JavaScript is disabled in your browser. Please enable JavaScript to view this website.
AB196623

Anti-PSMB1 antibody

Be the first to review this product! Submit a review

|

(3 Publications)

Rabbit Polyclonal PSB1 antibody. Suitable for WB, IHC-P, ICC/IF and reacts with Human, Mouse, Rat samples. Cited in 3 publications. Immunogen corresponding to Recombinant Full Length Protein corresponding to Human PSMB1.

View Alternative Names

PSC5, PSMB1, Proteasome subunit beta type-1, Macropain subunit C5, Multicatalytic endopeptidase complex subunit C5, Proteasome component C5, Proteasome gamma chain, Proteasome subunit beta-6, beta-6

4 Images
Immunohistochemistry (Formalin/PFA-fixed paraffin-embedded sections) - Anti-PSMB1 antibody (AB196623)
  • IHC-P

Supplier Data

Immunohistochemistry (Formalin/PFA-fixed paraffin-embedded sections) - Anti-PSMB1 antibody (AB196623)

Immunohistochemical analysis of formalin fixed and paraffin embedded human breast cancer tissue labeling PSMB1 with ab196623 at a 1/200 dilution.

Immunocytochemistry/ Immunofluorescence - Anti-PSMB1 antibody (AB196623)
  • ICC/IF

Supplier Data

Immunocytochemistry/ Immunofluorescence - Anti-PSMB1 antibody (AB196623)

Immunofluorscence analysis of U20S cells labeling PSMB1 with ab196623 at 1/50 dilution (top panel).

Blue : DAPI for nuclear staining (bottom panel).

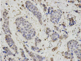
Immunohistochemistry (Formalin/PFA-fixed paraffin-embedded sections) - Anti-PSMB1 antibody (AB196623)
  • IHC-P

Supplier Data

Immunohistochemistry (Formalin/PFA-fixed paraffin-embedded sections) - Anti-PSMB1 antibody (AB196623)

Immunohistochemical analysis of formalin fixed and paraffin embedded rat testis labeling PSMB1 with ab196623 at a 1/200 dilution.

Western blot - Anti-PSMB1 antibody (AB196623)
  • WB

Supplier Data

Western blot - Anti-PSMB1 antibody (AB196623)

All lanes:

Western blot - Anti-PSMB1 antibody (ab196623) at 1/500 dilution

Lane 1:

MCF7 cell extract

Lane 2:

HL60 cell extract

Lane 3:

SW480 cell extract

Lane 4:

HepG2 cell extract

Lane 5:

SW620 cell extract

Lane 6:

K562 cell extract

Lane 7:

PC3 cell extract

Lane 8:

Mouse skeletal muscle cell extract

Lane 9:

Mouse liver cell extract

Predicted band size: 26 kDa

true

Key facts

Host species

Rabbit

Clonality

Polyclonal

Isotype

IgG

Carrier free

No

Reacts with

Mouse, Rat, Human

Applications

ICC/IF, WB, IHC-P

applications

Immunogen

Recombinant Full Length Protein corresponding to Human PSMB1.

P20618

Reactivity data

{ "title": "Reactivity Data", "filters": { "stats": ["", "Species", "Dilution Info", "Notes"], "tabs": { "all-applications": {"fullname" : "All Applications", "shortname": "All Applications"}, "WB" : {"fullname" : "Western blot", "shortname":"WB"}, "IHCP" : {"fullname" : "Immunohistochemistry (Formalin/PFA-fixed paraffin-embedded sections)", "shortname":"IHC-P"}, "ICCIF" : {"fullname" : "Immunocytochemistry/ Immunofluorescence", "shortname":"ICC/IF"} }, "product-promise": { "all": "all", "testedAndGuaranteed": "tested", "guaranteed": "expected", "predicted": "predicted", "notRecommended": "not-recommended" } }, "values": { "Human": { "WB-species-checked": "testedAndGuaranteed", "WB-species-dilution-info": "1/500 - 1/2000", "WB-species-notes": "<p></p>", "IHCP-species-checked": "testedAndGuaranteed", "IHCP-species-dilution-info": "1/50 - 1/100", "IHCP-species-notes": "<p></p>", "ICCIF-species-checked": "testedAndGuaranteed", "ICCIF-species-dilution-info": "1/50 - 1/200", "ICCIF-species-notes": "<p></p>" }, "Mouse": { "WB-species-checked": "testedAndGuaranteed", "WB-species-dilution-info": "1/500 - 1/2000", "WB-species-notes": "<p></p>", "IHCP-species-checked": "guaranteed", "IHCP-species-dilution-info": "", "IHCP-species-notes": "", "ICCIF-species-checked": "guaranteed", "ICCIF-species-dilution-info": "", "ICCIF-species-notes": "" }, "Rat": { "WB-species-checked": "guaranteed", "WB-species-dilution-info": "", "WB-species-notes": "", "IHCP-species-checked": "testedAndGuaranteed", "IHCP-species-dilution-info": "1/50 - 1/100", "IHCP-species-notes": "<p></p>", "ICCIF-species-checked": "guaranteed", "ICCIF-species-dilution-info": "", "ICCIF-species-notes": "" } } }

Properties and storage information

Form
Liquid
Purification technique
Affinity purification Immunogen
Storage buffer
pH: 7.4 Preservative: 0.02% Sodium azide Constituents: PBS, 50% Glycerol (glycerin, glycerine), 0.87% Sodium chloride
Shipped at conditions
Blue Ice
Appropriate short-term storage duration
1-2 weeks
Appropriate short-term storage conditions
+4°C
Appropriate long-term storage conditions
-20°C
Aliquoting information
Upon delivery aliquot
Storage information
Avoid freeze / thaw cycle

Supplementary information

This supplementary information is collated from multiple sources and compiled automatically.

