JavaScript is disabled in your browser. Please enable JavaScript to view this website.
AB289997

Anti-PSD93 antibody [EPR26468-112] - BSA and Azide free

Be the first to review this product! Submit a review

|

(0 Publication)

Rabbit Recombinant Monoclonal PSD93 antibody. Carrier free. Suitable for IP, WB, IHC-P and reacts with Mouse, Human, Rat, Recombinant fragment - Human samples.

View Alternative Names

Disks large homolog 2, Channel-associated protein of synapse-110, Postsynaptic density protein PSD-93, Chapsyn-110, DLG2

9 Images
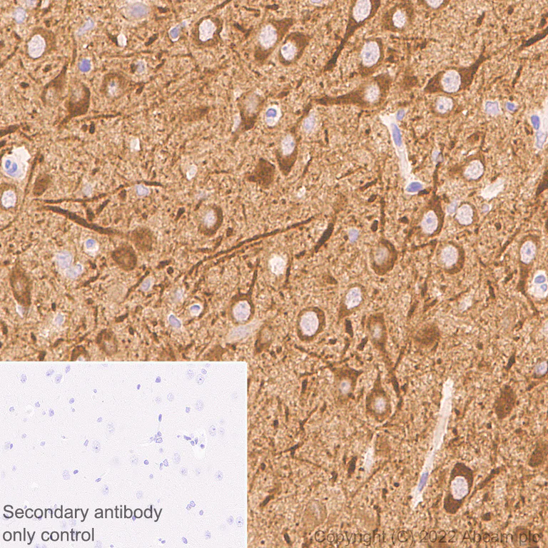
Immunohistochemistry (Formalin/PFA-fixed paraffin-embedded sections) - Anti-PSD93 antibody [EPR26468-112] - BSA and Azide free (AB289997)
  • IHC-P

Lab

Immunohistochemistry (Formalin/PFA-fixed paraffin-embedded sections) - Anti-PSD93 antibody [EPR26468-112] - BSA and Azide free (AB289997)

This data was developed using ab289972, the same antibody clone in a different buffer formulation.

Immunohistochemical analysis of paraffin-embedded Human cerebrum tissue labelling PSD93 with ab289972 at 1/500 followed by LeicaDS9800 (Bond™, Polymer Refine Detection). Positive staining on human cerebrum. The section was incubated with ab289972 for 30 mins at room temperature.The immunostaining was performed on a Leica Biosystems BOND® RX instrument. Counterstained with Hematoxylin.

Secondary antibody only control : PBS instead of primary antibody, followed by LeicaDS9800 (Bond, Polymer Refine Detection).

Heat mediated antigen retrieval with Tris-EDTA buffer (pH 9.0, epitope retrieval solution2) for 20 mins.

Immunohistochemistry (Formalin/PFA-fixed paraffin-embedded sections) - Anti-PSD93 antibody [EPR26468-112] - BSA and Azide free (AB289997)
  • IHC-P

Lab

Immunohistochemistry (Formalin/PFA-fixed paraffin-embedded sections) - Anti-PSD93 antibody [EPR26468-112] - BSA and Azide free (AB289997)

This data was developed using ab289972, the same antibody clone in a different buffer formulation.

Immunohistochemical analysis of paraffin-embedded Human cardiac muscle tissue labelling PSD93 with ab289972 at 1/500 (1.222 followed by LeicaDS9800 (Bond™, Polymer Refine Detection) was used. Negative control : No staining on human cardiac muscle. The section was incubated with ab289972 for 30 mins at room temperature.The immunostaining was performed on a Leica Biosystems BOND® RX instrument.Counterstained with Hematoxylin..

Heat mediated antigen retrieval with Tris-EDTA buffer (pH 9.0, epitope retrieval solution2) for 20 mins

Immunoprecipitation - Anti-PSD93 antibody [EPR26468-112] - BSA and Azide free (AB289997)
  • IP

Lab

Immunoprecipitation - Anti-PSD93 antibody [EPR26468-112] - BSA and Azide free (AB289997)

This data was developed using ab289972, the same antibody clone in a different buffer formulation.

