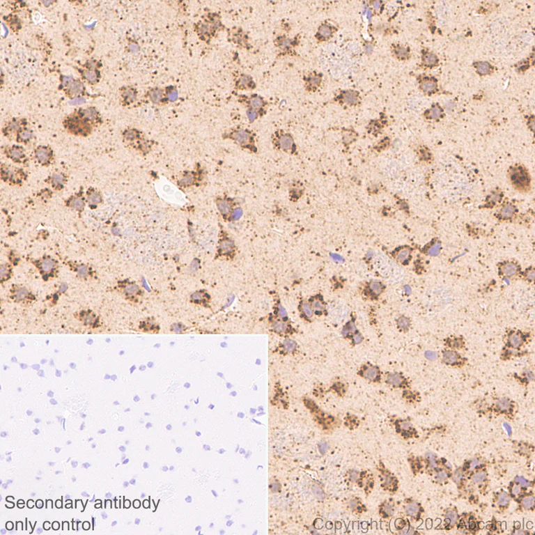
Immunohistochemistry (Formalin/PFA-fixed paraffin-embedded sections) - Anti-PSAP antibody [EPR25650-11] (AB300469)

Immunohistochemical analysis of paraffin-embedded Mouse cerebral corte tissue labeling PSAP with ab300469 at 1/5000 (0.294 ug/ml) followed by a ready to use LeicaDS9800 (Bond® Polymer Refine Detection) was used. Positive staining on mouse cerebral cortex. The section was incubated with ab300469 for 10 mins at room temperature.The immunostaining was performed on a Leica Biosystems BOND® RX instrument Counterstained with Hematoxylin. Secondary antibody only control : Secondary antibody is a ready to use LeicaDS9800 (Bond® Polymer Refine Detection) was used.Heat mediated antigen retrieval with Tris-EDTA buffer (pH 9.0, epitope retrieval solution2) for 20 mins

Immunocytochemistry/ Immunofluorescence - Anti-PSAP antibody [EPR25650-11] (AB300469)
  • ICC/IF

Supplier Data

Immunocytochemistry/ Immunofluorescence - Anti-PSAP antibody [EPR25650-11] (AB300469)

Immunofluorescent analysis of 4% Paraformaldehyde-fixed, 0.1% TritonX-100 permeabilized Hepa1-6 (mouse hepatoma epithelial cell) cells labelling PSAP with ab300469 at 1/50 (11.74 μg/ml) dilution, followed by ab150081 Goat Anti-Rabbit IgG H&L (Alexa Fluor® 488) preadsorbed antibody at 1/1000 2 μg/mL dilution (Green). Confocal image showing cytoplasmic staining in Hepa1-6 cell line is observed. ab195889 Anti-alpha Tubulin mouse monoclonal antibody - Microtubule Marker (Alexa Fluor®594) was used to counterstain tubulin at 1/200 2.5 μg/ml dilution (Red). The Nuclear counterstain was DAPI (Blue). Secondary antibody only control : Secondary antibody is ab150081 Goat Anti-Rabbit IgG H&L (Alexa Fluor® 488) preadsorbed at 1/1000 2 μg/mL dilution.

Immunohistochemistry (Frozen sections) - Anti-PSAP antibody [EPR25650-11] (AB300469)
  • IHC-Fr

Supplier Data

Immunohistochemistry (Frozen sections) - Anti-PSAP antibody [EPR25650-11] (AB300469)

Immunohistochemical analysis of 4% PFA-fixed, 0.2% Triton X-100 permeabilized frozen Mouse cortex (fresh) tissue labeling PSAP with ab300469 at 1/500 (1.174 μg/ml) dilution followed by ab150081 Goat Anti-Rabbit IgG H&L (Alexa Fluor® 488) preadsorbed at 1/1000 2 μg/mL dilution (Green). Positive staining on mouse cortex is observed. The nuclear counterstain was DAPI (Blue). Secondary antibody control : Secondary antibody is ab150081 Goat Anti-Rabbit IgG H&L (Alexa Fluor® 488) preadsorbed at 1/1000 2 μg/mL dilution.

