JavaScript is disabled in your browser. Please enable JavaScript to view this website.
AB316973

Anti-Pseudomonas Outer membrane porin F antibody [EPR28629-91]

  • BOND RX™ Validated
  • 20ul selling size
  • Recombinant
  • RabMAb
  • What is this?

Be the first to review this product! Submit a review

|

(0 Publication)

Rabbit Recombinant Monoclonal ompF antibody. Suitable for WB, ICC/IF, Flow Cyt (Intra), IP, I-ELISA, IHC-P and reacts with Transfected cell lysate - Pseudomonas aeruginosa, Transfected cell line - Pseudomonas aeruginosa, Recombinant full length protein - Pseudomonas aeruginosa samples.

View Alternative Names

PA1777, oprF, Outer membrane porin F

9 Images
Immunohistochemistry (Formalin/PFA-fixed paraffin-embedded sections) - Anti-Pseudomonas Outer membrane porin F antibody [EPR28629-91] (AB316973)
  • IHC-P

Supplier Data

Immunohistochemistry (Formalin/PFA-fixed paraffin-embedded sections) - Anti-Pseudomonas Outer membrane porin F antibody [EPR28629-91] (AB316973)

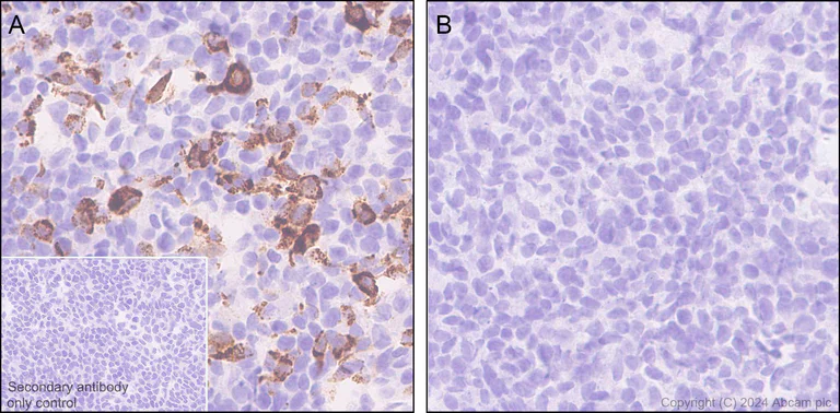
Immunohistochemical analysis of paraffin-embedded (A) HEK-293T (human embryonic kidney epithelial cell) transfected with a Pseudomonas Outer membrane porin F expression vector containing a myc-His-tag®. (B) HEK-293T transfected with an empty vector containing a myc-His-tag®. tissue labeling Pseudomonas Outer membrane porin F with ab316973 at 1/5000 (0.098 ug/ml) dilution, followed by a ready to use LeicaDS9800 (Bond™ Polymer Refine Detection).

Positive staining in (A) HEK-293T (human embryonic kidney epithelial cell) transfected with a Pseudomonas Outer membrane porin F expression vector containing a myc-His-tag®, no staining in (B) HEK-293T transfected with an empty vector containing a myc-His-tag®.
The section was incubated with ab316973 for 30 mins at room temperature.
The immunostaining was performed on a Leica Biosystems BOND® RX instrument

Counterstained with Hematoxylin.

Secondary antibody only control : Secondary antibody is a ready to use LeicaDS9800 (Bond™ Polymer Refine Detection).

Heat mediated antigen retrieval was performed with Tris-EDTA buffer (pH 9.0, Epitope Retrieval Solution2) for 20 mins

Immunohistochemistry (Formalin/PFA-fixed paraffin-embedded sections) - Anti-Pseudomonas Outer membrane porin F antibody [EPR28629-91] (AB316973)
  • IHC-P

Supplier Data

Immunohistochemistry (Formalin/PFA-fixed paraffin-embedded sections) - Anti-Pseudomonas Outer membrane porin F antibody [EPR28629-91] (AB316973)

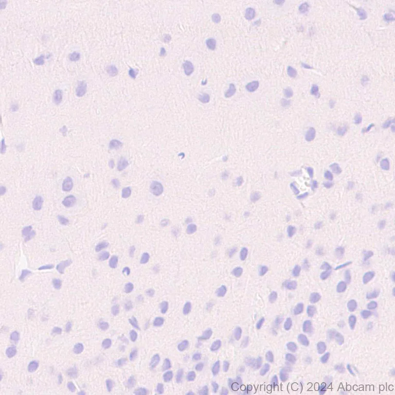
Immunohistochemical analysis of paraffin-embedded Human cerebrum tissue labeling Pseudomonas Outer membrane porin F with ab316973 at 1/5000 (0.098 ug/ml) dilution, followed by a ready to use LeicaDS9800 (Bond™ Polymer Refine Detection).

