JavaScript is disabled in your browser. Please enable JavaScript to view this website.
AB240079

Anti-PTBP1 antibody [EPR9048(B)] - BSA and Azide free

Be the first to review this product! Submit a review

|

(1 Publication)

Rabbit Recombinant Monoclonal PTBP1 antibody. Carrier free. Suitable for IHC-P, WB, ICC/IF, Flow Cyt (Intra) and reacts with Human, Mouse samples. Cited in 1 publication.

View Alternative Names

PTB, PTBP1, Polypyrimidine tract-binding protein 1, 57 kDa RNA-binding protein PPTB-1, Heterogeneous nuclear ribonucleoprotein I, hnRNP I

5 Images
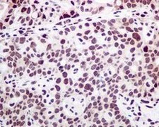
Immunohistochemistry (Formalin/PFA-fixed paraffin-embedded sections) - Anti-PTBP1 antibody [EPR9048(B)] - BSA and Azide free (AB240079)
  • IHC-P

Unknown

Immunohistochemistry (Formalin/PFA-fixed paraffin-embedded sections) - Anti-PTBP1 antibody [EPR9048(B)] - BSA and Azide free (AB240079)

Immunohistochemical analysis of PTBP1 in paraffin embedded Human breast carcinoma tissue stained with ab133734 at a 1/100 dilution.

This data was developed using the same antibody clone in a different buffer formulation containing PBS, BSA, glycerol, and sodium azide (ab133734).

Perform heat mediated antigen retrieval with citrate buffer pH 6 before commencing with IHC staining protocol.

Flow Cytometry (Intracellular) - Anti-PTBP1 antibody [EPR9048(B)] - BSA and Azide free (AB240079)
  • Flow Cyt (Intra)

Unknown

Flow Cytometry (Intracellular) - Anti-PTBP1 antibody [EPR9048(B)] - BSA and Azide free (AB240079)

Intracellular Flow Cytometry analysis of A549 (Human lung carcinoma epithelial cell) cells labeling PTBP1 (red) with purified ab133734 at a 1/2000 dilution (1ug/mL). Cells were fixed with 4% paraformaldehyde and permeabilized with 90% methanol. A goat anti rabbit IgG (Alexa Fluor® 488) (ab150077) was used as the secondary antibody at a 1/2000 dilution. Black - Rabbit monoclonal IgG (Black) (ab172730). Blue (unlabeled control) - Cell without incubation with primary antibody and secondary antibody (Blue).

This data was developed using the same antibody clone in a different buffer formulation containing PBS, BSA, glycerol, and sodium azide (ab133734).

Immunocytochemistry/ Immunofluorescence - Anti-PTBP1 antibody [EPR9048(B)] - BSA and Azide free (AB240079)
  • ICC/IF

Unknown

Immunocytochemistry/ Immunofluorescence - Anti-PTBP1 antibody [EPR9048(B)] - BSA and Azide free (AB240079)

Immunofluorescent staining of PTBP1 in A549 cells, using ab133734 at a 1/250 dilution.This data was developed using the same antibody clone in a different buffer formulation containing PBS, BSA, glycerol, and sodium azide (ab133734).

Western blot - Anti-PTBP1 antibody [EPR9048(B)] - BSA and Azide free (AB240079)
  • WB

Lab

Western blot - Anti-PTBP1 antibody [EPR9048(B)] - BSA and Azide free (AB240079)

This data was developed using the same antibody clone in a different buffer formulation (ab133734).

Lanes 1- 2 : Merged signal (red and green). Green - ab133734 observed at 57 kDa. Red - Anti-GAPDH antibody [6C5] - Loading Control (ab8245) observed at 37 kDa.

ab133734 was shown to react with PTBP1 in wild-type HeLa cells in western blot. Loss of signal was observed when knockout cell line ab265155 (knockout cell lysate ab257614) was used. Wild-type HeLa and PTBP1 knockout HeLa cell lysates were subjected to SDS-PAGE. Membrane was blocked for 1 hour at room temperature in 0.1% TBST with 3% non-fat dried milk. ab133734 and Anti-GAPDH antibody [6C5] - Loading Control (ab8245) overnight at 4°C at a 1 in 10000 dilution and a 1 in 20000 dilution respectively. Blots were developed with Goat anti-Rabbit IgG H&L (IRDye®800CW) preadsorbed (ab216773) and Goat anti-Mouse IgG H&L (IRDye®680RD) preadsorbed (ab216776) secondary antibodies at 1 in 20000 dilution for 1 hour at room temperature before imaging.

