JavaScript is disabled in your browser. Please enable JavaScript to view this website.
AB240208

Anti-PSMC5 antibody [EPR13565(B)] - BSA and Azide free

Be the first to review this product! Submit a review

|

(0 Publication)

Rabbit Recombinant Monoclonal PSMC5 antibody. Carrier free. Suitable for IP, WB, IHC-P, ICC/IF, Flow Cyt (Intra) and reacts with Human, Mouse, Rat samples.

View Alternative Names

SUG1, PSMC5, 26S proteasome regulatory subunit 8, 26S proteasome AAA-ATPase subunit RPT6, Proteasome 26S subunit ATPase 5, Proteasome subunit p45, Thyroid hormone receptor-interacting protein 1, p45/SUG, TRIP1

10 Images
Immunohistochemistry (Formalin/PFA-fixed paraffin-embedded sections) - Anti-PSMC5 antibody [EPR13565(B)] - BSA and Azide free (AB240208)
  • IHC-P

Supplier Data

Immunohistochemistry (Formalin/PFA-fixed paraffin-embedded sections) - Anti-PSMC5 antibody [EPR13565(B)] - BSA and Azide free (AB240208)

Immunohistochemical analysis of paraffin-embedded Human thyroid carcinoma tissue labeling PSMC5 with unpurified ab178681 at 1/50 dilution.

This data was developed using the same antibody clone in a different buffer formulation containing PBS, BSA, glycerol, and sodium azide (ab178681).

Immunohistochemistry (Formalin/PFA-fixed paraffin-embedded sections) - Anti-PSMC5 antibody [EPR13565(B)] - BSA and Azide free (AB240208)
  • IHC-P

Unknown

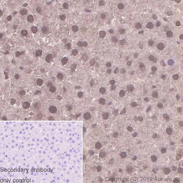
Immunohistochemistry (Formalin/PFA-fixed paraffin-embedded sections) - Anti-PSMC5 antibody [EPR13565(B)] - BSA and Azide free (AB240208)

Immunohistochemistry (Formalin/PFA-fixed paraffin-embedded sections) analysis of mouse liver tissue sections labeling PSMC5 with Purified ab178681 at 1/2000 dilution (0.43 μg/ml). Heat mediated antigen retrieval was performed using Bond™ Epitope Retrieval Solution 2 (pH 9.0). Rabbit specific IHC polymer detection kit HRP/DAB (ab209101) was used as the secondary antibody. Negative control : PBS instead of the primary antibody. Hematoxylin was used as a counterstain.
This data was developed using the same antibody clone in a different buffer formulation containing PBS, BSA, glycerol, and sodium azide (ab178681)

Immunocytochemistry/ Immunofluorescence - Anti-PSMC5 antibody [EPR13565(B)] - BSA and Azide free (AB240208)
  • ICC/IF

Unknown

Immunocytochemistry/ Immunofluorescence - Anti-PSMC5 antibody [EPR13565(B)] - BSA and Azide free (AB240208)

Immunocytochemistry/ Immunofluorescence analysis of HeLa (Human cervix adenocarcinoma epithelial cell) cells labeling PSMC5 with Purifiedab178681 at 1/500 dilution (1.7 µg/ml). Cells were fixed in 4% Paraformaldehyde and permeabilized with 0.1% tritonX-100. Cells were counterstained with ab195889 Anti-alpha Tubulin antibody [DM1A] - Microtubule Marker (Alexa Fluor® 594) 1/200 (2.5 µg/ml). Goat anti rabbit IgG (Alexa Fluor® 488, ab150077) was used as the secondary antibody at 1/1000 (2 µg/ml) dilution. DAPI (blue) was used as nuclear counterstain. PBS instead of the primary antibody was used as the secondary antibody only control.
This data was developed using the same antibody clone in a different buffer formulation containing PBS, BSA, glycerol, and sodium azide (anti psmc5 antibody epr13565 b immunocytochemistry hela human)

Flow Cytometry (Intracellular) - Anti-PSMC5 antibody [EPR13565(B)] - BSA and Azide free (AB240208)
  • Flow Cyt (Intra)

Unknown

Flow Cytometry (Intracellular) - Anti-PSMC5 antibody [EPR13565(B)] - BSA and Azide free (AB240208)

