JavaScript is disabled in your browser. Please enable JavaScript to view this website.
AB267791

Anti-PTEN antibody [EPR22636-122] - BSA and Azide free

  • BOND RX™ Validated
  • RabMAb
  • Recombinant
  • KO Validated
  • What is this?

0

(1 Review)

|

(0 Publication)

Anti-PTEN antibody [EPR22636-122] - BSA and Azide free (ab267791) is a rabbit recombinant monoclonal antibody provided in a PBS only buffer for easy conjugation detecting PTEN in Western Blot, Flow Cytometry (Intra), IP, IHC-P. Suitable for Human, Mouse, Rat.

- KO validated for confirmed specificity
- BSA, sodium azide, and glycerol-free for easy conjugation
- Biophysical QC for unrivalled batch-batch consistency

View Alternative Names

MMAC1, TEP1, PTEN, Inositol polyphosphate 3-phosphatase, Mutated in multiple advanced cancers 1, Phosphatase and tensin homolog

11 Images
Immunohistochemistry (Formalin/PFA-fixed paraffin-embedded sections) - Anti-PTEN antibody [EPR22636-122] - BSA and Azide free (AB267791)
  • IHC-P

Unknown

Immunohistochemistry (Formalin/PFA-fixed paraffin-embedded sections) - Anti-PTEN antibody [EPR22636-122] - BSA and Azide free (AB267791)

Immunohistochemical analysis of paraffin-embedded Human endometrial cancer tissue labeling PTEN with ab267787 at 1/2000 dilution (2.18 ug/ml) followed by a ready to use Rabbit specific IHC polymer detection kit HRP/DAB (ab209101). Positive staining on stroma of human endometrial cancer (PMID : 2230170). The section was incubated with ab267787 for 30 mins at room temperature. The immunostaining was performed on a Leica Biosystems BOND® RX instrument. Counterstained with Hematoxylin.

Secondary antibody only control : Secondary antibody is a ready to use Rabbit specific IHC polymer detection kit HRP/DAB (ab209101).

Heat mediated antigen retrieval with Tris-EDTA buffer (pH 9.0, epitope retrieval solution 2) for 20 mins.

This data was developed using the same antibody clone in a different buffer formulation containing PBS, BSA, glycerol, and sodium azide (ab267787).

Immunohistochemistry (Formalin/PFA-fixed paraffin-embedded sections) - Anti-PTEN antibody [EPR22636-122] - BSA and Azide free (AB267791)
  • IHC-P

Unknown

Immunohistochemistry (Formalin/PFA-fixed paraffin-embedded sections) - Anti-PTEN antibody [EPR22636-122] - BSA and Azide free (AB267791)

Immunohistochemical analysis of paraffin-embedded Human ovarian cancer tissue labeling PTEN with ab267787 at 1/2000 dilution (2.18 ug/ml) followed by a ready to use Rabbit specific IHC polymer detection kit HRP/DAB (ab209101). Positive staining on stroma of human ovarian cancer (PMID : 25608477). The section was incubated with ab267787 for 30 mins at room temperature. The immunostaining was performed on a Leica Biosystems BOND® RX instrument. Counterstained with Hematoxylin.

Secondary antibody only control : Secondary antibody is a ready to use Rabbit specific IHC polymer detection kit HRP/DAB (ab209101).

Heat mediated antigen retrieval with Tris-EDTA buffer (pH 9.0, epitope retrieval solution 2) for 20 mins.

This data was developed using the same antibody clone in a different buffer formulation containing PBS, BSA, glycerol, and sodium azide (ab267787).

