JavaScript is disabled in your browser. Please enable JavaScript to view this website.
AB177159

Anti-PSIP1/LEDGF antibody [EPR11890]

Be the first to review this product! Submit a review

|

(1 Publication)

Anti-PSIP1/LEDGF antibody [EPR11890] (ab177159) is a rabbit monoclonal antibody detecting PSIP1/LEDGF in Western Blot, IHC-P, ICC/IF. Suitable for Human.

- KO validated for confirmed specificity
- Biophysical QC for unrivalled batch-batch consistency

View Alternative Names

DFS70, LEDGF, PSIP2, PSIP1, PC4 and SFRS1-interacting protein, CLL-associated antigen KW-7, Dense fine speckles 70 kDa protein, Lens epithelium-derived growth factor, Transcriptional coactivator p75/p52, DFS 70

5 Images
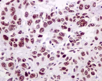
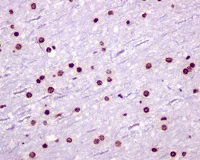
Immunohistochemistry (Formalin/PFA-fixed paraffin-embedded sections) - Anti-PSIP1/LEDGF antibody [EPR11890] (AB177159)
  • IHC-P

Unknown

Immunohistochemistry (Formalin/PFA-fixed paraffin-embedded sections) - Anti-PSIP1/LEDGF antibody [EPR11890] (AB177159)

Immunohistochemical analysis of paraffin-embedded Human brain tissue labeling PSIP1/LEDGF with ab177159 at 1/50 dilution.

Perform heat mediated antigen retrieval before commencing with IHC staining protocol.

Immunohistochemistry (Formalin/PFA-fixed paraffin-embedded sections) - Anti-PSIP1/LEDGF antibody [EPR11890] (AB177159)
  • IHC-P

Unknown

Immunohistochemistry (Formalin/PFA-fixed paraffin-embedded sections) - Anti-PSIP1/LEDGF antibody [EPR11890] (AB177159)

Immunohistochemical analysis of paraffin-embedded Human hepatocellular carcinoma tissue labeling PSIP1/LEDGF with ab177159 at 1/50 dilution.

Perform heat mediated antigen retrieval before commencing with IHC staining protocol.

Immunocytochemistry/ Immunofluorescence - Anti-PSIP1/LEDGF antibody [EPR11890] (AB177159)
  • ICC/IF

Supplier Data

Immunocytochemistry/ Immunofluorescence - Anti-PSIP1/LEDGF antibody [EPR11890] (AB177159)

Immunofluorescent analysis of K562 cells labeling PSIP1/LEDGF with ab177159 at 1/100 dilution.

Western blot - Anti-PSIP1/LEDGF antibody [EPR11890] (AB177159)
  • WB

Supplier Data

Western blot - Anti-PSIP1/LEDGF antibody [EPR11890] (AB177159)

All lanes:

Western blot - Anti-PSIP1/LEDGF antibody [EPR11890] (ab177159) at 1/1000 dilution

Lane 1:

Jurkat cell lysate at 10 µg

Lane 2:

HeLa cell lysate at 10 µg

Lane 3:

K562 cell lysate at 10 µg

Secondary

All lanes:

Goat anti-rabbit HRP conjugated at 1/2000 dilution

Predicted band size: 60 kDa

false

Western blot - Anti-PSIP1/LEDGF antibody [EPR11890] (AB177159)
  • WB

Lab

Western blot - Anti-PSIP1/LEDGF antibody [EPR11890] (AB177159)

Lanes 1-3 : Merged signal (red and green). Green - ab177159 observed at 75 kDa. Red - loading control ab8245 observed at 36 kDa.

ab177159 Anti-PSIP1/LEDGF antibody [EPR11890] was shown to specifically react with PSIP1/LEDGF in wild-type HEK293T cells. Loss of signal was observed when knockout cell line ab266464 (knockout cell lysate ab258144) was used. Wild-type and PSIP1/LEDGF knockout samples were subjected to SDS-PAGE. ab177159 and Anti-GAPDH antibody [6C5] - Loading Control (ab8245) were incubated at room temperature for 2.5 hours at 1 in 1000 dilution and 1 in 20000 dilution respectively. Blots were developed with Goat anti-Rabbit IgG H&L (IRDye® 800CW) preadsorbed (ab216773) and Goat anti-Mouse IgG H&L (IRDye® 680RD) preadsorbed (ab216776) secondary antibodies at 1 in 20000 dilution for 1 hour at room temperature before imaging.

