JavaScript is disabled in your browser. Please enable JavaScript to view this website.
AB316114

Anti-PSGL-1 antibody [EPR28170-27] - BSA and Azide free

Be the first to review this product! Submit a review

|

(0 Publication)

Rabbit Recombinant Monoclonal PSGL-1 antibody. Carrier free. Suitable for IHC-P, WB, ICC/IF, Flow Cyt and reacts with Transfected cell line - Mouse, Mouse, Rat samples.

View Alternative Names

CD162, Selp1, Selpl, Selplg, P-selectin glycoprotein ligand 1, PSGL-1, Selectin P ligand

12 Images
Immunohistochemistry (Formalin/PFA-fixed paraffin-embedded sections) - Anti-PSGL-1 antibody [EPR28170-27] - BSA and Azide free (AB316114)
  • IHC-P

Supplier Data

Immunohistochemistry (Formalin/PFA-fixed paraffin-embedded sections) - Anti-PSGL-1 antibody [EPR28170-27] - BSA and Azide free (AB316114)

This data was developed using ab316113, the same antibody clone in a different buffer formulation.

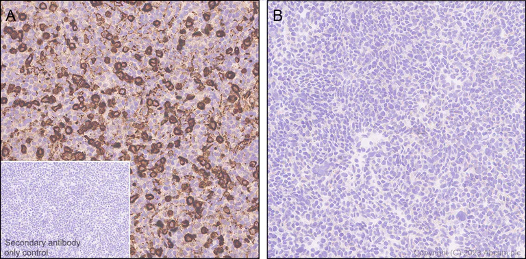
Immunohistochemical analysis of paraffin-embedded (A) HEK-293T (human embryonic kidney epithelial cell) transfected with a mouse PSGL-1 expression vector containing a Myc-His tag. (B) HEK-293T transfected with empty vector containing a Myc-His tag. tissue labeling PSGL-1 with ab316113 at 1/2000 (0.252 ug/ml) dilution, followed by a ready to use LeicaDS9800 (Bond™ Polymer Refine Detection).

Positive staining on HEK-293T transfected with a Myc-His-tagged mouse PSGL-1 construct (image A). No staining on HEK-293T transfected with empty plasmid (image B). The section was incubated with ab316113 for 30 mins at room temperature.
The immunostaining was performed on a Leica Biosystems BOND® RX instrument.

Counterstained with Hematoxylin.

Secondary antibody only control : Secondary antibody is a ready to use LeicaDS9800 (Bond™ Polymer Refine Detection).

Heat mediated antigen retrieval was performed with Tris-EDTA buffer (pH 9.0, Epitope Retrieval Solution2) for 20 mins.

Immunohistochemistry (Formalin/PFA-fixed paraffin-embedded sections) - Anti-PSGL-1 antibody [EPR28170-27] - BSA and Azide free (AB316114)
  • IHC-P

Supplier Data

Immunohistochemistry (Formalin/PFA-fixed paraffin-embedded sections) - Anti-PSGL-1 antibody [EPR28170-27] - BSA and Azide free (AB316114)

This data was developed using ab316113, the same antibody clone in a different buffer formulation.

Immunohistochemical analysis of paraffin-embedded Rat skeletal muscle tissue labeling PSGL-1 with ab316113 at 1/2000 (0.252 ug/ml) dilution, followed by a ready to use LeicaDS9800 (Bond™ Polymer Refine Detection).

Low expression tissue : weak staining on rat skeletal muscle. The section was incubated with ab316113 for 30 mins at room temperature.
The immunostaining was performed on a Leica Biosystems BOND® RX instrument.

Counterstained with Hematoxylin.

Secondary antibody only control : Secondary antibody is a ready to use LeicaDS9800 (Bond™ Polymer Refine Detection).

Heat mediated antigen retrieval was performed with Tris-EDTA buffer (pH 9.0, Epitope Retrieval Solution2) for 20 mins.

