JavaScript is disabled in your browser. Please enable JavaScript to view this website.
AB79156

Anti-PTEN antibody [A2b1]

0

(1 Review)

|

(23 Publications)

Mouse Monoclonal PTEN antibody. Suitable for Flow Cyt, IHC-Fr and reacts with Human samples. Cited in 23 publications. Immunogen corresponding to Synthetic Peptide within Human PTEN aa 350-400.

View Alternative Names

MMAC1, TEP1, PTEN, Inositol polyphosphate 3-phosphatase, Mutated in multiple advanced cancers 1, Phosphatase and tensin homolog

3 Images
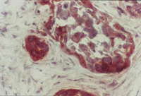
Immunohistochemistry (Frozen sections) - Anti-PTEN antibody [A2b1] (AB79156)
  • IHC-Fr

Unknown

Immunohistochemistry (Frozen sections) - Anti-PTEN antibody [A2b1] (AB79156)

ab79156, at 1/20 dilution, staining PTEN in frozen human breast tumor tissue sections by Immunohistochemistry. The reddish brown staining in the cytoplasm is indicative of the presence of PTEN protein in these cells. The nuclei appear purple and are negative for antibody staining. Interstitial tissue is negative as well.

This image was generated using the ascites version of the product.

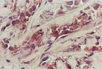
Immunohistochemistry (Frozen sections) - Anti-PTEN antibody [A2b1] (AB79156)
  • IHC-Fr

Unknown

Immunohistochemistry (Frozen sections) - Anti-PTEN antibody [A2b1] (AB79156)

ab79156, at 1/20 dilution, staining PTEN in frozen human breast tumor tissue sections by Immunohistochemistry. The reddish brown staining in the cytoplasm is indicative of the presence of PTEN protein in these cells. The nuclei appear purple and are negative for antibody staining. Interstitial tissue is negative as well.

This image was generated using the ascites version of the product.

Flow Cytometry - Anti-PTEN antibody [A2b1] (AB79156)
  • Flow Cyt

Unknown

Flow Cytometry - Anti-PTEN antibody [A2b1] (AB79156)

Overlay histogram showing MCF7 cells stained with ab79156 (red line). The cells were fixed with 80% methanol (5 min) and then permeabilized with 0.1% PBS-Tween for 20 min. The cells were then incubated in 1x PBS / 10% normal goat serum / 0.3M glycine to block non-specific protein-protein interactions followed by the antibody (ab79156, 1μg/1x106 cells) for 30 min at 22°C. The secondary antibody used was DyLight® 488 goat anti-mouse IgG (H+L) (ab96879) at 1/500 dilution for 30 min at 22°C. Isotype control antibody (black line) was mouse IgG1 [ICIGG1] (ab91353, 2μg/1x106 cells) used under the same conditions. Acquisition of >5,000 events was performed.

This image was generated using the ascites version of the product.

Key facts

Host species

Mouse

Clonality

Monoclonal

Clone number

A2b1

Isotype

IgG1

Carrier free

No

Reacts with

Human

Applications

IHC-Fr, Flow Cyt

applications

Immunogen

Synthetic Peptide within Human PTEN aa 350-400. The exact immunogen used to generate this antibody is proprietary information.

P60484

Specificity

ab79156 recognizes PTEN and is specific for the C terminus. Antibody specificity has been confirmed by peptide blocking studies.

Reactivity data

{ "title": "Reactivity Data", "filters": { "stats": ["", "Species", "Dilution Info", "Notes"], "tabs": { "all-applications": {"fullname" : "All Applications", "shortname": "All Applications"}, "FlowCyt" : {"fullname" : "Flow Cytometry", "shortname":"Flow Cyt"}, "IHCP" : {"fullname" : "Immunohistochemistry (Formalin/PFA-fixed paraffin-embedded sections)", "shortname":"IHC-P"}, "IHCFr" : {"fullname" : "Immunohistochemistry (Frozen sections)", "shortname":"IHC-Fr"} }, "product-promise": { "all": "all", "testedAndGuaranteed": "tested", "guaranteed": "expected", "predicted": "predicted", "notRecommended": "not-recommended" } }, "values": { "Human": { "FlowCyt-species-checked": "testedAndGuaranteed", "FlowCyt-species-dilution-info": "", "FlowCyt-species-notes": "<p></p>", "IHCP-species-checked": "notRecommended", "IHCP-species-dilution-info": "", "IHCP-species-notes": "<p></p>", "IHCFr-species-checked": "testedAndGuaranteed", "IHCFr-species-dilution-info": "", "IHCFr-species-notes": "<p>Acetone fixed, fresh frozen tissue on glass slides.</p>" } } }

Product details

This product was changed from ascites to tissue culture supernatant on 17 May 2019. Please note that the dilutions may need to be adjusted accordingly. If you have any questions, please do not hesitate to contact our scientific support team.