Immunocytochemistry/ Immunofluorescence - Anti-PSAP antibody [EPR25650-11] (AB300469)
  • ICC/IF

Supplier Data

Immunocytochemistry/ Immunofluorescence - Anti-PSAP antibody [EPR25650-11] (AB300469)

Immunofluorescent analysis of 4% Paraformaldehyde-fixed, 0.1% TritonX-100 permeabilized C6 (rat glial tumor glial cell) cells labelling PSAP with ab300469 at 1/50 (11.74 μg/ml) dilution, followed by ab150081 Goat Anti-Rabbit IgG H&L (Alexa Fluor® 488) preadsorbed antibody at 1/1000 2 μg/mL dilution (Green). Confocal image showing cytoplasmic staining in C6 cell line is observed. ab195889 Anti-alpha Tubulin mouse monoclonal antibody - Microtubule Marker (Alexa Fluor® 594) was used to counterstain tubulin at 1/200 2.5 μg/ml dilution (Red). The Nuclear counterstain was DAPI (Blue). Secondary antibody only control : Secondary antibody is ab150081 Goat Anti-Rabbit IgG H&L (Alexa Fluor® 488) preadsorbed at 1/1000 2 μg/mL dilution.

Immunohistochemistry (Frozen sections) - Anti-PSAP antibody [EPR25650-11] (AB300469)
  • IHC-Fr

Supplier Data

Immunohistochemistry (Frozen sections) - Anti-PSAP antibody [EPR25650-11] (AB300469)

Immunohistochemical analysis of 4% PFA-fixed, 0.2% Triton X-100 permeabilized frozen Rat cortex (fresh) tissue labeling PSAP with ab300469 at 1/100 (5.87 μg/ml) dilution followed by ab150081 Goat Anti-Rabbit IgG H&L (Alexa Fluor® 488) preadsorbed at 1/1000 2 μg/mL dilution (Green). Positive staining on rat cortex is observed. The nuclear counterstain was DAPI (Blue). Secondary antibody control : Secondary antibody is ab150081 Goat Anti-Rabbit IgG H&L (Alexa Fluor® 488) preadsorbed at 1/1000 2 μg/mL dilution.

Flow Cytometry (Intracellular) - Anti-PSAP antibody [EPR25650-11] (AB300469)
  • Flow Cyt (Intra)

Supplier Data

Flow Cytometry (Intracellular) - Anti-PSAP antibody [EPR25650-11] (AB300469)

Flow cytometric analysis of 4% paraformaldehyde fixed 90% methanol permeabilized C6 (rat glial tumor glial cell) cells labelling PSAP with ab300469 at 1/500 dilution (0.1ug) (Red) compared with a Rabbit monoclonal IgG (ab172730) (Black) isotype control and an unlabelled control (cells without incubation with primary antibody and secondary antibody) (Blue). A Goat Anti-Rabbit IgG (Alexa Fluor® 488, ab150081) at 1/2000 dilution was used as the secondary antibody.

Flow Cytometry (Intracellular) - Anti-PSAP antibody [EPR25650-11] (AB300469)
  • Flow Cyt (Intra)

Supplier Data

Flow Cytometry (Intracellular) - Anti-PSAP antibody [EPR25650-11] (AB300469)

Intracelluar flow cytometric analysis of 4% paraformaldehyde fixed 90% methanol permeabilized Hepa1-6 (mouse hepatoma epithelial cell) cells labelling PSAP with ab300469 at 1/500 dilution (0.1 μg) (Red) compared with a Rabbit monoclonal IgG (ab172730) (Black) isotype control and an unlabelled control (cells without incubation with primary antibody and secondary antibody) (Blue). A Goat Anti-Rabbit IgG (Alexa Fluor® 488, ab150081) at 1/2000 dilution was used as the secondary antibody.

Immunoprecipitation - Anti-PSAP antibody [EPR25650-11] (AB300469)
  • IP

Supplier Data

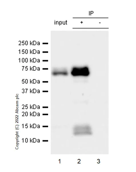
Immunoprecipitation - Anti-PSAP antibody [EPR25650-11] (AB300469)

PSAP was immunoprecipitated from 0.35 mg Hepa1-6 (mouse hepatoma epithelial cell), whole cell lysate 10 µg with ab300469 at 1/30 dilution (2 µg in 0.35mg lysates). Western blot was performed on the immunoprecipitate using ab300469 at 1/1000 dilution. VeriBlot for IP secondary antibody (HRP)(ab131366) was used at 1/5000 dilution. Lane 1 : Hepa1-6 (mouse hepatoma epithelial cell), whole cell lysate 10 µg Lane 2 : ab300469 IP in Hepa1-6 whole cell lysate Lane 3 : Rabbit monoclonal IgG (ab172730) instead of ab300469 in Hepa1-6 whole cell lysate. Blocking and dilution buffer and concentration : 5% NFDM/TBST. Exposure time : 32 seconds