Immunohistochemistry (Formalin/PFA-fixed paraffin-embedded sections) - Anti-PSGL-1 antibody [EPR28170-27] - BSA and Azide free (AB316114)
  • IHC-P

Supplier Data

Immunohistochemistry (Formalin/PFA-fixed paraffin-embedded sections) - Anti-PSGL-1 antibody [EPR28170-27] - BSA and Azide free (AB316114)

This data was developed using ab316113, the same antibody clone in a different buffer formulation.

Immunohistochemical analysis of paraffin-embedded Mouse skeletal muscle tissue labeling PSGL-1 with ab316113 at 1/2000 (0.252 ug/ml) dilution, followed by a ready to use LeicaDS9800 (Bond™ Polymer Refine Detection).

Low expression tissue : weak staining on mouse skeletal muscle (PMID : 8639776). The section was incubated with ab316113 for 30 mins at room temperature.
The immunostaining was performed on a Leica Biosystems BOND® RX instrument.

Counterstained with Hematoxylin.

Secondary antibody only control : Secondary antibody is a ready to use LeicaDS9800 (Bond™ Polymer Refine Detection).

Heat mediated antigen retrieval was performed with Tris-EDTA buffer (pH 9.0, Epitope Retrieval Solution2) for 20 mins.

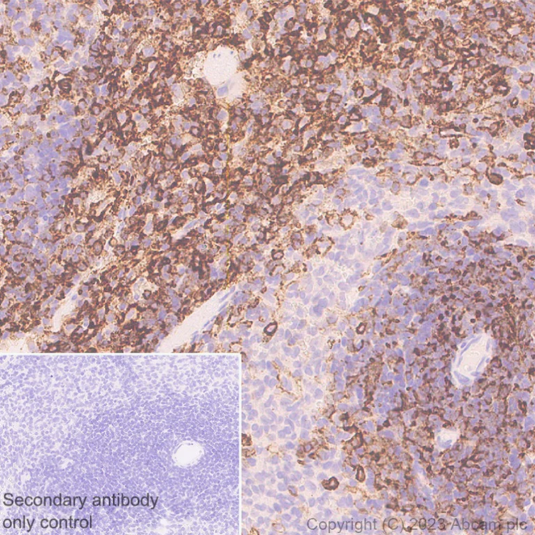
Immunohistochemistry (Formalin/PFA-fixed paraffin-embedded sections) - Anti-PSGL-1 antibody [EPR28170-27] - BSA and Azide free (AB316114)
  • IHC-P

Supplier Data

Immunohistochemistry (Formalin/PFA-fixed paraffin-embedded sections) - Anti-PSGL-1 antibody [EPR28170-27] - BSA and Azide free (AB316114)

This data was developed using ab316113, the same antibody clone in a different buffer formulation.

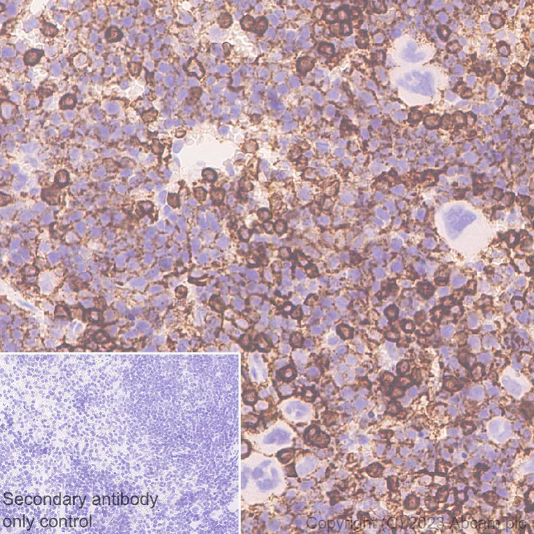
Immunohistochemical analysis of paraffin-embedded Rat spleen tissue labeling PSGL-1 with ab316113 at 1/2000 (0.252 ug/ml) dilution, followed by a ready to use LeicaDS9800 (Bond™ Polymer Refine Detection).

Positive staining on rat spleen. The section was incubated with ab316113 for 30 mins at room temperature.
The immunostaining was performed on a Leica Biosystems BOND® RX instrument.

