JavaScript is disabled in your browser. Please enable JavaScript to view this website.
AB183727

Anti-PSME2 antibody [EPR14931]

5

(2 Reviews)

|

(5 Publications)

Rabbit Recombinant Monoclonal PSME2 antibody. Suitable for I-ELISA, WB, ICC/IF, Flow Cyt (Intra), IHC-P and reacts with Recombinant full length protein - Human, Mouse, Rat, Human samples. Cited in 5 publications.

View Alternative Names

Proteasome activator complex subunit 2, 11S regulator complex subunit beta, Activator of multicatalytic protease subunit 2, Proteasome activator 28 subunit beta, REG-beta, PA28b, PA28beta, PSME2

10 Images
Immunohistochemistry (Formalin/PFA-fixed paraffin-embedded sections) - Anti-PSME2 antibody [EPR14931] (AB183727)
  • IHC-P

Supplier Data

Immunohistochemistry (Formalin/PFA-fixed paraffin-embedded sections) - Anti-PSME2 antibody [EPR14931] (AB183727)

Immunohistochemical analysis of paraffin-embedded Human stomach tissue labeling PSME2 with ab183727 at 1/100 dilution followed by pre-diluted HRP-conjugated secondary antibody and counter-stained with Hematoxylin.

Perform heat mediated antigen retrieval with EDTA buffer pH 9 before commencing with IHC staining protocol.

Flow Cytometry (Intracellular) - Anti-PSME2 antibody [EPR14931] (AB183727)
  • Flow Cyt (Intra)

Lab

Flow Cytometry (Intracellular) - Anti-PSME2 antibody [EPR14931] (AB183727)

Intracellular flow cytometric analysis of 4% paraformaldehyde fixed 90% methanol permeabilized HepG2 (Human hepatocellular carcinoma epithelial cell) cells labelling PSME2 with ab183727 at 1/500 dilution (0.1μg) (Red) compared with a Rabbit monoclonal IgG (ab172730) (Black) isotype control and an unlabelled control (cells without incubation with primary antibody and secondary antibody) (Blue). A Goat anti rabbit IgG (Alexa Fluor® 488, ab150077) at 1/2000 dilution was used as the secondary antibody.

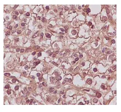
Immunohistochemistry (Formalin/PFA-fixed paraffin-embedded sections) - Anti-PSME2 antibody [EPR14931] (AB183727)
  • IHC-P

Supplier Data

Immunohistochemistry (Formalin/PFA-fixed paraffin-embedded sections) - Anti-PSME2 antibody [EPR14931] (AB183727)

Immunohistochemical analysis of paraffin-embedded Human kidney clear cell carcinoma tissue labeling PSME2 with ab183727 at 1/100 dilution followed by pre-diluted HRP-conjugated secondary antibody and counter-stained with Hematoxylin.

Perform heat mediated antigen retrieval with EDTA buffer pH 9 before commencing with IHC staining protocol.

Immunocytochemistry/ Immunofluorescence - Anti-PSME2 antibody [EPR14931] (AB183727)
  • ICC/IF

Supplier Data

Immunocytochemistry/ Immunofluorescence - Anti-PSME2 antibody [EPR14931] (AB183727)

Immunofluorescent analysis of HepG2 cells (paraformaldehyde-fixed 4%) labeling PSME2 with ab183727 at 1/500 dilution followed by Goat anti rabbit IgG (AlexaFluor® 488) secondary at 1/200 dilution and counter-stained with DAPI (blue).

Immunocytochemistry/ Immunofluorescence - Anti-PSME2 antibody [EPR14931] (AB183727)
  • ICC/IF

Supplier Data

Immunocytochemistry/ Immunofluorescence - Anti-PSME2 antibody [EPR14931] (AB183727)

Immunofluorescent analysis of HeLa cells (-20°C acetone-fixed) labeling PSME2 with ab183727 at 1/500 dilution followed by Goat anti rabbit IgG (AlexaFluor® 488) secondary at 1/200 dilution and counter-stained with DAPI (blue).

Flow Cytometry (Intracellular) - Anti-PSME2 antibody [EPR14931] (AB183727)
  • Flow Cyt (Intra)

Supplier Data

Flow Cytometry (Intracellular) - Anti-PSME2 antibody [EPR14931] (AB183727)

Intracellular flow cytometric analysis of HeLa cells (paraformaldehyde-fixed, 2%) labeling PSME2 with ab183727 at 1/210 dilution (red) or a rabbit IgG (negative) (green), followed by Goat anti rabbit IgG (FITC) secondary at 1/150 dilution.