Lane 1:

Immunoprecipitation - Anti-PSAP antibody [EPR25650-11] (ab300469) at 1/30 dilution

Lane 2:

Immunoprecipitation - Anti-PSAP antibody [EPR25650-11] (ab300469) at 1/1000 dilution

All lanes:

Hepa1-6 whole cell lysate at 10 µg

Secondary

All lanes:

Immunoprecipitation - VeriBlot for IP Detection Reagent (HRP) (<a href='/en-us/products/reagents/veriblot-for-ip-detection-reagent-hrp-ab131366'>ab131366</a>) at 1/5000 dilution

false

Exposure time: 32s

Western blot - Anti-PSAP antibody [EPR25650-11] (AB300469)
  • WB

Lab

Western blot - Anti-PSAP antibody [EPR25650-11] (AB300469)

Blocking and diluting buffer and concentration : 5% NFDM/TBST

All lanes:

Western blot - Anti-PSAP antibody [EPR25650-11] (ab300469) at 1/1000 dilution

Lane 1:

NIH/3T3 (mouse embryonic fibroblast) transfected with scrambled siRNA control, whole cell lysate at 20 µg

Lane 2:

NIH/3T3 transfected with siRNA 1 specifically targeting Prosaposin, whole cell lysate at 20 µg

Lane 3:

NIH/3T3 transfected with siRNA 2 specifically targeting Prosaposin, whole cell lysate at 20 µg

Lane 4:

NIH/3T3 transfected with siRNA 3 specifically targeting Prosaposin, whole cell lysate at 20 µg

Secondary

All lanes:

Western blot - Goat Anti-Rabbit IgG H&L (HRP) (<a href='/en-us/products/secondary-antibodies/goat-rabbit-igg-h-l-hrp-ab97051'>ab97051</a>)

Predicted band size: 58 kDa

Observed band size: 60-80 kDa

false

Exposure time: 3min

Western blot - Anti-PSAP antibody [EPR25650-11] (AB300469)
  • WB

Lab

Western blot - Anti-PSAP antibody [EPR25650-11] (AB300469)

Blocking and diluting buffer and concentration : 5% NFDM/TBST.

The expression profile/ molecular weight observed is consistent with what has been described in the literature (PMID : 28541286).

Exposure time : Lane 1-3 : 103 seconds Lane 4 : 59 seconds

All lanes:

Western blot - Anti-PSAP antibody [EPR25650-11] (ab300469) at 1/1000 dilution

Lane 1:

Hepa1-6 (mouse hepatoma epithelial cell), whole cell lysate at 20 µg

Lane 2:

Mouse cerebellum tissue lysate at 20 µg

Lane 3:

Mouse testis tissue lysate at 20 µg

Lane 4:

Rat testis tissue lysate at 20 µg

Secondary

All lanes:

Western blot - Goat Anti-Rabbit IgG H&L (HRP) (<a href='/en-us/products/secondary-antibodies/goat-rabbit-igg-h-l-hrp-ab97051'>ab97051</a>) at 1/100000 dilution

Predicted band size: 58 kDa

Observed band size: 12 kDa,60 kDa,80 kDa

false

Western blot - Anti-PSAP antibody [EPR25650-11] (AB300469)
  • WB

Lab

Western blot - Anti-PSAP antibody [EPR25650-11] (AB300469)

Blocking and diluting buffer and concentration : 5% NFDM/TBST

The expression profile/ molecular weight observed is consistent with what has been described in the literature (PMID : 28541286).

Exposure time : Lane 1 : 3 minutes Lane 2 : 70 seconds

All lanes:

Western blot - Anti-PSAP antibody [EPR25650-11] (ab300469) at 1/1000 dilution

Lane 1:

C6 (rat glial tumor glial cell), whole cell lysate at 20 µg

Lane 2:

RAW264.7 (mouse Abelson murine leukemia virus-induced tumor macrophage), whole cell lysate at 20 µg

Secondary

All lanes:

Western blot - Goat Anti-Rabbit IgG H&L (HRP) (<a href='/en-us/products/secondary-antibodies/goat-rabbit-igg-h-l-hrp-ab97051'>ab97051</a>) at 1/100000 dilution

Predicted band size: 58 kDa

Observed band size: 12 kDa,60 kDa,80 kDa

false

  • Carrier free

    Anti-PSAP antibody [EPR25650-11] (BSA and Azide free)

Key facts

Host species

Rabbit

Clonality

Monoclonal

Clone number

EPR25650-11

Isotype

IgG

Carrier free

No

Reacts with

Rat, Mouse

Applications

IHC-P, ICC/IF, IHC-Fr, Flow Cyt (Intra), IP, WB

applications

Immunogen

The exact immunogen used to generate this antibody is proprietary information.

