JavaScript is disabled in your browser. Please enable JavaScript to view this website.
AB321797

Anti-PSMB5/MB1 antibody [EPR28990-5]

  • BOND RX™ Validated
  • 20ul selling size
  • Recombinant
  • RabMAb
  • What is this?

Be the first to review this product! Submit a review

|

(0 Publication)

Rabbit Recombinant Monoclonal PSMB5/MB1 antibody. Suitable for ICC/IF, WB, IHC-P and reacts with Human, Mouse samples.

View Alternative Names

LMPX, MB1, X, PSMB5, Proteasome subunit beta type-5, Macropain epsilon chain, Multicatalytic endopeptidase complex epsilon chain, Proteasome chain 6, Proteasome epsilon chain, Proteasome subunit MB1, Proteasome subunit X, Proteasome subunit beta-5, beta-5

12 Images
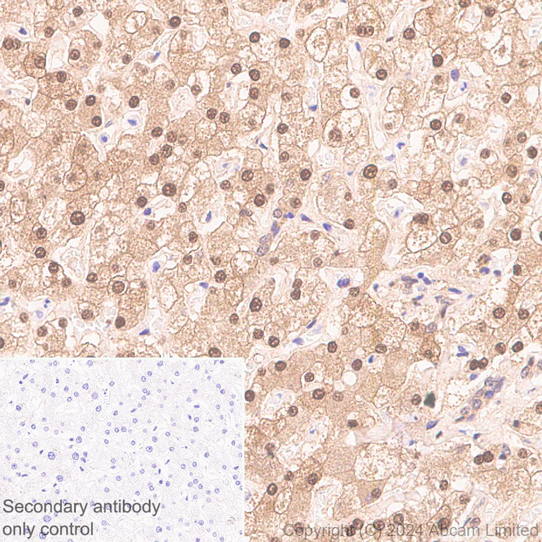
Immunohistochemistry (Formalin/PFA-fixed paraffin-embedded sections) - Anti-PSMB5/MB1 antibody [EPR28990-5] (AB321797)
  • IHC-P

Supplier Data

Immunohistochemistry (Formalin/PFA-fixed paraffin-embedded sections) - Anti-PSMB5/MB1 antibody [EPR28990-5] (AB321797)

Immunohistochemical analysis of paraffin-embedded Human liver cancer tissue labeling PSMB5/MB1 with ab321797 at 1/8000 (0.063 ug/ml) dilution followed by a ready to use LeicaDS9800 (Bond™ Polymer Refine Detection).

Positive staining on human liver cancer.
The section was incubated with ab321797 for 30 mins at room temperature.
The immunostaining was performed on a Leica Biosystems BOND® RX instrument
Incubate slides with 3% Hydrogen Peroxide for 10 mins at room temperature after secondary antibody incubation to reduce the background.

Counterstained with Hematoxylin.

Secondary antibody only control : Secondary antibody is a ready to use LeicaDS9800 (Bond™ Polymer Refine Detection).

Heat mediated antigen retrieval was performed with Citrate buffer (pH 6.0 Epitope Retrieval Solution 1) for 20 mins

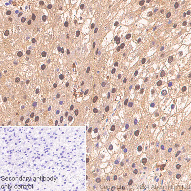
Immunohistochemistry (Formalin/PFA-fixed paraffin-embedded sections) - Anti-PSMB5/MB1 antibody [EPR28990-5] (AB321797)
  • IHC-P

Supplier Data

Immunohistochemistry (Formalin/PFA-fixed paraffin-embedded sections) - Anti-PSMB5/MB1 antibody [EPR28990-5] (AB321797)

Immunohistochemical analysis of paraffin-embedded Human liver tissue labeling PSMB5/MB1 with ab321797 at 1/8000 (0.063 ug/ml) dilution followed by a ready to use LeicaDS9800 (Bond™ Polymer Refine Detection).

