JavaScript is disabled in your browser. Please enable JavaScript to view this website.
AB282600

Anti-PSME3 antibody [EPR24504-11] - BSA and Azide free

  • BOND RX™ Validated
  • RabMAb
  • Recombinant
  • KO Validated
  • What is this?

Be the first to review this product! Submit a review

|

(0 Publication)

Rabbit Recombinant Monoclonal PSME3 antibody. Carrier free. Suitable for IHC-P and reacts with Human samples.

View Alternative Names

Proteasome activator complex subunit 3, 11S regulator complex subunit gamma, Activator of multicatalytic protease subunit 3, Ki nuclear autoantigen, Proteasome activator 28 subunit gamma, REG-gamma, PA28g, PA28gamma, PSME3

4 Images
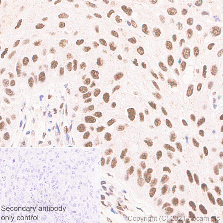
Immunohistochemistry (Formalin/PFA-fixed paraffin-embedded sections) - Anti-PSME3 antibody [EPR24504-11] - BSA and Azide free (AB282600)
  • IHC-P

Supplier Data

Immunohistochemistry (Formalin/PFA-fixed paraffin-embedded sections) - Anti-PSME3 antibody [EPR24504-11] - BSA and Azide free (AB282600)

This data was developed using ab282576, the same antibody clone in a different buffer formulation.

Immunohistochemical analysis of paraffin-embedded Human bladder cancer tissue labelling PSME3 with ab282576 at 1/2000 (0.266 ug/ml) dilution followed by a ready to use LeicaDS9800 (Bond™ Polymer Refine Detection). Nuclear staining in human bladder cancer. The section was incubated with ab282576 for 30 mins at room temperature. The immunostaining was performed on a Leica Biosystems BOND® RX instrument Counterstained with Hematoxylin.

Secondary antibody only control : Secondary antibody is a ready to use LeicaDS9800 (Bond™ Polymer Refine Detection).

Heat mediated antigen retrieval with Tris-EDTA buffer (pH 9.0, epitope retrieval solution2) for 20 mins

Immunohistochemistry (Formalin/PFA-fixed paraffin-embedded sections) - Anti-PSME3 antibody [EPR24504-11] - BSA and Azide free (AB282600)
  • IHC-P

Supplier Data

Immunohistochemistry (Formalin/PFA-fixed paraffin-embedded sections) - Anti-PSME3 antibody [EPR24504-11] - BSA and Azide free (AB282600)

This data was developed using ab282576, the same antibody clone in a different buffer formulation.

Immunohistochemical analysis of paraffin-embedded Parental HEK293T (A) PSME3 KO HEK293T (B) tissue labelling PSME3 with ab282576 at 1/2000 (0.266 ug/ml) dilution followed by a ready to use LeicaDS9800 (Bond™ Polymer Refine Detection). Mainly nuclear staining in Parental HEK293T (A) and nearly no staining in PSME3 KO HEK293T (B). The section was incubated with ab282576 for 30 mins at room temperature. The immunostaining was performed on a Leica Biosystems BOND® RX instrument Counterstained with Hematoxylin.

Secondary antibody only control : Secondary antibody is a ready to use LeicaDS9800 (Bond™ Polymer Refine Detection).

Heat mediated antigen retrieval with Tris-EDTA buffer (pH 9.0, epitope retrieval solution2) for 20 mins

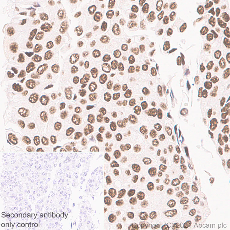
Immunohistochemistry (Formalin/PFA-fixed paraffin-embedded sections) - Anti-PSME3 antibody [EPR24504-11] - BSA and Azide free (AB282600)
  • IHC-P

Supplier Data

Immunohistochemistry (Formalin/PFA-fixed paraffin-embedded sections) - Anti-PSME3 antibody [EPR24504-11] - BSA and Azide free (AB282600)

This data was developed using ab282576, the same antibody clone in a different buffer formulation.

Immunohistochemical analysis of paraffin-embedded Human lung cancer tissue labelling PSME3 with ab282576 at 1/2000 (0.266 ug/ml) dilution followed by a ready to use LeicaDS9800 (Bond™ Polymer Refine Detection). Nuclear staining in human lung cancer (PMID : 28605165). The section was incubated with ab282576 for 30 mins at room temperature. The immunostaining was performed on a Leica Biosystems BOND® RX instrument Counterstained with Hematoxylin.

Secondary antibody only control : Secondary antibody is a ready to use LeicaDS9800 (Bond™ Polymer Refine Detection).

