JavaScript is disabled in your browser. Please enable JavaScript to view this website.
AB177515

Anti-PSF3 antibody

Be the first to review this product! Submit a review

|

(4 Publications)

Rabbit Polyclonal PSF3 antibody. Suitable for IHC-P, IP, WB and reacts with Human samples. Cited in 4 publications. Immunogen corresponding to Synthetic Peptide within Human GINS3 aa 150 to C-terminus.

View Alternative Names

PSF3, GINS3, DNA replication complex GINS protein PSF3, GINS complex subunit 3

3 Images
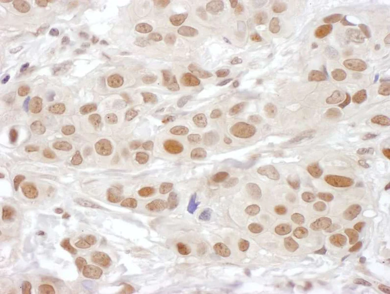
Immunohistochemistry (Formalin/PFA-fixed paraffin-embedded sections) - Anti-PSF3 antibody (AB177515)
  • IHC-P

Supplier Data

Immunohistochemistry (Formalin/PFA-fixed paraffin-embedded sections) - Anti-PSF3 antibody (AB177515)

Immunohistochemical analysis of formalin-fixed, paraffin-embedded human breast carcinoma tissue labeling PSF3 with ab177515 at a 1/1000 dilution.

Immunoprecipitation - Anti-PSF3 antibody (AB177515)
  • IP

Supplier Data

Immunoprecipitation - Anti-PSF3 antibody (AB177515)

Detection of PSF3 in Immunoprecipitates of 293T whole cell lysate (1 mg for IP, 20% of IP loaded) using ab177515 at 6 μg/mg lysate for IP and at 0.1 μg/ml for subsequent western blot detection. Lane 2 represents control IgG IP.

Detection : Chemiluminescence with an exposure time of 3 minutes.

All lanes:

Immunoprecipitation - Anti-PSF3 antibody (ab177515)

Predicted band size: 25 kDa

false

Western blot - Anti-PSF3 antibody (AB177515)
  • WB

Supplier Data

Western blot - Anti-PSF3 antibody (AB177515)

All lanes:

Western blot - Anti-PSF3 antibody (ab177515) at 0.1 µg/mL

Lane 1:

293T whole cell lysate at 50 µg

Lane 2:

HeLa whole cell lysate at 50 µg

Lane 3:

Jurkat whole cell lysate at 50 µg

Predicted band size: 25 kDa

true

Exposure time: 3min

Key facts

Host species

Rabbit

Clonality

Polyclonal

Isotype

IgG

Carrier free

No

Reacts with

Human

Applications

WB, IP, IHC-P

applications

Immunogen

Synthetic Peptide within Human GINS3 aa 150 to C-terminus. The exact immunogen used to generate this antibody is proprietary information.

Q9BRX5

Reactivity data

{ "title": "Reactivity Data", "filters": { "stats": ["", "Species", "Dilution Info", "Notes"], "tabs": { "all-applications": {"fullname" : "All Applications", "shortname": "All Applications"}, "IHCP" : {"fullname" : "Immunohistochemistry (Formalin/PFA-fixed paraffin-embedded sections)", "shortname":"IHC-P"}, "IP" : {"fullname" : "Immunoprecipitation", "shortname":"IP"}, "WB" : {"fullname" : "Western blot", "shortname":"WB"} }, "product-promise": { "all": "all", "testedAndGuaranteed": "tested", "guaranteed": "expected", "predicted": "predicted", "notRecommended": "not-recommended" } }, "values": { "Human": { "IHCP-species-checked": "testedAndGuaranteed", "IHCP-species-dilution-info": "1/500 - 1/2000", "IHCP-species-notes": "<p></p> Perform heat-mediated antigen retrieval with citrate buffer pH 6 before commencing with IHC staining protocol.", "IP-species-checked": "testedAndGuaranteed", "IP-species-dilution-info": "2-10 µg/mg of lysate", "IP-species-notes": "<p></p>", "WB-species-checked": "testedAndGuaranteed", "WB-species-dilution-info": "1/2000 - 1/10000", "WB-species-notes": "<p></p>" }, "Cat": { "IHCP-species-checked": "predicted", "IHCP-species-dilution-info": "", "IHCP-species-notes": "", "IP-species-checked": "predicted", "IP-species-dilution-info": "", "IP-species-notes": "", "WB-species-checked": "predicted", "WB-species-dilution-info": "", "WB-species-notes": "" }, "Chimpanzee": { "IHCP-species-checked": "predicted", "IHCP-species-dilution-info": "", "IHCP-species-notes": "", "IP-species-checked": "predicted", "IP-species-dilution-info": "", "IP-species-notes": "", "WB-species-checked": "predicted", "WB-species-dilution-info": "", "WB-species-notes": "" }, "Cynomolgus monkey": { "IHCP-species-checked": "predicted", "IHCP-species-dilution-info": "", "IHCP-species-notes": "", "IP-species-checked": "predicted", "IP-species-dilution-info": "", "IP-species-notes": "", "WB-species-checked": "predicted", "WB-species-dilution-info": "", "WB-species-notes": "" }, "Gorilla": { "IHCP-species-checked": "predicted", "IHCP-species-dilution-info": "", "IHCP-species-notes": "", "IP-species-checked": "predicted", "IP-species-dilution-info": "", "IP-species-notes": "", "WB-species-checked": "predicted", "WB-species-dilution-info": "", "WB-species-notes": "" }, "Horse": { "IHCP-species-checked": "predicted", "IHCP-species-dilution-info": "", "IHCP-species-notes": "", "IP-species-checked": "predicted", "IP-species-dilution-info": "", "IP-species-notes": "", "WB-species-checked": "predicted", "WB-species-dilution-info": "", "WB-species-notes": "" }, "Orangutan": { "IHCP-species-checked": "predicted", "IHCP-species-dilution-info": "", "IHCP-species-notes": "", "IP-species-checked": "predicted", "IP-species-dilution-info": "", "IP-species-notes": "", "WB-species-checked": "predicted", "WB-species-dilution-info": "", "WB-species-notes": "" }, "Rabbit": { "IHCP-species-checked": "predicted", "IHCP-species-dilution-info": "", "IHCP-species-notes": "", "IP-species-checked": "predicted", "IP-species-dilution-info": "", "IP-species-notes": "", "WB-species-checked": "predicted", "WB-species-dilution-info": "", "WB-species-notes": "" }, "Rhesus monkey": { "IHCP-species-checked": "predicted", "IHCP-species-dilution-info": "", "IHCP-species-notes": "", "IP-species-checked": "predicted", "IP-species-dilution-info": "", "IP-species-notes": "", "WB-species-checked": "predicted", "WB-species-dilution-info": "", "WB-species-notes": "" } } }