All lanes:

Western blot - Anti-PSIP1/LEDGF antibody [EPR11890] (ab177159) at 1/1000 dilution

Lane 1:

Wild-type HEK293T cell lysate at 20 µg

Lane 2:

PSIP1 knockout HEK293T cell lysate at 20 µg

Lane 2:

Western blot - Human PSIP1 (LEDGF) knockout HEK-293T cell line (<a href='/en-us/products/cell-lines/human-psip1-ledgf-knockout-hek-293t-cell-line-ab266464'>ab266464</a>)

Lane 3:

Jurkat cell lysate at 20 µg

Secondary

All lanes:

Western blot - Goat anti-Rabbit IgG H&L (IRDye® 800CW) preadsorbed (<a href='/en-us/products/secondary-antibodies/goat-rabbit-igg-h-l-irdye-800cw-preadsorbed-ab216773'>ab216773</a>) at 1/10000 dilution

Predicted band size: 60 kDa

Observed band size: 75 kDa

false

  • Carrier free

    Anti-PSIP1/LEDGF antibody [EPR11890] - BSA and Azide free

Key facts

Host species

Rabbit

Clonality

Monoclonal

Clone number

EPR11890

Isotype

IgG

Carrier free

No

Reacts with

Human

Applications

IHC-P, ICC/IF, WB

applications

Immunogen

The exact immunogen used to generate this antibody is proprietary information.

Reactivity data

{ "title": "Reactivity Data", "filters": { "stats": ["", "Species", "Dilution Info", "Notes"], "tabs": { "all-applications": {"fullname" : "All Applications", "shortname": "All Applications"}, "IHCP" : {"fullname" : "Immunohistochemistry (Formalin/PFA-fixed paraffin-embedded sections)", "shortname":"IHC-P"}, "IP" : {"fullname" : "Immunoprecipitation", "shortname":"IP"}, "FlowCyt" : {"fullname" : "Flow Cytometry", "shortname":"Flow Cyt"}, "WB" : {"fullname" : "Western blot", "shortname":"WB"}, "ICCIF" : {"fullname" : "Immunocytochemistry/ Immunofluorescence", "shortname":"ICC/IF"} }, "product-promise": { "all": "all", "testedAndGuaranteed": "tested", "guaranteed": "expected", "predicted": "predicted", "notRecommended": "not-recommended" } }, "values": { "Human": { "IHCP-species-checked": "testedAndGuaranteed", "IHCP-species-dilution-info": "1/50 - 1/100", "IHCP-species-notes": "<p></p>", "IP-species-checked": "notRecommended", "IP-species-dilution-info": "", "IP-species-notes": "<p></p>", "FlowCyt-species-checked": "notRecommended", "FlowCyt-species-dilution-info": "", "FlowCyt-species-notes": "<p></p>", "WB-species-checked": "testedAndGuaranteed", "WB-species-dilution-info": "1/1000 - 1/10000", "WB-species-notes": "<p></p>", "ICCIF-species-checked": "testedAndGuaranteed", "ICCIF-species-dilution-info": "1/100 - 1/250", "ICCIF-species-notes": "<p></p>" }, "Mouse": { "IHCP-species-checked": "notRecommended", "IHCP-species-dilution-info": "1/50 - 1/100", "IHCP-species-notes": "<p></p>", "IP-species-checked": "notRecommended", "IP-species-dilution-info": "", "IP-species-notes": "<p></p>", "FlowCyt-species-checked": "notRecommended", "FlowCyt-species-dilution-info": "", "FlowCyt-species-notes": "<p></p>", "WB-species-checked": "notRecommended", "WB-species-dilution-info": "1/1000 - 1/10000", "WB-species-notes": "<p></p>", "ICCIF-species-checked": "notRecommended", "ICCIF-species-dilution-info": "1/100 - 1/250", "ICCIF-species-notes": "<p></p>" }, "Rat": { "IHCP-species-checked": "notRecommended", "IHCP-species-dilution-info": "1/50 - 1/100", "IHCP-species-notes": "<p></p>", "IP-species-checked": "notRecommended", "IP-species-dilution-info": "", "IP-species-notes": "<p></p>", "FlowCyt-species-checked": "notRecommended", "FlowCyt-species-dilution-info": "", "FlowCyt-species-notes": "<p></p>", "WB-species-checked": "notRecommended", "WB-species-dilution-info": "1/1000 - 1/10000", "WB-species-notes": "<p></p>", "ICCIF-species-checked": "notRecommended", "ICCIF-species-dilution-info": "1/100 - 1/250", "ICCIF-species-notes": "<p></p>" } } }