Positive staining on human liver.
The section was incubated with ab321797 for 30 mins at room temperature.
The immunostaining was performed on a Leica Biosystems BOND® RX instrument
Incubate slides with 3% Hydrogen Peroxide for 10 mins at room temperature after secondary antibody incubation to reduce the background.

Counterstained with Hematoxylin.

Secondary antibody only control : Secondary antibody is a ready to use LeicaDS9800 (Bond™ Polymer Refine Detection).

Heat mediated antigen retrieval was performed with Citrate buffer (pH 6.0 Epitope Retrieval Solution 1) for 20 mins

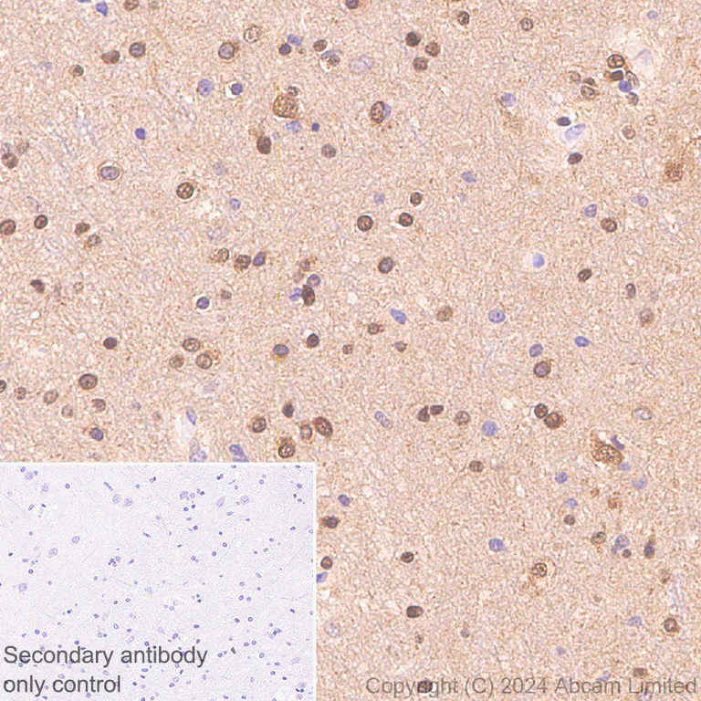
Immunohistochemistry (Formalin/PFA-fixed paraffin-embedded sections) - Anti-PSMB5/MB1 antibody [EPR28990-5] (AB321797)
  • IHC-P

Supplier Data

Immunohistochemistry (Formalin/PFA-fixed paraffin-embedded sections) - Anti-PSMB5/MB1 antibody [EPR28990-5] (AB321797)

Immunohistochemical analysis of paraffin-embedded Human cerebrum tissue labeling PSMB5/MB1 with ab321797 at 1/8000 (0.063 ug/ml) dilution followed by a ready to use LeicaDS9800 (Bond™ Polymer Refine Detection).

Positive staining on human cerebrum (PMID : 38469354).
The section was incubated with ab321797 for 30 mins at room temperature.
The immunostaining was performed on a Leica Biosystems BOND® RX instrument
Incubate slides with 3% Hydrogen Peroxide for 10 mins at room temperature after secondary antibody incubation to reduce the background.

Counterstained with Hematoxylin.

Secondary antibody only control : Secondary antibody is a ready to use LeicaDS9800 (Bond™ Polymer Refine Detection).

Heat mediated antigen retrieval was performed with Citrate buffer (pH 6.0 Epitope Retrieval Solution 1) for 20 mins

Immunocytochemistry/ Immunofluorescence - Anti-PSMB5/MB1 antibody [EPR28990-5] (AB321797)
  • ICC/IF

Supplier Data

Immunocytochemistry/ Immunofluorescence - Anti-PSMB5/MB1 antibody [EPR28990-5] (AB321797)

Immunofluorescent analysis of 4% Paraformaldehyde-fixed 0.1% TritonX-100 permeabilized HeLa (human cervical adenocarcinoma epithelial cell) cells labelling PSMB5/MB1 with ab321797 at 1/100 (5.06 ug/ml) dilution followed by ab150081 Goat Anti-Rabbit IgG H&L (Alexa Fluor® 488) preadsorbed antibody at 1/1000 2 ug/mL dilution (Green).

