JavaScript is disabled in your browser. Please enable JavaScript to view this website.
AB184123

Anti-PSPC1 antibody

Be the first to review this product! Submit a review

|

(5 Publications)

Rabbit Polyclonal PSPC1 antibody. Suitable for WB, IHC-P and reacts with Human, Mouse, Rat samples. Cited in 5 publications. Immunogen corresponding to Recombinant Fragment Protein within Human PSPC1 aa 1-200.

View Alternative Names

PSP1, PSPC1, Paraspeckle component 1, Paraspeckle protein 1

3 Images
Immunohistochemistry (Formalin/PFA-fixed paraffin-embedded sections) - Anti-PSPC1 antibody (AB184123)
  • IHC-P

Supplier Data

Immunohistochemistry (Formalin/PFA-fixed paraffin-embedded sections) - Anti-PSPC1 antibody (AB184123)

Immunohistochemical analysis of paraffin-embedded rat fore brain labeling PSPC1 with ab184123 at 1/500 dilution

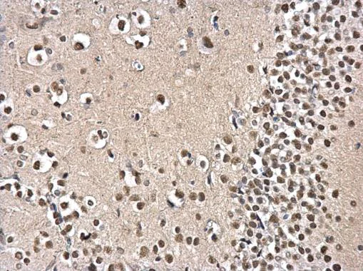
Immunohistochemistry (Formalin/PFA-fixed paraffin-embedded sections) - Anti-PSPC1 antibody (AB184123)
  • IHC-P

Supplier Data

Immunohistochemistry (Formalin/PFA-fixed paraffin-embedded sections) - Anti-PSPC1 antibody (AB184123)

Immunohistochemical analysis of paraffin-embedded mouse hind brain labeling PSPC1 with ab184123 at 1/500 dilution

Western blot - Anti-PSPC1 antibody (AB184123)
  • WB

Supplier Data

Western blot - Anti-PSPC1 antibody (AB184123)

7.5% SDS PAGE

All lanes:

Western blot - Anti-PSPC1 antibody (ab184123) at 1/2000 dilution

Lane 1:

293T whole cell lysate at 30 µg

Lane 2:

Hela whole cell lysate at 30 µg

Lane 3:

HepG2 whole cell lysate at 30 µg

Predicted band size: 59 kDa

false

Key facts

Host species

Rabbit

Clonality

Polyclonal

Isotype

IgG

Carrier free

No

Reacts with

Mouse, Rat, Human

Applications

IHC-P, WB

applications

Immunogen

Recombinant Fragment Protein within Human PSPC1 aa 1-200. The exact immunogen used to generate this antibody is proprietary information.

Q8WXF1

Reactivity data

{ "title": "Reactivity Data", "filters": { "stats": ["", "Species", "Dilution Info", "Notes"], "tabs": { "all-applications": {"fullname" : "All Applications", "shortname": "All Applications"}, "WB" : {"fullname" : "Western blot", "shortname":"WB"}, "IHCP" : {"fullname" : "Immunohistochemistry (Formalin/PFA-fixed paraffin-embedded sections)", "shortname":"IHC-P"} }, "product-promise": { "all": "all", "testedAndGuaranteed": "tested", "guaranteed": "expected", "predicted": "predicted", "notRecommended": "not-recommended" } }, "values": { "Human": { "WB-species-checked": "testedAndGuaranteed", "WB-species-dilution-info": "1/500 - 1/3000", "WB-species-notes": "<p></p>", "IHCP-species-checked": "guaranteed", "IHCP-species-dilution-info": "", "IHCP-species-notes": "" }, "Mouse": { "WB-species-checked": "guaranteed", "WB-species-dilution-info": "", "WB-species-notes": "", "IHCP-species-checked": "testedAndGuaranteed", "IHCP-species-dilution-info": "1/100 - 1/1000", "IHCP-species-notes": "<p></p>" }, "Rat": { "WB-species-checked": "guaranteed", "WB-species-dilution-info": "", "WB-species-notes": "", "IHCP-species-checked": "testedAndGuaranteed", "IHCP-species-dilution-info": "1/100 - 1/1000", "IHCP-species-notes": "<p></p>" } } }

Properties and storage information

Form
Liquid
Purification technique
Affinity purification Immunogen
Storage buffer
pH: 7 Preservative: 0.01% Thimerosal (merthiolate) Constituents: PBS, 20% Glycerol (glycerin, glycerine)
Shipped at conditions
Blue Ice
Appropriate short-term storage duration
1-2 weeks
Appropriate short-term storage conditions
+4°C
Appropriate long-term storage conditions
-20°C
Aliquoting information
Upon delivery aliquot
Storage information
Avoid freeze / thaw cycle

Supplementary information

This supplementary information is collated from multiple sources and compiled automatically.