Flow Cytometry (Intracellular) - Anti-PTEN antibody [EPR22636-122] - BSA and Azide free (AB267791)
  • Flow Cyt (Intra)

Unknown

Flow Cytometry (Intracellular) - Anti-PTEN antibody [EPR22636-122] - BSA and Azide free (AB267791)

Intracellular flow cytometric analysis of 4% paraformaldehyde fixed, 90% methanol permeabilized HeLa (Human cervix adenocarcinoma epithelial cell) cells labelling PTEN with ab267787 at 1/500 dilution (Red) compared with a Rabbit monoclonal IgG (ab172730) (Black) isotype control and an unlabelled control (cells without incubation with primary antibody and secondary antibody) (Blue). A Goat anti rabbit IgG (Alexa Fluor®488, ab150077) at 1/2000 dilution was used as the secondary antibody.

This data was developed using the same antibody clone in a different buffer formulation containing PBS, BSA, glycerol, and sodium azide (ab267787).

Immunohistochemistry (Formalin/PFA-fixed paraffin-embedded sections) - Anti-PTEN antibody [EPR22636-122] - BSA and Azide free (AB267791)
  • IHC-P

Unknown

Immunohistochemistry (Formalin/PFA-fixed paraffin-embedded sections) - Anti-PTEN antibody [EPR22636-122] - BSA and Azide free (AB267791)

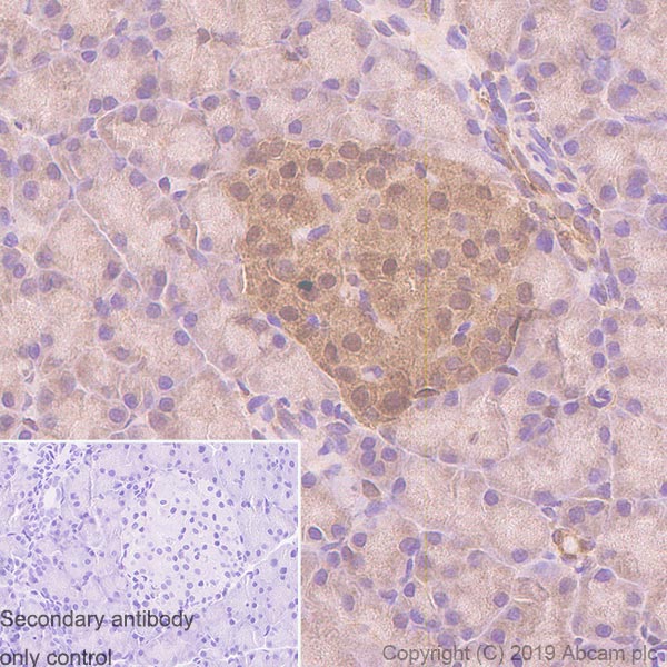
Immunohistochemical analysis of paraffin-embedded Human pancreas tissue labeling PTEN with ab267787 at 1/2000 dilution (2.18 ug/ml) followed by a ready to use Rabbit specific IHC polymer detection kit HRP/DAB (ab209101). Positive staining on human pancreas (PMID : 11021813). The section was incubated with ab267787 for 30 mins at room temperature. The immunostaining was performed on a Leica Biosystems BOND® RX instrument. Counterstained with Hematoxylin.

Secondary antibody only control : Secondary antibody is a ready to use Rabbit specific IHC polymer detection kit HRP/DAB (ab209101).

Heat mediated antigen retrieval with Tris-EDTA buffer (pH 9.0, epitope retrieval solution 2) for 20 mins.

This data was developed using the same antibody clone in a different buffer formulation containing PBS, BSA, glycerol, and sodium azide (ab267787).

Immunoprecipitation - Anti-PTEN antibody [EPR22636-122] - BSA and Azide free (AB267791)
  • IP

Unknown

Immunoprecipitation - Anti-PTEN antibody [EPR22636-122] - BSA and Azide free (AB267791)

PTEN was immunoprecipitated from 0.35 mg MCF7 (Human breast adenocarcinoma epithelial cell) whole cell lysate with ab267787 at 1/30 dilution (2ug in 0.35mg lysates). Western blot was performed on the immunoprecipitate using ab267787 at 1/1000 dilution. VeriBlot for IP Detection Reagent (HRP) (ab131366) was used at 1/5000 dilution.