PSD93 was immunoprecipitated from SH-SY5Y (human neuroblastoma epithelial cell) whole cell lysate with ab289972 at 1/30 dilution (2ug in 0.35mg lysates). Western blot was performed on the immunoprecipitate using ab289972 at 1/1000 dilution. VeriBlot for IP secondary antibody(HRP)(ab131366) was used at 1/5000 dilution.

Lane 1 : SH-SY5Y (human neuroblastoma epithelial cell) whole cell lysate 10 ug

Lane 2 : ab289972 IP in SH-SY5Y whole cell lysate

Lane 3 : Rabbit monoclonal IgG (ab172730) instead of ab289972 in SH-SY5Y whole cell lysate

Blocking and dilution buffer and concentration : 5% NFDM/TBST.

Exposure time : 32 seconds

All lanes:

Immunoprecipitation - Anti-PSD93 antibody [EPR26468-112] (<a href='/en-us/products/primary-antibodies/psd93-antibody-epr26468-112-ab289972'>ab289972</a>)

Predicted band size: 97 kDa

Observed band size: 25-110 kDa

false

Immunohistochemistry (Formalin/PFA-fixed paraffin-embedded sections) - Anti-PSD93 antibody [EPR26468-112] - BSA and Azide free (AB289997)
  • IHC-P

Lab

Immunohistochemistry (Formalin/PFA-fixed paraffin-embedded sections) - Anti-PSD93 antibody [EPR26468-112] - BSA and Azide free (AB289997)

This data was developed using ab289972, the same antibody clone in a different buffer formulation.

Immunohistochemical analysis of paraffin-embedded Rat cerebrum tissue labelling PSD93 with ab289972 at 1/500 followed by LeicaDS9800 (Bond™, Polymer Refine Detection). Positive staining on rat cerebrum. The section was incubated with ab289972 for 30 mins at room temperature. The immunostaining was performed on a Leica Biosystems BOND® RX instrument.Counterstained with Hematoxylin.

Secondary antibody only control : PBS instead of primary antibody, followed by LeicaDS9800 (Bond™, Polymer Refine Detection).

Heat mediated antigen retrieval with Tris-EDTA buffer (pH 9.0, epitope retrieval solution2) for 20 mins.

Immunohistochemistry (Formalin/PFA-fixed paraffin-embedded sections) - Anti-PSD93 antibody [EPR26468-112] - BSA and Azide free (AB289997)
  • IHC-P

Lab

Immunohistochemistry (Formalin/PFA-fixed paraffin-embedded sections) - Anti-PSD93 antibody [EPR26468-112] - BSA and Azide free (AB289997)

This data was developed using ab289972, the same antibody clone in a different buffer formulation.

Immunohistochemical analysis of paraffin-embedded Mouse cerebrum tissue labelling PSD93 with ab289972 at 1/500 followed by LeicaDS9800 (Bond™, Polymer Refine Detection) was used. Positive staining on mouse cerebrum. The section was incubated with ab289972 for 30 mins at room temperature.The immunostaining was performed on a Leica Biosystems BOND® RX instrument. Counterstained with Hematoxylin.

Secondary antibody only control : Secondary antibody is a ready to use LeicaDS9800 (Bond™, Polymer Refine Detection).

Heat mediated antigen retrieval with Tris-EDTA buffer (pH 9.0, epitope retrieval solution2) for 20 mins.

Immunoprecipitation - Anti-PSD93 antibody [EPR26468-112] - BSA and Azide free (AB289997)
  • IP

Lab

Immunoprecipitation - Anti-PSD93 antibody [EPR26468-112] - BSA and Azide free (AB289997)

This data was developed using ab289972, the same antibody clone in a different buffer formulation.

