JavaScript is disabled in your browser. Please enable JavaScript to view this website.
AB137733

Anti-PSMD5 antibody

Be the first to review this product! Submit a review

|

(3 Publications)

Rabbit Polyclonal PSMD5 antibody. Suitable for WB, IHC-P and reacts with Mouse, Human samples. Cited in 3 publications. Immunogen corresponding to Recombinant Fragment Protein within Human PSMD5 aa 1-300.

View Alternative Names

KIAA0072, PSMD5, 26S proteasome non-ATPase regulatory subunit 5, 26S protease subunit S5 basic, 26S proteasome subunit S5B

3 Images
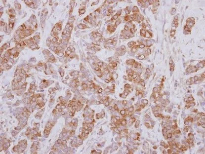
Immunohistochemistry (Formalin/PFA-fixed paraffin-embedded sections) - Anti-PSMD5 antibody (AB137733)
  • IHC-P

Unknown

Immunohistochemistry (Formalin/PFA-fixed paraffin-embedded sections) - Anti-PSMD5 antibody (AB137733)

Immunohistochemical analysis of paraffin-embedded Human breast carcinoma tissue labelling PSMD5 with ab137733 at 1/250 dilution.

Western blot - Anti-PSMD5 antibody (AB137733)
  • WB

Unknown

Western blot - Anti-PSMD5 antibody (AB137733)

7.5% SDS PAGE

All lanes:

Western blot - Anti-PSMD5 antibody (ab137733) at 1/1000 dilution

All lanes:

A431 whole cell lysate at 30 µg

Predicted band size: 56 kDa,59 kDa

false

Western blot - Anti-PSMD5 antibody (AB137733)
  • WB

Unknown

Western blot - Anti-PSMD5 antibody (AB137733)

7.5% SDS PAGE

All lanes:

Western blot - Anti-PSMD5 antibody (ab137733) at 1/1000 dilution

All lanes:

Mouse brain whole cell lysate at 50 µg

Predicted band size: 56 kDa

false

Key facts

Host species

Rabbit

Clonality

Polyclonal

Isotype

IgG

Carrier free

No

Reacts with

Mouse, Human

Applications

IHC-P, WB

applications

Immunogen

Recombinant Fragment Protein within Human PSMD5 aa 1-300. The exact immunogen used to generate this antibody is proprietary information.

Q16401

Reactivity data

{ "title": "Reactivity Data", "filters": { "stats": ["", "Species", "Dilution Info", "Notes"], "tabs": { "all-applications": {"fullname" : "All Applications", "shortname": "All Applications"}, "WB" : {"fullname" : "Western blot", "shortname":"WB"}, "IHCP" : {"fullname" : "Immunohistochemistry (Formalin/PFA-fixed paraffin-embedded sections)", "shortname":"IHC-P"} }, "product-promise": { "all": "all", "testedAndGuaranteed": "tested", "guaranteed": "expected", "predicted": "predicted", "notRecommended": "not-recommended" } }, "values": { "Human": { "WB-species-checked": "testedAndGuaranteed", "WB-species-dilution-info": "1/500 - 1/3000", "WB-species-notes": "<p></p>", "IHCP-species-checked": "testedAndGuaranteed", "IHCP-species-dilution-info": "1/100 - 1/1000", "IHCP-species-notes": "<p>Perform heat mediated antigen retrieval before commencing with IHC staining protocol using 10mM Citrate buffer (pH6.0) or Tris-EDTA buffer (pH8.0).</p>" }, "Mouse": { "WB-species-checked": "testedAndGuaranteed", "WB-species-dilution-info": "1/500 - 1/3000", "WB-species-notes": "<p></p>", "IHCP-species-checked": "guaranteed", "IHCP-species-dilution-info": "", "IHCP-species-notes": "" }, "Cow": { "WB-species-checked": "predicted", "WB-species-dilution-info": "", "WB-species-notes": "", "IHCP-species-checked": "predicted", "IHCP-species-dilution-info": "", "IHCP-species-notes": "" } } }

Properties and storage information

Form
Liquid
Purification technique
Affinity purification Immunogen
Storage buffer
pH: 7 Preservative: 0.01% Thimerosal (merthiolate) Constituents: 20% Glycerol (glycerin, glycerine), 1.21% Tris, 0.75% Glycine
Shipped at conditions
Blue Ice
Appropriate short-term storage conditions
+4°C
Appropriate long-term storage conditions
-20°C
Aliquoting information
Upon delivery aliquot
Storage information
Avoid freeze / thaw cycle

Supplementary information

This supplementary information is collated from multiple sources and compiled automatically.