Counterstained with Hematoxylin.

Secondary antibody only control : Secondary antibody is a ready to use LeicaDS9800 (Bond™ Polymer Refine Detection).

Heat mediated antigen retrieval was performed with Tris-EDTA buffer (pH 9.0, Epitope Retrieval Solution2) for 20 mins.

Immunohistochemistry (Formalin/PFA-fixed paraffin-embedded sections) - Anti-PSGL-1 antibody [EPR28170-27] - BSA and Azide free (AB316114)
  • IHC-P

Supplier Data

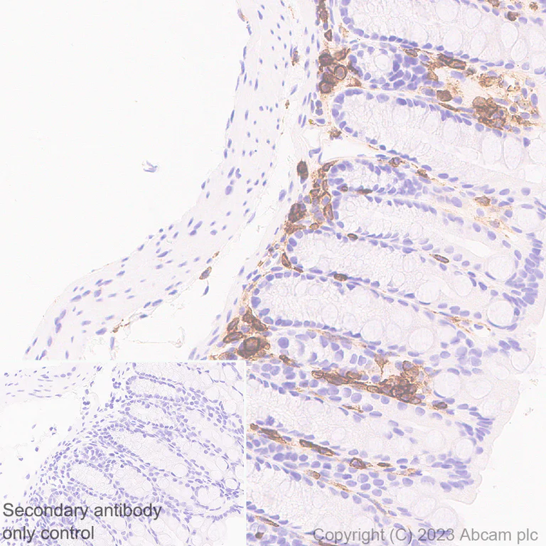
Immunohistochemistry (Formalin/PFA-fixed paraffin-embedded sections) - Anti-PSGL-1 antibody [EPR28170-27] - BSA and Azide free (AB316114)

This data was developed using ab316113, the same antibody clone in a different buffer formulation.

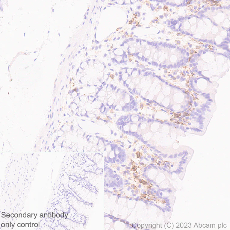
Immunohistochemical analysis of paraffin-embedded Rat colon tissue labeling PSGL-1 with ab316113 at 1/2000 (0.252 ug/ml) dilution, followed by a ready to use LeicaDS9800 (Bond™ Polymer Refine Detection).

Positive staining on immune cells of rat colon. The section was incubated with ab316113 for 30 mins at room temperature.
The immunostaining was performed on a Leica Biosystems BOND® RX instrument.

Counterstained with Hematoxylin.

Secondary antibody only control : Secondary antibody is a ready to use LeicaDS9800 (Bond™ Polymer Refine Detection).

Heat mediated antigen retrieval was performed with Tris-EDTA buffer (pH 9.0, Epitope Retrieval Solution2) for 20 mins.

Immunohistochemistry (Formalin/PFA-fixed paraffin-embedded sections) - Anti-PSGL-1 antibody [EPR28170-27] - BSA and Azide free (AB316114)
  • IHC-P

Supplier Data

Immunohistochemistry (Formalin/PFA-fixed paraffin-embedded sections) - Anti-PSGL-1 antibody [EPR28170-27] - BSA and Azide free (AB316114)

This data was developed using ab316113, the same antibody clone in a different buffer formulation.

Immunohistochemical analysis of paraffin-embedded Mouse colon tissue labeling PSGL-1 with ab316113 at 1/2000 (0.252 ug/ml) dilution, followed by a ready to use LeicaDS9800 (Bond™ Polymer Refine Detection).

Positive staining on immune cells of mouse colon. The section was incubated with ab316113 for 30 mins at room temperature.
The immunostaining was performed on a Leica Biosystems BOND® RX instrument.

Counterstained with Hematoxylin.

Secondary antibody only control : Secondary antibody is a ready to use LeicaDS9800 (Bond™ Polymer Refine Detection).

Heat mediated antigen retrieval was performed with Tris-EDTA buffer (pH 9.0, Epitope Retrieval Solution2) for 20 mins.

