JavaScript is disabled in your browser. Please enable JavaScript to view this website.
AB131054

Anti-PSMD13 antibody [EPR8525]

Be the first to review this product! Submit a review

|

(1 Publication)

Rabbit Recombinant Monoclonal PSMD13 antibody. Suitable for IHC-P, WB, ICC/IF and reacts with Human, Mouse, Rat samples. Cited in 1 publication.

View Alternative Names

26S proteasome non-ATPase regulatory subunit 13, 26S proteasome regulatory subunit RPN9, 26S proteasome regulatory subunit S11, 26S proteasome regulatory subunit p40.5, PSMD13

3 Images
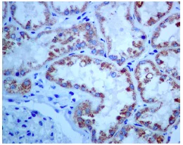
Immunohistochemistry (Formalin/PFA-fixed paraffin-embedded sections) - Anti-PSMD13 antibody [EPR8525] (AB131054)
  • IHC-P

Unknown

Immunohistochemistry (Formalin/PFA-fixed paraffin-embedded sections) - Anti-PSMD13 antibody [EPR8525] (AB131054)

Immunohistochemical analysis of paraffin embedded Human kidney tissue labelling PSMD13 with ab131054 antibody at 1/50 dilution.

Perform heat mediated antigen retrieval before commencing with IHC staining protocol.

Immunocytochemistry/ Immunofluorescence - Anti-PSMD13 antibody [EPR8525] (AB131054)
  • ICC/IF

Unknown

Immunocytochemistry/ Immunofluorescence - Anti-PSMD13 antibody [EPR8525] (AB131054)

Immunocytochemical analysis of HepG2 cells labelling PSMD13 with ab131054 antibody at 1/100 dilution.

Western blot - Anti-PSMD13 antibody [EPR8525] (AB131054)
  • WB

Unknown

Western blot - Anti-PSMD13 antibody [EPR8525] (AB131054)

Actual band size : 43 kDa

All lanes:

Western blot - Anti-PSMD13 antibody [EPR8525] (ab131054) at 1/1000 dilution

Lane 1:

Y79 (Human retinoblastoma cell line) cell lysate at 10 µg

Lane 2:

HeLa cell lysate at 10 µg

Lane 3:

HepG2 cell lysate at 10 µg

Lane 4:

Jurkat cell lysate at 10 µg

Secondary

All lanes:

HRP labelled goat anti-rabbit at 1/2000 dilution

Predicted band size: 43 kDa

false

  • Carrier free

    Anti-PSMD13 antibody [EPR8525] - BSA and Azide free

Key facts

Host species

Rabbit

Clonality

Monoclonal

Clone number

EPR8525

Isotype

IgG

Carrier free

No

Reacts with

Human

Applications

WB, IHC-P, ICC/IF

applications

Immunogen

The exact immunogen used to generate this antibody is proprietary information.

Reactivity data

{ "title": "Reactivity Data", "filters": { "stats": ["", "Species", "Dilution Info", "Notes"], "tabs": { "all-applications": {"fullname" : "All Applications", "shortname": "All Applications"}, "IHCP" : {"fullname" : "Immunohistochemistry (Formalin/PFA-fixed paraffin-embedded sections)", "shortname":"IHC-P"}, "IP" : {"fullname" : "Immunoprecipitation", "shortname":"IP"}, "FlowCyt" : {"fullname" : "Flow Cytometry", "shortname":"Flow Cyt"}, "WB" : {"fullname" : "Western blot", "shortname":"WB"}, "ICCIF" : {"fullname" : "Immunocytochemistry/ Immunofluorescence", "shortname":"ICC/IF"} }, "product-promise": { "all": "all", "testedAndGuaranteed": "tested", "guaranteed": "expected", "predicted": "predicted", "notRecommended": "not-recommended" } }, "values": { "Human": { "IHCP-species-checked": "testedAndGuaranteed", "IHCP-species-dilution-info": "1/50 - 1/100", "IHCP-species-notes": "<p></p>", "IP-species-checked": "notRecommended", "IP-species-dilution-info": "", "IP-species-notes": "<p></p>", "FlowCyt-species-checked": "notRecommended", "FlowCyt-species-dilution-info": "", "FlowCyt-species-notes": "<p></p>", "WB-species-checked": "testedAndGuaranteed", "WB-species-dilution-info": "1/1000 - 1/10000", "WB-species-notes": "<p></p>", "ICCIF-species-checked": "testedAndGuaranteed", "ICCIF-species-dilution-info": "1/100 - 1/250", "ICCIF-species-notes": "<p></p>" }, "Mouse": { "IHCP-species-checked": "predicted", "IHCP-species-dilution-info": "", "IHCP-species-notes": "", "IP-species-checked": "notRecommended", "IP-species-dilution-info": "", "IP-species-notes": "", "FlowCyt-species-checked": "notRecommended", "FlowCyt-species-dilution-info": "", "FlowCyt-species-notes": "", "WB-species-checked": "guaranteed", "WB-species-dilution-info": "", "WB-species-notes": "<p></p>", "ICCIF-species-checked": "predicted", "ICCIF-species-dilution-info": "", "ICCIF-species-notes": "" }, "Rat": { "IHCP-species-checked": "predicted", "IHCP-species-dilution-info": "", "IHCP-species-notes": "", "IP-species-checked": "notRecommended", "IP-species-dilution-info": "", "IP-species-notes": "", "FlowCyt-species-checked": "notRecommended", "FlowCyt-species-dilution-info": "", "FlowCyt-species-notes": "", "WB-species-checked": "guaranteed", "WB-species-dilution-info": "", "WB-species-notes": "<p></p>", "ICCIF-species-checked": "predicted", "ICCIF-species-dilution-info": "", "ICCIF-species-notes": "" } } }