Confocal image showing mainly nuclear staining in HeLa cell line (shown in green). The counterstain was observed in magenta. Nuclear DNA was labelled with DAPI (shown in blue). Image was taken with a confocal microscope (Leica-Microsystems TCS SP8).

ab195889 Anti-alpha Tubulin mouse monoclonal antibody - Microtubule Marker (Alexa Fluor® 594) was used to counterstain tubulin at 1/200 2.5ug/ml dilution (Magenta). The Nuclear counterstain was DAPI (Blue).

Secondary antibody only control : Secondary antibody is ab150081 Goat Anti-Rabbit IgG H&L (Alexa Fluor® 488) preadsorbed at 1/1000 2 ug/mL dilution.

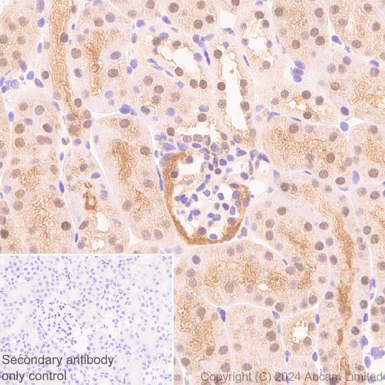
Immunohistochemistry (Formalin/PFA-fixed paraffin-embedded sections) - Anti-PSMB5/MB1 antibody [EPR28990-5] (AB321797)
  • IHC-P

Supplier Data

Immunohistochemistry (Formalin/PFA-fixed paraffin-embedded sections) - Anti-PSMB5/MB1 antibody [EPR28990-5] (AB321797)

Immunohistochemical analysis of paraffin-embedded Human kidney tissue labeling PSMB5/MB1 with ab321797 at 1/8000 (0.063 ug/ml) dilution followed by a ready to use LeicaDS9800 (Bond™ Polymer Refine Detection).

Positive staining on human kidney (PMID : 35693739).
The section was incubated with ab321797 for 30 mins at room temperature.
The immunostaining was performed on a Leica Biosystems BOND® RX instrument
Incubate slides with 3% Hydrogen Peroxide for 10 mins at room temperature after secondary antibody incubation to reduce the background.

Counterstained with Hematoxylin.

Secondary antibody only control : Secondary antibody is a ready to use LeicaDS9800 (Bond™ Polymer Refine Detection).

Heat mediated antigen retrieval was performed with Citrate buffer (pH 6.0 Epitope Retrieval Solution 1) for 20 mins

Immunohistochemistry (Formalin/PFA-fixed paraffin-embedded sections) - Anti-PSMB5/MB1 antibody [EPR28990-5] (AB321797)
  • IHC-P

Supplier Data

Immunohistochemistry (Formalin/PFA-fixed paraffin-embedded sections) - Anti-PSMB5/MB1 antibody [EPR28990-5] (AB321797)

Immunohistochemical analysis of paraffin-embedded Mouse kidney tissue labeling PSMB5/MB1 with ab321797 at 1/8000 (0.063 ug/ml) dilution followed by a ready to use LeicaDS9800 (Bond™ Polymer Refine Detection).

Positive staining on mouse kidney.
The section was incubated with ab321797 for 30 mins at room temperature.
The immunostaining was performed on a Leica Biosystems BOND® RX instrument
Incubate slides with 3% Hydrogen Peroxide for 10 mins at room temperature after secondary antibody incubation to reduce the background.

Counterstained with Hematoxylin.