Reactivity data

{ "title": "Reactivity Data", "filters": { "stats": ["", "Species", "Dilution Info", "Notes"], "tabs": { "all-applications": {"fullname" : "All Applications", "shortname": "All Applications"}, "IHCP" : {"fullname" : "Immunohistochemistry (Formalin/PFA-fixed paraffin-embedded sections)", "shortname":"IHC-P"}, "WB" : {"fullname" : "Western blot", "shortname":"WB"}, "IP" : {"fullname" : "Immunoprecipitation", "shortname":"IP"}, "FlowCytIntra" : {"fullname" : "Flow Cytometry (Intracellular)", "shortname":"Flow Cyt (Intra)"}, "ICCIF" : {"fullname" : "Immunocytochemistry/ Immunofluorescence", "shortname":"ICC/IF"}, "IHCFr" : {"fullname" : "Immunohistochemistry (Frozen sections)", "shortname":"IHC-Fr"} }, "product-promise": { "all": "all", "testedAndGuaranteed": "tested", "guaranteed": "expected", "predicted": "predicted", "notRecommended": "not-recommended" } }, "values": { "Human": { "IHCP-species-checked": "notRecommended", "IHCP-species-dilution-info": "1/5000", "IHCP-species-notes": "<p></p> Perform heat-mediated antigen retrieval with Tris/EDTA buffer pH 9.0 before commencing with IHC staining protocol.", "WB-species-checked": "notRecommended", "WB-species-dilution-info": "1/1000", "WB-species-notes": "<p></p>", "IP-species-checked": "notRecommended", "IP-species-dilution-info": "", "IP-species-notes": "", "FlowCytIntra-species-checked": "notRecommended", "FlowCytIntra-species-dilution-info": "", "FlowCytIntra-species-notes": "", "ICCIF-species-checked": "notRecommended", "ICCIF-species-dilution-info": "", "ICCIF-species-notes": "", "IHCFr-species-checked": "notRecommended", "IHCFr-species-dilution-info": "", "IHCFr-species-notes": "" }, "Mouse": { "IHCP-species-checked": "guaranteed", "IHCP-species-dilution-info": "1/5000", "IHCP-species-notes": "<p></p> Perform heat-mediated antigen retrieval with Tris/EDTA buffer pH 9.0 before commencing with IHC staining protocol.", "WB-species-checked": "testedAndGuaranteed", "WB-species-dilution-info": "1/1000", "WB-species-notes": "<p></p>", "IP-species-checked": "testedAndGuaranteed", "IP-species-dilution-info": "1/30", "IP-species-notes": "<p></p>", "FlowCytIntra-species-checked": "testedAndGuaranteed", "FlowCytIntra-species-dilution-info": "1/500", "FlowCytIntra-species-notes": "<p></p>", "ICCIF-species-checked": "testedAndGuaranteed", "ICCIF-species-dilution-info": "1/50", "ICCIF-species-notes": "<p></p>", "IHCFr-species-checked": "testedAndGuaranteed", "IHCFr-species-dilution-info": "1/100", "IHCFr-species-notes": "<p></p>" }, "Rat": { "IHCP-species-checked": "notRecommended", "IHCP-species-dilution-info": "", "IHCP-species-notes": "", "WB-species-checked": "testedAndGuaranteed", "WB-species-dilution-info": "1/1000", "WB-species-notes": "<p></p>", "IP-species-checked": "guaranteed", "IP-species-dilution-info": "1/30", "IP-species-notes": "<p></p>", "FlowCytIntra-species-checked": "testedAndGuaranteed", "FlowCytIntra-species-dilution-info": "1/500", "FlowCytIntra-species-notes": "<p></p>", "ICCIF-species-checked": "testedAndGuaranteed", "ICCIF-species-dilution-info": "1/50", "ICCIF-species-notes": "<p></p>", "IHCFr-species-checked": "testedAndGuaranteed", "IHCFr-species-dilution-info": "1/100", "IHCFr-species-notes": "<p></p>" }, "Transfected cell line": { "IHCP-species-checked": "notRecommended", "IHCP-species-dilution-info": "", "IHCP-species-notes": "", "WB-species-checked": "testedAndGuaranteed", "WB-species-dilution-info": "1/1000", "WB-species-notes": "<p></p>", "IP-species-checked": "notRecommended", "IP-species-dilution-info": "", "IP-species-notes": "", "FlowCytIntra-species-checked": "notRecommended", "FlowCytIntra-species-dilution-info": "", "FlowCytIntra-species-notes": "", "ICCIF-species-checked": "notRecommended", "ICCIF-species-dilution-info": "", "ICCIF-species-notes": "", "IHCFr-species-checked": "notRecommended", "IHCFr-species-dilution-info": "", "IHCFr-species-notes": "" } } }

