JavaScript is disabled in your browser. Please enable JavaScript to view this website.
AB236158

Anti-PSMA4 antibody [EPR5831(2)] - BSA and Azide free

Be the first to review this product! Submit a review

|

(1 Publication)

Rabbit Recombinant Monoclonal PSMA4 antibody. Carrier free. Suitable for IP, WB, ICC/IF, IHC-P and reacts with Human, Mouse, Rat samples. Cited in 1 publication.

View Alternative Names

HC9, PSC9, PSMA4, Proteasome subunit alpha type-4, Macropain subunit C9, Multicatalytic endopeptidase complex subunit C9, Proteasome component C9, Proteasome subunit L, Proteasome subunit alpha-3, alpha-3

4 Images
Immunohistochemistry (Formalin/PFA-fixed paraffin-embedded sections) - Anti-PSMA4 antibody [EPR5831(2)] - BSA and Azide free (AB236158)
  • IHC-P

Supplier Data

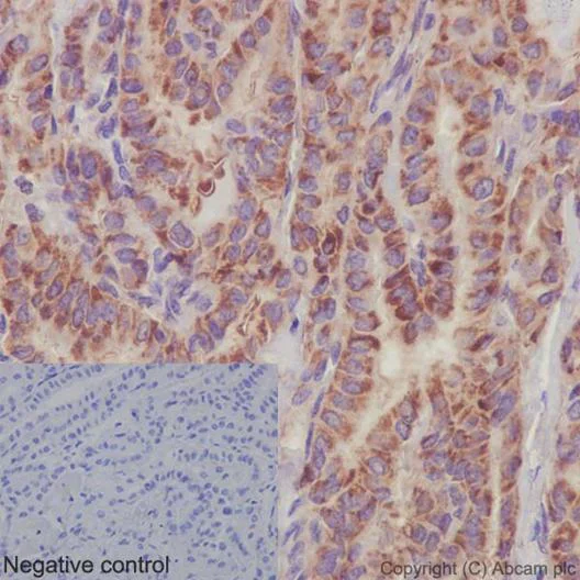
Immunohistochemistry (Formalin/PFA-fixed paraffin-embedded sections) - Anti-PSMA4 antibody [EPR5831(2)] - BSA and Azide free (AB236158)

Immunohistochemical analysis of paraffin-embedded, Human papillary adenocarcinoma of thyroid tissue labeling PSMA4 with ab191403 at a 1/2000 dilution (1μg/ml). Counter stained with hematoxylin. In the negative control PBS was used instead of primary antibody.

This data was developed using the same antibody clone in a different buffer formulation containing PBS, BSA, glycerol, and sodium azide (ab191403).

Heat mediated antigen retrieval was performed with Tris/EDTA buffer pH 9.0 before commencing with IHC staining protocol.

Immunocytochemistry/ Immunofluorescence - Anti-PSMA4 antibody [EPR5831(2)] - BSA and Azide free (AB236158)
  • ICC/IF

Supplier Data

Immunocytochemistry/ Immunofluorescence - Anti-PSMA4 antibody [EPR5831(2)] - BSA and Azide free (AB236158)

Immunofluorescence analysis of, paraformaldehyde-fixed, HeLa cells labeling PSMA4 with ab191403 at a 1/500 dilution ( 4 ug/ml). As secondary antibody goat anti-rabbit IgG (Alexa Fluor®488) ab150077 was used at a 1/200 dilution. In blue DAPI staining. In the negative controls cells were treated with anti-PSMA4 at a 1/500 dilution as primary antibody and goat anti-mouse IgG (Alexa Fluor®594) at a 1/400 dilution as secondary antibody.

This data was developed using the same antibody clone in a different buffer formulation containing PBS, BSA, glycerol, and sodium azide (ab191403).

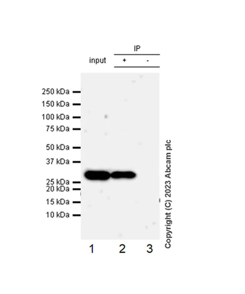
Immunoprecipitation - Anti-PSMA4 antibody [EPR5831(2)] - BSA and Azide free (AB236158)
  • IP

Lab

Immunoprecipitation - Anti-PSMA4 antibody [EPR5831(2)] - BSA and Azide free (AB236158)

This data was developed using the same antibody clone in a different buffer formulation containing PBS, BSA, glycerol, and sodium azide (ab191403). PSMA4 was immunoprecipitated from 0.35mg K-562 (human chronic myelogenous leukemia lymphoblast) whole cell lysate with ab191403 at 1/30 dilution (2µg in 0.35mg lysates). Western blot was performed on the immunoprecipitate using ab191403 at 1/1000 dilution. VeriBlot for IP secondary antibody(HRP)(ab131366) was used at 1/5000 dilution. Lane 1 : K-562 (human chronic myelogenous leukemia lymphoblast) whole cell lysate, 10µg Lane 2 : K-562 (human chronic myelogenous leukemia lymphoblast) whole cell lysate Lane 3 : Rabbit monoclonal IgG (ab172730) instead of ab191403 in K-562 whole cell lysate Blocking and dilution buffer and concentration : 5% NFDM/TBST. Observed MV : 29kDa. Exposure time : 180 seconds.

