JavaScript is disabled in your browser. Please enable JavaScript to view this website.
AB186858

Anti-PSMC6 antibody

Be the first to review this product! Submit a review

|

(2 Publications)

Rabbit Polyclonal PSMC6 antibody. Suitable for WB, IHC-P and reacts with Human, Mouse, Rat samples. Cited in 2 publications. Immunogen corresponding to Recombinant Fragment Protein within Human PSMC6 aa 1-150.

View Alternative Names

SUG2, PSMC6, 26S proteasome regulatory subunit 10B, 26S proteasome AAA-ATPase subunit RPT4, Proteasome 26S subunit ATPase 6, Proteasome subunit p42

8 Images
Immunohistochemistry (Formalin/PFA-fixed paraffin-embedded sections) - Anti-PSMC6 antibody (AB186858)
  • IHC-P

Unknown

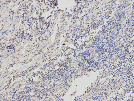
Immunohistochemistry (Formalin/PFA-fixed paraffin-embedded sections) - Anti-PSMC6 antibody (AB186858)

Immunohistochemistry (Formalin/PFA-fixed paraffin-embedded sections) analysis of human stomach cancer tissue labelling PSMC6 with ab186858 at 1/200. Magnification : 200x.

Immunohistochemistry (Formalin/PFA-fixed paraffin-embedded sections) - Anti-PSMC6 antibody (AB186858)
  • IHC-P

Unknown

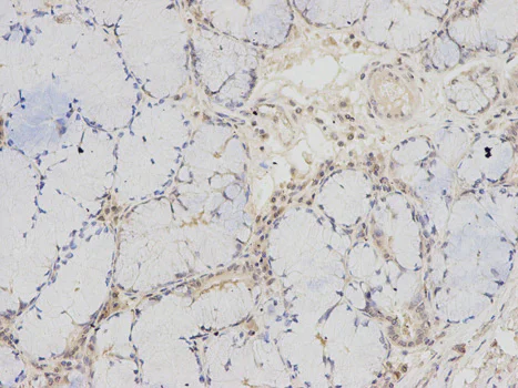
Immunohistochemistry (Formalin/PFA-fixed paraffin-embedded sections) - Anti-PSMC6 antibody (AB186858)

Immunohistochemistry (Formalin/PFA-fixed paraffin-embedded sections) analysis of human kidney cancer tissue labelling PSMC6 with ab186858 at 1/200. Magnification : 200x.

Immunohistochemistry (Formalin/PFA-fixed paraffin-embedded sections) - Anti-PSMC6 antibody (AB186858)
  • IHC-P

Unknown

Immunohistochemistry (Formalin/PFA-fixed paraffin-embedded sections) - Anti-PSMC6 antibody (AB186858)

Immunohistochemistry (Formalin/PFA-fixed paraffin-embedded sections) analysis of human stomach tissue labelling PSMC6 with ab186858 at 1/200. Magnification : 200x.

Immunohistochemistry (Formalin/PFA-fixed paraffin-embedded sections) - Anti-PSMC6 antibody (AB186858)
  • IHC-P

Unknown

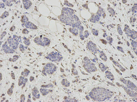
Immunohistochemistry (Formalin/PFA-fixed paraffin-embedded sections) - Anti-PSMC6 antibody (AB186858)

Immunohistochemistry (Formalin/PFA-fixed paraffin-embedded sections) analysis of human breast cancer tissue labelling PSMC6 with ab186858 at 1/200. Magnification : 200x.

Immunohistochemistry (Formalin/PFA-fixed paraffin-embedded sections) - Anti-PSMC6 antibody (AB186858)
  • IHC-P

Unknown

Immunohistochemistry (Formalin/PFA-fixed paraffin-embedded sections) - Anti-PSMC6 antibody (AB186858)

Immunohistochemistry (Formalin/PFA-fixed paraffin-embedded sections) analysis of human endometrial cancer tissue labelling PSMC6 with ab186858 at 1/200. Magnification : 200x.