Intracellular Flow Cytometry analysis of HeLa (Human cervix adenocarcinoma epithelial cell) cells labeling PSMC5 with purified ab178681 at 1/90 dilution (10 μg/ml) (Red). Cells were fixed with 4% Paraformaldehyde and permeabilised with 90% Methanol. A Goat anti rabbit IgG (Alexa Fluor® 488, ab150077) secondary antibody was used at 1/2000. Isotype control - Rabbit monoclonal IgG (Black). Unlabeled control - Cell without incubation with primary antibody and secondary antibody (Blue). This data was developed using the same antibody clone in a different buffer formulation containing PBS, BSA, glycerol, and sodium azide (ab178681)

Immunohistochemistry (Formalin/PFA-fixed paraffin-embedded sections) - Anti-PSMC5 antibody [EPR13565(B)] - BSA and Azide free (AB240208)
  • IHC-P

Unknown

Immunohistochemistry (Formalin/PFA-fixed paraffin-embedded sections) - Anti-PSMC5 antibody [EPR13565(B)] - BSA and Azide free (AB240208)

Immunohistochemistry (Formalin/PFA-fixed paraffin-embedded sections) analysis of rat liver tissue sections labeling PSMC5 with Purified ab178681 at 1/2000 dilution (0.43 μg/ml). Heat mediated antigen retrieval was performed using Bond™ Epitope Retrieval Solution 2 (pH 9.0). Rabbit specific IHC polymer detection kit HRP/DAB (ab209101) was used as the secondary antibody. Negative control : PBS instead of the primary antibody. Hematoxylin was used as a counterstain.
This data was developed using the same antibody clone in a different buffer formulation containing PBS, BSA, glycerol, and sodium azide (ab178681)

Flow Cytometry (Intracellular) - Anti-PSMC5 antibody [EPR13565(B)] - BSA and Azide free (AB240208)
  • Flow Cyt (Intra)

Supplier Data

Flow Cytometry (Intracellular) - Anti-PSMC5 antibody [EPR13565(B)] - BSA and Azide free (AB240208)

Intracellular flow cytometric analysis of permeabilized Hela cellslabeling PSMC5 withunpurified ab178681 at 1/100 dilution (red) compared to a rabbit IgG negative control (green).

This data was developed using the same antibody clone in a different buffer formulation containing PBS, BSA, glycerol, and sodium azide (ab178681).

Immunocytochemistry/ Immunofluorescence - Anti-PSMC5 antibody [EPR13565(B)] - BSA and Azide free (AB240208)
  • ICC/IF

Supplier Data

Immunocytochemistry/ Immunofluorescence - Anti-PSMC5 antibody [EPR13565(B)] - BSA and Azide free (AB240208)

Immunofluorescent analysis of HeLa cells labeling PSMC5 with unpurified ab178681 at 1/100 dilution.

This data was developed using the same antibody clone in a different buffer formulation containing PBS, BSA, glycerol, and sodium azide (ab178681).

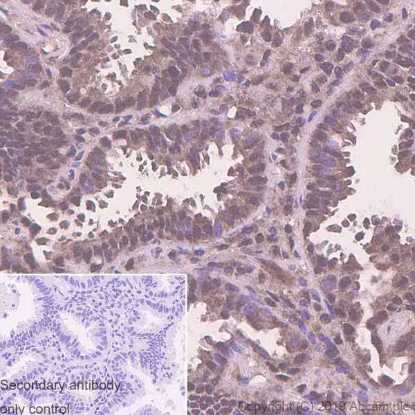
Immunohistochemistry (Formalin/PFA-fixed paraffin-embedded sections) - Anti-PSMC5 antibody [EPR13565(B)] - BSA and Azide free (AB240208)
  • IHC-P

Unknown

Immunohistochemistry (Formalin/PFA-fixed paraffin-embedded sections) - Anti-PSMC5 antibody [EPR13565(B)] - BSA and Azide free (AB240208)

Immunohistochemistry (Formalin/PFA-fixed paraffin-embedded sections) analysis of human lung carcinoma tissue sections labeling PSMC5 with Purified ab178681 at 1/2000 dilution (0.43 μg/ml). Heat mediated antigen retrieval was performed using Bond™ Epitope Retrieval Solution 2 (pH 9.0). Rabbit specific IHC polymer detection kit HRP/DAB (ab209101) was used as the secondary antibody. Negative control : PBS instead of the primary antibody. Hematoxylin was used as a counterstain.
This data was developed using the same antibody clone in a different buffer formulation containing PBS, BSA, glycerol, and sodium azide (ab178681)

Immunoprecipitation - Anti-PSMC5 antibody [EPR13565(B)] - BSA and Azide free (AB240208)
  • IP

Supplier Data

Immunoprecipitation - Anti-PSMC5 antibody [EPR13565(B)] - BSA and Azide free (AB240208)

Western blot analysis on immunoprecipitation pellet from (Lane 1) 293T cell lysate or (Lane 2) 1XPBS (negative control) using unpurified ab178681 and HRP-conjugated anti-rabbit IgG preferentially detecting the non-reduced form of rabbit IgG.