Heat mediated antigen retrieval with Tris-EDTA buffer (pH 9.0, epitope retrieval solution2) for 20 mins

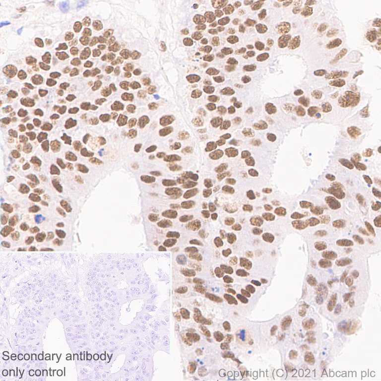
Immunohistochemistry (Formalin/PFA-fixed paraffin-embedded sections) - Anti-PSME3 antibody [EPR24504-11] - BSA and Azide free (AB282600)
  • IHC-P

Supplier Data

Immunohistochemistry (Formalin/PFA-fixed paraffin-embedded sections) - Anti-PSME3 antibody [EPR24504-11] - BSA and Azide free (AB282600)

This data was developed using ab282576, the same antibody clone in a different buffer formulation.

Immunohistochemical analysis of paraffin-embedded Human colon cancer tissue labelling PSME3 with ab282576 at 1/2000 (0.266 ug/ml) dilution followed by a ready to use LeicaDS9800 (Bond™ Polymer Refine Detection). Nuclear staining in human colon cancer.The section was incubated with ab282576 for 30 mins at room temperature. The immunostaining was performed on a Leica Biosystems BOND® RX instrument Counterstained with Hematoxylin.

Secondary antibody only control : Secondary antibody is a ready to use LeicaDS9800 (Bond™ Polymer Refine Detection).

Heat mediated antigen retrieval with Tris-EDTA buffer (pH 9.0, epitope retrieval solution2) for 20 mins

Key facts

Host species

Rabbit

Clonality

Monoclonal

Clone number

EPR24504-11

Isotype

IgG

Carrier free

Yes

Reacts with

Human

Applications

IHC-P

applications

Immunogen

The exact immunogen used to generate this antibody is proprietary information.

Reactivity data

{ "title": "Reactivity Data", "filters": { "stats": ["", "Species", "Dilution Info", "Notes"], "tabs": { "all-applications": {"fullname" : "All Applications", "shortname": "All Applications"}, "ICCIF" : {"fullname" : "Immunocytochemistry/ Immunofluorescence", "shortname":"ICC/IF"}, "IP" : {"fullname" : "Immunoprecipitation", "shortname":"IP"}, "WB" : {"fullname" : "Western blot", "shortname":"WB"}, "IHCP" : {"fullname" : "Immunohistochemistry (Formalin/PFA-fixed paraffin-embedded sections)", "shortname":"IHC-P"}, "FlowCytIntra" : {"fullname" : "Flow Cytometry (Intracellular)", "shortname":"Flow Cyt (Intra)"} }, "product-promise": { "all": "all", "testedAndGuaranteed": "tested", "guaranteed": "expected", "predicted": "predicted", "notRecommended": "not-recommended" } }, "values": { "Human": { "ICCIF-species-checked": "notRecommended", "ICCIF-species-dilution-info": "", "ICCIF-species-notes": "<p></p>", "IP-species-checked": "notRecommended", "IP-species-dilution-info": "", "IP-species-notes": "<p></p>", "WB-species-checked": "notRecommended", "WB-species-dilution-info": "", "WB-species-notes": "<p></p>", "IHCP-species-checked": "testedAndGuaranteed", "IHCP-species-dilution-info": "", "IHCP-species-notes": "<p></p>", "FlowCytIntra-species-checked": "notRecommended", "FlowCytIntra-species-dilution-info": "", "FlowCytIntra-species-notes": "<p></p>" }, "Mouse": { "ICCIF-species-checked": "notRecommended", "ICCIF-species-dilution-info": "", "ICCIF-species-notes": "<p></p>", "IP-species-checked": "notRecommended", "IP-species-dilution-info": "", "IP-species-notes": "<p></p>", "WB-species-checked": "notRecommended", "WB-species-dilution-info": "", "WB-species-notes": "<p></p>", "IHCP-species-checked": "notRecommended", "IHCP-species-dilution-info": "", "IHCP-species-notes": "<p></p>", "FlowCytIntra-species-checked": "notRecommended", "FlowCytIntra-species-dilution-info": "", "FlowCytIntra-species-notes": "<p></p>" }, "Rat": { "ICCIF-species-checked": "notRecommended", "ICCIF-species-dilution-info": "", "ICCIF-species-notes": "", "IP-species-checked": "notRecommended", "IP-species-dilution-info": "", "IP-species-notes": "", "WB-species-checked": "notRecommended", "WB-species-dilution-info": "", "WB-species-notes": "<p></p>", "IHCP-species-checked": "notRecommended", "IHCP-species-dilution-info": "", "IHCP-species-notes": "<p></p>", "FlowCytIntra-species-checked": "notRecommended", "FlowCytIntra-species-dilution-info": "", "FlowCytIntra-species-notes": "" } } }

Product details

ab282600 is the carrier-free version of ab282576.