Lane 1 : MCF7 (Human breast adenocarcinoma epithelial cell) whole cell lysate 10ug

Lane 2 : ab267787 IP in MCF7 whole cell lysate

Lane 3 : Rabbit monoclonal IgG (ab172730) instead of ab267787 in MCF7 whole cell lysate

Blocking and dilution buffer and concentration : 5% NFDM/TBST.

Exposure time : 15 seconds

This data was developed using the same antibody clone in a different buffer formulation containing PBS, BSA, glycerol, and sodium azide (ab267787).

All lanes:

Immunoprecipitation - Anti-PTEN antibody [EPR22636-122] (<a href='/en-us/products/primary-antibodies/pten-antibody-epr22636-122-ab267787'>ab267787</a>)

Predicted band size: 47 kDa

Observed band size: 54 kDa

false

Immunoprecipitation - Anti-PTEN antibody [EPR22636-122] - BSA and Azide free (AB267791)
  • IP

Unknown

Immunoprecipitation - Anti-PTEN antibody [EPR22636-122] - BSA and Azide free (AB267791)

PTEN was immunoprecipitated from 0.35 mg HeLa (Human cervix adenocarcinoma epithelial cell) whole cell lysate with ab267787 at 1/30 dilution (2ug in 0.35mg lysates). Western blot was performed on the immunoprecipitate using ab267787 at 1/1000 dilution. VeriBlot for IP Detection Reagent (HRP) (ab131366) was used at 1/5000 dilution.

Lane 1 : HeLa (Human cervix adenocarcinoma epithelial cell) whole cell lysate 10ug

Lane 2 : ab267787 IP in HeLa whole cell lysate

Lane 3 : Rabbit monoclonal IgG (ab172730) instead of ab267787 in HeLa whole cell lysate

Blocking and dilution buffer and concentration : 5% NFDM/TBST.

Exposure time : 15 seconds

This data was developed using the same antibody clone in a different buffer formulation containing PBS, BSA, glycerol, and sodium azide (ab267787).

All lanes:

Immunoprecipitation - Anti-PTEN antibody [EPR22636-122] (<a href='/en-us/products/primary-antibodies/pten-antibody-epr22636-122-ab267787'>ab267787</a>)

Predicted band size: 47 kDa

Observed band size: 54 kDa

false

Flow Cytometry (Intracellular) - Anti-PTEN antibody [EPR22636-122] - BSA and Azide free (AB267791)
  • Flow Cyt (Intra)

Unknown

Flow Cytometry (Intracellular) - Anti-PTEN antibody [EPR22636-122] - BSA and Azide free (AB267791)

Intracellular flow cytometric analysis of 4% paraformaldehyde fixed, 90% methanol permeabilized NIH/3T3 (Mouse embryonic fibroblast) cells labelling PTEN with ab267787 at 1/500 dilution (Red) compared with a Rabbit monoclonal IgG (ab172730) (Black) isotype control and an unlabelled control (cells without incubation with primary antibody and secondary antibody) (Blue). A Goat anti rabbit IgG (Alexa Fluor®488, ab150077) at 1/2000 dilution was used as the secondary antibody.

This data was developed using the same antibody clone in a different buffer formulation containing PBS, BSA, glycerol, and sodium azide (ab267787).

Immunohistochemistry (Formalin/PFA-fixed paraffin-embedded sections) - Anti-PTEN antibody [EPR22636-122] - BSA and Azide free (AB267791)
  • IHC-P

Unknown

Immunohistochemistry (Formalin/PFA-fixed paraffin-embedded sections) - Anti-PTEN antibody [EPR22636-122] - BSA and Azide free (AB267791)

Immunohistochemical analysis of paraffin-embedded Mouse pancreas tissue labeling PTEN with ab267787 at 1/2000 dilution (2.18 ug/ml) followed by a ready to use Rabbit specific IHC polymer detection kit HRP/DAB (ab209101). Positive staining on mouse pancreas (PMID : 11021813). The section was incubated with ab267787 for 30 mins at room temperature. The immunostaining was performed on a Leica Biosystems BOND® RX instrument. Counterstained with Hematoxylin.

