JavaScript is disabled in your browser. Please enable JavaScript to view this website.
AB249230

Anti-PSME1 antibody [EPR10968(B)] - BSA and Azide free

Be the first to review this product! Submit a review

|

(1 Publication)

Rabbit Recombinant Monoclonal PSME1 antibody. Carrier free. Suitable for IHC-P, WB and reacts with Human samples. Cited in 1 publication.

View Alternative Names

IFI5111, PSME1, Proteasome activator complex subunit 1, 11S regulator complex subunit alpha, Activator of multicatalytic protease subunit 1, Interferon gamma up-regulated I-5111 protein, Proteasome activator 28 subunit alpha, REG-alpha, IGUP I-5111, PA28a, PA28alpha

3 Images
Western blot - Anti-PSME1 antibody [EPR10968(B)] - BSA and Azide free (AB249230)
  • WB

Unknown

Western blot - Anti-PSME1 antibody [EPR10968(B)] - BSA and Azide free (AB249230)

This data was developed using ab155985, the same antibody clone in a different buffer formulation.

All lanes:

Western blot - Anti-PSME1 antibody [EPR10968(B)] (<a href='/en-us/products/primary-antibodies/psme1-antibody-epr10968b-ab155985'>ab155985</a>) at 1/1000 dilution

Lane 1:

Raji cell lysate at 10 µg

Lane 2:

MCF-7 cell lysate at 10 µg

Lane 3:

Jurkat cell lysate at 10 µg

Secondary

All lanes:

Goat anti-rabbit HRP at 1/2000 dilution

Predicted band size: 29 kDa

false

Immunohistochemistry (Formalin/PFA-fixed paraffin-embedded sections) - Anti-PSME1 antibody [EPR10968(B)] - BSA and Azide free (AB249230)
  • IHC-P

Unknown

Immunohistochemistry (Formalin/PFA-fixed paraffin-embedded sections) - Anti-PSME1 antibody [EPR10968(B)] - BSA and Azide free (AB249230)

This data was developed using ab155985, the same antibody clone in a different buffer formulation.

Immunohistochemical analysis of paraffin-embedded Human prostate tissue labeling PSME1 with ab155985 at 1/50 dilution.

Perform heat mediated antigen retrieval with citrate buffer pH 6 before commencing with IHC staining protocol.

Immunohistochemistry (Formalin/PFA-fixed paraffin-embedded sections) - Anti-PSME1 antibody [EPR10968(B)] - BSA and Azide free (AB249230)
  • IHC-P

Unknown

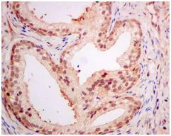
Immunohistochemistry (Formalin/PFA-fixed paraffin-embedded sections) - Anti-PSME1 antibody [EPR10968(B)] - BSA and Azide free (AB249230)

This data was developed using ab155985, the same antibody clone in a different buffer formulation.

Immunohistochemical analysis of paraffin-embedded Human pancreas tissue labeling PSME1 with ab155985 at 1/50 dilution.

Perform heat mediated antigen retrieval with citrate buffer pH 6 before commencing with IHC staining protocol.

Key facts

Host species

Rabbit

Clonality

Monoclonal

Clone number

EPR10968(B)

Isotype

IgG

Carrier free

Yes

Reacts with

Human

Applications

IHC-P, WB

applications

Immunogen

The exact immunogen used to generate this antibody is proprietary information.

Reactivity data

{ "title": "Reactivity Data", "filters": { "stats": ["", "Species", "Dilution Info", "Notes"], "tabs": { "all-applications": {"fullname" : "All Applications", "shortname": "All Applications"}, "IHCP" : {"fullname" : "Immunohistochemistry (Formalin/PFA-fixed paraffin-embedded sections)", "shortname":"IHC-P"}, "ICCIF" : {"fullname" : "Immunocytochemistry/ Immunofluorescence", "shortname":"ICC/IF"}, "IP" : {"fullname" : "Immunoprecipitation", "shortname":"IP"}, "FlowCyt" : {"fullname" : "Flow Cytometry", "shortname":"Flow Cyt"}, "WB" : {"fullname" : "Western blot", "shortname":"WB"} }, "product-promise": { "all": "all", "testedAndGuaranteed": "tested", "guaranteed": "expected", "predicted": "predicted", "notRecommended": "not-recommended" } }, "values": { "Human": { "IHCP-species-checked": "testedAndGuaranteed", "IHCP-species-dilution-info": "", "IHCP-species-notes": "<p></p>", "ICCIF-species-checked": "notRecommended", "ICCIF-species-dilution-info": "", "ICCIF-species-notes": "<p></p>", "IP-species-checked": "notRecommended", "IP-species-dilution-info": "", "IP-species-notes": "<p></p>", "FlowCyt-species-checked": "notRecommended", "FlowCyt-species-dilution-info": "", "FlowCyt-species-notes": "<p></p>", "WB-species-checked": "testedAndGuaranteed", "WB-species-dilution-info": "", "WB-species-notes": "<p></p>" }, "Mouse": { "IHCP-species-checked": "predicted", "IHCP-species-dilution-info": "", "IHCP-species-notes": "", "ICCIF-species-checked": "notRecommended", "ICCIF-species-dilution-info": "", "ICCIF-species-notes": "", "IP-species-checked": "notRecommended", "IP-species-dilution-info": "", "IP-species-notes": "", "FlowCyt-species-checked": "notRecommended", "FlowCyt-species-dilution-info": "", "FlowCyt-species-notes": "", "WB-species-checked": "predicted", "WB-species-dilution-info": "", "WB-species-notes": "" }, "Rat": { "IHCP-species-checked": "predicted", "IHCP-species-dilution-info": "", "IHCP-species-notes": "", "ICCIF-species-checked": "notRecommended", "ICCIF-species-dilution-info": "", "ICCIF-species-notes": "", "IP-species-checked": "notRecommended", "IP-species-dilution-info": "", "IP-species-notes": "", "FlowCyt-species-checked": "notRecommended", "FlowCyt-species-dilution-info": "", "FlowCyt-species-notes": "", "WB-species-checked": "predicted", "WB-species-dilution-info": "", "WB-species-notes": "" } } }