PSD93 was immunoprecipitated from Neuro-2a (mouse neuroblastoma neuroblast) whole cell lysate with ab289972 at 1/30 dilution (2ug in 0.35mg lysates). Western blot was performed on the immunoprecipitate using ab289972 at 1/1000 dilution. VeriBlot for IP secondary antibody(HRP)(ab131366) was used at 1/5000 dilution.

Lane 1 : Neuro-2a (mouse neuroblastoma neuroblast) whole cell lysate 10 ug

Lane 2 : ab289972 IP in Neuro-2a whole cell lysate

Lane 3 : Rabbit monoclonal IgG (ab172730) instead of ab289972 in Neuro-2a whole cell lysate

Blocking and dilution buffer and concentration : 5% NFDM/TBST.

Exposure time : 32 seconds

All lanes:

Immunoprecipitation - Anti-PSD93 antibody [EPR26468-112] (<a href='/en-us/products/primary-antibodies/psd93-antibody-epr26468-112-ab289972'>ab289972</a>)

Predicted band size: 97 kDa

Observed band size: 25-110 kDa

false

Western blot - Anti-PSD93 antibody [EPR26468-112] - BSA and Azide free (AB289997)
  • WB

Lab

Western blot - Anti-PSD93 antibody [EPR26468-112] - BSA and Azide free (AB289997)

This data was developed using ab289972, the same antibody clone in a different buffer formulation.

Blocking and diluting buffer and concentration : 5% NFDM/TBST

DLG2 has many splicing forms. The expression profile/molecular weight observed is consistent with that described in the literature (PMID : 14724236).

Exposure time : 5.5 seconds

All lanes:

Western blot - Anti-PSD93 antibody [EPR26468-112] (<a href='/en-us/products/primary-antibodies/psd93-antibody-epr26468-112-ab289972'>ab289972</a>) at 1/1000 dilution

All lanes:

Human cerebellum tissue lysate at 20 µg

Secondary

All lanes:

Goat Anti-Rabbit IgG (HRP) with minimal cross-reactivity with human IgG at 1/2000 dilution

Predicted band size: 97 kDa

Observed band size: 25-110 kDa

false

Western blot - Anti-PSD93 antibody [EPR26468-112] - BSA and Azide free (AB289997)
  • WB

Lab

Western blot - Anti-PSD93 antibody [EPR26468-112] - BSA and Azide free (AB289997)

This data was developed using ab289972, the same antibody clone in a different buffer formulation.

Blocking and diluting buffer and concentration : 5% NFDM/TBST

DLG2 has many splicing forms. The expression profile/molecular weight observed is consistent with that described in the literature (PMID : 14724236).

Negative control : spleen (PMID : 7590743)

Exposure time : 15 seconds

All lanes:

Western blot - Anti-PSD93 antibody [EPR26468-112] (<a href='/en-us/products/primary-antibodies/psd93-antibody-epr26468-112-ab289972'>ab289972</a>) at 1/1000 dilution

Lane 1:

Mouse brain tissue lysate at 20 µg

Lane 2:

Mouse spleen tissue lysate at 20 µg

Lane 3:

Rat brain tissue lysate at 20 µg

Lane 4:

Rat spleen tissue lysate at 20 µg

Secondary

All lanes:

Western blot - Goat Anti-Rabbit IgG H&L (HRP) (<a href='/en-us/products/secondary-antibodies/goat-rabbit-igg-h-l-hrp-ab97051'>ab97051</a>) at 1/100000 dilution

Predicted band size: 97 kDa

Observed band size: 25-110 kDa

false

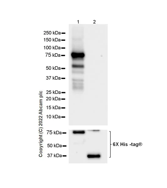
Western blot - Anti-PSD93 antibody [EPR26468-112] - BSA and Azide free (AB289997)
  • WB

Lab

Western blot - Anti-PSD93 antibody [EPR26468-112] - BSA and Azide free (AB289997)

This data was developed using ab289972, the same antibody clone in a different buffer formulation.