Properties and storage information

Form
Liquid
Purification technique
Affinity purification Immunogen
Purification notes
ab177515 was affinity purified using an epitope specific to PSF3 immobilized on solid support.
Storage buffer
pH: 7 - 8 Preservative: 0.09% Sodium azide Constituents: 99% Tris citrate/phosphate
Shipped at conditions
Blue Ice
Appropriate short-term storage duration
1-2 weeks
Appropriate short-term storage conditions
+4°C
Appropriate long-term storage conditions
-20°C
Aliquoting information
Upon delivery aliquot
Storage information
Avoid freeze / thaw cycle

Product protocols

For this product, it's our understanding that no specific protocols are required. You can visit:

Target data

Required for correct functioning of the GINS complex, a complex that plays an essential role in the initiation of DNA replication, and progression of DNA replication forks (PubMed : 17417653, PubMed : 28414293). GINS complex is a core component of CDC45-MCM-GINS (CMG) helicase, the molecular machine that unwinds template DNA during replication, and around which the replisome is built (PubMed : 32453425, PubMed : 34694004, PubMed : 34700328, PubMed : 35585232).
See full target information GINS3

Publications (4)

Recent publications for all applications. Explore the full list and refine your search

JCI insight 7: PubMed35603789

2022

Hypomorphic GINS3 variants alter DNA replication and cause Meier-Gorlin syndrome.

Applications

Unspecified application

Species

Unspecified reactive species

Mary E McQuaid,Kashif Ahmed,Stephanie Tran,Justine Rousseau,Ranad Shaheen,Kristin D Kernohan,Kyoko E Yuki,Prerna Grover,Ema S Dreseris,Sameen Ahmed,Lucie Dupuis,Jennifer Stimec,Mary Shago,Zuhair N Al-Hassnan,Roch Tremblay,Philipp G Maass,Michael D Wilson,Eyal Grunebaum,Kym M Boycott,François-Michel Boisvert,Sateesh Maddirevula,Eissa A Faqeih,Fahad Almanjomi,Zaheer Ullah Khan,Fowzan S Alkuraya,Philippe M Campeau,Peter Kannu,Eric I Campos,Hugo Wurtele

OncoTargets and therapy 13:11433-11444 PubMed33192076

2020

Expression Profile of GINS Complex Predicts the Prognosis of Pancreatic Cancer Patients.

Applications

Unspecified application

Species

Unspecified reactive species

Fanqin Bu,Xiaojian Zhu,Xuan Yi,Chen Luo,Kang Lin,Jinfeng Zhu,Cegui Hu,Zitao Liu,Jiefeng Zhao,Chao Huang,Wenjun Zhang,Jun Huang

Molecular cell 72:650-660.e8 PubMed30392930

2018

Nuclear PGK1 Alleviates ADP-Dependent Inhibition of CDC7 to Promote DNA Replication.

Applications

Unspecified application

Species

Unspecified reactive species

Xinjian Li,Xu Qian,Hongfei Jiang,Yan Xia,Yanhua Zheng,Jing Li,Bi-Jun Huang,Jing Fang,Chao-Nan Qian,Tao Jiang,Yi-Xin Zeng,Zhimin Lu

Nature communications 8:1392 PubMed29123096

2017

ATR kinase inhibition induces unscheduled origin firing through a Cdc7-dependent association between GINS and And-1.

Applications

Unspecified application

Species

Unspecified reactive species

Tatiana Moiseeva,Brian Hood,Sandy Schamus,Mark J O'Connor,Thomas P Conrads,Christopher J Bakkenist
View all publications

Product promise

We are committed to supporting your work with high-quality reagents, and we're here for you every step of the way. In the unlikely event that one of our products does not perform as expected, you're protected by our Product Promise.
For full details, please see our Terms & Conditions

Please note: All products are 'FOR RESEARCH USE ONLY. NOT FOR USE IN DIAGNOSTIC OR THERAPEUTIC PROCEDURES'.

For licensing inquiries, please contact partnerships@abcam.com