Properties and storage information

Form
Liquid
Purity
Tissue culture supernatant
Purification notes
Purified from TCS.
Storage buffer
pH: 7.6 Preservative: 0.1% Sodium azide Constituents: 1.45% Sodium chloride, 0.3% Sodium phosphate
Shipped at conditions
Blue Ice
Appropriate short-term storage duration
1-2 weeks
Appropriate short-term storage conditions
+4°C
Appropriate long-term storage conditions
-20°C
Storage information
Avoid freeze / thaw cycle

Supplementary information

This supplementary information is collated from multiple sources and compiled automatically.

The PTEN protein also known as phosphatase and tensin homolog is a phosphatase enzyme with a molecular mass of approximately 47 kDa. It acts mechanically by removing phosphate groups from phosphatidylinositol (345)-trisphosphate (PIP3) converting it to phosphatidylinositol (45)-bisphosphate. PTEN is ubiquitously expressed in various tissues with pronounced presence in the brain lung kidney and testis. This enzyme is an important regulator of cellular functions through its impact on signaling pathways.
Biological function summary

PTEN plays important roles in cellular processes like apoptosis cell proliferation and migration. It negatively regulates the PI3K/AKT signaling pathway critical for cell survival and growth. PTEN is not part of a larger protein complex but interacts with various other proteins modulating its activity. It maintains cellular homeostasis by balancing growth-promoting signals with cell cycle arrest and apoptotic pathways.

Pathways

PTEN is an important component in the PI3K/AKT and mTOR signaling pathways. These pathways regulate cell growth metabolism and survival and are interlinked with insulin signaling and cancer progression. PTEN's function directly interacts with proteins such as AKT and mTOR serving as a checkpoint that ensures controlled cellular proliferation. This positions PTEN as a tumor suppressor inhibiting uncontrolled cell growth via modulation of these pathways.

PTEN mutations or deletions are strongly associated with various types of cancers including breast and prostate cancer. PTEN interaction with the PI3K/AKT pathway influences cancer development often through loss-of-function mutations leading to unrestrained cellular growth. Beyond cancer PTEN mutations also relate to neurological disorders like Autism Spectrum Disorder where it affects signaling pathways involving proteins like mTOR. Understanding PTEN's role aids in unravelling the mechanistic underpinnings of these diseases paving the way for targeted therapeutic interventions.

Product protocols

For this product, it's our understanding that no specific protocols are required. You can visit:

Target data

Dual-specificity protein phosphatase, dephosphorylating tyrosine-, serine- and threonine-phosphorylated proteins (PubMed : 9187108, PubMed : 9256433, PubMed : 9616126). Also functions as a lipid phosphatase, removing the phosphate in the D3 position of the inositol ring of PtdIns(3,4,5)P3/phosphatidylinositol 3,4,5-trisphosphate, PtdIns(3,4)P2/phosphatidylinositol 3,4-diphosphate and PtdIns3P/phosphatidylinositol 3-phosphate with a preference for PtdIns(3,4,5)P3 (PubMed : 16824732, PubMed : 26504226, PubMed : 9593664, PubMed : 9811831). Furthermore, this enzyme can also act as a cytosolic inositol 3-phosphatase acting on Ins(1,3,4,5,6)P5/inositol 1,3,4,5,6 pentakisphosphate and possibly Ins(1,3,4,5)P4/1D-myo-inositol 1,3,4,5-tetrakisphosphate (PubMed : 11418101, PubMed : 15979280). Antagonizes the PI3K-AKT/PKB signaling pathway by dephosphorylating phosphoinositides and thereby modulating cell cycle progression and cell survival (PubMed : 31492966, PubMed : 37279284). The unphosphorylated form cooperates with MAGI2 to suppress AKT1 activation (PubMed : 11707428). In motile cells, suppresses the formation of lateral pseudopods and thereby promotes cell polarization and directed movement (PubMed : 22279049). Dephosphorylates tyrosine-phosphorylated focal adhesion kinase and inhibits cell migration and integrin-mediated cell spreading and focal adhesion formation (PubMed : 22279049). Required for growth factor-induced epithelial cell migration; growth factor stimulation induces PTEN phosphorylation which changes its binding preference from the p85 regulatory subunit of the PI3K kinase complex to DLC1 and results in translocation of the PTEN-DLC1 complex to the posterior of migrating cells to promote RHOA activation (PubMed : 26166433). Meanwhile, TNS3 switches binding preference from DLC1 to p85 and the TNS3-p85 complex translocates to the leading edge of migrating cells to activate RAC1 activation (PubMed : 26166433). Plays a role as a key modulator of the AKT-mTOR signaling pathway controlling the tempo of the process of newborn neurons integration during adult neurogenesis, including correct neuron positioning, dendritic development and synapse formation (By similarity). Involved in the regulation of synaptic function in excitatory hippocampal synapses. Recruited to the postsynaptic membrane upon NMDA receptor activation, is required for the modulation of synaptic activity during plasticity. Enhancement of lipid phosphatase activity is able to drive depression of AMPA receptor-mediated synaptic responses, activity required for NMDA receptor-dependent long-term depression (LTD) (By similarity). May be a negative regulator of insulin signaling and glucose metabolism in adipose tissue. The nuclear monoubiquitinated form possesses greater apoptotic potential, whereas the cytoplasmic nonubiquitinated form induces less tumor suppressive ability (PubMed : 10468583, PubMed : 18716620).. Isoform alpha. Functional kinase, like isoform 1 it antagonizes the PI3K-AKT/PKB signaling pathway. Plays a role in mitochondrial energetic metabolism by promoting COX activity and ATP production, via collaboration with isoform 1 in increasing protein levels of PINK1.
See full target information PTEN

Publications (23)

Recent publications for all applications. Explore the full list and refine your search

Neoplasia (New York, N.Y.) 59:101082 PubMed39522321

2024

A novel regulatory axis of MSI2-AGO2/miR-30a-3p-CGRRF1 drives cancer chemoresistance by upregulating the KRAS/ERK pathway.