Indirect ELISA - Anti-PSME2 antibody [EPR14931] (AB183727)
  • I-ELISA

Lab

Indirect ELISA - Anti-PSME2 antibody [EPR14931] (AB183727)

ELISA analysis of Human PSME2 recombinant protein at 250 ng/mL with ab183727. An Alkaline Phosphatase-conjugated AffiniPure Goat Anti-Rabbit IgG (H+L) at 1/2500 dilution was used as the secondary antibody.

Flow Cytometry (Intracellular) - Anti-PSME2 antibody [EPR14931] (AB183727)
  • Flow Cyt (Intra)

Lab

Flow Cytometry (Intracellular) - Anti-PSME2 antibody [EPR14931] (AB183727)

Intracellular flow cytometric analysis of 4% paraformaldehyde fixed 90% methanol permeabilized Neuro-2a (Mouse neuroblastoma neuroblast) cells labelling PSME2 with ab183727 at 1/500 dilution (0.1μg) (Red) compared with a Rabbit monoclonal IgG (ab172730) (Black) isotype control and an unlabelled control (cells without incubation with primary antibody and secondary antibody) (Blue). A Goat anti rabbit IgG (Alexa Fluor® 488, ab150077) at 1/2000 dilution was used as the secondary antibody.

Western blot - Anti-PSME2 antibody [EPR14931] (AB183727)
  • WB

Supplier Data

Western blot - Anti-PSME2 antibody [EPR14931] (AB183727)

Exposure times :

Lane 1 : 3.25 seconds

Lane 2 : 3 minutes

Blocking Buffer and concentration : 5% NFDM/TBST

All lanes:

Western blot - Anti-PSME2 antibody [EPR14931] (ab183727) at 1/1000 dilution

Lane 1:

PC-12 (rat adrenal gland pheochromocytoma) whole cell lysate at 20 µg

Lane 2:

Neuro-2a (mouse neuroblastoma neuroblast) whole cell lysate at 20 µg

Lane 3:

4T1 (mouse mammary gland carcinoma epithelial cell) whole cell lysate at 20 µg

Secondary

All lanes:

Western blot - Goat Anti-Rabbit IgG H&L (HRP) (<a href='/en-us/products/secondary-antibodies/goat-rabbit-igg-h-l-hrp-ab97051'>ab97051</a>) at 1/20000 dilution

Predicted band size: 27 kDa

Observed band size: 27 kDa

false

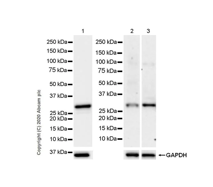
Western blot - Anti-PSME2 antibody [EPR14931] (AB183727)
  • WB

Supplier Data

Western blot - Anti-PSME2 antibody [EPR14931] (AB183727)

All lanes:

Western blot - Anti-PSME2 antibody [EPR14931] (ab183727) at 1/10000 dilution

Lane 1:

HeLa cell lysate at 20 µg

Lane 2:

PC3 cell lysate at 20 µg

Lane 3:

HepG2 cell lysate at 20 µg

Secondary

All lanes:

Goat Anti-Rabbit IgG, (H+L), Peroxidase conjugate at 1/1000 dilution

Predicted band size: 27 kDa

false

Key facts

Host species

Rabbit

Clonality

Monoclonal

Clone number

EPR14931

Isotype

IgG

Carrier free

No

Reacts with

Mouse, Rat, Human

Applications

IHC-P, ICC/IF, Flow Cyt (Intra), WB, I-ELISA

applications

Immunogen

The exact immunogen used to generate this antibody is proprietary information.