Secondary antibody only control : Secondary antibody is a ready to use Rabbit specific IHC polymer detection kit HRP/DAB (ab209101).

Heat mediated antigen retrieval with Tris-EDTA buffer (pH 9.0, epitope retrieval solution 2) for 20 mins.

This data was developed using the same antibody clone in a different buffer formulation containing PBS, BSA, glycerol, and sodium azide (ab267787).

Immunohistochemistry (Formalin/PFA-fixed paraffin-embedded sections) - Anti-PTEN antibody [EPR22636-122] - BSA and Azide free (AB267791)
  • IHC-P

Unknown

Immunohistochemistry (Formalin/PFA-fixed paraffin-embedded sections) - Anti-PTEN antibody [EPR22636-122] - BSA and Azide free (AB267791)

Immunohistochemical analysis of paraffin-embedded Rat pancreas tissue labeling PTEN with ab267787 at 1/2000 dilution (2.18 ug/ml) followed by a ready to use Rabbit specific IHC polymer detection kit HRP/DAB (ab209101). Positive staining on rat pancreas (PMID : 11021813). The section was incubated with ab267787 for 30 mins at room temperature. The immunostaining was performed on a Leica Biosystems BOND® RX instrument. Counterstained with Hematoxylin.

Secondary antibody only control : Secondary antibody is a ready to use Rabbit specific IHC polymer detection kit HRP/DAB (ab209101).

Heat mediated antigen retrieval with Tris-EDTA buffer (pH 9.0, epitope retrieval solution 2) for 20 mins.

This data was developed using the same antibody clone in a different buffer formulation containing PBS, BSA, glycerol, and sodium azide (ab267787).

Western blot - Anti-PTEN antibody [EPR22636-122] - BSA and Azide free (AB267791)
  • WB

Unknown

Western blot - Anti-PTEN antibody [EPR22636-122] - BSA and Azide free (AB267791)

Blocking and dilution buffer : 5% NFDM/TBST.

Exposure times :

Lanes 1-4 : 3 seconds;
Lane 5 : 114 seconds.

ab267787 was shown to specifically react with PTEN in wild-type HAP1 cells as signal was lost in PTEN knockout cells. Wild-type and PTEN knockout samples were subjected to SDS-PAGE. ab267787 and ab181602 (Rabbit anti-GAPDH loading control) were incubated 1 hour at room temperature at 1/1000 dilution and 1/200,000 dilution respectively. Blots were developed with Goat Anti-Rabbit IgG, (H+L), Peroxidase conjugated (ab97051) secondary antibody at 1/20,000 dilution for 1 hour at room temperature before imaging.

The expression profile/ molecular weight observed is consistent with what has been described in the literature (PMID : 10514407).

Negative control : MDA-MB-468 (PMID : 21358673,15674339).

This data was developed using the same antibody clone in a different buffer formulation containing PBS, BSA, glycerol, and sodium azide (ab267787).

