JavaScript is disabled in your browser. Please enable JavaScript to view this website.
AB275026

Anti-Psoriasin antibody [EPR23482-38]

Be the first to review this product! Submit a review

|

(1 Publication)

Rabbit Recombinant Monoclonal Psoriasin antibody. Suitable for ICC/IF, IP, WB, Flow Cyt (Intra), IHC-P and reacts with Human, Recombinant fragment - Human samples. Cited in 1 publication.

View Alternative Names

PSOR1, S100A7C, S100A7, Protein S100-A7, Psoriasin, S100 calcium-binding protein A7

8 Images
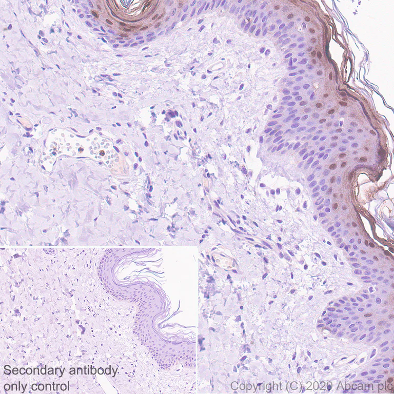
Immunohistochemistry (Formalin/PFA-fixed paraffin-embedded sections) - Anti-Psoriasin antibody [EPR23482-38] (AB275026)
  • IHC-P

Unknown

Immunohistochemistry (Formalin/PFA-fixed paraffin-embedded sections) - Anti-Psoriasin antibody [EPR23482-38] (AB275026)

Immunohistochemical analysis of paraffin-embedded human skin tissue labeling Psoriasin with ab275026 at 1/500 dilution followed by ready to use Rabbit specific IHC polymer detection kit HRP/DAB (ab209101). Positive staining on human skin (PMID : 18223693). The section was incubated with ab275026 for 30 mins at room temperature. The immunostaining was performed on a Leica Biosystems BOND® RX instrument. Counterstained with Hematoxylin.

Secondary antibody only control : Secondary antibody is ready to use Rabbit specific IHC polymer detection kit HRP/DAB (ab209101).

Heat mediated antigen retrieval with Tris-EDTA buffer (pH 9.0, epitope retrieval solution2) for 20 mins.

Flow Cytometry (Intracellular) - Anti-Psoriasin antibody [EPR23482-38] (AB275026)
  • Flow Cyt (Intra)

Unknown

Flow Cytometry (Intracellular) - Anti-Psoriasin antibody [EPR23482-38] (AB275026)

Intracellular flow cytometric analysis of 4% paraformaldehyde fixed 90% methanol permeabilized MDA-MB-468 (Human breast adenocarcinoma epithelial cell) cells labelling Psoriasin with ab275026 at 1/500 dilution (0.1μg) (Red) compared with a Rabbit monoclonal IgG (ab172730) (Black) isotype control and an unlabelled control (cells without incubation with primary antibody and secondary antibody) (Blue).

A Goat anti rabbit IgG (Alexa Fluor® 488, ab150077) at 1/2000 dilution was used as the secondary antibody.

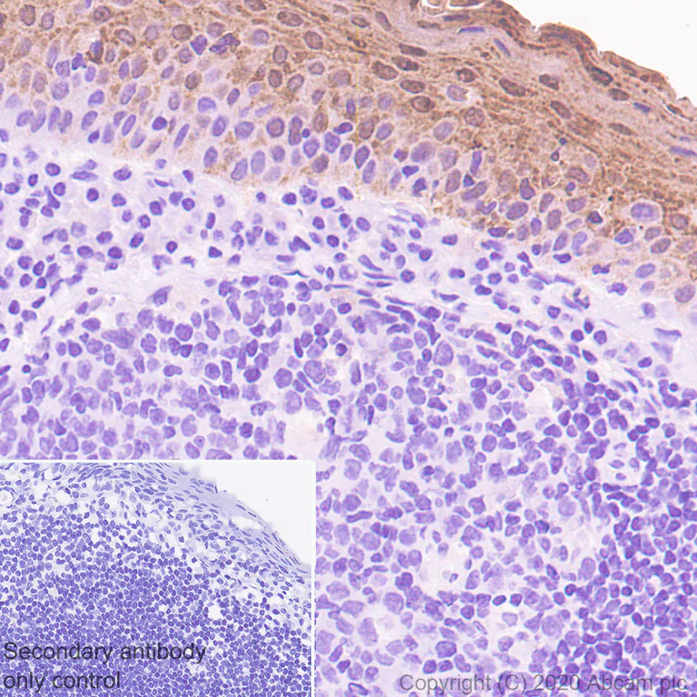
Immunohistochemistry (Formalin/PFA-fixed paraffin-embedded sections) - Anti-Psoriasin antibody [EPR23482-38] (AB275026)
  • IHC-P

Unknown

Immunohistochemistry (Formalin/PFA-fixed paraffin-embedded sections) - Anti-Psoriasin antibody [EPR23482-38] (AB275026)

Immunohistochemical analysis of paraffin-embedded human tonsil tissue labeling Psoriasin with ab275026 at 1/500 dilution followed by ready to use Rabbit specific IHC polymer detection kit HRP/DAB (ab209101). Positive staining on human tonsil. The section was incubated with ab275026 for 30 mins at room temperature. The immunostaining was performed on a Leica Biosystems BOND® RX instrument. Counterstained with Hematoxylin.