Reactivity data

{ "title": "Reactivity Data", "filters": { "stats": ["", "Species", "Dilution Info", "Notes"], "tabs": { "all-applications": {"fullname" : "All Applications", "shortname": "All Applications"}, "IELISA" : {"fullname" : "Indirect ELISA", "shortname":"I-ELISA"}, "WB" : {"fullname" : "Western blot", "shortname":"WB"}, "ICCIF" : {"fullname" : "Immunocytochemistry/ Immunofluorescence", "shortname":"ICC/IF"}, "FlowCytIntra" : {"fullname" : "Flow Cytometry (Intracellular)", "shortname":"Flow Cyt (Intra)"}, "IHCP" : {"fullname" : "Immunohistochemistry (Formalin/PFA-fixed paraffin-embedded sections)", "shortname":"IHC-P"} }, "product-promise": { "all": "all", "testedAndGuaranteed": "tested", "guaranteed": "expected", "predicted": "predicted", "notRecommended": "not-recommended" } }, "values": { "Human": { "IELISA-species-checked": "guaranteed", "IELISA-species-dilution-info": "", "IELISA-species-notes": "", "WB-species-checked": "testedAndGuaranteed", "WB-species-dilution-info": "1/1000 - 1/10000", "WB-species-notes": "<p></p>", "ICCIF-species-checked": "testedAndGuaranteed", "ICCIF-species-dilution-info": "1/500", "ICCIF-species-notes": "<p></p>", "FlowCytIntra-species-checked": "testedAndGuaranteed", "FlowCytIntra-species-dilution-info": "1/200 - 1/500", "FlowCytIntra-species-notes": "<p><a href='/en-us/products/primary-antibodies/rabbit-igg-monoclonal-epr25a-isotype-control-ab172730'>ab172730</a> - Rabbit monoclonal IgG, is suitable for use as an isotype control with this antibody.</p>", "IHCP-species-checked": "testedAndGuaranteed", "IHCP-species-dilution-info": "1/50 - 1/100", "IHCP-species-notes": "<p></p>" }, "Mouse": { "IELISA-species-checked": "guaranteed", "IELISA-species-dilution-info": "", "IELISA-species-notes": "", "WB-species-checked": "testedAndGuaranteed", "WB-species-dilution-info": "1/1000 - 1/10000", "WB-species-notes": "<p></p>", "ICCIF-species-checked": "notRecommended", "ICCIF-species-dilution-info": "1/500", "ICCIF-species-notes": "<p></p>", "FlowCytIntra-species-checked": "testedAndGuaranteed", "FlowCytIntra-species-dilution-info": "1/200 - 1/500", "FlowCytIntra-species-notes": "<p><a href='/en-us/products/primary-antibodies/rabbit-igg-monoclonal-epr25a-isotype-control-ab172730'>ab172730</a> - Rabbit monoclonal IgG, is suitable for use as an isotype control with this antibody.</p>", "IHCP-species-checked": "guaranteed", "IHCP-species-dilution-info": "", "IHCP-species-notes": "" }, "Rat": { "IELISA-species-checked": "guaranteed", "IELISA-species-dilution-info": "", "IELISA-species-notes": "", "WB-species-checked": "testedAndGuaranteed", "WB-species-dilution-info": "1/1000 - 1/10000", "WB-species-notes": "<p></p>", "ICCIF-species-checked": "guaranteed", "ICCIF-species-dilution-info": "", "ICCIF-species-notes": "", "FlowCytIntra-species-checked": "guaranteed", "FlowCytIntra-species-dilution-info": "", "FlowCytIntra-species-notes": "", "IHCP-species-checked": "guaranteed", "IHCP-species-dilution-info": "", "IHCP-species-notes": "" }, "Recombinant full length protein - Human": { "IELISA-species-checked": "testedAndGuaranteed", "IELISA-species-dilution-info": "0.002-1 µg/mL", "IELISA-species-notes": "<p></p>", "WB-species-checked": "notRecommended", "WB-species-dilution-info": "", "WB-species-notes": "", "ICCIF-species-checked": "notRecommended", "ICCIF-species-dilution-info": "", "ICCIF-species-notes": "", "FlowCytIntra-species-checked": "notRecommended", "FlowCytIntra-species-dilution-info": "", "FlowCytIntra-species-notes": "", "IHCP-species-checked": "notRecommended", "IHCP-species-dilution-info": "", "IHCP-species-notes": "" } } }

Product details

Patented technology
Our RabMAb® technology is a patented hybridoma-based technology for making rabbit monoclonal antibodies. For details on our patents, please refer to RabMAb® patents.

What are the advantages of a recombinant monoclonal antibody?
This product is a recombinant monoclonal antibody, which offers several advantages including:

  • - High batch-to-batch consistency and reproducibility
  • - Improved sensitivity and specificity
  • - Long-term security of supply
  • - Animal-free batch production

For more information, read more on recombinant antibodies.

Properties and storage information

Form
Liquid
Purification technique
Affinity purification Protein A
Storage buffer
pH: 7.2 Preservative: 0.01% Sodium azide Constituents: PBS, 40% Glycerol (glycerin, glycerine), 0.05% BSA
Shipped at conditions
Blue Ice
Appropriate short-term storage duration
1-2 weeks
Appropriate short-term storage conditions
+4°C
Appropriate long-term storage conditions
-20°C
Aliquoting information
Upon delivery aliquot
Storage information
Avoid freeze / thaw cycle

Supplementary information

This supplementary information is collated from multiple sources and compiled automatically.

PSME2 also known as PA28β or Proteasome Activator Subunit 2 is a regulatory protein with a molecular mass of approximately 28 kDa. It forms a part of the 11S regulator complex which modulates proteasome activities specifically the 20S proteasome. PSME2 is important in facilitating the degradation of endogenous proteins by opening the gate on the 20S proteasome core. It consistently expresses in various tissues with notable expression in immune-related tissues such as the spleen and thymus indicating its significant role in immune system functions.
Biological function summary

PSME2 participates in immunoproteasome formation impacting antigen processing and presentation. It binds to the 20S proteasome core facilitating a switch in proteolytic activities that enable the generation of peptide fragments suited for MHC class I molecule presentation. The biological function of PSME2 is critical in adaptive immune responses where it increases the efficiency and specificity of antigen processing. As part of the PA28 protein complex PSME2 partners with other subunits like PSME1 to enhance the degradation of oxidized proteins contributing to cellular homeostasis.