All lanes:

Western blot - Anti-PTEN antibody [EPR22636-122] (<a href='/en-us/products/primary-antibodies/pten-antibody-epr22636-122-ab267787'>ab267787</a>) at 1/1000 dilution

Lane 1:

Wild-type HAP1 (Human near-haploid cell line) whole cell lysate at 20 µg

Lane 2:

PTEN knockout HAP1 whole cell lysate at 20 µg

Lane 3:

MCF7 (human breast adenocarcinoma epithelial cell), whole cell lysate at 20 µg

Lane 4:

MDA-MB-468 (human breast adenocarcinoma epithelial cell), whole cell lysate at 20 µg

Lane 5:

HeLa (human cervix adenocarcinoma epithelial cell), whole cell lysate at 20 µg

Secondary

All lanes:

Western blot - Goat Anti-Rabbit IgG H&L (HRP) (<a href='/en-us/products/secondary-antibodies/goat-rabbit-igg-h-l-hrp-ab97051'>ab97051</a>) at 1/20000 dilution

Predicted band size: 47 kDa

Observed band size: 54 kDa

false

Western blot - Anti-PTEN antibody [EPR22636-122] - BSA and Azide free (AB267791)
  • WB

Unknown

Western blot - Anti-PTEN antibody [EPR22636-122] - BSA and Azide free (AB267791)

This data was developed using the same antibody clone in a different buffer formulation containing PBS, BSA, glycerol, and sodium azide (ab267787).

Blocking and dilution buffer : 5% NFDM/TBST.

Exposure times :

Lanes 1-6 : 3 seconds;
Lane 7 : 7 seconds.

The molecular weight observed is consistent with what has been described in the literature (PMID : 10514407).

All lanes:

Western blot - Anti-PTEN antibody [EPR22636-122] (<a href='/en-us/products/primary-antibodies/pten-antibody-epr22636-122-ab267787'>ab267787</a>) at 1/1000 dilution

Lane 1:

C6 (rat glial tumor glial cell), whole cell lysate at 10 µg

Lane 2:

RAW264.7 (mouse Abelson murine leukemia virus-induced tumor macrophage), whole cell lysate at 10 µg

Lane 3:

PC-12 (rat adrenal gland pheochromocytoma), whole cell lysate at 10 µg

Lane 4:

NIH/3T3 (mouse embryonic fibroblast), whole cell lysate at 10 µg

Lane 5:

Mouse kidney tissue lysate at 10 µg

Lane 6:

Mouse spleen tissue lysate at 10 µg

Lane 7:

Rat lung tissue lysate at 10 µg

Secondary

All lanes:

Western blot - Goat Anti-Rabbit IgG H&L (HRP) (<a href='/en-us/products/secondary-antibodies/goat-rabbit-igg-h-l-hrp-ab97051'>ab97051</a>) at 1/20000 dilution

Predicted band size: 47 kDa

Observed band size: 54 kDa

false

  • Unconjugated

    Anti-PTEN antibody [EPR22636-122]

  • 775 Alexa Fluor® 750

    Alexa Fluor® 750 Anti-PTEN antibody [EPR22636-122]

  • 578 PE

    PE Anti-PTEN antibody [EPR22636-122]

  • 660 APC

    APC Anti-PTEN antibody [EPR22636-122]

  • HRP

    HRP Anti-PTEN antibody [EPR22636-122]

  • 519 Alexa Fluor® 488

    Alexa Fluor® 488 Anti-PTEN antibody [EPR22636-122]

  • 665 Alexa Fluor® 647

    Alexa Fluor® 647 Anti-PTEN antibody [EPR22636-122]

  • 617 Alexa Fluor® 594

    Alexa Fluor® 594 Anti-PTEN antibody [EPR22636-122]

  • 565 Alexa Fluor® 555

    Alexa Fluor® 555 Anti-PTEN antibody [EPR22636-122]

  • 603 Alexa Fluor® 568

    Alexa Fluor® 568 Anti-PTEN antibody [EPR22636-122]

Key facts

Host species

Rabbit

Clonality

Monoclonal

Clone number

EPR22636-122

Isotype

IgG

Carrier free

Yes

Reacts with

Mouse, Rat, Human

Applications

IP, Flow Cyt (Intra), IHC-P, WB

applications

Immunogen

The exact immunogen used to generate this antibody is proprietary information.