This data was developed using the same antibody clone in a different buffer formulation containing PBS, BSA, glycerol, and sodium azide (ab178681).

All lanes:

Immunoprecipitation - Anti-PSMC5 antibody [EPR13565(B)] (<a href='/en-us/products/primary-antibodies/psmc5-antibody-epr13565b-ab178681'>ab178681</a>)

Predicted band size: 44 kDa,46 kDa

Observed band size: 75 kDa

false

Immunoprecipitation - Anti-PSMC5 antibody [EPR13565(B)] - BSA and Azide free (AB240208)
  • IP

Unknown

Immunoprecipitation - Anti-PSMC5 antibody [EPR13565(B)] - BSA and Azide free (AB240208)

ab178681 (Purified) at 1 : 40 dilution (2µg) immunoprecipitating PSMC5 in HepG2 whole cell lysate.
Lane 1 (input) : HepG2 (Human hepatocellular carcinoma epithelial cell) whole cell lysate (10µg)
Lane 2 (+) : ab178681 & HepG2 whole cell lysate
Lane 3 (-) : Rabbit monoclonal IgG (ab172730) instead of ab178681 in HepG2 whole cell lysate
For western blotting, VeriBlot for IP Detection Reagent (HRP) (ab131366) was used at 1 : 1000 dilution.
Blocking and diluting buffer : 5% NFDM/TBST.
This data was developed using the same antibody clone in a different buffer formulation containing PBS, BSA, glycerol, and sodium azide (anti psmc5 antibody epr13565 b immunoprecipitation hepg2 human)

All lanes:

Immunoprecipitation - Anti-PSMC5 antibody [EPR13565(B)] (<a href='/en-us/products/primary-antibodies/psmc5-antibody-epr13565b-ab178681'>ab178681</a>)

Predicted band size: 46 kDa

false

  • Unconjugated

    Anti-PSMC5 antibody [EPR13565(B)]

  • 775 Alexa Fluor® 750

    Alexa Fluor® 750 Anti-PSMC5 antibody [EPR13565(B)]

  • 578 PE

    PE Anti-PSMC5 antibody [EPR13565(B)]

  • 660 APC

    APC Anti-PSMC5 antibody [EPR13565(B)]

  • HRP

    HRP Anti-PSMC5 antibody [EPR13565(B)]

  • 665 Alexa Fluor® 647

    Alexa Fluor® 647 Anti-PSMC5 antibody [EPR13565(B)]

  • 603 Alexa Fluor® 568

    Alexa Fluor® 568 Anti-PSMC5 antibody [EPR13565(B)]

  • 565 Alexa Fluor® 555

    Alexa Fluor® 555 Anti-PSMC5 antibody [EPR13565(B)]

  • 617 Alexa Fluor® 594

    Alexa Fluor® 594 Anti-PSMC5 antibody [EPR13565(B)]

  • 519 Alexa Fluor® 488

    Alexa Fluor® 488 Anti-PSMC5 antibody [EPR13565(B)]

Key facts

Host species

Rabbit

Clonality

Monoclonal

Clone number

EPR13565(B)

Isotype

IgG

Carrier free

Yes

Reacts with

Mouse, Rat, Human

Applications

ICC/IF, IP, IHC-P, WB, Flow Cyt (Intra)

applications

Immunogen

The exact immunogen used to generate this antibody is proprietary information.