Product details

ab249230 is the carrier-free version of ab155985.

Patented technology
Our RabMAb® technology is a patented hybridoma-based technology for making rabbit monoclonal antibodies. For details on our patents, please refer to RabMAb® patents.

What are the advantages of a recombinant monoclonal antibody?
This product is a recombinant monoclonal antibody, which offers several advantages including:

  • - High batch-to-batch consistency and reproducibility
  • - Improved sensitivity and specificity
  • - Long-term security of supply
  • - Animal-free batch production

For more information, read more on recombinant antibodies.

Conjugation ready
Our carrier-free antibodies are typically supplied in a PBS-only formulation, purified and free of BSA, sodium azide and glycerol. This conjugation-ready format is designed for use with fluorochromes, metal isotopes, oligonucleotides, and enzymes, which makes them ideal for antibody labelling, functional and cell-based assays, flow-based assays (e.g. mass cytometry) and Multiplex Imaging applications.

Use our conjugation kits for antibody conjugates that are ready-to-use in as little as 20 minutes with 1 minute hands-on-time and 100% antibody recovery: available for fluorescent dyes, HRP, biotin and gold.

Compatibility
This product is compatible with the Maxpar® Antibody Labeling Kit from Fluidigm, without the need for antibody preparation. Maxpar® is a trademark of Fluidigm Canada Inc.

Properties and storage information

Form
Liquid
Purification technique
Affinity purification Protein A
Storage buffer
pH: 7.2 - 7.4 Constituents: PBS
Shipped at conditions
Blue Ice
Appropriate short-term storage conditions
+4°C
Appropriate long-term storage conditions
+4°C
Storage information
Do Not Freeze

Supplementary information

This supplementary information is collated from multiple sources and compiled automatically.

PSME1 also known as PA28α (proteasome activator complex subunit 1) is a protein that functions as a regulatory component of the 20S proteasome. It has a molecular weight of approximately 28 kDa. This protein is expressed in various tissues with noticeable expression in immune-related tissues such as the spleen and thymus. PSME1 binds to proteasome core particles and modifies their activity by opening access to their catalytic core honing the degradation of ubiquitinated proteins.
Biological function summary

PSME1 modulates protein degradation processes and participates as a component of the immunoproteasome. The immunoproteasome is a complex that processes peptides for presentation on MHC class I molecules vital for immune response. This involvement transforms PSME1 into an important player in antigen processing and presentation influencing T-cell activation and immune surveillance. PSME1 affects immune system adaptability and efficiency impacting infection response and immune regulation.

Pathways

PSME1 is a significant participant in the ubiquitin-proteasome system and the MHC class I antigen processing pathway. It directly interacts with other proteasome components like the catalytic 20S core and the 11S regulator. The interplay with these proteins steers the precision and output of antigenic peptides essential for T-cell mediated immune recognition. By influencing these pathways PSME1 links the protein degradation machinery to adaptive immunity.

PSME1 has connections to autoimmune diseases and cancers. Alterations in its function or expression can disrupt regular proteasome activity leading to improper immune responses such as in autoimmune pathologies like systemic lupus erythematosus. Furthermore PSME1's role in antigen processing intersects with other proteins such as TAP1 affecting immune evasion strategies seen in certain cancers. These interactions suggest that PSME1 is a contributor in both immune-related health issues and cancer progression.

Product protocols

For this product, it's our understanding that no specific protocols are required. You can visit:

Target data

Implicated in immunoproteasome assembly and required for efficient antigen processing. The PA28 activator complex enhances the generation of class I binding peptides by altering the cleavage pattern of the proteasome.
See full target information PSME1

Publications (1)

Recent publications for all applications. Explore the full list and refine your search

International journal of clinical and experimental 13:2973-2983 PubMed33425098

2020

Adsorption of miR-218 by lncRNA HOTAIR regulates PDE7A and affects glioma cell proliferation, invasion, and apoptosis.

Applications

Unspecified application

Species

Unspecified reactive species

Yigong Wei,Kun Zhou,Cheng Wang,Xiaolin Du,Qing Xiao,Changyi Chen
View all publications

Product promise

We are committed to supporting your work with high-quality reagents, and we're here for you every step of the way. In the unlikely event that one of our products does not perform as expected, you're protected by our Product Promise.
For full details, please see our Terms & Conditions

Please note: All products are 'FOR RESEARCH USE ONLY. NOT FOR USE IN DIAGNOSTIC OR THERAPEUTIC PROCEDURES'.

For licensing inquiries, please contact partnerships@abcam.com