Reactivity data

{ "title": "Reactivity Data", "filters": { "stats": ["", "Species", "Dilution Info", "Notes"], "tabs": { "all-applications": {"fullname" : "All Applications", "shortname": "All Applications"}, "IP" : {"fullname" : "Immunoprecipitation", "shortname":"IP"}, "WB" : {"fullname" : "Western blot", "shortname":"WB"}, "ICCIF" : {"fullname" : "Immunocytochemistry/ Immunofluorescence", "shortname":"ICC/IF"}, "FlowCytIntra" : {"fullname" : "Flow Cytometry (Intracellular)", "shortname":"Flow Cyt (Intra)"}, "IHCP" : {"fullname" : "Immunohistochemistry (Formalin/PFA-fixed paraffin-embedded sections)", "shortname":"IHC-P"} }, "product-promise": { "all": "all", "testedAndGuaranteed": "tested", "guaranteed": "expected", "predicted": "predicted", "notRecommended": "not-recommended" } }, "values": { "Human": { "IP-species-checked": "testedAndGuaranteed", "IP-species-dilution-info": "", "IP-species-notes": "<p></p>", "WB-species-checked": "testedAndGuaranteed", "WB-species-dilution-info": "", "WB-species-notes": "<p></p>", "ICCIF-species-checked": "notRecommended", "ICCIF-species-dilution-info": "", "ICCIF-species-notes": "<p></p>", "FlowCytIntra-species-checked": "testedAndGuaranteed", "FlowCytIntra-species-dilution-info": "", "FlowCytIntra-species-notes": "<p></p>", "IHCP-species-checked": "testedAndGuaranteed", "IHCP-species-dilution-info": "", "IHCP-species-notes": "<p></p>" }, "Mouse": { "IP-species-checked": "testedAndGuaranteed", "IP-species-dilution-info": "", "IP-species-notes": "<p></p>", "WB-species-checked": "testedAndGuaranteed", "WB-species-dilution-info": "", "WB-species-notes": "<p></p>", "ICCIF-species-checked": "notRecommended", "ICCIF-species-dilution-info": "", "ICCIF-species-notes": "<p></p>", "FlowCytIntra-species-checked": "testedAndGuaranteed", "FlowCytIntra-species-dilution-info": "", "FlowCytIntra-species-notes": "<p></p>", "IHCP-species-checked": "testedAndGuaranteed", "IHCP-species-dilution-info": "", "IHCP-species-notes": "<p></p>" }, "Rat": { "IP-species-checked": "guaranteed", "IP-species-dilution-info": "", "IP-species-notes": "", "WB-species-checked": "testedAndGuaranteed", "WB-species-dilution-info": "", "WB-species-notes": "<p></p>", "ICCIF-species-checked": "notRecommended", "ICCIF-species-dilution-info": "", "ICCIF-species-notes": "<p></p>", "FlowCytIntra-species-checked": "guaranteed", "FlowCytIntra-species-dilution-info": "", "FlowCytIntra-species-notes": "", "IHCP-species-checked": "testedAndGuaranteed", "IHCP-species-dilution-info": "", "IHCP-species-notes": "<p></p>" } } }

Product details

What is this antibody validated in?
Anti-PTEN antibody [EPR22636-122] - BSA and Azide free (ab267791) is a rabbit recombinant monoclonal antibody and is validated for use in Western Blot (WB), Flow Cytometry (Intra), Flow Cytometry (Flow Cyt), Immunoprecipitation (IP), Immunohistochemistry (IHC-P) in Human, Mouse, Rat samples.

What is the molecular weight of PTEN?
Anti-PTEN [EPR22636-122] - BSA and Azide free (ab267791) specifically detects a band for PTEN (UniProt: P60484) at a molecular weight of 47kDa.

Specificity confirmed
The specificity of Anti-PTEN antibody [EPR22636-122] - BSA and Azide free (ab267791) has been confirmed by Western blot testing in PTEN Knockout HAP1 cell line.