Reactivity data

{ "title": "Reactivity Data", "filters": { "stats": ["", "Species", "Dilution Info", "Notes"], "tabs": { "all-applications": {"fullname" : "All Applications", "shortname": "All Applications"}, "IP" : {"fullname" : "Immunoprecipitation", "shortname":"IP"}, "WB" : {"fullname" : "Western blot", "shortname":"WB"}, "IHCP" : {"fullname" : "Immunohistochemistry (Formalin/PFA-fixed paraffin-embedded sections)", "shortname":"IHC-P"}, "ICCIF" : {"fullname" : "Immunocytochemistry/ Immunofluorescence", "shortname":"ICC/IF"}, "FlowCytIntra" : {"fullname" : "Flow Cytometry (Intracellular)", "shortname":"Flow Cyt (Intra)"} }, "product-promise": { "all": "all", "testedAndGuaranteed": "tested", "guaranteed": "expected", "predicted": "predicted", "notRecommended": "not-recommended" } }, "values": { "Human": { "IP-species-checked": "testedAndGuaranteed", "IP-species-dilution-info": "", "IP-species-notes": "<p></p>", "WB-species-checked": "guaranteed", "WB-species-dilution-info": "", "WB-species-notes": "<p></p>", "IHCP-species-checked": "testedAndGuaranteed", "IHCP-species-dilution-info": "", "IHCP-species-notes": "<p>Perform heat mediated antigen retrieval using Bond™ Epitope Retrieval Solution 2 (pH 9.0).</p>", "ICCIF-species-checked": "testedAndGuaranteed", "ICCIF-species-dilution-info": "", "ICCIF-species-notes": "<p></p>", "FlowCytIntra-species-checked": "testedAndGuaranteed", "FlowCytIntra-species-dilution-info": "", "FlowCytIntra-species-notes": "<p><a href='/en-us/products/primary-antibodies/rabbit-igg-monoclonal-epr25a-isotype-control-low-endotoxin-azide-free-ab199376'>ab199376</a> - Rabbit monoclonal IgG, is suitable for use as an isotype control with this antibody.</p>" }, "Mouse": { "IP-species-checked": "predicted", "IP-species-dilution-info": "", "IP-species-notes": "", "WB-species-checked": "guaranteed", "WB-species-dilution-info": "", "WB-species-notes": "<p></p>", "IHCP-species-checked": "predicted", "IHCP-species-dilution-info": "", "IHCP-species-notes": "", "ICCIF-species-checked": "predicted", "ICCIF-species-dilution-info": "", "ICCIF-species-notes": "", "FlowCytIntra-species-checked": "predicted", "FlowCytIntra-species-dilution-info": "", "FlowCytIntra-species-notes": "" }, "Rat": { "IP-species-checked": "predicted", "IP-species-dilution-info": "", "IP-species-notes": "", "WB-species-checked": "guaranteed", "WB-species-dilution-info": "", "WB-species-notes": "<p></p>", "IHCP-species-checked": "predicted", "IHCP-species-dilution-info": "", "IHCP-species-notes": "", "ICCIF-species-checked": "predicted", "ICCIF-species-dilution-info": "", "ICCIF-species-notes": "", "FlowCytIntra-species-checked": "predicted", "FlowCytIntra-species-dilution-info": "", "FlowCytIntra-species-notes": "" } } }

Product details

Properties and storage information

Form
Liquid
Purification technique
Affinity purification Protein A
Storage buffer
pH: 7.2 - 7.4 Constituents: PBS
Shipped at conditions
Blue Ice
Appropriate short-term storage conditions
+4°C
Appropriate long-term storage conditions
+4°C
Storage information
Do Not Freeze

Supplementary information

This supplementary information is collated from multiple sources and compiled automatically.

PSMC5 also known as Tbp1 or Rpt6 is a component of the 26S proteasome complex that functions in the degradation of ubiquitinated proteins. This protein has a molecular mass of approximately 44 kDa. It shows a widespread pattern of expression being present in various tissues across the human body particularly in tissues with high metabolic activity. As an ATPase associated with diverse cellular activities the main mechanical function of PSMC5 is driving protein unfolding which is essential for proteasome activity.
Biological function summary

PSMC5 is integral to maintaining protein homeostasis and regulating protein turnover within cells. It forms part of the regulatory particle of the proteasome complex engaging in the recognition and unfolding of polyubiquitinated substrates. This action facilitates the degradation process important for numerous cellular processes including cell cycle apoptosis and DNA damage response. The presence of PSMC5 in these pathways indicates its involvement in pivotal cellular functions that regulate cell health and survival.

