JavaScript is disabled in your browser. Please enable JavaScript to view this website.
AB250198

Anti-PSMC5 antibody [EPR13566(B)] - BSA and Azide free

Be the first to review this product! Submit a review

|

(1 Publication)

Rabbit Recombinant Monoclonal PSMC5 antibody. Carrier free. Suitable for ICC/IF, WB, Flow Cyt (Intra), IHC-P and reacts with Human samples. Cited in 1 publication.

View Alternative Names

SUG1, PSMC5, 26S proteasome regulatory subunit 8, 26S proteasome AAA-ATPase subunit RPT6, Proteasome 26S subunit ATPase 5, Proteasome subunit p45, Thyroid hormone receptor-interacting protein 1, p45/SUG, TRIP1

4 Images
Flow Cytometry (Intracellular) - Anti-PSMC5 antibody [EPR13566(B)] - BSA and Azide free (AB250198)
  • Flow Cyt (Intra)

Supplier Data

Flow Cytometry (Intracellular) - Anti-PSMC5 antibody [EPR13566(B)] - BSA and Azide free (AB250198)

This data was developed using ab180495, the same antibody clone in a different buffer formulation.

Intracellular flow cytometric analysis of HeLa cells (2% paraformaldehyde-fixed) labeling PSMC5 with ab180495 at 1/30 dilution (green) compared to a negative control Rabbit monoclonal IgG (red) follwed by Goat anti rabbit IgG (FITC) secondary at 1/75 dilution.

Immunocytochemistry/ Immunofluorescence - Anti-PSMC5 antibody [EPR13566(B)] - BSA and Azide free (AB250198)
  • ICC/IF

Supplier Data

Immunocytochemistry/ Immunofluorescence - Anti-PSMC5 antibody [EPR13566(B)] - BSA and Azide free (AB250198)

This data was developed using ab180495, the same antibody clone in a different buffer formulation.

Immunofluorescent analysis of 293T cells (4% paraformaldehyde-fixed) labeling PSMC5 with ab180495 at 1/250 dilution (red) followed by with Goat anti rabbit IgG (Dylight 555) . DAPI staining (blue).

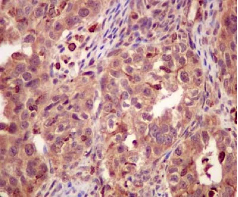
Immunohistochemistry (Formalin/PFA-fixed paraffin-embedded sections) - Anti-PSMC5 antibody [EPR13566(B)] - BSA and Azide free (AB250198)
  • IHC-P

Supplier Data

Immunohistochemistry (Formalin/PFA-fixed paraffin-embedded sections) - Anti-PSMC5 antibody [EPR13566(B)] - BSA and Azide free (AB250198)

This data was developed using ab180495, the same antibody clone in a different buffer formulation.

Immunohistochemical analysis of paraffin-embedded Human pancreas tissue labeling PSMC5 with ab180495 at 1/250 dilution followed by ImmunoHistoprobe (Ready to use) HRP Polymer for Rabbit IgG secondary and Counter stained with Hematoxylin.

Perform heat mediated antigen retrieval with EDTA buffer pH 9 before commencing with IHC staining protocol.

Western blot - Anti-PSMC5 antibody [EPR13566(B)] - BSA and Azide free (AB250198)
  • WB

Supplier Data

Western blot - Anti-PSMC5 antibody [EPR13566(B)] - BSA and Azide free (AB250198)

This data was developed using ab180495, the same antibody clone in a different buffer formulation.

All lanes:

Western blot - Anti-PSMC5 antibody [EPR13566(B)] - C-terminal (<a href='/en-us/products/primary-antibodies/psmc5-antibody-epr13566b-c-terminal-ab180495'>ab180495</a>) at 1/10000 dilution

Lane 1:

HepG2 cell lysate at 20 µg

Lane 2:

HeLa cell lysate at 20 µg

Lane 3:

293T cell lysate at 20 µg

Secondary

All lanes:

Goat Anti-Rabbit IgG, (H+L), Peroxidase conjugated at 1/1000 dilution

Predicted band size: 46 kDa

false

Key facts

Host species

Rabbit

Clonality

Monoclonal

Clone number

EPR13566(B)

Isotype

IgG

Carrier free

Yes

Reacts with

Human

Applications

IHC-P, Flow Cyt (Intra), WB, ICC/IF

applications

Immunogen

The exact immunogen used to generate this antibody is proprietary information.