Secondary antibody only control : Secondary antibody is ready to use Rabbit specific IHC polymer detection kit HRP/DAB (ab209101).

Heat mediated antigen retrieval with Tris-EDTA buffer (pH 9.0, epitope retrieval solution2) for 20 mins.

Immunocytochemistry/ Immunofluorescence - Anti-Psoriasin antibody [EPR23482-38] (AB275026)
  • ICC/IF

Unknown

Immunocytochemistry/ Immunofluorescence - Anti-Psoriasin antibody [EPR23482-38] (AB275026)

Immunofluorescent analysis of 4% Paraformaldehyde-fixed, 0.1% Triton X-100 permeabilized MDA-MB-468 cells labelling Psoriasin with ab275026 at 1/250 (2.132 μg/ml) dilution, followed by ab150077 Goat Anti-Rabbit IgG H&L (Alexa Fluor® 488) antibody at 1/1000 dilution (Green). Confocal image showing cytoplasmic staining in MDA-MB-468 cells.

Negative control : MDA-MB-231 (PMID : 15994944).

ab195889 Anti-alpha Tubulin mouse monoclonal antibody - Microtubule Marker (Alexa Fluor® 594) was used to counterstain tubulin at 1/200 dilution (Red). The nuclear counterstain was DAPI (Blue).

Secondary antibody only control : Secondary antibody is ab150077 Goat Anti-Rabbit IgG H&L (Alexa Fluor® 488) at 1/1000 dilution.

Immunoprecipitation - Anti-Psoriasin antibody [EPR23482-38] (AB275026)
  • IP

Unknown

Immunoprecipitation - Anti-Psoriasin antibody [EPR23482-38] (AB275026)

Psoriasin was immunoprecipitated from 0.35 mg MDA-MB-468 (human breast adenocarcinoma epithelial cell), whole cell lysate with ab275026 at 1/30 dilution (2μg in 0.35mg lysates). Western blot was performed on the immunoprecipitate using ab275026 at 1/1000 dilution. VeriBlot for IP Detection Reagent (HRP)(ab131366) was used at 1/5000 dilution.

Lane 1 : MDA-MB-468 whole cell lysate 10 μg.

Lane 2 : ab275026 IP in MDA-MB-468 whole cell lysate.

Lane 3 : Rabbit monoclonal IgG (ab172730) instead of ab275026 in MDA-MB-468 whole cell lysate.

Blocking and dilution buffer and concentration : 5% NFDM/TBST.

Exposure time : 76 seconds.

All lanes:

Immunoprecipitation - Anti-Psoriasin antibody [EPR23482-38] (ab275026)

Predicted band size: 11 kDa

Observed band size: 12 kDa

false

Western blot - Anti-Psoriasin antibody [EPR23482-38] (AB275026)
  • WB

Unknown

Western blot - Anti-Psoriasin antibody [EPR23482-38] (AB275026)

Blocking and dilution buffer : 5% NFDM/TBST.

Exposure time : 81 seconds.

The expression profile observed is consistent with what has been described in the literature (PMID : 20596736, 12855640, 26055798).

All lanes:

Western blot - Anti-Psoriasin antibody [EPR23482-38] (ab275026) at 1/1000 dilution

All lanes:

Human tonsil tissue lysate at 20 µg

Secondary

All lanes:

VeriBlot for IP secondary antibody(HRP)(<a href='/en-us/products/reagents/veriblot-for-ip-detection-reagent-hrp-ab131366'>ab131366</a>) at 1/1000 dilution

Predicted band size: 11 kDa

Observed band size: 12 kDa

false

Western blot - Anti-Psoriasin antibody [EPR23482-38] (AB275026)
  • WB

Supplier Data

Western blot - Anti-Psoriasin antibody [EPR23482-38] (AB275026)

Blocking and dilution buffer : 5% NFDM/TBST.

Exposure time : 3 minutes.

The expression profile observed is consistent with what has been described in the literature (PMID : 20596736, 12855640, 26055798).

Negative control : MDA-MB-231 (PMID : 12855640).