PSMB1 also known as proteasome subunit beta type-1 or XAPC7 plays an important role in the proteasome a multicatalytic proteinase complex. The molecular weight of PSMB1 is approximately 26 kDa. PSMB1 expression occurs in various tissues suggesting its wide involvement in cellular processes. This subunit contributes to the proteolytic activity of the 20S core within the proteasome facilitating protein degradation which is essential for maintaining cellular homeostasis.
Biological function summary

PSMB1 functions as part of the proteasome's 20S core particle. This complex is responsible for most of the protein degradation in cells particularly targeting misfolded or damaged proteins for ubiquitin-mediated proteolysis. The breakdown of proteins is essential for cellular processes like cell cycle regulation and response to oxidative stress. PSMB1 also helps in the processing of antigens for presentation on MHC class I molecules influencing immune surveillance.

Pathways

PSMB1 involvement is significant in the ubiquitin-proteasome pathway a central pathway in protein catabolism. This pathway enables the cell to control protein levels and quality interacting closely with proteins such as ubiquitin and other proteasome subunits like PSMC2 or PSMA3. Additionally PSMB1 contributes to the regulation of the NF-kB signaling pathway which is important for immune and inflammatory responses by degrading inhibitors that keep NF-kB inactive.

PSMB1 has connections with cancer and neurodegenerative diseases like Alzheimer’s. Its role in protein degradation impacts the accumulation of dysfunctional proteins that characterize these diseases. Overexpression or mutation of PSMB1 may affect its interaction with other proteins like beta-amyloid in Alzheimer's or oncogenes in cancer which can lead to pathological states. Understanding PSMB1's function can aid in developing therapeutic strategies targeting proteostasis-related disorders.

Product protocols

For this product, it's our understanding that no specific protocols are required. You can visit:

Target data

Non-catalytic component of the 20S core proteasome complex involved in the proteolytic degradation of most intracellular proteins. This complex plays numerous essential roles within the cell by associating with different regulatory particles. Associated with two 19S regulatory particles, forms the 26S proteasome and thus participates in the ATP-dependent degradation of ubiquitinated proteins. The 26S proteasome plays a key role in the maintenance of protein homeostasis by removing misfolded or damaged proteins that could impair cellular functions, and by removing proteins whose functions are no longer required. Associated with the PA200 or PA28, the 20S proteasome mediates ubiquitin-independent protein degradation. This type of proteolysis is required in several pathways including spermatogenesis (20S-PA200 complex) or generation of a subset of MHC class I-presented antigenic peptides (20S-PA28 complex).
See full target information PSMB1

Publications (3)

Recent publications for all applications. Explore the full list and refine your search

Journal of virology 97:e0166022 PubMed36602366

2023

PSMB1 Inhibits the Replication of Porcine Reproductive and Respiratory Syndrome Virus by Recruiting NBR1 To Degrade Nonstructural Protein 12 by Autophagy.

Applications

Unspecified application

Species

Unspecified reactive species

Liwei Li,Yuanzhe Bai,Yanjun Zhou,Yifeng Jiang,Wu Tong,Guoxin Li,Haihong Zheng,Fei Gao,Guangzhi Tong

Science advances 8:eabj3725 PubMed35947672

2022

Primary specification of blastocyst trophectoderm by scRNA-seq: New insights into embryo implantation.

Applications

Unspecified application

Species

Unspecified reactive species

Dandan Liu,Yidong Chen,Yixin Ren,Peng Yuan,Nan Wang,Qiang Liu,Cen Yang,Zhiqiang Yan,Ming Yang,Jing Wang,Ying Lian,Jie Yan,Fan Zhai,Yanli Nie,Xiaohui Zhu,Yuan Chen,Rong Li,Hsun-Ming Chang,Peter C K Leung,Jie Qiao,Liying Yan

American journal of transplantation : official journal of the American Society of Transplantation and the American Society of Transplant Surgeons 20:399-410 PubMed31595669

2019

Proteasomal adaptations underlying carfilzomib-resistance in human bone marrow plasma cells.

Applications

Unspecified application

Species

Unspecified reactive species

E Steve Woodle,Simon Tremblay,Paul Brailey,Alin Girnita,Rita R Alloway,Bruce Aronow,Nupur Dasgupta,Frederic Ebstein,Peter-Michael Kloetzel,Min Jae Lee,Kyung B Kim,Harinder Singh,James J Driscoll
View all publications

Product promise

We are committed to supporting your work with high-quality reagents, and we're here for you every step of the way. In the unlikely event that one of our products does not perform as expected, you're protected by our Product Promise.
For full details, please see our Terms & Conditions

Please note: All products are 'FOR RESEARCH USE ONLY. NOT FOR USE IN DIAGNOSTIC OR THERAPEUTIC PROCEDURES'.

For licensing inquiries, please contact partnerships@abcam.com