Product details

Patented technology
Our RabMAb® technology is a patented hybridoma-based technology for making rabbit monoclonal antibodies. For details on our patents, please refer to RabMAb® patents.

What are the advantages of a recombinant monoclonal antibody?
This product is a recombinant monoclonal antibody, which offers several advantages including:

  • - High batch-to-batch consistency and reproducibility
  • - Improved sensitivity and specificity
  • - Long-term security of supply
  • - Animal-free batch production

For more information, read more on recombinant antibodies.

Properties and storage information

Form
Liquid
Purification technique
Affinity purification Protein A
Storage buffer
pH: 7.2 - 7.4 Preservative: 0.01% Sodium azide Constituents: PBS, 40% Glycerol (glycerin, glycerine), 0.05% BSA
Shipped at conditions
Blue Ice
Appropriate short-term storage duration
1-2 weeks
Appropriate short-term storage conditions
+4°C
Appropriate long-term storage conditions
-20°C
Aliquoting information
Upon delivery aliquot
Storage information
Avoid freeze / thaw cycle

Product protocols

For this product, it's our understanding that no specific protocols are required. You can visit:

Target data

Prosaposin. Behaves as a myelinotrophic and neurotrophic factor, these effects are mediated by its G-protein-coupled receptors, GPR37 and GPR37L1, undergoing ligand-mediated internalization followed by ERK phosphorylation signaling.. Saposin-A and saposin-C stimulate the hydrolysis of glucosylceramide by beta-glucosylceramidase (EC 3.2.1.45) and galactosylceramide by beta-galactosylceramidase (EC 3.2.1.46). Saposin-C apparently acts by combining with the enzyme and acidic lipid to form an activated complex, rather than by solubilizing the substrate.. Saposin-B stimulates the hydrolysis of galacto-cerebroside sulfate by arylsulfatase A (EC 3.1.6.8), GM1 gangliosides by beta-galactosidase (EC 3.2.1.23) and globotriaosylceramide by alpha-galactosidase A (EC 3.2.1.22). Saposin-B forms a solubilizing complex with the substrates of the sphingolipid hydrolases.. Saposin-D is a specific sphingomyelin phosphodiesterase activator (EC 3.1.4.12).. Saposins are specific low-molecular mass non-enzymatic proteins, they participate in the lysosomal degradation of sphingolipids, which takes place by the sequential action of specific hydrolases.
See full target information Psap

Publications (1)

Recent publications for all applications. Explore the full list and refine your search

Cell reports. Medicine 4:101129 PubMed37480849

2023

Targeting phenylpyruvate restrains excessive NLRP3 inflammasome activation and pathological inflammation in diabetic wound healing.

Applications

Unspecified application

Species

Unspecified reactive species

Dongming Lv,Xiaoling Cao,Li Zhong,Yunxian Dong,Zhongye Xu,Yanchao Rong,Hailin Xu,Zhiyong Wang,Hao Yang,Rong Yin,Miao Chen,Chao Ke,Zhicheng Hu,Wuguo Deng,Bing Tang
View all publications

Product promise

We are committed to supporting your work with high-quality reagents, and we're here for you every step of the way. In the unlikely event that one of our products does not perform as expected, you're protected by our Product Promise.
For full details, please see our Terms & Conditions

Please note: All products are 'FOR RESEARCH USE ONLY. NOT FOR USE IN DIAGNOSTIC OR THERAPEUTIC PROCEDURES'.

For licensing inquiries, please contact partnerships@abcam.com