JavaScript is disabled in your browser. Please enable JavaScript to view this website.
AB226141

Anti-PSMA antibody [EPR6253] - BSA and Azide free

Be the first to review this product! Submit a review

|

(1 Publication)

Rabbit Recombinant Monoclonal PSMA antibody. Carrier free. Suitable for IHC-P, IP, WB and reacts with Human samples. Cited in 1 publication.

View Alternative Names

FOLH, NAALAD1, PSM, PSMA, GIG27, FOLH1, Glutamate carboxypeptidase 2, Cell growth-inhibiting gene 27 protein, Folate hydrolase 1, Folylpoly-gamma-glutamate carboxypeptidase, Glutamate carboxypeptidase II, Membrane glutamate carboxypeptidase, N-acetylated-alpha-linked acidic dipeptidase I, Prostate-specific membrane antigen, Pteroylpoly-gamma-glutamate carboxypeptidase, FGCP, GCPII, mGCP, NAALADase I

9 Images
Immunohistochemistry (Formalin/PFA-fixed paraffin-embedded sections) - Anti-PSMA antibody [EPR6253] - BSA and Azide free (AB226141)
  • IHC-P

Unknown

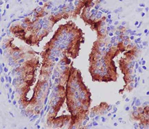
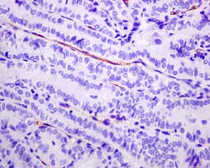
Immunohistochemistry (Formalin/PFA-fixed paraffin-embedded sections) - Anti-PSMA antibody [EPR6253] - BSA and Azide free (AB226141)

Unpurified ab133579 showing positive staining in Prostatic carcinoma tissue.

This data was developed using the same antibody clone in a different buffer formulation containing PBS, BSA, glycerol, and sodium azide (ab133579).

Perform heat mediated antigen retrieval before commencing with IHC staining protocol.

Immunohistochemistry (Formalin/PFA-fixed paraffin-embedded sections) - Anti-PSMA antibody [EPR6253] - BSA and Azide free (AB226141)
  • IHC-P

Unknown

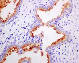
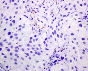
Immunohistochemistry (Formalin/PFA-fixed paraffin-embedded sections) - Anti-PSMA antibody [EPR6253] - BSA and Azide free (AB226141)

Unpurified ab133579 showing positive staining in Normal prostate tissue.

This data was developed using the same antibody clone in a different buffer formulation containing PBS, BSA, glycerol, and sodium azide (ab133579).

Perform heat mediated antigen retrieval before commencing with IHC staining protocol.

Immunohistochemistry (Formalin/PFA-fixed paraffin-embedded sections) - Anti-PSMA antibody [EPR6253] - BSA and Azide free (AB226141)
  • IHC-P

Lab

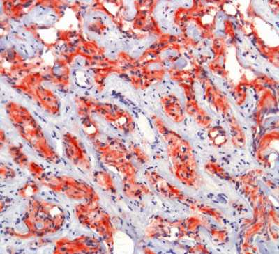
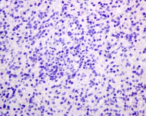
Immunohistochemistry (Formalin/PFA-fixed paraffin-embedded sections) - Anti-PSMA antibody [EPR6253] - BSA and Azide free (AB226141)

This IHC data was generated using the same anti-PSMA antibody clone, EPR6253, in a different buffer formulation (cat# ab133579).

Immunohistochemical staining of paraffin embedded human prostate cancer with purified ab133579 at a working dilution of 1 in 300. HRP polymer for rabbit IgG was used as the secondary antibody, and the sample was counter stained with hematoxylin.

Perform heat mediated antigen retrieval before commencing with IHC staining protocol.

Immunohistochemistry (Formalin/PFA-fixed paraffin-embedded sections) - Anti-PSMA antibody [EPR6253] - BSA and Azide free (AB226141)
  • IHC-P

Unknown

Immunohistochemistry (Formalin/PFA-fixed paraffin-embedded sections) - Anti-PSMA antibody [EPR6253] - BSA and Azide free (AB226141)

Unpurified ab133579 showing negative staining in Breast carcinoma tissue.

This data was developed using the same antibody clone in a different buffer formulation containing PBS, BSA, glycerol, and sodium azide (ab133579).

Perform heat mediated antigen retrieval before commencing with IHC staining protocol.

Immunoprecipitation - Anti-PSMA antibody [EPR6253] - BSA and Azide free (AB226141)
  • IP

Lab

Immunoprecipitation - Anti-PSMA antibody [EPR6253] - BSA and Azide free (AB226141)

This data was developed using the same antibody clone in a different buffer formulation containing PBS, BSA, glycerol, and sodium azide (ab133579).

