JavaScript is disabled in your browser. Please enable JavaScript to view this website.
AB155543

Anti-PSTPIP2 antibody

Be the first to review this product! Submit a review

|

(3 Publications)

Rabbit Polyclonal PSTPIP2 antibody. Suitable for IHC-P, WB and reacts with Human, Mouse samples. Cited in 3 publications. Immunogen corresponding to Recombinant Fragment Protein within Human PSTPIP2 aa 1 to C-terminus.

View Alternative Names

Proline-serine-threonine phosphatase-interacting protein 2, PEST phosphatase-interacting protein 2, PSTPIP2

2 Images
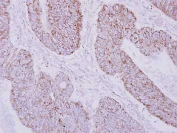
Immunohistochemistry (Formalin/PFA-fixed paraffin-embedded sections) - Anti-PSTPIP2 antibody (AB155543)
  • IHC-P

Unknown

Immunohistochemistry (Formalin/PFA-fixed paraffin-embedded sections) - Anti-PSTPIP2 antibody (AB155543)

Immunohistochemical analysis of paraffin-embedded Human colon cancer tissue, labeling PSTPIP2 with ab155543 at 1/250 dilution.

Western blot - Anti-PSTPIP2 antibody (AB155543)
  • WB

Unknown

Western blot - Anti-PSTPIP2 antibody (AB155543)

All lanes:

Western blot - Anti-PSTPIP2 antibody (ab155543) at 1/2000 dilution

Lane 1:

Raw264.7 whole cell lysate at 20 µg

Lane 2:

Raw264.7 knock down PSTPIP2 whole cell lysate at 20 µg

false

Key facts

Host species

Rabbit

Clonality

Polyclonal

Isotype

IgG

Carrier free

No

Reacts with

Mouse, Human

Applications

WB, IHC-P

applications

Immunogen

Recombinant Fragment Protein within Human PSTPIP2 aa 1 to C-terminus. The exact immunogen used to generate this antibody is proprietary information.

Q9H939

Reactivity data

{ "title": "Reactivity Data", "filters": { "stats": ["", "Species", "Dilution Info", "Notes"], "tabs": { "all-applications": {"fullname" : "All Applications", "shortname": "All Applications"}, "IHCP" : {"fullname" : "Immunohistochemistry (Formalin/PFA-fixed paraffin-embedded sections)", "shortname":"IHC-P"}, "WB" : {"fullname" : "Western blot", "shortname":"WB"} }, "product-promise": { "all": "all", "testedAndGuaranteed": "tested", "guaranteed": "expected", "predicted": "predicted", "notRecommended": "not-recommended" } }, "values": { "Human": { "IHCP-species-checked": "testedAndGuaranteed", "IHCP-species-dilution-info": "1/100 - 1/1000", "IHCP-species-notes": "<p>Alternatively Tris-EDTA buffer (pH8.0) may be used.</p> Perform heat-mediated antigen retrieval with citrate buffer pH 6 before commencing with IHC staining protocol.", "WB-species-checked": "guaranteed", "WB-species-dilution-info": "", "WB-species-notes": "" }, "Mouse": { "IHCP-species-checked": "guaranteed", "IHCP-species-dilution-info": "", "IHCP-species-notes": "", "WB-species-checked": "testedAndGuaranteed", "WB-species-dilution-info": "1/500 - 1/3000", "WB-species-notes": "<p></p>" } } }

Properties and storage information

Form
Liquid
Purification technique
Affinity purification Immunogen
Storage buffer
pH: 7 Preservative: 0.01% Thimerosal (merthiolate) Constituents: 10% Glycerol (glycerin, glycerine), 1.21% Tris, 0.75% Glycine
Shipped at conditions
Blue Ice
Appropriate short-term storage conditions
+4°C
Appropriate long-term storage conditions
-20°C
Aliquoting information
Upon delivery aliquot
Storage information
Avoid freeze / thaw cycle

Supplementary information

This supplementary information is collated from multiple sources and compiled automatically.

PSTPIP2 also known as proline-serine-threonine phosphatase-interacting protein 2 is a cytosolic adaptor protein with a mass of approximately 48 kDa. This protein is mainly expressed in immune cells particularly in macrophages. Mechanically PSTPIP2 interacts with phosphatases and plays a role in actin cytoskeleton dynamics. It binds to filamentous actin influencing cell shape and motility. Its interactions with tyrosine phosphatases impact signal transduction processes in the cells where it's expressed.
Biological function summary

PSTPIP2 acts as a regulatory molecule that influences inflammation and immune responses. It is a component of molecular complexes that mediate cytoskeletal rearrangement. PSTPIP2 modulates signaling pathways that are important for the activation and differentiation of immune cells. It has a role in limiting excessive inflammatory responses serving as a checkpoint in immune cellular functions.

Pathways

PSTPIP2 is a part of processes involving the regulation of actin dynamics and signal transduction in immune cells. It operates in the Rho GTPase pathway working with proteins like CDC42 which affects cell migration and immune response modulation. PSTPIP2 is also involved in pathways that regulate cytokine signaling influencing inflammatory responses and interacting with several kinases that are essential in this process.

PSTPIP2 has associations with inflammatory conditions such as autoinflammatory diseases. Mutations or dysregulation of this protein link to disorders like chronic recurrent multifocal osteomyelitis. It interacts with proteins involved in inflammation such as the pyrin protein and alterations in PSTPIP2 function can impact the regulatory processes that keep inflammation in balance leading to disease development.

Product protocols

For this product, it's our understanding that no specific protocols are required. You can visit:

Target data

Binds to F-actin. May be involved in regulation of the actin cytoskeleton (By similarity).
See full target information PSTPIP2

Publications (3)

Recent publications for all applications. Explore the full list and refine your search

Arthritis research & therapy 24:247 PubMed36324152

2022

PSTPIP2 regulates synovial macrophages polarization and dynamics via ERβ in the joint microenvironment.

Applications

Unspecified application

Species

Unspecified reactive species

Yao Yao,Xiaoyu Cai,Meng Zhang,Xiao Zhang,Fujia Ren,Yan Zheng,Weidong Fei,Mengdan Zhao,Caihong Zheng

European journal of pharmacology 859:172558 PubMed31325437

2019

PSTPIP2 attenuates joint damage and suppresses inflammation in adjuvant-induced arthritis.

Applications

Unspecified application

Species

Unspecified reactive species

Yao Yao,Xiaoyu Cai,Haixia Yu,Qingqing Xu,Xiaofeng Li,Yang Yang,Xiaoming Meng,Cheng Huang,Jun Li

Oncogene 37:6119-6135 PubMed29993036

2018

PSTPIP2 connects DNA methylation to macrophage polarization in CCL4-induced mouse model of hepatic fibrosis.

Applications

Unspecified application

Species

Unspecified reactive species

Yang Yang,Xiao-Qin Wu,Wan-Xia Li,Hui-Min Huang,Hai-di Li,Xue-Yin Pan,Xiao-Feng Li,Cheng Huang,Xiao-Ming Meng,Lei Zhang,Xiong-Wen Lv,Hua Wang,Jun Li
View all publications

Product promise

We are committed to supporting your work with high-quality reagents, and we're here for you every step of the way. In the unlikely event that one of our products does not perform as expected, you're protected by our Product Promise.
For full details, please see our Terms & Conditions

Please note: All products are 'FOR RESEARCH USE ONLY. NOT FOR USE IN DIAGNOSTIC OR THERAPEUTIC PROCEDURES'.

For licensing inquiries, please contact partnerships@abcam.com