Product details

What is this antibody validated in?
Anti-PSIP1/LEDGF antibody [EPR11890] (ab177159) is a rabbit recombinant monoclonal antibody and is validated for use in Western Blot (WB), Immunohistochemistry (IHC-P), Immunocytochemistry/immunofluorescence (ICC/IF) in Human samples.

What is the molecular weight of PSIP1/LEDGF?
Anti-PSIP1/LEDGF [EPR11890] (ab177159) specifically detects a band for PSIP1/LEDGF (UniProt: O75475) at a molecular weight of 60kDa.

Trial sizes available!
Test your antibody or perform pre-screening before committing to a larger quantity. Sold in 10µl. Discover our selection of trial-size antibodies.

Specificity confirmed
The specificity of Anti-PSIP1/LEDGF antibody [EPR11890] (ab177159) has been confirmed by Western blot testing in PSIP1 Knockout HEK293T cell line, ab266464.

Other related products
We have a range of other formats of antibody clone [EPR11890] also available for your convenience: ab177159, Carrier free - ab249943

Patented technology
Our RabMAb® technology is a patented hybridoma-based technology for making rabbit monoclonal antibodies. For details on our patents, please refer to RabMAb® patents.

What are the advantages of a recombinant monoclonal antibody?
This product is a recombinant monoclonal antibody, which offers several advantages including:

  • - High batch-to-batch consistency and reproducibility
  • - Improved sensitivity and specificity
  • - Long-term security of supply
  • - Animal-free batch production

For more information, read more on recombinant antibodies.

Properties and storage information

Form
Liquid
Purity
Tissue culture supernatant
Storage buffer
pH: 7.2 - 7.4 Preservative: 0.01% Sodium azide Constituents: 50% Tissue culture supernatant, 40% Glycerol (glycerin, glycerine), 9% PBS, 0.05% BSA
Shipped at conditions
Blue Ice
Appropriate short-term storage duration
1-2 weeks
Appropriate short-term storage conditions
+4°C
Appropriate long-term storage conditions
-20°C
Aliquoting information
Upon delivery aliquot
Storage information
Avoid freeze / thaw cycle

Product protocols

For this product, it's our understanding that no specific protocols are required. You can visit:

Target data

Transcriptional coactivator involved in neuroepithelial stem cell differentiation and neurogenesis. Involved in particular in lens epithelial cell gene regulation and stress responses. May play an important role in lens epithelial to fiber cell terminal differentiation. May play a protective role during stress-induced apoptosis. Isoform 2 is a more general and stronger transcriptional coactivator. Isoform 2 may also act as an adapter to coordinate pre-mRNA splicing. Cellular cofactor for lentiviral integration.
See full target information PSIP1

Publications (1)

Recent publications for all applications. Explore the full list and refine your search

The Journal of biological chemistry 292:11951-11959 PubMed28546430

2017

Cross-talk between the H3K36me3 and H4K16ac histone epigenetic marks in DNA double-strand break repair.

Applications

Unspecified application

Species

Unspecified reactive species

Lin Li,Yinsheng Wang
View all publications

Product promise

We are committed to supporting your work with high-quality reagents, and we're here for you every step of the way. In the unlikely event that one of our products does not perform as expected, you're protected by our Product Promise.
For full details, please see our Terms & Conditions

Please note: All products are 'FOR RESEARCH USE ONLY. NOT FOR USE IN DIAGNOSTIC OR THERAPEUTIC PROCEDURES'.

For licensing inquiries, please contact partnerships@abcam.com