Immunohistochemistry (Formalin/PFA-fixed paraffin-embedded sections) - Anti-PSGL-1 antibody [EPR28170-27] - BSA and Azide free (AB316114)
  • IHC-P

Supplier Data

Immunohistochemistry (Formalin/PFA-fixed paraffin-embedded sections) - Anti-PSGL-1 antibody [EPR28170-27] - BSA and Azide free (AB316114)

This data was developed using ab316113, the same antibody clone in a different buffer formulation.

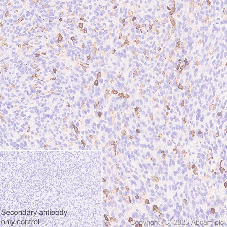
Immunohistochemical analysis of paraffin-embedded Mouse glioblastoma tissue labeling PSGL-1 with ab316113 at 1/2000 (0.252 ug/ml) dilution, followed by a ready to use LeicaDS9800 (Bond™ Polymer Refine Detection).

Positive staining on mouse glioblastoma. The section was incubated with ab316113 for 30 mins at room temperature.
The immunostaining was performed on a Leica Biosystems BOND® RX instrument.

Counterstained with Hematoxylin.

Secondary antibody only control : Secondary antibody is a ready to use LeicaDS9800 (Bond™ Polymer Refine Detection).

Heat mediated antigen retrieval was performed with Tris-EDTA buffer (pH 9.0, Epitope Retrieval Solution2) for 20 mins.

Immunocytochemistry/ Immunofluorescence - Anti-PSGL-1 antibody [EPR28170-27] - BSA and Azide free (AB316114)
  • ICC/IF

Supplier Data

Immunocytochemistry/ Immunofluorescence - Anti-PSGL-1 antibody [EPR28170-27] - BSA and Azide free (AB316114)

This data was developed using ab316113, the same antibody clone in a different buffer formulation.

Immunofluorescent analysis of 4% Paraformaldehyde-fixed, 0.1% TritonX-100 permeabilized Mouse splenocyte cells labelling PSGL-1 with ab316113 at 1/50 (10.08 ug/ml) dilution, followed by ab150081 Goat Anti-Rabbit IgG H&L (Alexa Fluor® 488) preadsorbed antibody at 1/1000 (2 ug/mL) dilution (Green).

Confocal image showing membrane staining in a subset of mouse splenocytes.
Image was taken with a confocal microscope(Leica-Microsystems, TCS SP8).

Anti-rat CD3 mouse monoclonal antibody (Alexa Fluor® 647) was used to counterstain at 1/100 (5ug/ml) dilution (Red). The Nuclear counterstain was DAPI (Blue).

Secondary antibody only control : Secondary antibody is ab150081 Goat Anti-Rabbit IgG H&L (Alexa Fluor® 488) preadsorbed at 1/1000 (2 ug/mL) dilution.

Immunohistochemistry (Formalin/PFA-fixed paraffin-embedded sections) - Anti-PSGL-1 antibody [EPR28170-27] - BSA and Azide free (AB316114)
  • IHC-P

Supplier Data

Immunohistochemistry (Formalin/PFA-fixed paraffin-embedded sections) - Anti-PSGL-1 antibody [EPR28170-27] - BSA and Azide free (AB316114)

This data was developed using ab316113, the same antibody clone in a different buffer formulation.

Immunohistochemical analysis of paraffin-embedded Mouse spleen tissue labeling PSGL-1 with ab316113 at 1/2000 (0.252 ug/ml) dilution, followed by a ready to use LeicaDS9800 (Bond™ Polymer Refine Detection).

Positive staining on mouse spleen. The section was incubated with ab316113 for 30 mins at room temperature.
The immunostaining was performed on a Leica Biosystems BOND® RX instrument.

Counterstained with Hematoxylin.

Secondary antibody only control : Secondary antibody is a ready to use LeicaDS9800 (Bond™ Polymer Refine Detection).

Heat mediated antigen retrieval was performed with Tris-EDTA buffer (pH 9.0, Epitope Retrieval Solution2) for 20 mins.