Secondary antibody only control : Secondary antibody is a ready to use LeicaDS9800 (Bond™ Polymer Refine Detection).

Heat mediated antigen retrieval was performed with Citrate buffer (pH 6.0 Epitope Retrieval Solution 1) for 20 mins

Immunohistochemistry (Formalin/PFA-fixed paraffin-embedded sections) - Anti-PSMB5/MB1 antibody [EPR28990-5] (AB321797)
  • IHC-P

Supplier Data

Immunohistochemistry (Formalin/PFA-fixed paraffin-embedded sections) - Anti-PSMB5/MB1 antibody [EPR28990-5] (AB321797)

Immunohistochemical analysis of paraffin-embedded Mouse liver cancer tissue labeling PSMB5/MB1 with ab321797 at 1/8000 (0.063 ug/ml) dilution followed by a ready to use LeicaDS9800 (Bond™ Polymer Refine Detection).

Positive staining on mouse liver cancer.
The section was incubated with ab321797 for 30 mins at room temperature.
The immunostaining was performed on a Leica Biosystems BOND® RX instrument
Incubate slides with 3% Hydrogen Peroxide for 10 mins at room temperature after secondary antibody incubation to reduce the background.

Counterstained with Hematoxylin.

Secondary antibody only control : Secondary antibody is a ready to use LeicaDS9800 (Bond™ Polymer Refine Detection).

Heat mediated antigen retrieval was performed with Citrate buffer (pH 6.0 Epitope Retrieval Solution 1) for 20 mins

Immunohistochemistry (Formalin/PFA-fixed paraffin-embedded sections) - Anti-PSMB5/MB1 antibody [EPR28990-5] (AB321797)
  • IHC-P

Supplier Data

Immunohistochemistry (Formalin/PFA-fixed paraffin-embedded sections) - Anti-PSMB5/MB1 antibody [EPR28990-5] (AB321797)

Immunohistochemical analysis of paraffin-embedded Mouse liver tissue labeling PSMB5/MB1 with ab321797 at 1/8000 (0.063 ug/ml) dilution followed by a ready to use LeicaDS9800 (Bond™ Polymer Refine Detection).

Positive staining on mouse liver.
The section was incubated with ab321797 for 30 mins at room temperature.
The immunostaining was performed on a Leica Biosystems BOND® RX instrument
Incubate slides with 3% Hydrogen Peroxide for 10 mins at room temperature after secondary antibody incubation to reduce the background.

Counterstained with Hematoxylin.

Secondary antibody only control : Secondary antibody is a ready to use LeicaDS9800 (Bond™ Polymer Refine Detection).

Heat mediated antigen retrieval was performed with Citrate buffer (pH 6.0 Epitope Retrieval Solution 1) for 20 mins

Immunohistochemistry (Formalin/PFA-fixed paraffin-embedded sections) - Anti-PSMB5/MB1 antibody [EPR28990-5] (AB321797)
  • IHC-P

Supplier Data

Immunohistochemistry (Formalin/PFA-fixed paraffin-embedded sections) - Anti-PSMB5/MB1 antibody [EPR28990-5] (AB321797)

Immunohistochemical analysis of paraffin-embedded Mouse cerebrum tissue labeling PSMB5/MB1 with ab321797 at 1/8000 (0.063 ug/ml) dilution followed by a ready to use LeicaDS9800 (Bond™ Polymer Refine Detection).

Positive staining on mouse cerebrum.
The section was incubated with ab321797 for 30 mins at room temperature.
The immunostaining was performed on a Leica Biosystems BOND® RX instrument
Incubate slides with 3% Hydrogen Peroxide for 10 mins at room temperature after secondary antibody incubation to reduce the background.

Counterstained with Hematoxylin.

Secondary antibody only control : Secondary antibody is a ready to use LeicaDS9800 (Bond™ Polymer Refine Detection).