PSPC1 also known as Paraspeckle Component 1 is a nuclear RNA-binding protein with a mass of approximately 53 kDa. This protein plays an important mechanical role in the formation of paraspeckles subnuclear structures involved in RNA processing and regulation. PSPC1 predominantly localizes in the nucleus and associates with non-coding RNAs such as NEAT1 contributing to nuclear body dynamics. Though present in several tissues its expression is notably high in testis and embryonic stem cells reflecting its roles in cellular processes.
Biological function summary

PSPC1 participates in the regulation of gene expression by modulating the transcriptional activity and stability of specific RNAs. It functions as part of a larger RNA-protein complex that involves core paraspeckle proteins such as NONO and SFPQ. This complex helps in retaining hyper-edited RNAs within the nucleus preventing them from undergoing translation or degradation. By doing so PSPC1 influences cellular stress responses and development among other biological processes.

Pathways

PSPC1 integrates into the cellular landscape by impacting the RNA processing and nuclear organization pathways. It maintains RNA homeostasis and transcript diversity acting synergistically with related proteins like NONO and SFPQ. Within the context of these pathways paraspeckle-associated activities involve RNA editing and sequestration linking PSPC1 to critical cellular functions such as transcriptional regulation and response to environmental changes.

PSPC1's association with various conditions occurs through its regulatory mechanisms in gene expression. Aberrations in PSPC1 expression or function may contribute to cancer progression particularly in prostate cancer by influencing oncogenic signaling pathways. Moreover its interactions with other proteins such as NONO can impact neurodegenerative disorders through altered RNA metabolism and neuronal gene expression. Understanding PSPC1's roles aids in developing targeted therapies for these conditions by modulating its function or associated pathways.

Product protocols

For this product, it's our understanding that no specific protocols are required. You can visit:

Target data

RNA-binding protein required for the formation of nuclear paraspeckles (PubMed : 22416126). Binds to poly(A), poly(G) and poly(U) RNA homopolymers (PubMed : 22416126). Regulates, cooperatively with NONO and SFPQ, androgen receptor-mediated gene transcription activity in Sertoli cell line (By similarity). Regulates the circadian clock by repressing the transcriptional activator activity of the CLOCK-BMAL1 heterodimer (By similarity). Plays a role in the regulation of DNA virus-mediated innate immune response by assembling into the HDP-RNP complex, a complex that serves as a platform for IRF3 phosphorylation and subsequent innate immune response activation through the cGAS-STING pathway (PubMed : 28712728).
See full target information PSPC1

Publications (5)

Recent publications for all applications. Explore the full list and refine your search

Scientific reports 11:14001 PubMed34234233

2021

The UL16 protein of HSV-1 promotes the metabolism of cell mitochondria by binding to ANT2 protein.

Applications

Unspecified application

Species

Unspecified reactive species

Shiyu Li,Shuting Liu,Zhenning Dai,Qian Zhang,Yichao Xu,Youyu Chen,Zhenyou Jiang,Wenhua Huang,Hanxiao Sun

Nature communications 12:2461 PubMed33911083

2021

IP-assisted CSN-COP1 competition regulates a CRL4-ETV5 proteolytic checkpoint to safeguard glucose-induced insulin secretion.

Applications

Unspecified application

Species

Unspecified reactive species

Hong Lin,Yuan Yan,Yifan Luo,Wing Yan So,Xiayun Wei,Xiaozhe Zhang,Xiaoli Yang,Jun Zhang,Yang Su,Xiuyan Yang,Bobo Zhang,Kangjun Zhang,Nan Jiang,Billy Kwok Chong Chow,Weiping Han,Fengchao Wang,Feng Rao

Cancer management and research 13:3281-3291 PubMed33883941

2021

The Prognosis Value of PSPC1 Expression in Nasopharyngeal Cancer.

Applications

Unspecified application

Species

Unspecified reactive species

Huocong He,Lurong Zhang,Keyu Lin,Zhengrong Huang,Yan Zhou,Shaojun Lin,Ying Su,Jianru Pan

Arteriosclerosis, thrombosis, and vascular biology 41:1428-1445 PubMed33626912

2021

Knockout of the Gene Inhibits Neointima Formation in a Mouse Model of Vascular Injury.

Applications

Unspecified application

Species

Unspecified reactive species

Xingli Xu (徐兴丽),Xinghua Xu (徐兴华),Yang Mao (毛洋),Lin Lu (卢琳),Jing Ma (马静),Tengfei Zheng (郑腾飞),Jie Zhang (张杰),Meng Zhang (章萌),Linlin Meng (孟霖霖),Lianyue Ma (马连越),Jing Cheng (程晶),Wenqiang Chen (陈文强),Hong Jiang (姜虹),Yun Zhang (张运),Cheng Zhang (张澄)

Cell biology international 44:166-176 PubMed31393052

2019

RNA-binding protein SFPQ cooperates with HDAC1 to suppress CD40 transcription in pulmonary adventitial fibroblasts.

Applications

Unspecified application

Species

Unspecified reactive species

Yan-Yun Pan,Jin-Xiu Yang,Wei Mao,Xing-Xiang Wang
View all publications

Product promise

We are committed to supporting your work with high-quality reagents, and we're here for you every step of the way. In the unlikely event that one of our products does not perform as expected, you're protected by our Product Promise.
For full details, please see our Terms & Conditions

Please note: All products are 'FOR RESEARCH USE ONLY. NOT FOR USE IN DIAGNOSTIC OR THERAPEUTIC PROCEDURES'.

For licensing inquiries, please contact partnerships@abcam.com