Flow Cytometry - Anti-PSGL-1 antibody [EPR28170-27] - BSA and Azide free (AB316114)
  • Flow Cyt

Supplier Data

Flow Cytometry - Anti-PSGL-1 antibody [EPR28170-27] - BSA and Azide free (AB316114)

This data was developed using ab316113, the same antibody clone in a different buffer formulation.

Flow cytometric analysis of Mouse splenocytes cells labelling PSGL-1 with ab316113 at 1/500 dilution (0.1 ug)/Right compared with a Rabbit monoclonal IgG (ab172730) / Left isotype control.

Goat Anti-Rabbit IgG (Alexa Fluor® 488, ab150081) at 1/5000 dilution was used as the secondary antibody.

Gated on viable cells. Cells are co-stained with CD3 conjugated to Alexa Fluor®647.

Western blot - Anti-PSGL-1 antibody [EPR28170-27] - BSA and Azide free (AB316114)
  • WB

Supplier Data

Western blot - Anti-PSGL-1 antibody [EPR28170-27] - BSA and Azide free (AB316114)

This data was developed using ab316113, the same antibody clone in a different buffer formulation.

Blocking and diluting buffer and concentration : 5% NFDM/TBST.

Low expression : skeletal muscle, kidney (PMID 8639776).

The molecular weight observed is consistent with what has been described in the literature (PMID : 18519846, 9660879).

PSGL-1(P-selectin is the P-selectin glycoprotein ligand-1) is a 125KD glycoprotein and the 250KD band represents the dimer.

The identity of the bands below 75 kDa are unknown.

In Western blot, Anti-Vinculin antibody [EPR8185] (ab129002) staining at 1/10000 dilution.

All lanes:

Western blot - Anti-PSGL-1 antibody [EPR28170-27] (<a href='/en-us/products/primary-antibodies/psgl-1-antibody-epr28170-27-ab316113'>ab316113</a>) at 1/1000 dilution

Lane 1:

Rat spleen tissue lysate at 20 µg

Lane 2:

Rat lymph node tissue lysate at 20 µg

Lane 3:

Rat skeletal muscle tissue lysate at 20 µg

Lane 4:

Rat kidney tissue lysate at 20 µg

Secondary

All lanes:

Western blot - Goat Anti-Rabbit IgG H&L (HRP) (<a href='/en-us/products/secondary-antibodies/goat-rabbit-igg-h-l-hrp-ab97051'>ab97051</a>) at 1/20000 dilution

Observed band size: 125 kDa,250 kDa,124 kDa

false

Exposure time: 103s

Western blot - Anti-PSGL-1 antibody [EPR28170-27] - BSA and Azide free (AB316114)
  • WB

Supplier Data

Western blot - Anti-PSGL-1 antibody [EPR28170-27] - BSA and Azide free (AB316114)

This data was developed using ab316113, the same antibody clone in a different buffer formulation.

Blocking and diluting buffer and concentration : 5% NFDM/TBST.

Low expression : EL4.IL-2 (PMID : 34090013), NIH/3T3; skeletal muscle (PMID 8639776), kidney (PMID 8639776).

The molecular weight observed is consistent with what has been described in the literature (PMID : 18519846, 9660879).

PSGL-1(P-selectin is the P-selectin glycoprotein ligand-1) is a 125KD glycoprotein and the 250KD band represents the dimer.

The identity of the bands below 75 kDa are unknown.

In Western blot, Anti-Vinculin antibody [EPR8185] (ab129002) staining at 1/10000 dilution.