Blocking and diluting buffer and concentration : 5% NFDM/TBST.

Secondary : HRP goat anti-rabbit (H+L), 1/1000 dilution

All lanes:

Immunoprecipitation - Anti-PSMA antibody [EPR6253] (<a href='/en-us/products/primary-antibodies/psma-antibody-epr6253-ab133579'>ab133579</a>) at 1/50 dilution

All lanes:

LNCaP

Secondary

All lanes:

HRP goat anti-rabbit (H+L) at 1/1000 dilution

Predicted band size: 84 kDa

Observed band size: 110 kDa

false

Western blot - Anti-PSMA antibody [EPR6253] - BSA and Azide free (AB226141)
  • WB

Supplier Data

Western blot - Anti-PSMA antibody [EPR6253] - BSA and Azide free (AB226141)

This data was developed using ab133579, the same antibody clone in a different buffer formulation.

Blocking and diluting buffer and concentration : 5% NFDM/TBST.

All lanes:

Western blot - Anti-PSMA antibody [EPR6253] (<a href='/en-us/products/primary-antibodies/psma-antibody-epr6253-ab133579'>ab133579</a>) at 1/50000 dilution

All lanes:

LnCap (human prostate carcinoma epithelial cell) whole cell lysate at 20 µg

Secondary

All lanes:

Western blot - Goat Anti-Rabbit IgG H&L (HRP) (<a href='/en-us/products/secondary-antibodies/goat-rabbit-igg-h-l-hrp-ab97051'>ab97051</a>) at 1/20000 dilution

Observed band size: 110 kDa

false

Exposure time: 40s

Immunohistochemistry (Formalin/PFA-fixed paraffin-embedded sections) - Anti-PSMA antibody [EPR6253] - BSA and Azide free (AB226141)
  • IHC-P

Unknown

Immunohistochemistry (Formalin/PFA-fixed paraffin-embedded sections) - Anti-PSMA antibody [EPR6253] - BSA and Azide free (AB226141)

Unpurified ab133579 showing negative staining in Thyroid gland carcinoma tissue.

This data was developed using the same antibody clone in a different buffer formulation containing PBS, BSA, glycerol, and sodium azide (ab133579).

Perform heat mediated antigen retrieval before commencing with IHC staining protocol.

Immunohistochemistry (Formalin/PFA-fixed paraffin-embedded sections) - Anti-PSMA antibody [EPR6253] - BSA and Azide free (AB226141)
  • IHC-P

Unknown

Immunohistochemistry (Formalin/PFA-fixed paraffin-embedded sections) - Anti-PSMA antibody [EPR6253] - BSA and Azide free (AB226141)

Unpurified ab133579 showing negative staining in Normal colon tissue.

This data was developed using the same antibody clone in a different buffer formulation containing PBS, BSA, glycerol, and sodium azide (ab133579).

Perform heat mediated antigen retrieval before commencing with IHC staining protocol.

Immunohistochemistry (Formalin/PFA-fixed paraffin-embedded sections) - Anti-PSMA antibody [EPR6253] - BSA and Azide free (AB226141)
  • IHC-P

Unknown

Immunohistochemistry (Formalin/PFA-fixed paraffin-embedded sections) - Anti-PSMA antibody [EPR6253] - BSA and Azide free (AB226141)

Unpurified ab133579 showing negative staining in Normal spleen tissue.

This data was developed using the same antibody clone in a different buffer formulation containing PBS, BSA, glycerol, and sodium azide (ab133579).

Perform heat mediated antigen retrieval before commencing with IHC staining protocol.

Key facts

Host species

Rabbit

Clonality

Monoclonal

Clone number

EPR6253

Isotype

IgG

Carrier free

Yes

Reacts with

Human

Applications

WB, IHC-P, IP

applications

Immunogen

The exact immunogen used to generate this antibody is proprietary information.