Negative control : No staining in human cerebrum.
The section was incubated with ab316973 for 30 mins at room temperature.
The immunostaining was performed on a Leica Biosystems BOND® RX instrument

Counterstained with Hematoxylin.

Secondary antibody only control : Secondary antibody is a ready to use LeicaDS9800 (Bond™ Polymer Refine Detection).

Heat mediated antigen retrieval was performed with Tris-EDTA buffer (pH 9.0, Epitope Retrieval Solution2) for 20 mins

Immunocytochemistry/ Immunofluorescence - Anti-Pseudomonas Outer membrane porin F antibody [EPR28629-91] (AB316973)
  • ICC/IF

Supplier Data

Immunocytochemistry/ Immunofluorescence - Anti-Pseudomonas Outer membrane porin F antibody [EPR28629-91] (AB316973)

Immunofluorescent analysis of 4% Paraformaldehyde-fixed, 0.1% TritonX-100 permeabilized 293T (human embryonic kidney epithelial cell) cells labelling Pseudomonas Outer membrane porin F with ab316973 at 1/2000 (0.244 ug/ml) dilution, followed by ab150081 Goat Anti-Rabbit IgG H&L (Alexa Fluor® 488) preadsorbed antibody at 1/1000 2 ug/ml dilution (Green).

Confocal image showing cytoplasmic staining in 293T cells transfected with the Pseudomonas outer membrane porin F vector containing a myc-His-tag® (shown in green). The counterstain was observed in magenta. Nuclear DNA was labeled with DAPI (shown in blue).
Image was taken with a confocal microscope(Leica-Microsystems, TCS SP8).

ab223894 Anti-Myc tag mouse monoclonal antibody (Alexa Fluor® 594) was used to counterstain tubulin at 1/100 5ug/ml dilution (Magenta). The Nuclear counterstain was DAPI (Blue).

Secondary antibody only control : Secondary antibody is ab150081 Goat Anti-Rabbit IgG H&L (Alexa Fluor® 488) preadsorbed at 1/1000 2 ug/ml dilution.

Flow Cytometry (Intracellular) - Anti-Pseudomonas Outer membrane porin F antibody [EPR28629-91] (AB316973)
  • Flow Cyt (Intra)

Supplier Data

Flow Cytometry (Intracellular) - Anti-Pseudomonas Outer membrane porin F antibody [EPR28629-91] (AB316973)

Flow cytometric analysis of 4% paraformaldehyde fixed 90% methanol permeabilized Isotype (Left) / 293T (human embryonic kidney epithelial cell) cells transfected with a Pseudomonas Outer membrane porin F expression vector containing a Myc tag (Middle) / 293T cells transfected with an empty expression vector containing a Myc tag (Right) cells labelling Pseudomonas Outer membrane porin F with ab316973 at 1/5000 dilution (0.01 ug)/Middle and Right compared with a Rabbit monoclonal IgG (ab172730) / Left isotype control.

Goat Anti-Rabbit IgG (Alexa Fluor® 488, ab150081) at 1/5000 dilution was used as the secondary antibody.

Cells were stained with anti-myc tag conjugated to Alexa Fluor®647.

Immunohistochemistry (Formalin/PFA-fixed paraffin-embedded sections) - Anti-Pseudomonas Outer membrane porin F antibody [EPR28629-91] (AB316973)
  • IHC-P

Supplier Data

Immunohistochemistry (Formalin/PFA-fixed paraffin-embedded sections) - Anti-Pseudomonas Outer membrane porin F antibody [EPR28629-91] (AB316973)

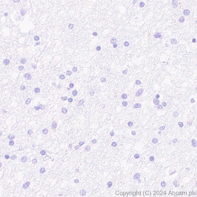
Immunohistochemical analysis of paraffin-embedded Mouse cerebrum tissue labeling Pseudomonas Outer membrane porin F with ab316973 at 1/5000 (0.098 ug/ml) dilution, followed by a ready to use LeicaDS9800 (Bond™ Polymer Refine Detection).

Negative control : No staining in mouse cerebrum.
The section was incubated with ab316973 for 30 mins at room temperature.
The immunostaining was performed on a Leica Biosystems BOND® RX instrument

Counterstained with Hematoxylin.

