JavaScript is disabled in your browser. Please enable JavaScript to view this website.
AB233154

Anti-PSMD9 antibody

Be the first to review this product! Submit a review

|

(1 Publication)

Rabbit Polyclonal PSMD9 antibody. Suitable for WB, IHC-P, ICC/IF and reacts with Mouse, Human, Recombinant fragment - Human samples. Cited in 1 publication. Immunogen corresponding to Recombinant Full Length Protein corresponding to Human 26S proteasome non-ATPase regulatory subunit 9.

View Alternative Names

26S proteasome non-ATPase regulatory subunit 9, 26S proteasome regulatory subunit p27, PSMD9

9 Images
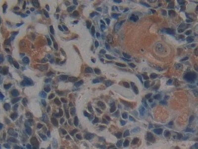
Immunohistochemistry (Formalin/PFA-fixed paraffin-embedded sections) - Anti-PSMD9 antibody (AB233154)
  • IHC-P

Supplier Data

Immunohistochemistry (Formalin/PFA-fixed paraffin-embedded sections) - Anti-PSMD9 antibody (AB233154)

Formalin-fixed, paraffin-embedded human prostate tissue stained for PSMD9 using ab233154 at 10 μg/ml in immunohistochemical analysis. DAB staining.

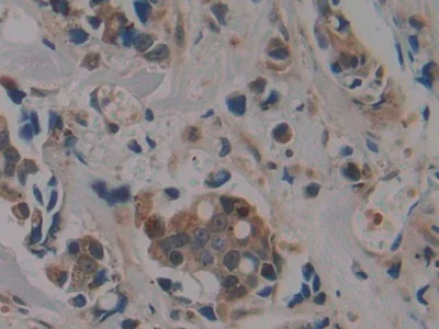
Immunohistochemistry (Formalin/PFA-fixed paraffin-embedded sections) - Anti-PSMD9 antibody (AB233154)
  • IHC-P

Supplier Data

Immunohistochemistry (Formalin/PFA-fixed paraffin-embedded sections) - Anti-PSMD9 antibody (AB233154)

Formalin-fixed, paraffin-embedded human breast cancer tissue stained for PSMD9 using ab233154 at 10 μg/ml in immunohistochemical analysis. DAB staining.

Immunocytochemistry/ Immunofluorescence - Anti-PSMD9 antibody (AB233154)
  • ICC/IF

Supplier Data

Immunocytochemistry/ Immunofluorescence - Anti-PSMD9 antibody (AB233154)

A549 (Human lung carcinoma cell line) cells stained for PSMD9 using ab233154 (green) at 20 μg/mL in ICC/IF analysis. FITC-labeled secondary antibody.

Immunohistochemistry (Formalin/PFA-fixed paraffin-embedded sections) - Anti-PSMD9 antibody (AB233154)
  • IHC-P

Supplier Data

Immunohistochemistry (Formalin/PFA-fixed paraffin-embedded sections) - Anti-PSMD9 antibody (AB233154)

Formalin-fixed, paraffin-embedded human glioma tissue stained for PSMD9 using ab233154 at 10 μg/ml in immunohistochemical analysis. DAB staining.

Immunohistochemistry (Formalin/PFA-fixed paraffin-embedded sections) - Anti-PSMD9 antibody (AB233154)
  • IHC-P

Supplier Data

Immunohistochemistry (Formalin/PFA-fixed paraffin-embedded sections) - Anti-PSMD9 antibody (AB233154)

Formalin-fixed, paraffin-embedded human liver tissue stained for PSMD9 using ab233154 at 10 μg/ml in immunohistochemical analysis. DAB staining.

Immunohistochemistry (Formalin/PFA-fixed paraffin-embedded sections) - Anti-PSMD9 antibody (AB233154)
  • IHC-P

Supplier Data

Immunohistochemistry (Formalin/PFA-fixed paraffin-embedded sections) - Anti-PSMD9 antibody (AB233154)

Formalin-fixed, paraffin-embedded human lung cancer tissue stained for PSMD9 using ab233154 at 10 μg/ml in immunohistochemical analysis. DAB staining.

Immunohistochemistry (Formalin/PFA-fixed paraffin-embedded sections) - Anti-PSMD9 antibody (AB233154)
  • IHC-P

Supplier Data

Immunohistochemistry (Formalin/PFA-fixed paraffin-embedded sections) - Anti-PSMD9 antibody (AB233154)

Formalin-fixed, paraffin-embedded human liver cancer tissue stained for PSMD9 using ab233154 at 10 μg/ml in immunohistochemical analysis. DAB staining.

Western blot - Anti-PSMD9 antibody (AB233154)
  • WB

Supplier Data

Western blot - Anti-PSMD9 antibody (AB233154)

All lanes:

Western blot - Anti-PSMD9 antibody (ab233154) at 3 µg/mL

Lane 1:

Human liver lysate

Lane 2:

Mouse spleen lysate

Lane 3:

Mouse heart lysate

Lane 4:

A549 (Human lung carcinoma cell line) cell lysate

Lane 5:

Mouse placenta lysate

Secondary

All lanes:

HRP-Linked Guinea pig anti-rabbit at 1/2000 dilution

Predicted band size: 25 kDa

false

Western blot - Anti-PSMD9 antibody (AB233154)
  • WB

Supplier Data

Western blot - Anti-PSMD9 antibody (AB233154)

All lanes:

Western blot - Anti-PSMD9 antibody (ab233154) at 2 µg/mL

All lanes:

Recombinant human PSMD9 protein

Predicted band size: 13 kDa,25 kDa

false

Key facts

Host species

Rabbit

Clonality

Polyclonal

Isotype

IgG

Carrier free

No

Reacts with

Mouse, Human

Applications

ICC/IF, WB, IHC-P

applications

Immunogen

Recombinant Full Length Protein corresponding to Human 26S proteasome non-ATPase regulatory subunit 9.