All lanes:

Western blot - Anti-PTBP1 antibody [EPR9048(B)] (<a href='/en-us/products/primary-antibodies/ptbp1-antibody-epr9048b-ab133734'>ab133734</a>) at 1/10000 dilution

Lane 1:

Wild-type HeLa cell lysate at 20 µg

Lane 2:

PTBP1 knockout HeLa cell lysate at 20 µg

Lane 2:

Western blot - Human PTBP1 knockout HeLa cell line (<a href='/en-us/products/cell-lines/human-ptbp1-knockout-hela-cell-line-ab265155'>ab265155</a>)

Predicted band size: 57 kDa

Observed band size: 57 kDa

false

Western blot - Anti-PTBP1 antibody [EPR9048(B)] - BSA and Azide free (AB240079)
  • WB

Supplier Data

Western blot - Anti-PTBP1 antibody [EPR9048(B)] - BSA and Azide free (AB240079)

Lanes 1 - 2 : Merged signal (red and green). Green - ab133734 observed at 57 kDa. Red - loading control, ab9484, observed at 37 kDa.

ab133734 was shown to recognize PTBP1 in wild-type HAP1 cells as signal was lost at the expected MW in PTBP1 knockout cells. Additional cross-reactive bands were observed in the wild-type and knockout cells. Wild-type and PTBP1 knockout samples were subjected to SDS-PAGE. ab133734 and ab9484 (Mouse anti-GAPDH loading control) were incubated overnight at 4°C at 1/10000 dilution and 1/20000 dilution respectively. Blots were developed with Goat anti-Rabbit IgG H&L (IRDye® 800CW) preabsorbed ab216773 and Goat anti-Mouse IgG H&L (IRDye® 680RD) preabsorbed ab216776 secondary antibodies at 1/10000 dilution for 1 hour at room temperature before imaging.

This data was developed using the same antibody clone in a different buffer formulation containing PBS, BSA, glycerol, and sodium azide (ab133734).

All lanes:

Western blot - Anti-PTBP1 antibody [EPR9048(B)] (<a href='/en-us/products/primary-antibodies/ptbp1-antibody-epr9048b-ab133734'>ab133734</a>) at 1/1000 dilution

Lane 1:

Wild-type HAP1 whole cell lysate at 20 µg

Lane 2:

PTBP1 knockout HAP1 whole cell lysate at 20 µg

Predicted band size: 57 kDa

false

  • Unconjugated

    Anti-PTBP1 antibody [EPR9048(B)]

  • 775 Alexa Fluor® 750

    Alexa Fluor® 750 Anti-PTBP1 antibody [EPR9048(B)]

  • 665 Alexa Fluor® 647

    Alexa Fluor® 647 Anti-PTBP1 antibody [EPR9048(B)]

  • 578 PE

    PE Anti-PTBP1 antibody [EPR9048(B)]

  • 660 APC

    APC Anti-PTBP1 antibody [EPR9048(B)]

  • HRP

    HRP Anti-PTBP1 antibody [EPR9048(B)]

  • 519 Alexa Fluor® 488

    Alexa Fluor® 488 Anti-PTBP1 antibody [EPR9048(B)]

  • 617 Alexa Fluor® 594

    Alexa Fluor® 594 Anti-PTBP1 antibody [EPR9048(B)]

  • 565 Alexa Fluor® 555

    Alexa Fluor® 555 Anti-PTBP1 antibody [EPR9048(B)]

  • 603 Alexa Fluor® 568

    Alexa Fluor® 568 Anti-PTBP1 antibody [EPR9048(B)]

Key facts

Host species

Rabbit

Clonality

Monoclonal

Clone number

EPR9048(B)

Isotype

IgG

Carrier free

Yes

Reacts with

Mouse, Human

Applications

Flow Cyt (Intra), WB, ICC/IF, IHC-P

applications

Immunogen

The exact immunogen used to generate this antibody is proprietary information.