Heat mediated antigen retrieval was performed with Citrate buffer (pH 6.0 Epitope Retrieval Solution 1) for 20 mins

Western blot - Anti-PSMB5/MB1 antibody [EPR28990-5] (AB321797)
  • WB

Supplier Data

Western blot - Anti-PSMB5/MB1 antibody [EPR28990-5] (AB321797)

Blocking and diluting buffer and concentration : 5% NFDM/TBST.

The primary band at 28 kDa in lane 1 may be the precursor form of PSMB5/MB1.

The identity of the band higher than 22 kDa in lanes 4-5 is unknown.

The identity of the band lower than 22 kDa in lanes 1 is unknown

Lanes 1-2 are applied with Goat Anti-Rabbit IgG (HRP) with minimal cross-reactivity with human IgG at 1/2000 and lane 3-6 are applied with Goat Anti-Rabbit IgG, (H+L), Peroxidase conjugated (ab97051) at 1/100000.

Exposure time : Lanes 1-2 : 6 seconds; Lanes 3-6 : 26 seconds

All lanes:

Western blot - Anti-PSMB5/MB1 antibody [EPR28990-5] (ab321797) at 1/1000 dilution

Lane 1:

Human testis tissue lysate at 20 µg

Lane 2:

Human lung tissue lysate at 20 µg

Lane 3:

Mouse liver tissue lysate at 20 µg

Lane 4:

Mouse kidney tissue lysate at 20 µg

Lane 5:

Mouse testis tissue lysate at 20 µg

Lane 6:

Mouse lung tissue lysate at 20 µg

Secondary

Lanes 1 - 2:

Goat Anti-Rabbit IgG (HRP) with minimal cross-reactivity with human IgG at 1/2000 dilution

Lanes 3 - 6:

Western blot - Goat Anti-Rabbit IgG H&L (HRP) (<a href='/en-us/products/secondary-antibodies/goat-rabbit-igg-h-l-hrp-ab97051'>ab97051</a>) at 1/100000 dilution

Observed band size: 22 kDa

false

Western blot - Anti-PSMB5/MB1 antibody [EPR28990-5] (AB321797)
  • WB

Supplier Data

Western blot - Anti-PSMB5/MB1 antibody [EPR28990-5] (AB321797)

Blocking and diluting buffer and concentration : 5% NFDM/TBST.

The primary band at 28 kDa in lane 3 may be the precursor form of PSMB5/MB1.

All lanes:

Western blot - Anti-PSMB5/MB1 antibody [EPR28990-5] (ab321797) at 1/1000 dilution

Lane 1:

DU 145 (human prostate carcinoma epithelial cell) whole cell lysate at 20 µg

Lane 2:

LNCaP (human prostate carcinoma epithelial cell) whole cell lysate at 20 µg

Lane 3:

K-562 (human chronic myelogenous leukemia lymphoblast) whole cell lysate at 20 µg

Lane 4:

A-498 (human kidney epithelial cell) whole cell lysate at 20 µg

Lane 5:

MCF7 (human breast adenocarcinoma epithelial cell) whole cell lysate at 20 µg

Lane 6:

T-47D (human ductal breast epithelial tumor epithelial cell) whole cell lysate at 20 µg

Lane 7:

Neuro-2a (mouse neuroblastoma neuroblast) whole cell lysate at 20 µg

Lane 8:

NIH/3T3 (mouse embryonic fibroblast) whole cell lysate at 20 µg

Lane 9:

MEF (mouse embryo fibroblast) whole cell lysate at 20 µg

Secondary

All lanes:

Western blot - Goat Anti-Rabbit IgG H&L (HRP) (<a href='/en-us/products/secondary-antibodies/goat-rabbit-igg-h-l-hrp-ab97051'>ab97051</a>) at 1/100000 dilution

Observed band size: 22 kDa

false

Exposure time: 26s

Western blot - Anti-PSMB5/MB1 antibody [EPR28990-5] (AB321797)
  • WB

Supplier Data

Western blot - Anti-PSMB5/MB1 antibody [EPR28990-5] (AB321797)

Blocking and diluting buffer and concentration : 5% NFDM/TBST.