O00233

Reactivity data

{ "title": "Reactivity Data", "filters": { "stats": ["", "Species", "Dilution Info", "Notes"], "tabs": { "all-applications": {"fullname" : "All Applications", "shortname": "All Applications"}, "WB" : {"fullname" : "Western blot", "shortname":"WB"}, "IHCP" : {"fullname" : "Immunohistochemistry (Formalin/PFA-fixed paraffin-embedded sections)", "shortname":"IHC-P"}, "ICCIF" : {"fullname" : "Immunocytochemistry/ Immunofluorescence", "shortname":"ICC/IF"} }, "product-promise": { "all": "all", "testedAndGuaranteed": "tested", "guaranteed": "expected", "predicted": "predicted", "notRecommended": "not-recommended" } }, "values": { "Human": { "WB-species-checked": "testedAndGuaranteed", "WB-species-dilution-info": "0.5-5 µg/mL", "WB-species-notes": "<p></p>", "IHCP-species-checked": "testedAndGuaranteed", "IHCP-species-dilution-info": "5-20 µg/mL", "IHCP-species-notes": "<p></p>", "ICCIF-species-checked": "testedAndGuaranteed", "ICCIF-species-dilution-info": "5-20 µg/mL", "ICCIF-species-notes": "<p></p>" }, "Mouse": { "WB-species-checked": "testedAndGuaranteed", "WB-species-dilution-info": "0.5-5 µg/mL", "WB-species-notes": "<p></p>", "IHCP-species-checked": "guaranteed", "IHCP-species-dilution-info": "", "IHCP-species-notes": "", "ICCIF-species-checked": "guaranteed", "ICCIF-species-dilution-info": "", "ICCIF-species-notes": "" }, "Recombinant fragment - Human": { "WB-species-checked": "testedAndGuaranteed", "WB-species-dilution-info": "0.5-5 µg/mL", "WB-species-notes": "<p></p>", "IHCP-species-checked": "notRecommended", "IHCP-species-dilution-info": "", "IHCP-species-notes": "", "ICCIF-species-checked": "notRecommended", "ICCIF-species-dilution-info": "", "ICCIF-species-notes": "" } } }

Properties and storage information

Form
Liquid
Purification technique
Affinity purification Immunogen
Purification notes
Antigen-specific affinity chromatography followed by Protein A affinity chromatography.
Storage buffer
pH: 7.4 Preservative: 0.011% Proclin 300 Constituents: PBS, 55.77% Glycerol (glycerin, glycerine)
Shipped at conditions
Blue Ice
Appropriate short-term storage duration
1-2 weeks
Appropriate short-term storage conditions
+4°C
Appropriate long-term storage conditions
-20°C
Aliquoting information
Upon delivery aliquot
Storage information
Avoid freeze / thaw cycle

Supplementary information

This supplementary information is collated from multiple sources and compiled automatically.

PSMD9 also known as 26S proteasome non-ATPase regulatory subunit 9 or Bridge-1 is a component of the 26S proteasome complex. This protein has a mass of approximately 49 kDa. It plays a role in regulating the degradation of ubiquitinated proteins through its function in the proteasome complex. The protein is expressed in multiple tissues including skeletal muscle and heart.
Biological function summary

PSMD9 participates in proteasomal degradation of intracellular proteins facilitating protein turnover and maintaining cellular homeostasis. It integrates into the 26S proteasome complex consisting of the 20S core particle and the 19S regulatory particle. Within the proteasome PSMD9 interacts with various subunits to regulate the recognition and unfolding of ubiquitinated substrates.

Pathways

PSMD9 plays an important role in the ubiquitin-proteasome pathway which is essential for protein regulation and quality control in cells. This pathway involves tagging proteins with ubiquitin for degradation. PSMD9 shows functional relationships with other proteasome subunits like PSMD4 and PSMD11 which participate in similar regulation processes.

Dysfunction of the ubiquitin-proteasome pathway involving PSMD9 contributes to neurodegenerative diseases such as Alzheimer's disease and certain types of cancer. In Alzheimer's improper proteasomal activity can lead to the accumulation of damaged proteins. PSMD9's activity links it to other proteins implicated in these diseases including PSMD1 and the amyloid precursor protein in Alzheimer's disease.

Product protocols

For this product, it's our understanding that no specific protocols are required. You can visit:

Target data

Acts as a chaperone during the assembly of the 26S proteasome, specifically of the base subcomplex of the PA700/19S regulatory complex (RC). During the base subcomplex assembly is part of an intermediate PSMD9 : PSMC6 : PSMC3 module, also known as modulator trimer complex; PSMD9 is released during the further base assembly process.
See full target information 26S proteasome non-ATPase regulatory subunit 9

Publications (1)

Recent publications for all applications. Explore the full list and refine your search

Frontiers in pharmacology 15:1500105 PubMed39545066

2024

Epileptic seizures induced by pentylenetetrazole kindling accelerate Alzheimer-like neuropathology in 5×FAD mice.

Applications

Unspecified application

Species

Unspecified reactive species

Yulian Zou,Chengyan Wang,Huang Li,Meihua Zhong,Jin Lin,Yan Hu,Zhou Chen,Chen-Ling Gan
View all publications

Product promise

We are committed to supporting your work with high-quality reagents, and we're here for you every step of the way. In the unlikely event that one of our products does not perform as expected, you're protected by our Product Promise.
For full details, please see our Terms & Conditions

Please note: All products are 'FOR RESEARCH USE ONLY. NOT FOR USE IN DIAGNOSTIC OR THERAPEUTIC PROCEDURES'.

For licensing inquiries, please contact partnerships@abcam.com