Immunohistochemistry (Formalin/PFA-fixed paraffin-embedded sections) - Anti-PSMC6 antibody (AB186858)
  • IHC-P

Unknown

Immunohistochemistry (Formalin/PFA-fixed paraffin-embedded sections) - Anti-PSMC6 antibody (AB186858)

Immunohistochemistry (Formalin/PFA-fixed paraffin-embedded sections) analysis of human esophagus tissue labelling PSMC6 with ab186858 at 1/200. Magnification : 200x.

Immunohistochemistry (Formalin/PFA-fixed paraffin-embedded sections) - Anti-PSMC6 antibody (AB186858)
  • IHC-P

Unknown

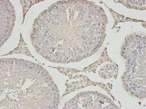
Immunohistochemistry (Formalin/PFA-fixed paraffin-embedded sections) - Anti-PSMC6 antibody (AB186858)

Immunohistochemistry (Formalin/PFA-fixed paraffin-embedded sections) analysis of rat testis tissue labelling PSMC6 with ab186858 at 1/200. Magnification : 200x.

Western blot - Anti-PSMC6 antibody (AB186858)
  • WB

Supplier Data

Western blot - Anti-PSMC6 antibody (AB186858)

All lanes:

Western blot - Anti-PSMC6 antibody (ab186858) at 1/500 dilution

Lane 1:

H460 cell extract

Lane 2:

293T cell extract

Lane 3:

SH-SY5Y cell extract

Lane 4:

Mouse liver tissue extract

Lane 5:

Mouse kidney tissue extract

Lane 6:

Mouse brain tissue extract

Lane 7:

Mouse heart tissue extract

Lane 8:

Mouse spleen tissue extract

Predicted band size: 44 kDa

false

Key facts

Host species

Rabbit

Clonality

Polyclonal

Isotype

IgG

Carrier free

No

Reacts with

Mouse, Rat, Human

Applications

IHC-P, WB

applications

Immunogen

Recombinant Fragment Protein within Human PSMC6 aa 1-150. The exact immunogen used to generate this antibody is proprietary information.

P62333

Reactivity data

{ "title": "Reactivity Data", "filters": { "stats": ["", "Species", "Dilution Info", "Notes"], "tabs": { "all-applications": {"fullname" : "All Applications", "shortname": "All Applications"}, "WB" : {"fullname" : "Western blot", "shortname":"WB"}, "IHCP" : {"fullname" : "Immunohistochemistry (Formalin/PFA-fixed paraffin-embedded sections)", "shortname":"IHC-P"} }, "product-promise": { "all": "all", "testedAndGuaranteed": "tested", "guaranteed": "expected", "predicted": "predicted", "notRecommended": "not-recommended" } }, "values": { "Human": { "WB-species-checked": "testedAndGuaranteed", "WB-species-dilution-info": "1/500 - 1/2000", "WB-species-notes": "<p></p>", "IHCP-species-checked": "testedAndGuaranteed", "IHCP-species-dilution-info": "1/50 - 1/200", "IHCP-species-notes": "<p></p>" }, "Mouse": { "WB-species-checked": "testedAndGuaranteed", "WB-species-dilution-info": "1/500 - 1/2000", "WB-species-notes": "<p></p>", "IHCP-species-checked": "guaranteed", "IHCP-species-dilution-info": "", "IHCP-species-notes": "" }, "Rat": { "WB-species-checked": "guaranteed", "WB-species-dilution-info": "", "WB-species-notes": "", "IHCP-species-checked": "testedAndGuaranteed", "IHCP-species-dilution-info": "1/50 - 1/200", "IHCP-species-notes": "<p></p>" } } }

Properties and storage information

Form
Liquid
Purification technique
Affinity purification Immunogen
Storage buffer
pH: 7.3 Preservative: 0.02% Sodium azide Constituents: PBS, 50% Glycerol (glycerin, glycerine)
Shipped at conditions
Blue Ice
Appropriate short-term storage duration
1-2 weeks
Appropriate short-term storage conditions
+4°C
Appropriate long-term storage conditions
-20°C
Aliquoting information
Upon delivery aliquot
Storage information
Avoid freeze / thaw cycle

Supplementary information

This supplementary information is collated from multiple sources and compiled automatically.