Reactivity data

{ "title": "Reactivity Data", "filters": { "stats": ["", "Species", "Dilution Info", "Notes"], "tabs": { "all-applications": {"fullname" : "All Applications", "shortname": "All Applications"}, "IHCP" : {"fullname" : "Immunohistochemistry (Formalin/PFA-fixed paraffin-embedded sections)", "shortname":"IHC-P"}, "IP" : {"fullname" : "Immunoprecipitation", "shortname":"IP"}, "FlowCyt" : {"fullname" : "Flow Cytometry", "shortname":"Flow Cyt"}, "WB" : {"fullname" : "Western blot", "shortname":"WB"}, "ICCIF" : {"fullname" : "Immunocytochemistry/ Immunofluorescence", "shortname":"ICC/IF"} }, "product-promise": { "all": "all", "testedAndGuaranteed": "tested", "guaranteed": "expected", "predicted": "predicted", "notRecommended": "not-recommended" } }, "values": { "Human": { "IHCP-species-checked": "testedAndGuaranteed", "IHCP-species-dilution-info": "", "IHCP-species-notes": "<p></p> Perform heat-mediated antigen retrieval before commencing with IHC staining protocol.", "IP-species-checked": "testedAndGuaranteed", "IP-species-dilution-info": "", "IP-species-notes": "<p></p>", "FlowCyt-species-checked": "notRecommended", "FlowCyt-species-dilution-info": "", "FlowCyt-species-notes": "<p></p>", "WB-species-checked": "testedAndGuaranteed", "WB-species-dilution-info": "", "WB-species-notes": "<p></p>", "ICCIF-species-checked": "notRecommended", "ICCIF-species-dilution-info": "", "ICCIF-species-notes": "<p></p>" } } }

Product details

ab226141 is the carrier-free version of ab133579.

Conjugation ready
Our carrier-free antibodies are typically supplied in a PBS-only formulation, purified and free of BSA, sodium azide and glycerol. This conjugation-ready format is designed for use with fluorochromes, metal isotopes, oligonucleotides, and enzymes, which makes them ideal for antibody labelling, functional and cell-based assays, flow-based assays (e.g. mass cytometry) and Multiplex Imaging applications.

Use our conjugation kits for antibody conjugates that are ready-to-use in as little as 20 minutes with 1 minute hands-on-time and 100% antibody recovery: available for fluorescent dyes, HRP, biotin and gold.

Compatibility
This product is compatible with the Maxpar® Antibody Labeling Kit from Fluidigm, without the need for antibody preparation. Maxpar® is a trademark of Fluidigm Canada Inc.

Properties and storage information

Form
Liquid
Purification technique
Affinity purification Protein A
Storage buffer
pH: 7.2 - 7.4 Constituents: PBS
Shipped at conditions
Blue Ice
Appropriate short-term storage conditions
+4°C
Appropriate long-term storage conditions
+4°C
Storage information
Do Not Freeze

Product protocols

For this product, it's our understanding that no specific protocols are required. You can visit:

Target data

Has both folate hydrolase and N-acetylated-alpha-linked-acidic dipeptidase (NAALADase) activity. Has a preference for tri-alpha-glutamate peptides. In the intestine, required for the uptake of folate. In the brain, modulates excitatory neurotransmission through the hydrolysis of the neuropeptide, N-aceylaspartylglutamate (NAAG), thereby releasing glutamate. Involved in prostate tumor progression.. Also exhibits a dipeptidyl-peptidase IV type activity. In vitro, cleaves Gly-Pro-AMC.
See full target information FOLH1

Publications (1)

Recent publications for all applications. Explore the full list and refine your search

Nature immunology 25:2152-2165 PubMed39438660

2024

A longitudinal single-cell atlas of anti-tumour necrosis factor treatment in inflammatory bowel disease.

Applications

Unspecified application

Species

Unspecified reactive species

Tom Thomas,Matthias Friedrich,Charlotte Rich-Griffin,Mathilde Pohin,Devika Agarwal,Julia Pakpoor,Carl Lee,Ruchi Tandon,Aniko Rendek,Dominik Aschenbrenner,Ashwin Jainarayanan,Alexandru Voda,Jacqueline H Y Siu,Raphael Sanches-Peres,Eloise Nee,Dharshan Sathananthan,Dylan Kotliar,Peter Todd,Maria Kiourlappou,Lisa Gartner,Nicholas Ilott,Fadi Issa,Joanna Hester,Jason Turner,Saba Nayar,Jonas Mackerodt,Fan Zhang,Anna Jonsson,Michael Brenner,Soumya Raychaudhuri,Ruth Kulicke,Danielle Ramsdell,Nicolas Stransky,Ray Pagliarini,Piotr Bielecki,Noah Spies,Brian Marsden,Stephen Taylor,Allon Wagner,Paul Klenerman,Alissa Walsh,Mark Coles,Luke Jostins-Dean,Fiona M Powrie,Andrew Filer,Simon Travis,Holm H Uhlig,Calliope A Dendrou,Christopher D Buckley
View all publications

Product promise

We are committed to supporting your work with high-quality reagents, and we're here for you every step of the way. In the unlikely event that one of our products does not perform as expected, you're protected by our Product Promise.
For full details, please see our Terms & Conditions

Please note: All products are 'FOR RESEARCH USE ONLY. NOT FOR USE IN DIAGNOSTIC OR THERAPEUTIC PROCEDURES'.

For licensing inquiries, please contact partnerships@abcam.com