Exposure time : Lane 1-4 : 81 seconds; Lane 5-9 : 10 seconds

All lanes:

Western blot - Anti-PSGL-1 antibody [EPR28170-27] (<a href='/en-us/products/primary-antibodies/psgl-1-antibody-epr28170-27-ab316113'>ab316113</a>) at 1/1000 dilution

Lane 1:

RAW 264.7 (mouse Abelson murine leukemia virus-induced tumor macrophage) whole cell lysate at 20 µg

Lane 2:

A20 (mouse reticum sarcoma B lymphocyte) whole cell lysate at 20 µg

Lane 3:

EL4.IL-2 (mouse lymphoma T lymphocyte) whole cell lysate at 20 µg

Lane 4:

NIH/3T3 (mouse embryonic fibroblast) whole cell lysate at 20 µg

Lane 5:

Mouse spleen tissue lysate at 20 µg

Lane 6:

Mouse lymph node tissue lysate at 20 µg

Lane 7:

Mouse thymus tissue lysate at 20 µg

Lane 8:

Mouse skeletal muscle tissue lysate at 20 µg

Lane 9:

Mouse kidney tissue lysate at 20 µg

Secondary

All lanes:

Western blot - Goat Anti-Rabbit IgG H&L (HRP) (<a href='/en-us/products/secondary-antibodies/goat-rabbit-igg-h-l-hrp-ab97051'>ab97051</a>) at 1/20000 dilution

Observed band size: 125 kDa,250 kDa,124 kDa

false

  • 660 APC

    APC Anti-PSGL-1 antibody [EPR28170-27]

  • 665 Alexa Fluor® 647

    Alexa Fluor® 647 Anti-PSGL-1 antibody [EPR28170-27]

  • 519 Alexa Fluor® 488

    Alexa Fluor® 488 Anti-PSGL-1 antibody [EPR28170-27]

  • 603 Alexa Fluor® 568

    Alexa Fluor® 568 Anti-PSGL-1 antibody [EPR28170-27]

  • Unconjugated

    Anti-PSGL-1 antibody [EPR28170-27]

  • 578 PE

    PE Anti-PSGL-1 antibody [EPR28170-27]

Key facts

Host species

Rabbit

Clonality

Monoclonal

Clone number

EPR28170-27

Isotype

IgG

Carrier free

Yes

Reacts with

Mouse, Rat

Applications

Flow Cyt, IHC-P, WB, ICC/IF

applications

Immunogen

The exact immunogen used to generate this antibody is proprietary information.

Reactivity data

{ "title": "Reactivity Data", "filters": { "stats": ["", "Species", "Dilution Info", "Notes"], "tabs": { "all-applications": {"fullname" : "All Applications", "shortname": "All Applications"}, "IHCP" : {"fullname" : "Immunohistochemistry (Formalin/PFA-fixed paraffin-embedded sections)", "shortname":"IHC-P"}, "WB" : {"fullname" : "Western blot", "shortname":"WB"}, "ICCIF" : {"fullname" : "Immunocytochemistry/ Immunofluorescence", "shortname":"ICC/IF"}, "FlowCyt" : {"fullname" : "Flow Cytometry", "shortname":"Flow Cyt"}, "IP" : {"fullname" : "Immunoprecipitation", "shortname":"IP"} }, "product-promise": { "all": "all", "testedAndGuaranteed": "tested", "guaranteed": "expected", "predicted": "predicted", "notRecommended": "not-recommended" } }, "values": { "Human": { "IHCP-species-checked": "notRecommended", "IHCP-species-dilution-info": "", "IHCP-species-notes": "<p></p>", "WB-species-checked": "notRecommended", "WB-species-dilution-info": "", "WB-species-notes": "<p></p>", "ICCIF-species-checked": "notRecommended", "ICCIF-species-dilution-info": "", "ICCIF-species-notes": "", "FlowCyt-species-checked": "notRecommended", "FlowCyt-species-dilution-info": "", "FlowCyt-species-notes": "", "IP-species-checked": "notRecommended", "IP-species-dilution-info": "", "IP-species-notes": "" }, "Mouse": { "IHCP-species-checked": "testedAndGuaranteed", "IHCP-species-dilution-info": "", "IHCP-species-notes": "<p></p>", "WB-species-checked": "testedAndGuaranteed", "WB-species-dilution-info": "", "WB-species-notes": "<p></p>", "ICCIF-species-checked": "testedAndGuaranteed", "ICCIF-species-dilution-info": "", "ICCIF-species-notes": "<p></p>", "FlowCyt-species-checked": "testedAndGuaranteed", "FlowCyt-species-dilution-info": "", "FlowCyt-species-notes": "<p></p>", "IP-species-checked": "notRecommended", "IP-species-dilution-info": "", "IP-species-notes": "<p></p>" }, "Rat": { "IHCP-species-checked": "testedAndGuaranteed", "IHCP-species-dilution-info": "", "IHCP-species-notes": "<p></p>", "WB-species-checked": "testedAndGuaranteed", "WB-species-dilution-info": "", "WB-species-notes": "<p></p>", "ICCIF-species-checked": "guaranteed", "ICCIF-species-dilution-info": "", "ICCIF-species-notes": "", "FlowCyt-species-checked": "guaranteed", "FlowCyt-species-dilution-info": "", "FlowCyt-species-notes": "", "IP-species-checked": "notRecommended", "IP-species-dilution-info": "", "IP-species-notes": "" }, "Transfected cell line - Mouse": { "IHCP-species-checked": "testedAndGuaranteed", "IHCP-species-dilution-info": "", "IHCP-species-notes": "<p></p>", "WB-species-checked": "notRecommended", "WB-species-dilution-info": "", "WB-species-notes": "", "ICCIF-species-checked": "notRecommended", "ICCIF-species-dilution-info": "", "ICCIF-species-notes": "", "FlowCyt-species-checked": "notRecommended", "FlowCyt-species-dilution-info": "", "FlowCyt-species-notes": "", "IP-species-checked": "notRecommended", "IP-species-dilution-info": "", "IP-species-notes": "" } } }