The PSMC6 protein also known as 26S protease regulatory subunit 8 plays a mechanical role in protein degradation. It functions as a part of the 26S proteasome complex which is involved in the ATP-dependent degradation of ubiquitinated proteins. This protein has a mass of approximately 45 kDa and is widely expressed across various tissues indicating its essential role in cellular processes. PSMC6 contains an ATPase domain which is important for its function within the proteasome.
Biological function summary

PSMC6 assists in the regulation of protein turnover which maintains the balance of protein synthesis and degradation. It is a component of the 26S proteasome which itself forms part of the larger ubiquitin-proteasome system. This system plays a role in removing damaged or unnecessary proteins from the cell maintaining protein homeostasis. The presence of the PSMC6 subunit within the proteasome complex suggests its importance in controlling cellular protein levels and influencing various cellular functions.

Pathways

PSMC6 is implicated in the ubiquitin-proteasome pathway a critical mechanism for protein degradation and cellular regulation. This pathway is central to many cellular processes including cell cycle regulation and signal transduction. PSMC6 interacts with other components of the proteasome like PSMC2 to facilitate the breakdown of ubiquitinated proteins. It is also involved in the Wnt signaling pathway which influences cell proliferation and differentiation.

Dysfunction in PSMC6 has been linked to cancer and neurodegenerative diseases. Its role in the proteasome system suggests that aberrations in protein degradation could lead to the accumulation of damaged proteins associated with these conditions. In cancer for instance altered PSMC6 function may disrupt normal cell cycle regulation. The protein also interacts with other proteasome components like PSMD14 which could further contribute to disease mechanisms when dysregulated.

Product protocols

For this product, it's our understanding that no specific protocols are required. You can visit:

Target data

Component of the 26S proteasome, a multiprotein complex involved in the ATP-dependent degradation of ubiquitinated proteins. This complex plays a key role in the maintenance of protein homeostasis by removing misfolded or damaged proteins, which could impair cellular functions, and by removing proteins whose functions are no longer required. Therefore, the proteasome participates in numerous cellular processes, including cell cycle progression, apoptosis, or DNA damage repair. PSMC6 belongs to the heterohexameric ring of AAA (ATPases associated with diverse cellular activities) proteins that unfolds ubiquitinated target proteins that are concurrently translocated into a proteolytic chamber and degraded into peptides.
See full target information PSMC6

Publications (2)

Recent publications for all applications. Explore the full list and refine your search

Cells 14: PubMed40498008

2025

Hypoxia Promotes the In Vitro Proliferation of Buffalo Spermatogonial Cells by Increasing Lactate and H3K18la Lactylation Levels.

Applications

Unspecified application

Species

Unspecified reactive species

Mengqi Li,Yanyu Ma,Shenzhi Wang,Haiying Zheng,Chunyan Yang,Anqin Duan,Benliang Zhou,Jianghua Shang,Xingwei Liang,Xiaogan Yang

Journal of human genetics 68:263-271 PubMed36599955

2023

PSMC6 induces immune cell infiltration and inflammatory response to aggravate primary Sjögren's syndrome.

Applications

Unspecified application

Species

Unspecified reactive species

Yongzhu Piao,Yutong Qi,Hao Zhang,Longyin Han,Xiayuan Zhong,Qingnan Liu
View all publications

Product promise

We are committed to supporting your work with high-quality reagents, and we're here for you every step of the way. In the unlikely event that one of our products does not perform as expected, you're protected by our Product Promise.
For full details, please see our Terms & Conditions

Please note: All products are 'FOR RESEARCH USE ONLY. NOT FOR USE IN DIAGNOSTIC OR THERAPEUTIC PROCEDURES'.

For licensing inquiries, please contact partnerships@abcam.com