Reactivity data

{ "title": "Reactivity Data", "filters": { "stats": ["", "Species", "Dilution Info", "Notes"], "tabs": { "all-applications": {"fullname" : "All Applications", "shortname": "All Applications"}, "ICCIF" : {"fullname" : "Immunocytochemistry/ Immunofluorescence", "shortname":"ICC/IF"}, "WB" : {"fullname" : "Western blot", "shortname":"WB"}, "FlowCytIntra" : {"fullname" : "Flow Cytometry (Intracellular)", "shortname":"Flow Cyt (Intra)"}, "IHCP" : {"fullname" : "Immunohistochemistry (Formalin/PFA-fixed paraffin-embedded sections)", "shortname":"IHC-P"} }, "product-promise": { "all": "all", "testedAndGuaranteed": "tested", "guaranteed": "expected", "predicted": "predicted", "notRecommended": "not-recommended" } }, "values": { "Human": { "ICCIF-species-checked": "testedAndGuaranteed", "ICCIF-species-dilution-info": "", "ICCIF-species-notes": "<p></p>", "WB-species-checked": "testedAndGuaranteed", "WB-species-dilution-info": "", "WB-species-notes": "<p></p>", "FlowCytIntra-species-checked": "testedAndGuaranteed", "FlowCytIntra-species-dilution-info": "", "FlowCytIntra-species-notes": "<p></p>", "IHCP-species-checked": "testedAndGuaranteed", "IHCP-species-dilution-info": "", "IHCP-species-notes": "<p></p>" }, "Mouse": { "ICCIF-species-checked": "predicted", "ICCIF-species-dilution-info": "", "ICCIF-species-notes": "", "WB-species-checked": "predicted", "WB-species-dilution-info": "", "WB-species-notes": "", "FlowCytIntra-species-checked": "predicted", "FlowCytIntra-species-dilution-info": "", "FlowCytIntra-species-notes": "", "IHCP-species-checked": "predicted", "IHCP-species-dilution-info": "", "IHCP-species-notes": "" }, "Rat": { "ICCIF-species-checked": "predicted", "ICCIF-species-dilution-info": "", "ICCIF-species-notes": "", "WB-species-checked": "predicted", "WB-species-dilution-info": "", "WB-species-notes": "", "FlowCytIntra-species-checked": "predicted", "FlowCytIntra-species-dilution-info": "", "FlowCytIntra-species-notes": "", "IHCP-species-checked": "predicted", "IHCP-species-dilution-info": "", "IHCP-species-notes": "" } } }

Product details

ab250198 is the carrier-free version of ab180495.

Patented technology
Our RabMAb® technology is a patented hybridoma-based technology for making rabbit monoclonal antibodies. For details on our patents, please refer to RabMAb® patents.

What are the advantages of a recombinant monoclonal antibody?
This product is a recombinant monoclonal antibody, which offers several advantages including:

  • - High batch-to-batch consistency and reproducibility
  • - Improved sensitivity and specificity
  • - Long-term security of supply
  • - Animal-free batch production

For more information, read more on recombinant antibodies.

Conjugation ready
Our carrier-free antibodies are typically supplied in a PBS-only formulation, purified and free of BSA, sodium azide and glycerol. This conjugation-ready format is designed for use with fluorochromes, metal isotopes, oligonucleotides, and enzymes, which makes them ideal for antibody labelling, functional and cell-based assays, flow-based assays (e.g. mass cytometry) and Multiplex Imaging applications.

Use our conjugation kits for antibody conjugates that are ready-to-use in as little as 20 minutes with 1 minute hands-on-time and 100% antibody recovery: available for fluorescent dyes, HRP, biotin and gold.