Pathways

PSMC5 plays a fundamental role in the ubiquitin-proteasome pathway a critical system for protein degradation and turnover. This pathway regulates the concentration of several key regulatory proteins therefore maintaining cellular homeostasis. PSMC5 interacts with other core proteasome components including PSMC1 and PSMC2. Additionally it contributes to the DNA repair pathways by interacting with proteins involved in genotoxic stress response underlining its significance in maintaining genomic stability.

PSMC5 activity has associations with disorders such as cancer and neurodegenerative diseases. Dysregulation of the proteasome function may lead to aberrant protein accumulation which constitutes a factor in the development of these diseases. In cancer PSMC5 can interact with oncogenic pathways such as those involving proteins like MDM2 a ubiquitin ligase influencing tumorigenesis. Similarly in neurodegenerative disorders PSMC5's role in proteostasis connects it to proteins such as ubiquitin impacting disease progression.

Product protocols

For this product, it's our understanding that no specific protocols are required. You can visit:

Target data

Component of the 26S proteasome, a multiprotein complex involved in the ATP-dependent degradation of ubiquitinated proteins. This complex plays a key role in the maintenance of protein homeostasis by removing misfolded or damaged proteins, which could impair cellular functions, and by removing proteins whose functions are no longer required. Therefore, the proteasome participates in numerous cellular processes, including cell cycle progression, apoptosis, or DNA damage repair. PSMC5 belongs to the heterohexameric ring of AAA (ATPases associated with diverse cellular activities) proteins that unfolds ubiquitinated target proteins that are concurrently translocated into a proteolytic chamber and degraded into peptides.
See full target information PSMC5

Product promise

We are committed to supporting your work with high-quality reagents, and we're here for you every step of the way. In the unlikely event that one of our products does not perform as expected, you're protected by our Product Promise.
For full details, please see our Terms & Conditions

Associated Products

Select an associated product type
Alternative Product
Primary Antibodies

AB137476

Anti-PSMC5 antibody

primary-antibodies

psmc5-antibody-ab137476

0

(0 reviews)

Alternative Product
Primary Antibodies

AB180495

Anti-PSMC5 antibody [EPR13566(B)] - C-terminal

primary-antibodies

psmc5-antibody-epr13566b-c-terminal-ab180495

0

(0 reviews)

Alternative Version
Primary Antibodies

AB306373

PE Anti-PSMC5 antibody [EPR13565(B)]

primary-antibodies

pe-psmc5-antibody-epr13565b-ab306373

0

(0 reviews)

Alternative Version
Primary Antibodies

AB306374

APC Anti-PSMC5 antibody [EPR13565(B)]

primary-antibodies

apc-psmc5-antibody-epr13565b-ab306374

0

(0 reviews)

Alternative Version
Primary Antibodies

AB306375

HRP Anti-PSMC5 antibody [EPR13565(B)]

primary-antibodies

hrp-psmc5-antibody-epr13565b-ab306375

0

(0 reviews)

Alternative Version
Primary Antibodies

AB310095

Alexa Fluor® 647 Anti-PSMC5 antibody [EPR13565(B)]

primary-antibodies

alexa-fluor-647-psmc5-antibody-epr13565b-ab310095

0

(0 reviews)

Alternative Version
Primary Antibodies

AB312505

Alexa Fluor® 568 Anti-PSMC5 antibody [EPR13565(B)]

primary-antibodies

alexa-fluor-568-psmc5-antibody-epr13565b-ab312505

0

(0 reviews)

Alternative Version
Primary Antibodies

AB312028

Alexa Fluor® 555 Anti-PSMC5 antibody [EPR13565(B)]

primary-antibodies

alexa-fluor-555-psmc5-antibody-epr13565b-ab312028

0

(0 reviews)

Alternative Version
Primary Antibodies

AB310499

Alexa Fluor® 594 Anti-PSMC5 antibody [EPR13565(B)]

primary-antibodies

alexa-fluor-594-psmc5-antibody-epr13565b-ab310499

0

(0 reviews)

Alternative Version
Primary Antibodies

AB309729

Alexa Fluor® 488 Anti-PSMC5 antibody [EPR13565(B)]

primary-antibodies

alexa-fluor-488-psmc5-antibody-epr13565b-ab309729

0

(0 reviews)

Please note: All products are 'FOR RESEARCH USE ONLY. NOT FOR USE IN DIAGNOSTIC OR THERAPEUTIC PROCEDURES'.

For licensing inquiries, please contact partnerships@abcam.com