All lanes:

Western blot - Anti-Psoriasin antibody [EPR23482-38] (ab275026) at 1/1000 dilution

Lane 1:

MDA-MB-468 (human breast adenocarcinoma epithelial cell), whole cell lysate at 20 µg

Lane 2:

MDA-MB-231 (human breast adenocarcinoma epithelial cell), whole cell lysate at 20 µg

Secondary

All lanes:

Goat Anti-Rabbit IgG, (H+L), Peroxidase conjugated (<a href='/en-us/products/secondary-antibodies/goat-rabbit-igg-h-l-hrp-ab97051'>ab97051</a>) at 1/100000 dilution

Predicted band size: 11 kDa

Observed band size: 12 kDa

false

Western blot - Anti-Psoriasin antibody [EPR23482-38] (AB275026)
  • WB

Unknown

Western blot - Anti-Psoriasin antibody [EPR23482-38] (AB275026)

Blocking and dilution buffer : 5% NFDM/TBST.

Exposure time : 8 seconds.

This antibody reacts with Psoriasin (Protein S100-A7) and Protein S100-A7A.
Linking with 6x His tag leads to the shift of the bands .
Both recombinant proteins were made in house and extracted from E.coli expressing Psoriasin (Protein S100-A7) or Protein S100-A7A.

All lanes:

Western blot - Anti-Psoriasin antibody [EPR23482-38] (ab275026) at 1/1000 dilution

Lane 1:

His-tagged human recombinant Psoriasin (Protein S100-A7) protein, 500 ng

Lane 2:

His-tagged human recombinant S100-A7A protein, 500 ng

Secondary

All lanes:

Goat Anti-Rabbit IgG, (H+L), Peroxidase conjugated (<a href='/en-us/products/secondary-antibodies/goat-rabbit-igg-h-l-hrp-ab97051'>ab97051</a>) at 1/100000 dilution

Predicted band size: 11 kDa

Observed band size: 16 kDa

false

  • Carrier free

    Anti-Psoriasin antibody [EPR23482-38] - BSA and Azide free

Key facts

Host species

Rabbit

Clonality

Monoclonal

Clone number

EPR23482-38

Isotype

IgG

Carrier free

No

Reacts with

Human

Applications

WB, IP, Flow Cyt (Intra), ICC/IF, IHC-P

applications

Immunogen

The exact immunogen used to generate this antibody is proprietary information.

Reactivity data

{ "title": "Reactivity Data", "filters": { "stats": ["", "Species", "Dilution Info", "Notes"], "tabs": { "all-applications": {"fullname" : "All Applications", "shortname": "All Applications"}, "ICCIF" : {"fullname" : "Immunocytochemistry/ Immunofluorescence", "shortname":"ICC/IF"}, "IP" : {"fullname" : "Immunoprecipitation", "shortname":"IP"}, "WB" : {"fullname" : "Western blot", "shortname":"WB"}, "FlowCytIntra" : {"fullname" : "Flow Cytometry (Intracellular)", "shortname":"Flow Cyt (Intra)"}, "IHCP" : {"fullname" : "Immunohistochemistry (Formalin/PFA-fixed paraffin-embedded sections)", "shortname":"IHC-P"} }, "product-promise": { "all": "all", "testedAndGuaranteed": "tested", "guaranteed": "expected", "predicted": "predicted", "notRecommended": "not-recommended" } }, "values": { "Human": { "ICCIF-species-checked": "testedAndGuaranteed", "ICCIF-species-dilution-info": "1/250", "ICCIF-species-notes": "<p></p>", "IP-species-checked": "testedAndGuaranteed", "IP-species-dilution-info": "1/30", "IP-species-notes": "<p></p>", "WB-species-checked": "testedAndGuaranteed", "WB-species-dilution-info": "1/1000", "WB-species-notes": "<p></p>", "FlowCytIntra-species-checked": "testedAndGuaranteed", "FlowCytIntra-species-dilution-info": "1/500", "FlowCytIntra-species-notes": "<p></p>", "IHCP-species-checked": "testedAndGuaranteed", "IHCP-species-dilution-info": "1/500", "IHCP-species-notes": "<p></p>" }, "Mouse": { "ICCIF-species-checked": "notRecommended", "ICCIF-species-dilution-info": "", "ICCIF-species-notes": "", "IP-species-checked": "notRecommended", "IP-species-dilution-info": "", "IP-species-notes": "", "WB-species-checked": "notRecommended", "WB-species-dilution-info": "1/1000", "WB-species-notes": "<p></p>", "FlowCytIntra-species-checked": "notRecommended", "FlowCytIntra-species-dilution-info": "", "FlowCytIntra-species-notes": "", "IHCP-species-checked": "notRecommended", "IHCP-species-dilution-info": "1/500", "IHCP-species-notes": "<p></p>" }, "Rat": { "ICCIF-species-checked": "notRecommended", "ICCIF-species-dilution-info": "", "ICCIF-species-notes": "", "IP-species-checked": "notRecommended", "IP-species-dilution-info": "", "IP-species-notes": "", "WB-species-checked": "notRecommended", "WB-species-dilution-info": "1/1000", "WB-species-notes": "<p></p>", "FlowCytIntra-species-checked": "notRecommended", "FlowCytIntra-species-dilution-info": "", "FlowCytIntra-species-notes": "", "IHCP-species-checked": "notRecommended", "IHCP-species-dilution-info": "1/500", "IHCP-species-notes": "<p></p>" }, "Recombinant fragment - Human": { "ICCIF-species-checked": "notRecommended", "ICCIF-species-dilution-info": "", "ICCIF-species-notes": "", "IP-species-checked": "notRecommended", "IP-species-dilution-info": "", "IP-species-notes": "", "WB-species-checked": "testedAndGuaranteed", "WB-species-dilution-info": "1/1000", "WB-species-notes": "<p></p>", "FlowCytIntra-species-checked": "notRecommended", "FlowCytIntra-species-dilution-info": "", "FlowCytIntra-species-notes": "", "IHCP-species-checked": "notRecommended", "IHCP-species-dilution-info": "", "IHCP-species-notes": "" } } }