Secondary antibody only control : Secondary antibody is a ready to use LeicaDS9800 (Bond™ Polymer Refine Detection).

Heat mediated antigen retrieval was performed with Tris-EDTA buffer (pH 9.0, Epitope Retrieval Solution2) for 20 mins

Immunohistochemistry (Formalin/PFA-fixed paraffin-embedded sections) - Anti-Pseudomonas Outer membrane porin F antibody [EPR28629-91] (AB316973)
  • IHC-P

Supplier Data

Immunohistochemistry (Formalin/PFA-fixed paraffin-embedded sections) - Anti-Pseudomonas Outer membrane porin F antibody [EPR28629-91] (AB316973)

Immunohistochemical analysis of paraffin-embedded Rat cerebrum tissue labeling Pseudomonas Outer membrane porin F with ab316973 at 1/5000 (0.098 ug/ml) dilution, followed by a ready to use LeicaDS9800 (Bond™ Polymer Refine Detection).

Negative control : No staining in rat cerebrum.
The section was incubated with ab316973 for 30 mins at room temperature.
The immunostaining was performed on a Leica Biosystems BOND® RX instrument

Counterstained with Hematoxylin.

Secondary antibody only control : Secondary antibody is a ready to use LeicaDS9800 (Bond™ Polymer Refine Detection).

Heat mediated antigen retrieval was performed with Tris-EDTA buffer (pH 9.0, Epitope Retrieval Solution2) for 20 mins

Indirect ELISA - Anti-Pseudomonas Outer membrane porin F antibody [EPR28629-91] (AB316973)
  • I-ELISA

Supplier Data

Indirect ELISA - Anti-Pseudomonas Outer membrane porin F antibody [EPR28629-91] (AB316973)

Indirect ELISA analysis of ab316973 at 1000-0 ng/ml. The Secondary antibody used was Alkaline Phosphatase-conjugated AffiniPure Goat Anti-Rabbit IgG (H+L) at 1 : 2500 dilution.

Antigen : Pseudomonas Outer membrane porin F.

Antigen concentration : 1000 ng/ml

Immunoprecipitation - Anti-Pseudomonas Outer membrane porin F antibody [EPR28629-91] (AB316973)
  • IP

Supplier Data

Immunoprecipitation - Anti-Pseudomonas Outer membrane porin F antibody [EPR28629-91] (AB316973)

Pseudomonas Outer membrane porin F was immunoprecipitated from 0.35 mg 293T(human embryonic kidney epithelial cell) cells transfected with a Pseudomonas Outer membrane porin F expression vector containing a myc-His-tag®, whole cell lysate with ab316973 at 1/30 dilution (2ug in 0.35mg lysates). Western blot was performed on the immunoprecipitate using ab316973 at 1/1000 dilution. VeriBlot for IP secondary antibody(HRP)(ab131366) was used at 1/5000 dilution.

Lane 1 : 293T(human embryonic kidney epithelial cell) cells transfected with a Pseudomonas Outer membrane porin F expression vector containing a myc-His-tag®, whole cell lysate
Lane 2 : ab316973 IP in 293T(human embryonic kidney epithelial cell) cells transfected with a Pseudomonas Outer membrane porin F expression vector containing a myc-His-tag®, whole cell lysate
Lane 3 : Rabbit monoclonal IgG (ab172730) instead of ab316973 in 293T cells transfected with a Pseudomonas Outer membrane porin F expression vector containing a myc-His-tag®, whole cell lysate

All lanes:

Immunoprecipitation - Anti-Pseudomonas Outer membrane porin F antibody [EPR28629-91] (ab316973) at 1/30 dilution

All lanes:

293T(human embryonic kidney epithelial cell) cells transfected with a Pseudomonas Outer membrane porin F expression vector containing a myc-His-tag®, whole cell lysate at 5 µg with NFDM/TBST

Secondary

All lanes:

Immunoprecipitation - VeriBlot for IP Detection Reagent (HRP) (<a href='/en-us/products/reagents/veriblot-for-ip-detection-reagent-hrp-ab131366'>ab131366</a>) at 1/5000 dilution

false

Exposure time: 10s

Western blot - Anti-Pseudomonas Outer membrane porin F antibody [EPR28629-91] (AB316973)
  • WB

Supplier Data

Western blot - Anti-Pseudomonas Outer membrane porin F antibody [EPR28629-91] (AB316973)

In Western blot, Anti-GAPDH antibody [EPR16891] - Loading Control (ab181602) staining at 1/200000 dilution.