Reactivity data

{ "title": "Reactivity Data", "filters": { "stats": ["", "Species", "Dilution Info", "Notes"], "tabs": { "all-applications": {"fullname" : "All Applications", "shortname": "All Applications"}, "IHCP" : {"fullname" : "Immunohistochemistry (Formalin/PFA-fixed paraffin-embedded sections)", "shortname":"IHC-P"}, "IP" : {"fullname" : "Immunoprecipitation", "shortname":"IP"}, "WB" : {"fullname" : "Western blot", "shortname":"WB"}, "ICCIF" : {"fullname" : "Immunocytochemistry/ Immunofluorescence", "shortname":"ICC/IF"}, "FlowCytIntra" : {"fullname" : "Flow Cytometry (Intracellular)", "shortname":"Flow Cyt (Intra)"} }, "product-promise": { "all": "all", "testedAndGuaranteed": "tested", "guaranteed": "expected", "predicted": "predicted", "notRecommended": "not-recommended" } }, "values": { "Human": { "IHCP-species-checked": "testedAndGuaranteed", "IHCP-species-dilution-info": "", "IHCP-species-notes": "<p>Perform antigen retrieval before commencing with IHC staining protocol.</p>", "IP-species-checked": "notRecommended", "IP-species-dilution-info": "", "IP-species-notes": "<p></p>", "WB-species-checked": "testedAndGuaranteed", "WB-species-dilution-info": "", "WB-species-notes": "<p></p>", "ICCIF-species-checked": "testedAndGuaranteed", "ICCIF-species-dilution-info": "", "ICCIF-species-notes": "<p></p>", "FlowCytIntra-species-checked": "testedAndGuaranteed", "FlowCytIntra-species-dilution-info": "", "FlowCytIntra-species-notes": "<p></p>" }, "Mouse": { "IHCP-species-checked": "guaranteed", "IHCP-species-dilution-info": "", "IHCP-species-notes": "<p>Perform antigen retrieval before commencing with IHC staining protocol.</p>", "IP-species-checked": "notRecommended", "IP-species-dilution-info": "", "IP-species-notes": "<p></p>", "WB-species-checked": "guaranteed", "WB-species-dilution-info": "", "WB-species-notes": "<p></p>", "ICCIF-species-checked": "guaranteed", "ICCIF-species-dilution-info": "", "ICCIF-species-notes": "<p></p>", "FlowCytIntra-species-checked": "guaranteed", "FlowCytIntra-species-dilution-info": "", "FlowCytIntra-species-notes": "<p></p>" }, "Rat": { "IHCP-species-checked": "predicted", "IHCP-species-dilution-info": "", "IHCP-species-notes": "", "IP-species-checked": "notRecommended", "IP-species-dilution-info": "", "IP-species-notes": "", "WB-species-checked": "predicted", "WB-species-dilution-info": "", "WB-species-notes": "", "ICCIF-species-checked": "predicted", "ICCIF-species-dilution-info": "", "ICCIF-species-notes": "", "FlowCytIntra-species-checked": "predicted", "FlowCytIntra-species-dilution-info": "", "FlowCytIntra-species-notes": "" } } }

Product details

ab240079 is the carrier-free version of ab133734.

Patented technology
Our RabMAb® technology is a patented hybridoma-based technology for making rabbit monoclonal antibodies. For details on our patents, please refer to RabMAb® patents.

What are the advantages of a recombinant monoclonal antibody?
This product is a recombinant monoclonal antibody, which offers several advantages including:

  • - High batch-to-batch consistency and reproducibility
  • - Improved sensitivity and specificity
  • - Long-term security of supply
  • - Animal-free batch production

For more information, read more on recombinant antibodies.

Conjugation ready
Our carrier-free antibodies are typically supplied in a PBS-only formulation, purified and free of BSA, sodium azide and glycerol. This conjugation-ready format is designed for use with fluorochromes, metal isotopes, oligonucleotides, and enzymes, which makes them ideal for antibody labelling, functional and cell-based assays, flow-based assays (e.g. mass cytometry) and Multiplex Imaging applications.

Use our conjugation kits for antibody conjugates that are ready-to-use in as little as 20 minutes with 1 minute hands-on-time and 100% antibody recovery: available for fluorescent dyes, HRP, biotin and gold.

Compatibility
This product is compatible with the Maxpar® Antibody Labeling Kit from Fluidigm, without the need for antibody preparation. Maxpar® is a trademark of Fluidigm Canada Inc.