Product details

ab316114 is the carrirer-free version of ab316113.

Patented technology
Our RabMAb® technology is a patented hybridoma-based technology for making rabbit monoclonal antibodies. For details on our patents, please refer to RabMAb® patents.

What are the advantages of a recombinant monoclonal antibody?
This product is a recombinant monoclonal antibody, which offers several advantages including:

  • - High batch-to-batch consistency and reproducibility
  • - Improved sensitivity and specificity
  • - Long-term security of supply
  • - Animal-free batch production

For more information, read more on recombinant antibodies.

Conjugation ready
Our carrier-free antibodies are typically supplied in a PBS-only formulation, purified and free of BSA, sodium azide and glycerol. This conjugation-ready format is designed for use with fluorochromes, metal isotopes, oligonucleotides, and enzymes, which makes them ideal for antibody labelling, functional and cell-based assays, flow-based assays (e.g. mass cytometry) and Multiplex Imaging applications.

Use our conjugation kits for antibody conjugates that are ready-to-use in as little as 20 minutes with 1 minute hands-on-time and 100% antibody recovery: available for fluorescent dyes, HRP, biotin and gold.

Compatibility
This product is compatible with the Maxpar® Antibody Labeling Kit from Fluidigm, without the need for antibody preparation. Maxpar® is a trademark of Fluidigm Canada Inc.

Properties and storage information

Form
Liquid
Purification technique
Affinity purification Protein A
Storage buffer
pH: 7.2 - 7.4 Constituents: PBS
Shipped at conditions
Blue Ice
Appropriate short-term storage conditions
+4°C
Appropriate long-term storage conditions
+4°C

Product protocols

For this product, it's our understanding that no specific protocols are required. You can visit:

Target data

A SLe(x)-type proteoglycan, which through high affinity, calcium-dependent interactions with E- and P-selectins, mediates rapid rolling of leukocytes over vascular surfaces during the initial steps in inflammation. Critical for the initial leukocyte capture.
See full target information Selplg

Product promise

We are committed to supporting your work with high-quality reagents, and we're here for you every step of the way. In the unlikely event that one of our products does not perform as expected, you're protected by our Product Promise.
For full details, please see our Terms & Conditions

Please note: All products are 'FOR RESEARCH USE ONLY. NOT FOR USE IN DIAGNOSTIC OR THERAPEUTIC PROCEDURES'.

For licensing inquiries, please contact partnerships@abcam.com