In Western blot, Anti-6X His tag® antibody [EPR20547] - ChIP Grade (ab213204) staining at 1/5000 dilution.

All lanes:

Western blot - Anti-Pseudomonas Outer membrane porin F antibody [EPR28629-91] (ab316973) at 1/1000 dilution

Lane 1:

293T (human embryonic kidney epithelial cell) cells transfected with an empty vector containing a myc-His-tag®, whole cell lysate at 20 µg with NFDM/TBST

Lane 2:

293T transfected with a Pseudomonas Outer membrane porin F expression vector containing a myc-His-tag®, whole cell lysate at 20 µg with NFDM/TBST

Secondary

All lanes:

Western blot - Goat Anti-Rabbit IgG H&L (HRP) (<a href='/en-us/products/secondary-antibodies/goat-rabbit-igg-h-l-hrp-ab97051'>ab97051</a>) at 1/100000 dilution

Observed band size: 38 kDa,36 kDa

false

Exposure time: 26s

Key facts

Host species

Rabbit

Clonality

Monoclonal

Clone number

EPR28629-91

Isotype

IgG

Carrier free

No

Reacts with

Pseudomonas aeruginosa

Applications

ICC/IF, IHC-P, IP, Flow Cyt (Intra), WB, I-ELISA

applications

Immunogen

The exact immunogen used to generate this antibody is proprietary information.

Reactivity data

{ "title": "Reactivity Data", "filters": { "stats": ["", "Species", "Dilution Info", "Notes"], "tabs": { "all-applications": {"fullname" : "All Applications", "shortname": "All Applications"}, "WB" : {"fullname" : "Western blot", "shortname":"WB"}, "ICCIF" : {"fullname" : "Immunocytochemistry/ Immunofluorescence", "shortname":"ICC/IF"}, "FlowCytIntra" : {"fullname" : "Flow Cytometry (Intracellular)", "shortname":"Flow Cyt (Intra)"}, "IP" : {"fullname" : "Immunoprecipitation", "shortname":"IP"}, "IELISA" : {"fullname" : "Indirect ELISA", "shortname":"I-ELISA"}, "IHCP" : {"fullname" : "Immunohistochemistry (Formalin/PFA-fixed paraffin-embedded sections)", "shortname":"IHC-P"} }, "product-promise": { "all": "all", "testedAndGuaranteed": "tested", "guaranteed": "expected", "predicted": "predicted", "notRecommended": "not-recommended" } }, "values": { "Pseudomonas aeruginosa": { "WB-species-checked": "predicted", "WB-species-dilution-info": "", "WB-species-notes": "", "ICCIF-species-checked": "predicted", "ICCIF-species-dilution-info": "", "ICCIF-species-notes": "", "FlowCytIntra-species-checked": "predicted", "FlowCytIntra-species-dilution-info": "", "FlowCytIntra-species-notes": "", "IP-species-checked": "predicted", "IP-species-dilution-info": "", "IP-species-notes": "", "IELISA-species-checked": "predicted", "IELISA-species-dilution-info": "", "IELISA-species-notes": "", "IHCP-species-checked": "predicted", "IHCP-species-dilution-info": "", "IHCP-species-notes": "" }, "Recombinant full length protein - Pseudomonas aeruginosa": { "WB-species-checked": "notRecommended", "WB-species-dilution-info": "", "WB-species-notes": "", "ICCIF-species-checked": "notRecommended", "ICCIF-species-dilution-info": "", "ICCIF-species-notes": "", "FlowCytIntra-species-checked": "notRecommended", "FlowCytIntra-species-dilution-info": "", "FlowCytIntra-species-notes": "", "IP-species-checked": "notRecommended", "IP-species-dilution-info": "", "IP-species-notes": "", "IELISA-species-checked": "testedAndGuaranteed", "IELISA-species-dilution-info": "1000 ng/mL", "IELISA-species-notes": "<p></p>", "IHCP-species-checked": "notRecommended", "IHCP-species-dilution-info": "", "IHCP-species-notes": "" }, "Transfected cell line - Pseudomonas aeruginosa": { "WB-species-checked": "notRecommended", "WB-species-dilution-info": "", "WB-species-notes": "", "ICCIF-species-checked": "testedAndGuaranteed", "ICCIF-species-dilution-info": "1/2000", "ICCIF-species-notes": "<p></p>", "FlowCytIntra-species-checked": "testedAndGuaranteed", "FlowCytIntra-species-dilution-info": "1/5000", "FlowCytIntra-species-notes": "<p></p>", "IP-species-checked": "notRecommended", "IP-species-dilution-info": "", "IP-species-notes": "", "IELISA-species-checked": "notRecommended", "IELISA-species-dilution-info": "", "IELISA-species-notes": "", "IHCP-species-checked": "testedAndGuaranteed", "IHCP-species-dilution-info": "1/5000", "IHCP-species-notes": "<p></p> Perform heat-mediated antigen retrieval with Tris/EDTA buffer pH 9.0 before commencing with IHC staining protocol." }, "Transfected cell lysate - Pseudomonas aeruginosa": { "WB-species-checked": "testedAndGuaranteed", "WB-species-dilution-info": "1/1000", "WB-species-notes": "<p></p>", "ICCIF-species-checked": "notRecommended", "ICCIF-species-dilution-info": "", "ICCIF-species-notes": "", "FlowCytIntra-species-checked": "notRecommended", "FlowCytIntra-species-dilution-info": "", "FlowCytIntra-species-notes": "", "IP-species-checked": "testedAndGuaranteed", "IP-species-dilution-info": "1/30", "IP-species-notes": "<p></p>", "IELISA-species-checked": "notRecommended", "IELISA-species-dilution-info": "", "IELISA-species-notes": "", "IHCP-species-checked": "notRecommended", "IHCP-species-dilution-info": "", "IHCP-species-notes": "" } } }