The expression of PSMB5/MB1 is down-regulated in response to IFN gamma treatment (PMID : 8066462, PMID : 8663318 ).

In Western blot, Anti-GAPDH antibody [EPR16891] - Loading Control (ab181602) staining at 1/200000 dilution.

All lanes:

Western blot - Anti-PSMB5/MB1 antibody [EPR28990-5] (ab321797) at 1/1000 dilution

Lane 1:

HeLa (human cervical adenocarcinoma epithelial cell) transfected with scrambled siRNA control whole cell lysate at 20 µg

Lane 2:

HeLa transfected with siRNA specifically targeting PSMB5/MB1 whole cell lysate at 20 µg

Lane 3:

Untreated HeLa (human cervical adenocarcinoma epithelial cell) whole cell lysate at 20 µg

Lane 4:

HeLa treated with 100 ng/ml IFN gamma for 72 hours whole cell lysate at 20 µg

Secondary

All lanes:

Western blot - Goat Anti-Rabbit IgG H&L (HRP) (<a href='/en-us/products/secondary-antibodies/goat-rabbit-igg-h-l-hrp-ab97051'>ab97051</a>) at 1/100000 dilution

Observed band size: 22 kDa,36 kDa

false

Exposure time: 10s

Key facts

Host species

Rabbit

Clonality

Monoclonal

Clone number

EPR28990-5

Isotype

IgG

Carrier free

No

Reacts with

Human, Mouse

Applications

ICC/IF, WB, IHC-P

applications

Immunogen

The exact immunogen used to generate this antibody is proprietary information.

Specificity

Unsuitable for mouse ICC

Reactivity data

{ "title": "Reactivity Data", "filters": { "stats": ["", "Species", "Dilution Info", "Notes"], "tabs": { "all-applications": {"fullname" : "All Applications", "shortname": "All Applications"}, "ICCIF" : {"fullname" : "Immunocytochemistry/ Immunofluorescence", "shortname":"ICC/IF"}, "WB" : {"fullname" : "Western blot", "shortname":"WB"}, "IHCP" : {"fullname" : "Immunohistochemistry (Formalin/PFA-fixed paraffin-embedded sections)", "shortname":"IHC-P"} }, "product-promise": { "all": "all", "testedAndGuaranteed": "tested", "guaranteed": "expected", "predicted": "predicted", "notRecommended": "not-recommended" } }, "values": { "Human": { "ICCIF-species-checked": "testedAndGuaranteed", "ICCIF-species-dilution-info": "1/100", "ICCIF-species-notes": "<p></p>", "WB-species-checked": "testedAndGuaranteed", "WB-species-dilution-info": "1/1000", "WB-species-notes": "<p></p>", "IHCP-species-checked": "testedAndGuaranteed", "IHCP-species-dilution-info": "1/8000", "IHCP-species-notes": "<p></p> Perform heat-mediated antigen retrieval with citrate buffer pH 6 before commencing with IHC staining protocol." }, "Mouse": { "ICCIF-species-checked": "notRecommended", "ICCIF-species-dilution-info": "", "ICCIF-species-notes": "<p></p>", "WB-species-checked": "testedAndGuaranteed", "WB-species-dilution-info": "1/1000", "WB-species-notes": "<p></p>", "IHCP-species-checked": "testedAndGuaranteed", "IHCP-species-dilution-info": "1/8000", "IHCP-species-notes": "<p></p> Perform heat-mediated antigen retrieval with citrate buffer pH 6 before commencing with IHC staining protocol." } } }

Product details

Patented technology
Our RabMAb® technology is a patented hybridoma-based technology for making rabbit monoclonal antibodies. For details on our patents, please refer to RabMAb® patents.