All lanes:

Immunoprecipitation - Anti-PSMA4 antibody [EPR5831(2)] (<a href='/en-us/products/primary-antibodies/psma4-antibody-epr58312-ab191403'>ab191403</a>) at 1/1000 dilution

Lane 1:

K-562 (human chronic myelogenous leukemia lymphoblast) whole cell lysate at 10 µg

Lane 2:

K-562 (human chronic myelogenous leukemia lymphoblast) whole cell lysate

Lane 3:

Rabbit monoclonal IgG (<a href='/en-us/products/primary-antibodies/rabbit-igg-monoclonal-epr25a-isotype-control-ab172730'>ab172730</a>) instead of <a href='/en-us/products/primary-antibodies/psma4-antibody-epr58312-ab191403'>ab191403</a> in K-562 whole cell lysate

Secondary

All lanes:

Immunoprecipitation - VeriBlot for IP Detection Reagent (HRP) (<a href='/en-us/products/reagents/veriblot-for-ip-detection-reagent-hrp-ab131366'>ab131366</a>) at 1/5000 dilution

Predicted band size: 29 kDa

Observed band size: 29 kDa

false

Exposure time: 180s

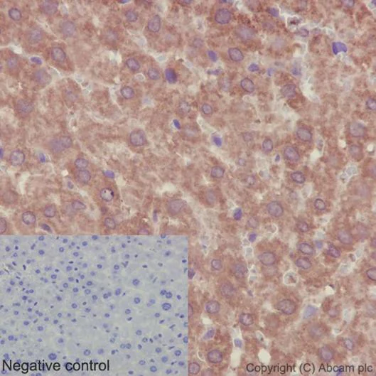
Immunohistochemistry (Formalin/PFA-fixed paraffin-embedded sections) - Anti-PSMA4 antibody [EPR5831(2)] - BSA and Azide free (AB236158)
  • IHC-P

Supplier Data

Immunohistochemistry (Formalin/PFA-fixed paraffin-embedded sections) - Anti-PSMA4 antibody [EPR5831(2)] - BSA and Azide free (AB236158)

Immunohistochemical analysis of paraffin-embedded, mouse liver tissue labeling PSMA4 with ab191403 at a 1/2000 dilution (1μg/ml). Counter stained with hematoxylin. In the negative control PBS was used instead of primary antibody.

This data was developed using the same antibody clone in a different buffer formulation containing PBS, BSA, glycerol, and sodium azide (ab191403).

Heat mediated antigen retrieval was performed with Tris/EDTA buffer pH 9.0 before commencing with IHC staining protocol.

Key facts

Host species

Rabbit

Clonality

Monoclonal

Clone number

EPR5831(2)

Isotype

IgG

Carrier free

Yes

Reacts with

Mouse, Rat, Human

Applications

IHC-P, IP, ICC/IF, WB

applications

Immunogen

The exact immunogen used to generate this antibody is proprietary information.