Other related products
We have a range of other formats of antibody clone [EPR22636-122] also available for your convenience: ab267787, Carrier free - ab267791, PE - ab305925, APC - ab305926, HRP - ab305927, Alkaline Phosphatase - ab308924, Alexa Fluor® 488 - ab309854, Alexa Fluor® 647 - ab310222, Alexa Fluor® 594 - ab310669, Alexa Fluor® 555 - ab312200, Alexa Fluor® 568 - ab312688, Alexa Fluor® 750 - ab321526

Patented technology
Our RabMAb® technology is a patented hybridoma-based technology for making rabbit monoclonal antibodies. For details on our patents, please refer to RabMAb® patents.

What are the advantages of a recombinant monoclonal antibody?
This product is a recombinant monoclonal antibody, which offers several advantages including:

  • - High batch-to-batch consistency and reproducibility
  • - Improved sensitivity and specificity
  • - Long-term security of supply
  • - Animal-free batch production

For more information, read more on recombinant antibodies.

Conjugation ready
Our carrier-free antibodies are typically supplied in a PBS-only formulation, purified and free of BSA, sodium azide and glycerol. This conjugation-ready format is designed for use with fluorochromes, metal isotopes, oligonucleotides, and enzymes, which makes them ideal for antibody labelling, functional and cell-based assays, flow-based assays (e.g. mass cytometry) and Multiplex Imaging applications.

Use our conjugation kits for antibody conjugates that are ready-to-use in as little as 20 minutes with 1 minute hands-on-time and 100% antibody recovery: available for fluorescent dyes, HRP, biotin and gold.

Compatibility
This product is compatible with the Maxpar® Antibody Labeling Kit from Fluidigm, without the need for antibody preparation. Maxpar® is a trademark of Fluidigm Canada Inc.

Properties and storage information

Form
Liquid
Purification technique
Affinity purification Protein A
Storage buffer
pH: 7.2 - 7.4 Constituents: PBS
Shipped at conditions
Blue Ice
Appropriate short-term storage conditions
+4°C
Appropriate long-term storage conditions
+4°C
Storage information
Do Not Freeze

Supplementary information

This supplementary information is collated from multiple sources and compiled automatically.

The PTEN protein also known as phosphatase and tensin homolog is a phosphatase enzyme with a molecular mass of approximately 47 kDa. It acts mechanically by removing phosphate groups from phosphatidylinositol (345)-trisphosphate (PIP3) converting it to phosphatidylinositol (45)-bisphosphate. PTEN is ubiquitously expressed in various tissues with pronounced presence in the brain lung kidney and testis. This enzyme is an important regulator of cellular functions through its impact on signaling pathways.
Biological function summary

PTEN plays important roles in cellular processes like apoptosis cell proliferation and migration. It negatively regulates the PI3K/AKT signaling pathway critical for cell survival and growth. PTEN is not part of a larger protein complex but interacts with various other proteins modulating its activity. It maintains cellular homeostasis by balancing growth-promoting signals with cell cycle arrest and apoptotic pathways.

Pathways

PTEN is an important component in the PI3K/AKT and mTOR signaling pathways. These pathways regulate cell growth metabolism and survival and are interlinked with insulin signaling and cancer progression. PTEN's function directly interacts with proteins such as AKT and mTOR serving as a checkpoint that ensures controlled cellular proliferation. This positions PTEN as a tumor suppressor inhibiting uncontrolled cell growth via modulation of these pathways.

PTEN mutations or deletions are strongly associated with various types of cancers including breast and prostate cancer. PTEN interaction with the PI3K/AKT pathway influences cancer development often through loss-of-function mutations leading to unrestrained cellular growth. Beyond cancer PTEN mutations also relate to neurological disorders like Autism Spectrum Disorder where it affects signaling pathways involving proteins like mTOR. Understanding PTEN's role aids in unravelling the mechanistic underpinnings of these diseases paving the way for targeted therapeutic interventions.