Blocking and diluting buffer and concentration : 5% NFDM/TBST

This antibody does not cross-react with human DLG1.

Both recombinant proteins were made in-house and expressed from E.coli expression systems.

All lanes:

Western blot - Anti-PSD93 antibody [EPR26468-112] (<a href='/en-us/products/primary-antibodies/psd93-antibody-epr26468-112-ab289972'>ab289972</a>) at 1/1000 dilution

Lane 1:

His-tagged Human DLG2 recombinant protein (20ng)

Lane 2:

His-tagged Human DLG1 recombinant protein (20ng)

Secondary

All lanes:

Western blot - Goat Anti-Rabbit IgG H&L (HRP) (<a href='/en-us/products/secondary-antibodies/goat-rabbit-igg-h-l-hrp-ab97051'>ab97051</a>) at 1/100000 dilution

Predicted band size: 97 kDa

Observed band size: 25-110 kDa

false

Key facts

Host species

Rabbit

Clonality

Monoclonal

Clone number

EPR26468-112

Isotype

IgG

Carrier free

Yes

Reacts with

Human, Mouse, Rat

Applications

IHC-P, IP, WB

applications

Immunogen

The exact immunogen used to generate this antibody is proprietary information.

Reactivity data

{ "title": "Reactivity Data", "filters": { "stats": ["", "Species", "Dilution Info", "Notes"], "tabs": { "all-applications": {"fullname" : "All Applications", "shortname": "All Applications"}, "ICCIF" : {"fullname" : "Immunocytochemistry/ Immunofluorescence", "shortname":"ICC/IF"}, "IP" : {"fullname" : "Immunoprecipitation", "shortname":"IP"}, "WB" : {"fullname" : "Western blot", "shortname":"WB"}, "FlowCytIntra" : {"fullname" : "Flow Cytometry (Intracellular)", "shortname":"Flow Cyt (Intra)"}, "IHCP" : {"fullname" : "Immunohistochemistry (Formalin/PFA-fixed paraffin-embedded sections)", "shortname":"IHC-P"} }, "product-promise": { "all": "all", "testedAndGuaranteed": "tested", "guaranteed": "expected", "predicted": "predicted", "notRecommended": "not-recommended" } }, "values": { "Human": { "ICCIF-species-checked": "notRecommended", "ICCIF-species-dilution-info": "", "ICCIF-species-notes": "<p></p>", "IP-species-checked": "testedAndGuaranteed", "IP-species-dilution-info": "", "IP-species-notes": "<p></p>", "WB-species-checked": "testedAndGuaranteed", "WB-species-dilution-info": "", "WB-species-notes": "<p></p>", "FlowCytIntra-species-checked": "notRecommended", "FlowCytIntra-species-dilution-info": "", "FlowCytIntra-species-notes": "<p></p>", "IHCP-species-checked": "testedAndGuaranteed", "IHCP-species-dilution-info": "", "IHCP-species-notes": "<p></p>" }, "Mouse": { "ICCIF-species-checked": "notRecommended", "ICCIF-species-dilution-info": "", "ICCIF-species-notes": "<p></p>", "IP-species-checked": "testedAndGuaranteed", "IP-species-dilution-info": "", "IP-species-notes": "<p></p>", "WB-species-checked": "testedAndGuaranteed", "WB-species-dilution-info": "", "WB-species-notes": "<p></p>", "FlowCytIntra-species-checked": "notRecommended", "FlowCytIntra-species-dilution-info": "", "FlowCytIntra-species-notes": "<p></p>", "IHCP-species-checked": "testedAndGuaranteed", "IHCP-species-dilution-info": "", "IHCP-species-notes": "<p></p>" }, "Rat": { "ICCIF-species-checked": "notRecommended", "ICCIF-species-dilution-info": "", "ICCIF-species-notes": "", "IP-species-checked": "guaranteed", "IP-species-dilution-info": "", "IP-species-notes": "", "WB-species-checked": "testedAndGuaranteed", "WB-species-dilution-info": "", "WB-species-notes": "<p></p>", "FlowCytIntra-species-checked": "notRecommended", "FlowCytIntra-species-dilution-info": "", "FlowCytIntra-species-notes": "", "IHCP-species-checked": "testedAndGuaranteed", "IHCP-species-dilution-info": "", "IHCP-species-notes": "<p></p>" }, "Recombinant fragment - Human": { "ICCIF-species-checked": "notRecommended", "ICCIF-species-dilution-info": "", "ICCIF-species-notes": "", "IP-species-checked": "notRecommended", "IP-species-dilution-info": "", "IP-species-notes": "", "WB-species-checked": "testedAndGuaranteed", "WB-species-dilution-info": "", "WB-species-notes": "<p></p>", "FlowCytIntra-species-checked": "notRecommended", "FlowCytIntra-species-dilution-info": "", "FlowCytIntra-species-notes": "", "IHCP-species-checked": "notRecommended", "IHCP-species-dilution-info": "", "IHCP-species-notes": "" } } }