Reactivity data

{ "title": "Reactivity Data", "filters": { "stats": ["", "Species", "Dilution Info", "Notes"], "tabs": { "all-applications": {"fullname" : "All Applications", "shortname": "All Applications"}, "IP" : {"fullname" : "Immunoprecipitation", "shortname":"IP"}, "WB" : {"fullname" : "Western blot", "shortname":"WB"}, "ICCIF" : {"fullname" : "Immunocytochemistry/ Immunofluorescence", "shortname":"ICC/IF"}, "IHCP" : {"fullname" : "Immunohistochemistry (Formalin/PFA-fixed paraffin-embedded sections)", "shortname":"IHC-P"} }, "product-promise": { "all": "all", "testedAndGuaranteed": "tested", "guaranteed": "expected", "predicted": "predicted", "notRecommended": "not-recommended" } }, "values": { "Human": { "IP-species-checked": "testedAndGuaranteed", "IP-species-dilution-info": "", "IP-species-notes": "<p></p>", "WB-species-checked": "guaranteed", "WB-species-dilution-info": "", "WB-species-notes": "<p></p>", "ICCIF-species-checked": "testedAndGuaranteed", "ICCIF-species-dilution-info": "", "ICCIF-species-notes": "<p></p>", "IHCP-species-checked": "guaranteed", "IHCP-species-dilution-info": "", "IHCP-species-notes": "" }, "Mouse": { "IP-species-checked": "guaranteed", "IP-species-dilution-info": "", "IP-species-notes": "", "WB-species-checked": "guaranteed", "WB-species-dilution-info": "", "WB-species-notes": "<p></p>", "ICCIF-species-checked": "guaranteed", "ICCIF-species-dilution-info": "", "ICCIF-species-notes": "", "IHCP-species-checked": "testedAndGuaranteed", "IHCP-species-dilution-info": "", "IHCP-species-notes": "<p></p>" }, "Rat": { "IP-species-checked": "predicted", "IP-species-dilution-info": "", "IP-species-notes": "", "WB-species-checked": "guaranteed", "WB-species-dilution-info": "", "WB-species-notes": "<p></p>", "ICCIF-species-checked": "predicted", "ICCIF-species-dilution-info": "", "ICCIF-species-notes": "", "IHCP-species-checked": "predicted", "IHCP-species-dilution-info": "", "IHCP-species-notes": "" } } }

Product details

ab236158 is the carrier-free version of ab191403.

Patented technology
Our RabMAb® technology is a patented hybridoma-based technology for making rabbit monoclonal antibodies. For details on our patents, please refer to RabMAb® patents.

What are the advantages of a recombinant monoclonal antibody?
This product is a recombinant monoclonal antibody, which offers several advantages including:

  • - High batch-to-batch consistency and reproducibility
  • - Improved sensitivity and specificity
  • - Long-term security of supply
  • - Animal-free batch production

For more information, read more on recombinant antibodies.

Conjugation ready
Our carrier-free antibodies are typically supplied in a PBS-only formulation, purified and free of BSA, sodium azide and glycerol. This conjugation-ready format is designed for use with fluorochromes, metal isotopes, oligonucleotides, and enzymes, which makes them ideal for antibody labelling, functional and cell-based assays, flow-based assays (e.g. mass cytometry) and Multiplex Imaging applications.

Use our conjugation kits for antibody conjugates that are ready-to-use in as little as 20 minutes with 1 minute hands-on-time and 100% antibody recovery: available for fluorescent dyes, HRP, biotin and gold.

Compatibility
This product is compatible with the Maxpar® Antibody Labeling Kit from Fluidigm, without the need for antibody preparation. Maxpar® is a trademark of Fluidigm Canada Inc.

Properties and storage information

Form
Liquid
Purification technique
Affinity purification Protein A
Storage buffer
pH: 7.2 - 7.4 Constituents: PBS
Shipped at conditions
Blue Ice
Appropriate short-term storage conditions
+4°C
Appropriate long-term storage conditions
+4°C
Storage information
Do Not Freeze

Product protocols

For this product, it's our understanding that no specific protocols are required. You can visit:

Target data

Component of the 20S core proteasome complex involved in the proteolytic degradation of most intracellular proteins. This complex plays numerous essential roles within the cell by associating with different regulatory particles. Associated with two 19S regulatory particles, forms the 26S proteasome and thus participates in the ATP-dependent degradation of ubiquitinated proteins. The 26S proteasome plays a key role in the maintenance of protein homeostasis by removing misfolded or damaged proteins that could impair cellular functions, and by removing proteins whose functions are no longer required. Associated with the PA200 or PA28, the 20S proteasome mediates ubiquitin-independent protein degradation. This type of proteolysis is required in several pathways including spermatogenesis (20S-PA200 complex) or generation of a subset of MHC class I-presented antigenic peptides (20S-PA28 complex).
See full target information PSMA4

Publications (1)

Recent publications for all applications. Explore the full list and refine your search

Nature communications 13:7099 PubMed36402816

2022

The non-catalytic role of DNA polymerase epsilon in replication initiation in human cells.

Applications

Unspecified application

Species

Unspecified reactive species

Sameera Vipat,Dipika Gupta,Sagun Jonchhe,Hele Anderspuk,Eli Rothenberg,Tatiana N Moiseeva
View all publications

Product promise

We are committed to supporting your work with high-quality reagents, and we're here for you every step of the way. In the unlikely event that one of our products does not perform as expected, you're protected by our Product Promise.
For full details, please see our Terms & Conditions

Please note: All products are 'FOR RESEARCH USE ONLY. NOT FOR USE IN DIAGNOSTIC OR THERAPEUTIC PROCEDURES'.

For licensing inquiries, please contact partnerships@abcam.com