Pathways

Studies highlight PSME2’s involvement in the ubiquitin-proteasome pathway an important process for intracellular protein degradation. This pathway handles the removal of misfolded or damaged proteins and PSME2’s interaction with the 20S proteasome reflects its necessity for effective proteostasis. Additionally PSME2 acts in coordination with other proteasome subunits and cofactors such as PSME3 to modulate activity rates in response to cellular signals therefore integrating cellular responses to stress and damage repairs.

Researchers often link PSME2 to autoimmune diseases and cancer. In autoimmune conditions improper processing of antigens due to altered PSME2 function can lead to inappropriate immune responses with PSME2's altered expression observed in diseases like rheumatoid arthritis. With respect to cancer PSME2’s impact on antigen presentation affects tumor immune surveillance where reduced activity might allow immune evasion by cancer cells. Its relationship with the proteasome suggests connections with pathways involving proteins like β-catenin which play roles in disease progression and immune system evasion strategies.

Product protocols

For this product, it's our understanding that no specific protocols are required. You can visit:

Target data

Implicated in immunoproteasome assembly and required for efficient antigen processing. The PA28 activator complex enhances the generation of class I binding peptides by altering the cleavage pattern of the proteasome.
See full target information Proteasome activator complex subunit 2

Publications (5)

Recent publications for all applications. Explore the full list and refine your search

Nature communications 13:6394 PubMed36302906

2022

Intramyocardial hemorrhage drives fatty degeneration of infarcted myocardium.

Applications

Unspecified application

Species

Unspecified reactive species

Ivan Cokic,Shing Fai Chan,Xingmin Guan,Anand R Nair,Hsin-Jung Yang,Ting Liu,Yinyin Chen,Diego Hernando,Jane Sykes,Richard Tang,John Butler,Alice Dohnalkova,Libor Kovarik,Robert Finney,Avinash Kali,Behzad Sharif,Louis S Bouchard,Rajesh Gupta,Mayil Singaram Krishnam,Keyur Vora,Balaji Tamarappoo,Andrew G Howarth,Andreas Kumar,Joseph Francis,Scott B Reeder,John C Wood,Frank S Prato,Rohan Dharmakumar

International journal of oncology 59: PubMed34779489

2021

Increased expression of PSME2 is associated with clear cell renal cell carcinoma invasion by regulating BNIP3‑mediated autophagy.

Applications

Unspecified application

Species

Unspecified reactive species

Xiaoyun Wang,Fengbo Wu,Yutong Deng,Jinlong Chai,Yuehua Zhang,Gu He,Xiang Li

Life science alliance 3: PubMed32423906

2020

Tradeoff between metabolic i-proteasome addiction and immune evasion in triple-negative breast cancer.

Applications

Unspecified application

Species

Unspecified reactive species

Alaknanda Adwal,Priyakshi Kalita-de Croft,Reshma Shakya,Malcolm Lim,Emarene Kalaw,Lucinda D Taege,Amy E McCart Reed,Sunil R Lakhani,David F Callen,Jodi M Saunus

American journal of transplantation : official journal of the American Society of Transplantation and the American Society of Transplant Surgeons 20:399-410 PubMed31595669

2019

Proteasomal adaptations underlying carfilzomib-resistance in human bone marrow plasma cells.

Applications

Unspecified application

Species

Unspecified reactive species

E Steve Woodle,Simon Tremblay,Paul Brailey,Alin Girnita,Rita R Alloway,Bruce Aronow,Nupur Dasgupta,Frederic Ebstein,Peter-Michael Kloetzel,Min Jae Lee,Kyung B Kim,Harinder Singh,James J Driscoll

Nature microbiology 4:933-940 PubMed30886358

2019

Immunoproteasome activation enables human TRIM5α restriction of HIV-1.

Applications

Unspecified application

Species

Unspecified reactive species

Jose M Jimenez-Guardeño,Luis Apolonia,Gilberto Betancor,Michael H Malim
View all publications

Product promise

We are committed to supporting your work with high-quality reagents, and we're here for you every step of the way. In the unlikely event that one of our products does not perform as expected, you're protected by our Product Promise.
For full details, please see our Terms & Conditions

Please note: All products are 'FOR RESEARCH USE ONLY. NOT FOR USE IN DIAGNOSTIC OR THERAPEUTIC PROCEDURES'.

For licensing inquiries, please contact partnerships@abcam.com