Properties and storage information

Form
Liquid
Purification technique
Affinity purification Protein A
Storage buffer
pH: 7.2 - 7.4 Constituents: PBS
Shipped at conditions
Blue Ice
Appropriate short-term storage conditions
+4°C
Appropriate long-term storage conditions
+4°C
Storage information
Do Not Freeze

Supplementary information

This supplementary information is collated from multiple sources and compiled automatically.

PTBP1 also known as polypyrimidine tract-binding protein 1 or hnRNP I is a protein involved in RNA binding. It weighs approximately 57 kDa and is known for its expression in diverse cell types especially in the nucleus of eukaryotic cells. PTBP1 contains four RNA recognition motifs which allow it to interact with polypyrimidine-rich sequences in pre-mRNA. This interaction plays an important role in RNA splicing and the regulation of alternative splicing events.
Biological function summary

PTBP1 influences the stability transport and translation of mRNA molecules. It is part of the heterogeneous nuclear ribonucleoprotein complex which plays a fundamental role in the processing and modification of pre-mRNA into mature mRNA. This activity impacts the expression of a wide range of genes affecting cellular function and growth. PTBP1 regulates mRNA metabolism contributing significantly to post-transcriptional gene regulation.

Pathways

The involvement of PTBP1 spans the management of alternative splicing and the modulation of gene expression. It participates importantly in the alternative splicing pathway alongside proteins like PTBP2 which perform overlapping functions in neurons. PTBP1 affects exon inclusion or exclusion influencing the genetic diversity presented in protein forms within cells. It also plays a role in the exon junction complex pathway impacting post-translational modifications and protein interactions.

Variations in PTBP1 function are linked to conditions such as cancer and neurological disorders. Altered expression levels or mutations can contribute to carcinogenesis through the misregulation of splice variants specific to oncogenes and tumor suppressor genes. In neurological disorders PTBP1 interacts with proteins like FUS affecting the regulation of neuronal-specific alternative splicing. Misbalance in these interactions can have significant pathological implications contributing to diseases such as amyotrophic lateral sclerosis (ALS) and glioblastomas.

Product protocols

For this product, it's our understanding that no specific protocols are required. You can visit:

Target data

Plays a role in pre-mRNA splicing and in the regulation of alternative splicing events. Activates exon skipping of its own pre-mRNA during muscle cell differentiation. Binds to the polypyrimidine tract of introns. May promote RNA looping when bound to two separate polypyrimidine tracts in the same pre-mRNA. May promote the binding of U2 snRNP to pre-mRNA. Cooperates with RAVER1 to modulate switching between mutually exclusive exons during maturation of the TPM1 pre-mRNA. Represses the splicing of MAPT/Tau exon 10 (PubMed : 15009664). Binds to polypyrimidine-rich controlling element (PCE) of CFTR and promotes exon skipping of CFTR exon 9, thereby antagonizing TIA1 and its role in exon inclusion of CFTR exon 9 (PubMed : 14966131). Plays a role in the splicing of pyruvate kinase PKM by binding repressively to a polypyrimidine tract flanking PKM exon 9, inhibiting exon 9 inclusion and resulting in exon 10 inclusion and production of the PKM M2 isoform (PubMed : 20010808). In case of infection by picornaviruses, binds to the viral internal ribosome entry site (IRES) and stimulates the IRES-mediated translation (PubMed : 21518806).
See full target information PTBP1

Publications (1)

Recent publications for all applications. Explore the full list and refine your search

NPJ precision oncology 7:95 PubMed37723227

2023

Targeted single-cell proteomic analysis identifies new liquid biopsy biomarkers associated with multiple myeloma.

Applications

Unspecified application

Species

Unspecified reactive species

Sonia M Setayesh,Libere J Ndacayisaba,Kate E Rappard,Valerie Hennes,Luz Yurany Moreno Rueda,Guilin Tang,Pei Lin,Robert Z Orlowski,David E Symer,Elisabet E Manasanch,Stephanie N Shishido,Peter Kuhn
View all publications

Product promise

We are committed to supporting your work with high-quality reagents, and we're here for you every step of the way. In the unlikely event that one of our products does not perform as expected, you're protected by our Product Promise.
For full details, please see our Terms & Conditions

Please note: All products are 'FOR RESEARCH USE ONLY. NOT FOR USE IN DIAGNOSTIC OR THERAPEUTIC PROCEDURES'.

For licensing inquiries, please contact partnerships@abcam.com