Product protocols

For this product, it's our understanding that no specific protocols are required. You can visit:

Target data

Dual-specificity protein phosphatase, dephosphorylating tyrosine-, serine- and threonine-phosphorylated proteins (PubMed : 9187108, PubMed : 9256433, PubMed : 9616126). Also functions as a lipid phosphatase, removing the phosphate in the D3 position of the inositol ring of PtdIns(3,4,5)P3/phosphatidylinositol 3,4,5-trisphosphate, PtdIns(3,4)P2/phosphatidylinositol 3,4-diphosphate and PtdIns3P/phosphatidylinositol 3-phosphate with a preference for PtdIns(3,4,5)P3 (PubMed : 16824732, PubMed : 26504226, PubMed : 9593664, PubMed : 9811831). Furthermore, this enzyme can also act as a cytosolic inositol 3-phosphatase acting on Ins(1,3,4,5,6)P5/inositol 1,3,4,5,6 pentakisphosphate and possibly Ins(1,3,4,5)P4/1D-myo-inositol 1,3,4,5-tetrakisphosphate (PubMed : 11418101, PubMed : 15979280). Antagonizes the PI3K-AKT/PKB signaling pathway by dephosphorylating phosphoinositides and thereby modulating cell cycle progression and cell survival (PubMed : 31492966, PubMed : 37279284). The unphosphorylated form cooperates with MAGI2 to suppress AKT1 activation (PubMed : 11707428). In motile cells, suppresses the formation of lateral pseudopods and thereby promotes cell polarization and directed movement (PubMed : 22279049). Dephosphorylates tyrosine-phosphorylated focal adhesion kinase and inhibits cell migration and integrin-mediated cell spreading and focal adhesion formation (PubMed : 22279049). Required for growth factor-induced epithelial cell migration; growth factor stimulation induces PTEN phosphorylation which changes its binding preference from the p85 regulatory subunit of the PI3K kinase complex to DLC1 and results in translocation of the PTEN-DLC1 complex to the posterior of migrating cells to promote RHOA activation (PubMed : 26166433). Meanwhile, TNS3 switches binding preference from DLC1 to p85 and the TNS3-p85 complex translocates to the leading edge of migrating cells to activate RAC1 activation (PubMed : 26166433). Plays a role as a key modulator of the AKT-mTOR signaling pathway controlling the tempo of the process of newborn neurons integration during adult neurogenesis, including correct neuron positioning, dendritic development and synapse formation (By similarity). Involved in the regulation of synaptic function in excitatory hippocampal synapses. Recruited to the postsynaptic membrane upon NMDA receptor activation, is required for the modulation of synaptic activity during plasticity. Enhancement of lipid phosphatase activity is able to drive depression of AMPA receptor-mediated synaptic responses, activity required for NMDA receptor-dependent long-term depression (LTD) (By similarity). May be a negative regulator of insulin signaling and glucose metabolism in adipose tissue. The nuclear monoubiquitinated form possesses greater apoptotic potential, whereas the cytoplasmic nonubiquitinated form induces less tumor suppressive ability (PubMed : 10468583, PubMed : 18716620).. Isoform alpha. Functional kinase, like isoform 1 it antagonizes the PI3K-AKT/PKB signaling pathway. Plays a role in mitochondrial energetic metabolism by promoting COX activity and ATP production, via collaboration with isoform 1 in increasing protein levels of PINK1.
See full target information PTEN

Product promise

We are committed to supporting your work with high-quality reagents, and we're here for you every step of the way. In the unlikely event that one of our products does not perform as expected, you're protected by our Product Promise.
For full details, please see our Terms & Conditions

Please note: All products are 'FOR RESEARCH USE ONLY. NOT FOR USE IN DIAGNOSTIC OR THERAPEUTIC PROCEDURES'.

For licensing inquiries, please contact partnerships@abcam.com