PSMD5 also known as S13 or 26S proteasome non-ATPase regulatory subunit 5 plays an essential role in the ubiquitin-proteasome system. It has a molecular mass of approximately 39 kDa. PSMD5 is a component of the 26S proteasome complex a structure important for protein degradation in cells. This protein locates in various tissues especially in high-protein turnover areas such as the liver skeletal muscle and heart.
Biological function summary

The protein influences the breakdown of ubiquitinated proteins. PSMD5 forms part of the 19S regulatory subunit of the 26S proteasome complex. The 19S regulatory complex is significant for recognizing and unfolding ubiquitinated substrates guiding their entry into the proteolytic 20S core. By participating in this process PSMD5 aids in maintaining protein quality control and regulating the cell cycle.

Pathways

PSMD5 affects the ubiquitin-proteasome degradation pathway an important regulator of protein turnover. This pathway is essential for numerous cellular processes including cell cycle progression and signal transduction. PSMD5 interacts with proteins such as ubiquitin and other subunits of the proteasome complex to facilitate the degradation of proteins tagged for destruction. It also plays a part in pathways linked to NF-kB signaling where it may interface with proteins like IκB a known inhibitor of the NF-kB pathway.

PSMD5 connects to conditions such as cancer and neurodegenerative diseases. The protein's role in the regulation of protein degradation implicates it in diseases where protein homeostasis goes awry. For example alterations in proteasome activity can lead to the accumulation of damaged proteins a hallmark of neurodegenerative disorders. In cancer dysregulation of protein degradation may contribute to uncontrolled cell growth and survival. Elevated levels of ubiquitin-like proteins often accompany such pathological conditions highlighting PSMD5's involvement.

Product protocols

For this product, it's our understanding that no specific protocols are required. You can visit:

Target data

Acts as a chaperone during the assembly of the 26S proteasome, specifically of the base subcomplex of the PA700/19S regulatory complex (RC). In the initial step of the base subcomplex assembly is part of an intermediate PSMD5 : PSMC2 : PSMC1 : PSMD2 module which probably assembles with a PSMD10 : PSMC4 : PSMC5 : PAAF1 module followed by dissociation of PSMD5.
See full target information PSMD5

Publications (3)

Recent publications for all applications. Explore the full list and refine your search

Frontiers in medicine 9:943986 PubMed35957853

2022

Optic nerve head astrocytes contribute to vascular associated effects.

Applications

Unspecified application

Species

Unspecified reactive species

Yanmin Dong,Yue Fu,Xiaobing Qian,Leilei Lin,Yongguang Yuan,Yujie Li,Wanwen Shao,Qianying Gao

Biomolecules 12: PubMed35740881

2022

Metformin Induces Resistance of Cancer Cells to the Proteasome Inhibitor Bortezomib.

Applications

Unspecified application

Species

Unspecified reactive species

Camille Schlesser,Thomas Meul,Georgios Stathopoulos,Silke Meiners

Cell reports 32:108059 PubMed32846138

2020

Mitochondrial Regulation of the 26S Proteasome.

Applications

Unspecified application

Species

Unspecified reactive species

Thomas Meul,Korbinian Berschneider,Sabine Schmitt,Christoph H Mayr,Laura F Mattner,Herbert B Schiller,Ayse S Yazgili,Xinyuan Wang,Christina Lukas,Camille Schlesser,Cornelia Prehn,Jerzy Adamski,Elisabeth Graf,Thomas Schwarzmayr,Fabiana Perocchi,Alexandra Kukat,Aleksandra Trifunovic,Laura Kremer,Holger Prokisch,Bastian Popper,Christine von Toerne,Stefanie M Hauck,Hans Zischka,Silke Meiners
View all publications

Product promise

We are committed to supporting your work with high-quality reagents, and we're here for you every step of the way. In the unlikely event that one of our products does not perform as expected, you're protected by our Product Promise.
For full details, please see our Terms & Conditions

Please note: All products are 'FOR RESEARCH USE ONLY. NOT FOR USE IN DIAGNOSTIC OR THERAPEUTIC PROCEDURES'.

For licensing inquiries, please contact partnerships@abcam.com