Product details

DLG2 is an alternative name for PSD93.

ab289997 is the carrier-free version of ab289972.

Patented technology
Our RabMAb® technology is a patented hybridoma-based technology for making rabbit monoclonal antibodies. For details on our patents, please refer to RabMAb® patents.

What are the advantages of a recombinant monoclonal antibody?
This product is a recombinant monoclonal antibody, which offers several advantages including:

  • - High batch-to-batch consistency and reproducibility
  • - Improved sensitivity and specificity
  • - Long-term security of supply
  • - Animal-free batch production

For more information, read more on recombinant antibodies.

Conjugation ready
Our carrier-free antibodies are typically supplied in a PBS-only formulation, purified and free of BSA, sodium azide and glycerol. This conjugation-ready format is designed for use with fluorochromes, metal isotopes, oligonucleotides, and enzymes, which makes them ideal for antibody labelling, functional and cell-based assays, flow-based assays (e.g. mass cytometry) and Multiplex Imaging applications.

Use our conjugation kits for antibody conjugates that are ready-to-use in as little as 20 minutes with 1 minute hands-on-time and 100% antibody recovery: available for fluorescent dyes, HRP, biotin and gold.

Compatibility
This product is compatible with the Maxpar® Antibody Labeling Kit from Fluidigm, without the need for antibody preparation. Maxpar® is a trademark of Fluidigm Canada Inc.

Properties and storage information

Form
Liquid
Purification technique
Affinity purification Protein A
Storage buffer
pH: 7.2 - 7.4 Constituents: PBS
Shipped at conditions
Blue Ice
Appropriate short-term storage conditions
+4°C
Appropriate long-term storage conditions
+4°C

Product protocols

For this product, it's our understanding that no specific protocols are required. You can visit:

Target data

Required for perception of chronic pain through NMDA receptor signaling. Regulates surface expression of NMDA receptors in dorsal horn neurons of the spinal cord. Interacts with the cytoplasmic tail of NMDA receptor subunits as well as inward rectifying potassium channels. Involved in regulation of synaptic stability at cholinergic synapses. Part of the postsynaptic protein scaffold of excitatory synapses (By similarity).
See full target information DLG2

Product promise

We are committed to supporting your work with high-quality reagents, and we're here for you every step of the way. In the unlikely event that one of our products does not perform as expected, you're protected by our Product Promise.
For full details, please see our Terms & Conditions

Please note: All products are 'FOR RESEARCH USE ONLY. NOT FOR USE IN DIAGNOSTIC OR THERAPEUTIC PROCEDURES'.

For licensing inquiries, please contact partnerships@abcam.com