Product details

Patented technology
Our RabMAb® technology is a patented hybridoma-based technology for making rabbit monoclonal antibodies. For details on our patents, please refer to RabMAb® patents.

What are the advantages of a recombinant monoclonal antibody?
This product is a recombinant monoclonal antibody, which offers several advantages including:

  • - High batch-to-batch consistency and reproducibility
  • - Improved sensitivity and specificity
  • - Long-term security of supply
  • - Animal-free batch production

For more information, read more on recombinant antibodies.

Properties and storage information

Form
Liquid
Purification technique
Affinity purification Protein A
Storage buffer
pH: 7.2 - 7.4 Preservative: 0.01% Sodium azide Constituents: PBS, 40% Glycerol (glycerin, glycerine), 0.05% BSA
Shipped at conditions
Blue Ice
Appropriate short-term storage duration
1-2 weeks
Appropriate short-term storage conditions
+4°C
Appropriate long-term storage conditions
-20°C
Aliquoting information
Upon delivery aliquot
Storage information
Avoid freeze / thaw cycle

Supplementary information

This supplementary information is collated from multiple sources and compiled automatically.

Pseudomonas Outer Membrane Porin F (OprF) is a protein in Pseudomonas aeruginosa with a molecular mass of approximately 38 kDa. It forms channels across the bacterial outer membrane and allows small hydrophilic molecules to pass functioning as a non-specific diffusion channel. OprF is essential for maintaining the structural integrity of the outer membrane and it is majorly expressed in the outer membrane of Pseudomonas species.
Biological function summary

The Pseudomonas Outer Membrane Porin F plays an important role in nutrient uptake and waste removal. As a part of the outer membrane complex OprF works closely with other porins facilitating the transport of ions and small molecules. It contributes to the permeability of the bacterial membrane which is critical for the bacteria's adaptability and survival in diverse environments.

Pathways

OprF is significant in the general porin-mediated transport pathways that facilitate the exchange of essential nutrients and ions. OprF interacts with other porin proteins forming part of a porous barrier that aligns with the bacteria's need for environmental adaptation. Its role is critical in the context of biofilm formation pathways and antibiotic resistance mechanisms often partnering with OprD porin in these processes.

OprF is linked with chronic infections particularly in cystic fibrosis patients where Pseudomonas aeruginosa displays increased pathogenicity. OprF interacts with proteins like AlgC promoting biofilm formation that contributes to the bacterium's resistance to treatment. Its involvement in multidrug resistance also aligns with its role in chronic lung infections complicating the treatment strategies for affected individuals.

Product protocols

For this product, it's our understanding that no specific protocols are required. You can visit:

Target data

Has porin activity, forming small water-filled channels. Also has a structural role in determining cell shape and ability to grow in low-osmolarity medium.
See full target information oprF

Product promise

We are committed to supporting your work with high-quality reagents, and we're here for you every step of the way. In the unlikely event that one of our products does not perform as expected, you're protected by our Product Promise.
For full details, please see our Terms & Conditions

Please note: All products are 'FOR RESEARCH USE ONLY. NOT FOR USE IN DIAGNOSTIC OR THERAPEUTIC PROCEDURES'.

For licensing inquiries, please contact partnerships@abcam.com