Product details

Patented technology
Our RabMAb® technology is a patented hybridoma-based technology for making rabbit monoclonal antibodies. For details on our patents, please refer to RabMAb® patents.

What are the advantages of a recombinant monoclonal antibody?
This product is a recombinant monoclonal antibody, which offers several advantages including:

  • - High batch-to-batch consistency and reproducibility
  • - Improved sensitivity and specificity
  • - Long-term security of supply
  • - Animal-free batch production

For more information, read more on recombinant antibodies.

Properties and storage information

Form
Liquid
Purification technique
Affinity purification Protein A
Storage buffer
Preservative: 0.01% Sodium azide Constituents: PBS, 40% Glycerol (glycerin, glycerine), 0.05% BSA
Shipped at conditions
Blue Ice
Appropriate short-term storage duration
1-2 weeks
Appropriate short-term storage conditions
+4°C
Appropriate long-term storage conditions
-20°C
Aliquoting information
Upon delivery aliquot
Storage information
Avoid freeze / thaw cycle

Supplementary information

This supplementary information is collated from multiple sources and compiled automatically.

Psoriasin also known as S100A7 is a member of the S100 protein family. It has a molecular mass of approximately 11.4 kDa. This protein exhibits calcium binding properties that influence its function. Psoriasin primarily expresses in keratinocytes which are predominant in the epidermis of the skin. Additionally it appears in various epithelia like mucous membranes. The expression levels rise in certain skin conditions suggesting it has a role in skin physiology.
Biological function summary

Psoriasin acts as an antimicrobial peptide contributing to the skin’s defense system against microbial invasion. It helps in controlling the growth of bacteria like E. coli and fungi. The protein does not function as part of a larger complex. Instead it operates independently to maintain the integrity of the skin barrier. Psoriasin also shows involvement in the inflammatory response of the skin where it interact with other immune system players.

Pathways

Several biological systems involve psoriasin including inflammation and skin homeostasis pathways. It interacts closely with other S100 proteins such as S100A8 and S100A9 which are part of the inflammatory process. These interactions can regulate immune cell migration and cytokine production highlighting its active role in modulating skin immune responses. Psoriasin serves as an important component in maintaining the balance between immune protection and inflammation within these pathways.

Psoriasin associates with psoriasis and breast cancer. In psoriasis it significantly increases aligning with its role in inflammation and skin barrier maintenance. The upregulation of psoriasin in psoriasis has been linked to overexpression of related proteins like S100A8 contributing to the chronic inflammatory state. In breast cancer particularly in certain carcinoma contexts its presence suggests a role in cancer cell survival. Researchers study its interaction with proteins in the cancer microenvironment to better understand its influence on tumor progression.

Product protocols

For this product, it's our understanding that no specific protocols are required. You can visit:

Publications (1)

Recent publications for all applications. Explore the full list and refine your search

Scientific reports 15:14678 PubMed40287453

2025

Crotonylation deficiency of S100A7 K49 promotes psoriatic keratinocyte proliferation through enhanced interaction with RAGE.

Applications

Unspecified application

Species

Unspecified reactive species

Huifang Liang,Ying Wang,Junqin Li,Kaiming Zhang
View all publications

Product promise

We are committed to supporting your work with high-quality reagents, and we're here for you every step of the way. In the unlikely event that one of our products does not perform as expected, you're protected by our Product Promise.
For full details, please see our Terms & Conditions

Please note: All products are 'FOR RESEARCH USE ONLY. NOT FOR USE IN DIAGNOSTIC OR THERAPEUTIC PROCEDURES'.

For licensing inquiries, please contact partnerships@abcam.com