Compatibility
This product is compatible with the Maxpar® Antibody Labeling Kit from Fluidigm, without the need for antibody preparation. Maxpar® is a trademark of Fluidigm Canada Inc.

Properties and storage information

Form
Liquid
Purification technique
Affinity purification
Storage buffer
pH: 7.2 - 7.4 Constituents: PBS
Shipped at conditions
Blue Ice
Appropriate short-term storage conditions
+4°C
Appropriate long-term storage conditions
+4°C
Storage information
Do Not Freeze

Supplementary information

This supplementary information is collated from multiple sources and compiled automatically.

PSMC5 also known as Tbp1 or Rpt6 is a component of the 26S proteasome complex that functions in the degradation of ubiquitinated proteins. This protein has a molecular mass of approximately 44 kDa. It shows a widespread pattern of expression being present in various tissues across the human body particularly in tissues with high metabolic activity. As an ATPase associated with diverse cellular activities the main mechanical function of PSMC5 is driving protein unfolding which is essential for proteasome activity.
Biological function summary

PSMC5 is integral to maintaining protein homeostasis and regulating protein turnover within cells. It forms part of the regulatory particle of the proteasome complex engaging in the recognition and unfolding of polyubiquitinated substrates. This action facilitates the degradation process important for numerous cellular processes including cell cycle apoptosis and DNA damage response. The presence of PSMC5 in these pathways indicates its involvement in pivotal cellular functions that regulate cell health and survival.

Pathways

PSMC5 plays a fundamental role in the ubiquitin-proteasome pathway a critical system for protein degradation and turnover. This pathway regulates the concentration of several key regulatory proteins therefore maintaining cellular homeostasis. PSMC5 interacts with other core proteasome components including PSMC1 and PSMC2. Additionally it contributes to the DNA repair pathways by interacting with proteins involved in genotoxic stress response underlining its significance in maintaining genomic stability.

PSMC5 activity has associations with disorders such as cancer and neurodegenerative diseases. Dysregulation of the proteasome function may lead to aberrant protein accumulation which constitutes a factor in the development of these diseases. In cancer PSMC5 can interact with oncogenic pathways such as those involving proteins like MDM2 a ubiquitin ligase influencing tumorigenesis. Similarly in neurodegenerative disorders PSMC5's role in proteostasis connects it to proteins such as ubiquitin impacting disease progression.

Product protocols

For this product, it's our understanding that no specific protocols are required. You can visit:

Target data

Component of the 26S proteasome, a multiprotein complex involved in the ATP-dependent degradation of ubiquitinated proteins. This complex plays a key role in the maintenance of protein homeostasis by removing misfolded or damaged proteins, which could impair cellular functions, and by removing proteins whose functions are no longer required. Therefore, the proteasome participates in numerous cellular processes, including cell cycle progression, apoptosis, or DNA damage repair. PSMC5 belongs to the heterohexameric ring of AAA (ATPases associated with diverse cellular activities) proteins that unfolds ubiquitinated target proteins that are concurrently translocated into a proteolytic chamber and degraded into peptides.
See full target information PSMC5

Publications (1)

Recent publications for all applications. Explore the full list and refine your search

Experimental and therapeutic medicine 23:157 PubMed35069838

2022

APPL1 ameliorates myocardial ischemia-reperfusion injury by regulating the AMPK signaling pathway.

Applications

Unspecified application

Species

Unspecified reactive species

Yunguang Cen,Wei Liao,Taihao Wang,Daimin Zhang
View all publications

Product promise

We are committed to supporting your work with high-quality reagents, and we're here for you every step of the way. In the unlikely event that one of our products does not perform as expected, you're protected by our Product Promise.
For full details, please see our Terms & Conditions

Please note: All products are 'FOR RESEARCH USE ONLY. NOT FOR USE IN DIAGNOSTIC OR THERAPEUTIC PROCEDURES'.

For licensing inquiries, please contact partnerships@abcam.com