What are the advantages of a recombinant monoclonal antibody?
This product is a recombinant monoclonal antibody, which offers several advantages including:

  • - High batch-to-batch consistency and reproducibility
  • - Improved sensitivity and specificity
  • - Long-term security of supply
  • - Animal-free batch production

For more information, read more on recombinant antibodies.

Properties and storage information

Form
Liquid
Purification technique
Affinity purification Protein A
Storage buffer
pH: 7.2 - 7.4 Preservative: 0.01% Sodium azide Constituents: PBS, 40% Glycerol (glycerin, glycerine), 0.05% BSA
Shipped at conditions
Blue Ice
Appropriate short-term storage duration
1-2 weeks
Appropriate short-term storage conditions
+4°C
Appropriate long-term storage conditions
-20°C
Aliquoting information
Upon delivery aliquot
Storage information
Avoid freeze / thaw cycle

Supplementary information

This supplementary information is collated from multiple sources and compiled automatically.

PSMB5 also known as MB1 or β5 is a subunit of the 20S proteasome complex with a molecular mass of approximately 28 kDa. This protein functions as a chymotrypsin-like peptidase that is important for protein degradation. It is expressed in various tissues throughout the body particularly in those with high protein turnover.
Biological function summary

PSMB5 plays a significant role in regulating protein homeostasis within the cell. It forms part of the core 20S proteasome complex where its enzymatic activity facilitates the breakdown of ubiquitinated proteins into smaller peptides. This protein degradation is essential for many cellular processes including the removal of damaged or misfolded proteins therefore maintaining cellular function.

Pathways

PSMB5 is integral to the ubiquitin-proteasome pathway which is important for protein recycling and quality control within cells. This pathway involves the tagging of proteins with ubiquitin and their subsequent degradation by the proteasome. PSMB5 interacts with other proteasome subunits like β1 and β2 contributing to a functional protein breakdown machinery. Dysregulation of this pathway can lead to the accumulation of unwanted proteins and affect cellular health.

Alterations in PSMB5 function have been implicated in the development of cancer and neurodegenerative diseases. Cancer cells often exhibit altered proteasome activity where PSMB5 may contribute to the survival and proliferation of these cells. In neurodegenerative diseases like Alzheimer's impairments in protein degradation pathways including PSMB5 can lead to protein aggregation and toxicity. Researchers are exploring how PSMB5 interacts with other proteins within these contexts to better understand its potential as a therapeutic target.

Product protocols

For this product, it's our understanding that no specific protocols are required. You can visit:

Target data

Component of the 20S core proteasome complex involved in the proteolytic degradation of most intracellular proteins. This complex plays numerous essential roles within the cell by associating with different regulatory particles. Associated with two 19S regulatory particles, forms the 26S proteasome and thus participates in the ATP-dependent degradation of ubiquitinated proteins. The 26S proteasome plays a key role in the maintenance of protein homeostasis by removing misfolded or damaged proteins that could impair cellular functions, and by removing proteins whose functions are no longer required. Associated with the PA200 or PA28, the 20S proteasome mediates ubiquitin-independent protein degradation. This type of proteolysis is required in several pathways including spermatogenesis (20S-PA200 complex) or generation of a subset of MHC class I-presented antigenic peptides (20S-PA28 complex). Within the 20S core complex, PSMB5 displays a chymotrypsin-like activity.
See full target information PSMB5

Product promise

We are committed to supporting your work with high-quality reagents, and we're here for you every step of the way. In the unlikely event that one of our products does not perform as expected, you're protected by our Product Promise.
For full details, please see our Terms & Conditions

Please note: All products are 'FOR RESEARCH USE ONLY. NOT FOR USE IN DIAGNOSTIC OR THERAPEUTIC PROCEDURES'.

For licensing inquiries, please contact partnerships@abcam.com