JavaScript is disabled in your browser. Please enable JavaScript to view this website.
AB198256

Anti-PSPN antibody

Be the first to review this product! Submit a review

|

(2 Publications)

Rabbit Polyclonal PSPN antibody. Suitable for IHC-P and reacts with Human samples. Cited in 2 publications. Immunogen corresponding to Synthetic Peptide within Human Persephin.

View Alternative Names

Persephin, PSP, PSPN

2 Images
Immunohistochemistry (Formalin/PFA-fixed paraffin-embedded sections) - Anti-PSPN antibody (AB198256)
  • IHC-P

Supplier Data

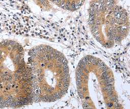
Immunohistochemistry (Formalin/PFA-fixed paraffin-embedded sections) - Anti-PSPN antibody (AB198256)

Immunohistochemical analysis of paraffin-embedded Human ovarian cancer tissue labeling PSPN using ab198256 at 1/25 dilution.

Immunohistochemistry (Formalin/PFA-fixed paraffin-embedded sections) - Anti-PSPN antibody (AB198256)
  • IHC-P

Supplier Data

Immunohistochemistry (Formalin/PFA-fixed paraffin-embedded sections) - Anti-PSPN antibody (AB198256)

Immunohistochemical analysis of paraffin-embedded Human colon cancer tissue labeling PSPN using ab198256 at 1/25 dilution.

Key facts

Host species

Rabbit

Clonality

Polyclonal

Isotype

IgG

Carrier free

No

Reacts with

Human

Applications

IHC-P

applications

Immunogen

Synthetic Peptide within Human Persephin. The exact immunogen used to generate this antibody is proprietary information.

O60542

Reactivity data

{ "title": "Reactivity Data", "filters": { "stats": ["", "Species", "Dilution Info", "Notes"], "tabs": { "all-applications": {"fullname" : "All Applications", "shortname": "All Applications"}, "IHCP" : {"fullname" : "Immunohistochemistry (Formalin/PFA-fixed paraffin-embedded sections)", "shortname":"IHC-P"} }, "product-promise": { "all": "all", "testedAndGuaranteed": "tested", "guaranteed": "expected", "predicted": "predicted", "notRecommended": "not-recommended" } }, "values": { "Human": { "IHCP-species-checked": "testedAndGuaranteed", "IHCP-species-dilution-info": "1/25 - 1/100", "IHCP-species-notes": "<p></p>" } } }

Properties and storage information

Form
Liquid
Purification technique
Affinity purification Immunogen
Storage buffer
pH: 7.4 Preservative: 0.05% Sodium azide Constituents: PBS, 50% Glycerol (glycerin, glycerine)
Shipped at conditions
Blue Ice
Appropriate short-term storage duration
1-2 weeks
Appropriate short-term storage conditions
+4°C
Appropriate long-term storage conditions
-20°C
Aliquoting information
Upon delivery aliquot
Storage information
Avoid freeze / thaw cycle

Supplementary information

This supplementary information is collated from multiple sources and compiled automatically.

PSPN also known as Persephin is a member of the glial cell line-derived neurotrophic factor (GDNF) family with a molecular mass of approximately 11 kDa. This protein is primarily secreted and expressed in several tissues including the central nervous system showing notable localization in the spinal cord and brain regions such as the thalamus. PSPN specifically interacts with cell surface receptors and mediates survival and differentiation of neuronal populations similar in function to other GDNF family members.
Biological function summary

PSPN plays an important role in neuroprotective processes. It does not function as part of a larger complex but instead binds to a receptor complex involving GFR alpha-4 and RET receptor tyrosine kinase. Through this interaction PSPN promotes neuronal survival and influences cell fate decisions particularly within dopaminergic and motor neurons providing critical support for their maintenance and function.

Pathways

PSPN participates in the signaling cascades that are essential for neural development and repair. It is primarily embedded in the RET signaling pathway which is fundamental to the activation of intracellular processes like cell survival and differentiation. PSPN shares functional characteristics with other members of the GDNF family including GDNF and Neurturin as these ligands also interact with RET signaling components to activate downstream events necessary for neuron health.

Malfunction or dysregulation of PSPN expression associates with neurodegenerative diseases such as Parkinson's disease and amyotrophic lateral sclerosis (ALS). These conditions involve the loss of specific neuronal populations where PSPN's role in promoting cell survival becomes significantly impactful. PSPN operates in tandem with other neurotrophic factors like GDNF contributing to potential therapeutic strategies aimed at preserving neuronal functionality and mitigating the effects of these debilitating diseases.

Product protocols

For this product, it's our understanding that no specific protocols are required. You can visit:

Target data

Growth factor that exhibits neurotrophic activity on mesencephalic dopaminergic and motor neurons (PubMed : 11116144, PubMed : 9491986). Acts by binding to its coreceptor, GFRA4, leading to autophosphorylation and activation of the RET receptor (PubMed : 11116144).
See full target information Persephin

Publications (2)

Recent publications for all applications. Explore the full list and refine your search

International journal of molecular sciences 24: PubMed37958856

2023

Expression of Glial-Cell-Line-Derived Neurotrophic Factor Family Ligands in Human Intervertebral Discs.

Applications

Unspecified application

Species

Unspecified reactive species

Tatsuya Iwasaki,Koji Akeda,Koki Kawaguchi,Junichi Yamada,Takahiro Hasegawa,Norihiko Takegami,Tatsuhiko Fujiwara,Akihiro Sudo

American journal of physiology. Lung cellular and molecular physiology 322:L462-L478 PubMed35020534

2022

Human airway lineages derived from pluripotent stem cells reveal the epithelial responses to SARS-CoV-2 infection.

Applications

Unspecified application

Species

Unspecified reactive species

Ruobing Wang,Adam J Hume,Mary Lou Beermann,Chantelle Simone-Roach,Jonathan Lindstrom-Vautrin,Jake Le Suer,Jessie Huang,Judith Olejnik,Carlos Villacorta-Martin,Esther Bullitt,Anne Hinds,Mahboobe Ghaedi,Stuart Rollins,Rhiannon B Werder,Kristine M Abo,Andrew A Wilson,Elke Mühlberger,Darrell N Kotton,Finn J Hawkins
View all publications

Product promise

We are committed to supporting your work with high-quality reagents, and we're here for you every step of the way. In the unlikely event that one of our products does not perform as expected, you're protected by our Product Promise.
For full details, please see our Terms & Conditions

Please note: All products are 'FOR RESEARCH USE ONLY. NOT FOR USE IN DIAGNOSTIC OR THERAPEUTIC PROCEDURES'.

For licensing inquiries, please contact partnerships@abcam.com