Applications

Unspecified application

Species

Unspecified reactive species

Runhui Lu,Yafan Zhang,Ran Chen,Lian Li,Caihu Huang,Zihan Zhou,Yingting Cao,Hongyan Li,Junya Li,Yixin Zhang,Yanli Wang,Jian Huang,Xian Zhao,Jing Feng,Jianxiu Yu,Chunling Du

Journal of biochemical and molecular toxicology 37:e23297 PubMed36639866

2023

Circ-ERBB2 knockdown sensitized colorectal cancer cells to 5-FU via miR-181a-5p/PTEN/Akt pathway.

Applications

Unspecified application

Species

Unspecified reactive species

Yueli Zhang,Xinchun Wang,Shuyun Wang,Jia Liu,Ruijia Li,Xiaoxia Li,Rui Zhang

Human cell 34:1174-1184 PubMed33821441

2021

Circular RNA circ-PTEN elevates PTEN inhibiting the proliferation of non-small cell lung cancer cells.

Applications

Unspecified application

Species

Unspecified reactive species

Yuan Wang,Zibo Wang,Jibin Lu,Hongyan Zhang

Journal of molecular histology 52:419-426 PubMed33675502

2021

LncRNA TRHDE-AS1 inhibit the scar fibroblasts proliferation via miR-181a-5p/PTEN axis.

Applications

Unspecified application

Species

Unspecified reactive species

Yanping Wei,Tingting Wang,Ningning Zhang,Yunyun Ma,Siji Shi,Ruxing Zhang,Xianzhao Zheng,Lindong Zhao

Experimental cell research 395:112233 PubMed32810511

2020

Hsa_circ_0007494 suppresses prostate cancer progression via miR-616/PTEN axis.

Applications

Unspecified application

Species

Unspecified reactive species

Shilong Zhang,Xiangsheng Zhang,Guoxiao Chen,Xiaokang Zheng,Xiaobo Zhu,Lei Shan

Genes & diseases 9:252-267 PubMed35005122

2020

PTEN and AKT/GSK-3β/CRMP-2 signaling pathway are involved in neuronal apoptosis and axonal injury in early brain injury after SAH in rats.

Applications

Unspecified application

Species

Unspecified reactive species

Hong Chen,Chao Zhou,Jianfeng Zheng,Zhaosi Zhang,Yongbing Deng,Chongjie Cheng,Zongduo Guo,Gang Huo,Cheng Yin,Xiaochuan Sun

Aging 11:6053-6068 PubMed31469661

2019

LINC01198 promotes proliferation and temozolomide resistance in a NEDD4-1-dependent manner, repressing PTEN expression in glioma.

Applications

Unspecified application

Species

Unspecified reactive species

Wei-Lin Chen,Hong-Jin Chen,Guo-Qiang Hou,Xiao-Hua Zhang,Jian-Wei Ge

Cancer management and research 11:5725-5735 PubMed31296997

2019

TRIM14 promotes cell proliferation and inhibits apoptosis by suppressing PTEN in colorectal cancer.

Applications

Unspecified application

Species

Unspecified reactive species

Weidong Shen,Zhonghai Jin,Xiuping Tong,Haiying Wang,Lilei Zhuang,Xiaofeng Lu,Shenbao Wu

Cell death and differentiation 27:130-145 PubMed31097787

2019

STAT3 dictates β-cell apoptosis by modulating PTEN in streptozocin-induced hyperglycemia.

Applications

Unspecified application

Species

Unspecified reactive species

Qinjie Weng,Mengting Zhao,Jiahuan Zheng,Lijun Yang,Zijie Xu,Zhikang Zhang,Jincheng Wang,Jiajia Wang,Bo Yang,Q Richard Lu,Meidan Ying,Qiaojun He

Experimental and therapeutic medicine 17:1337-1345 PubMed30680011

2019

Long non-coding RNA PVT1 promotes glioma cell proliferation and invasion by targeting miR-200a.

Applications

Unspecified application

Species

Unspecified reactive species

Yonghong Zhang,Gang Yang,Yicheng Luo
View all publications

Product promise

We are committed to supporting your work with high-quality reagents, and we're here for you every step of the way. In the unlikely event that one of our products does not perform as expected, you're protected by our Product Promise.
For full details, please see our Terms & Conditions

Please note: All products are 'FOR RESEARCH USE ONLY. NOT FOR USE IN DIAGNOSTIC OR THERAPEUTIC PROCEDURES'.

For licensing inquiries, please contact partnerships@abcam.com