Patented technology
Our RabMAb® technology is a patented hybridoma-based technology for making rabbit monoclonal antibodies. For details on our patents, please refer to RabMAb® patents.

What are the advantages of a recombinant monoclonal antibody?
This product is a recombinant monoclonal antibody, which offers several advantages including:

  • - High batch-to-batch consistency and reproducibility
  • - Improved sensitivity and specificity
  • - Long-term security of supply
  • - Animal-free batch production

For more information, read more on recombinant antibodies.

Conjugation ready
Our carrier-free antibodies are typically supplied in a PBS-only formulation, purified and free of BSA, sodium azide and glycerol. This conjugation-ready format is designed for use with fluorochromes, metal isotopes, oligonucleotides, and enzymes, which makes them ideal for antibody labelling, functional and cell-based assays, flow-based assays (e.g. mass cytometry) and Multiplex Imaging applications.

Use our conjugation kits for antibody conjugates that are ready-to-use in as little as 20 minutes with 1 minute hands-on-time and 100% antibody recovery: available for fluorescent dyes, HRP, biotin and gold.

Compatibility
This product is compatible with the Maxpar® Antibody Labeling Kit from Fluidigm, without the need for antibody preparation. Maxpar® is a trademark of Fluidigm Canada Inc.

Properties and storage information

Form
Liquid
Purification technique
Affinity purification Protein A
Storage buffer
Constituents: 100% PBS
Shipped at conditions
Blue Ice
Appropriate short-term storage conditions
+4°C
Appropriate long-term storage conditions
+4°C

Supplementary information

This supplementary information is collated from multiple sources and compiled automatically.

The PSME3 protein also known as PA28γ or REGγ is mechanically an essential proteasome activator that facilitates the degradation of ubiquitin-independent substrates. It has a molecular weight of approximately 29 kDa. PSME3 is mainly found in the nucleus and shows strong expression in various tissues including liver kidney and heart. The protein operates by binding to the 20S proteasome core and enhances the specificity of proteolytic activity.
Biological function summary

PSME3 regulates cell cycle progression and apoptosis. It is part of a larger multiprotein complex with the 20S proteasome core forming an important component in protein homeostasis. PSME3’s interaction with the proteasome core significantly reduces the accumulation of certain regulatory proteins by promoting their degradation. This function affects several cellular processes such as cell proliferation and DNA repair aiding the maintenance of cellular function and integrity.

Pathways

PSME3 plays a critical role in mediating the ubiquitin-proteasome pathway and the MDM2-p53 pathway. In the ubiquitin-proteasome pathway it assists in the controlled turnover of intracellular proteins which is pivotal for maintaining cellular protein quality. In the MDM2-p53 pathway it affects the stability of the p53 protein by enhancing the degradation of both MDM2 and p53 therefore modulating apoptosis and growth arrest in cells under stress or DNA damage conditions.

Disruptions in PSME3 function correlate with cancer and neurodegenerative disorders. Overexpression of PSME3 is often linked to oncogenesis due to its role in controlling the degradation of tumor suppressor proteins like p53. This protein is also implicated in Parkinson’s disease where its interaction with pathogenic proteins suggests it might contribute to the accumulation of misfolded proteins. PSME3 along with its pathways and related proteins offers potential as a target for therapeutic intervention in these diseases.

Product protocols

For this product, it's our understanding that no specific protocols are required. You can visit:

Target data

Subunit of the 11S REG-gamma (also called PA28-gamma) proteasome regulator, a doughnut-shaped homoheptamer which associates with the proteasome. 11S REG-gamma activates the trypsin-like catalytic subunit of the proteasome but inhibits the chymotrypsin-like and postglutamyl-preferring (PGPH) subunits. Facilitates the MDM2-p53/TP53 interaction which promotes ubiquitination- and MDM2-dependent proteasomal degradation of p53/TP53, limiting its accumulation and resulting in inhibited apoptosis after DNA damage. May also be involved in cell cycle regulation. Mediates CCAR2 and CHEK2-dependent SIRT1 inhibition (PubMed : 25361978).
See full target information PSME3

Product promise

We are committed to supporting your work with high-quality reagents, and we're here for you every step of the way. In the unlikely event that one of our products does not perform as expected, you're protected by our Product Promise.
For full details, please see our Terms & Conditions

Please note: All products are 'FOR RESEARCH USE ONLY. NOT FOR USE IN DIAGNOSTIC OR THERAPEUTIC PROCEDURES'.

For licensing inquiries, please contact partnerships@abcam.com