Product details

Patented technology
Our RabMAb® technology is a patented hybridoma-based technology for making rabbit monoclonal antibodies. For details on our patents, please refer to RabMAb® patents.

What are the advantages of a recombinant monoclonal antibody?
This product is a recombinant monoclonal antibody, which offers several advantages including:

  • - High batch-to-batch consistency and reproducibility
  • - Improved sensitivity and specificity
  • - Long-term security of supply
  • - Animal-free batch production

For more information, read more on recombinant antibodies.

Properties and storage information

Form
Liquid
Purification technique
Affinity purification Protein A
Storage buffer
pH: 7.2 - 7.4 Preservative: 0.01% Sodium azide Constituents: PBS, 50% Tissue culture supernatant, 40% Glycerol (glycerin, glycerine), 0.05% BSA
Shipped at conditions
Blue Ice
Appropriate short-term storage conditions
+4°C
Appropriate long-term storage conditions
-20°C
Storage information
Stable for 12 months at -20°C

Supplementary information

This supplementary information is collated from multiple sources and compiled automatically.

PSMD13 also known as 26S proteasome non-ATPase regulatory subunit 13 is a component of the 19S regulatory particle of the 26S proteasome. It has a molecular weight of approximately 46 kDa. Mechanically PSMD13 plays a role in the assembly and stabilization of the proteasome complex which is responsible for ATP-dependent degradation of ubiquitinated proteins. The protein is expressed in various tissues with significant presence in organs like the liver and kidney.
Biological function summary

Within the proteasome complex PSMD13 serves as a regulatory factor that assists in substrate recognition and unfolds misfolded proteins for degradation. As part of the 26S proteasome it associates with other regulatory subunits to modulate protein breakdown efficiently. This process is essential for maintaining protein homeostasis within cells allowing effective recycling of amino acids and removal of damaged or excessive proteins.

Pathways

The activity of PSMD13 is integral in the ubiquitin-proteasome pathway. This pathway is important for regulating the cellular protein quality control and turnover. PSMD13 is also involved in the NF-kB signaling pathway where it indirectly influences the activation of transcription factor NF-kB by controlling the degradation of IkB an inhibitor protein. It works with proteins like PSMD2 which cooperate in the function and efficiency of these pathways for cell regulation.

Abnormalities in PSMD13 can contribute to neurodegenerative diseases such as Alzheimer’s disease. Faulty proteasome function may lead to the accumulation of abnormal proteins in neurons which is a hallmark of such disorders. Also it has a connection to cancer development where altered proteasome activity affects cell cycle regulation and survival. In these cases interactions with other proteins like PSMD1 further highlight its critical role in disease-related cellular activities.

Product protocols

For this product, it's our understanding that no specific protocols are required. You can visit:

Target data

Component of the 26S proteasome, a multiprotein complex involved in the ATP-dependent degradation of ubiquitinated proteins. This complex plays a key role in the maintenance of protein homeostasis by removing misfolded or damaged proteins, which could impair cellular functions, and by removing proteins whose functions are no longer required. Therefore, the proteasome participates in numerous cellular processes, including cell cycle progression, apoptosis, or DNA damage repair.
See full target information 26S proteasome non-ATPase regulatory subunit 13

Publications (1)

Recent publications for all applications. Explore the full list and refine your search

Molecular medicine reports 16:7706-7714 PubMed28944880

2017

Edoxaban improves venous thrombosis via increasing hydrogen sulfide and homocysteine in rat model.

Applications

Unspecified application

Species

Unspecified reactive species

Wei Song,Hongbo Ci,Guanglei Tian,Yanjun Zhang,Xiaohu Ge
View all publications

Product promise

We are committed to supporting your work with high-quality reagents, and we're here for you every step of the way. In the unlikely event that one of our products does not perform as expected, you're protected by our Product Promise.
For full details, please see our Terms & Conditions

Please note: All products are 'FOR RESEARCH USE ONLY. NOT FOR USE IN DIAGNOSTIC OR THERAPEUTIC PROCEDURES'.

For licensing inquiries, please contact partnerships@abcam.com