JavaScript is disabled in your browser. Please enable JavaScript to view this website.
AB273629

Anti-PTEN antibody [EPR23729-4] - BSA and Azide free

Be the first to review this product! Submit a review

|

(0 Publication)

Rabbit Recombinant Monoclonal PTEN antibody. Carrier free. Suitable for Flow Cyt (Intra), IP, WB and reacts with Human, Mouse, Rat samples.

View Alternative Names

MMAC1, TEP1, PTEN, Inositol polyphosphate 3-phosphatase, Mutated in multiple advanced cancers 1, Phosphatase and tensin homolog

6 Images
Flow Cytometry (Intracellular) - Anti-PTEN antibody [EPR23729-4] - BSA and Azide free (AB273629)
  • Flow Cyt (Intra)

Unknown

Flow Cytometry (Intracellular) - Anti-PTEN antibody [EPR23729-4] - BSA and Azide free (AB273629)

Intracellular flow cytometric analysis of 4% paraformaldehyde fixed 90% methanol permeabilized MCF7 (Human breast adenocarcinoma epithelial cell) cells labelling PTEN with ab260011 at 1/60 dilution (1ug) (Red) compared with a Rabbit monoclonal IgG (ab172730) (Black) isotype control and an unlabelled control (cells without incubation with primary antibody and secondary antibody) (Blue).

A Goat anti rabbit IgG (Alexa Fluor®488, ab150077) at 1/2000 dilution was used as the secondary antibody.

This data was developed using the same antibody clone in a different buffer formulation containing PBS, BSA, glycerol, and sodium azide (ab260011).

Flow Cytometry (Intracellular) - Anti-PTEN antibody [EPR23729-4] - BSA and Azide free (AB273629)
  • Flow Cyt (Intra)

Unknown

Flow Cytometry (Intracellular) - Anti-PTEN antibody [EPR23729-4] - BSA and Azide free (AB273629)

Intracellular flow cytometric analysis of 4% paraformaldehyde fixed, 90% methanol permeabilized Parental HAP1 (Wildtype control Human chronic myelogenous leukemia near-haploid cell line) (Right) / PTEN KO HAP1 (Left) cells labelling PTEN with ab260011 at 1/600 dilution (0.1ug) (Red) compared with a Rabbit monoclonal IgG (ab172730) (Black) isotype control and an unlabelled control (cells without incubation with primary antibody and secondary antibody) (Blue).

A Goat anti rabbit IgG (Alexa Fluor®488, ab150077) at 1/2000 dilution was used as the secondary antibody.

This data was developed using the same antibody clone in a different buffer formulation containing PBS, BSA, glycerol, and sodium azide (ab260011).

Flow Cytometry (Intracellular) - Anti-PTEN antibody [EPR23729-4] - BSA and Azide free (AB273629)
  • Flow Cyt (Intra)

Unknown

Flow Cytometry (Intracellular) - Anti-PTEN antibody [EPR23729-4] - BSA and Azide free (AB273629)

Intracellular flow cytometric analysis of 4% paraformaldehyde fixed, 90% methanol permeabilized NIH/3T3 (Mouse embryonic fibroblast) cells labelling PTEN with ab260011 at 1/60 dilution (1ug) (Red) compared with a Rabbit monoclonal IgG (ab172730) (Black) isotype control and an unlabelled control (cells without incubation with primary antibody and secondary antibody) (Blue).

A Goat anti rabbit IgG (Alexa Fluor®488, ab150077) at 1/2000 dilution was used as the secondary antibody.

This data was developed using the same antibody clone in a different buffer formulation containing PBS, BSA, glycerol, and sodium azide (ab260011).

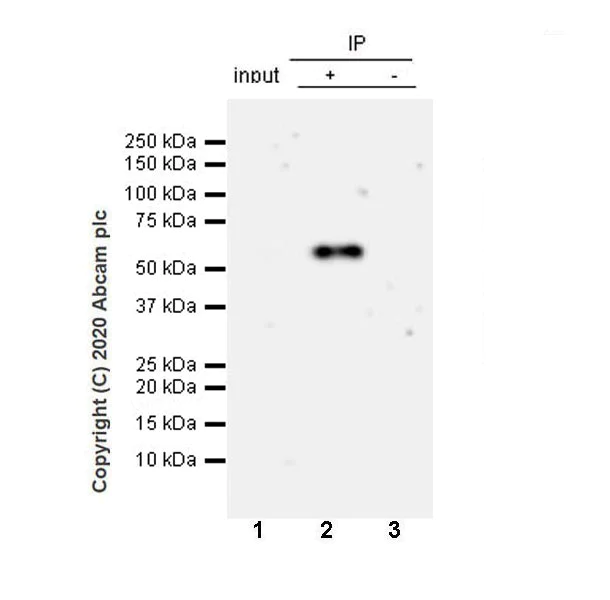
Immunoprecipitation - Anti-PTEN antibody [EPR23729-4] - BSA and Azide free (AB273629)
  • IP

Unknown

Immunoprecipitation - Anti-PTEN antibody [EPR23729-4] - BSA and Azide free (AB273629)

PTEN was immunoprecipitated from 0.35 mg NIH/3T3 (mouse embryonic fibroblast), whole cell lysate with ab260011 at 1/30 dilution (2ug in 0.35mg lysates). Western blot was performed on the immunoprecipitate using ab260011 at 1/1000 dilution. VeriBlot for IP Detection Reagent (HRP)(ab131366) was used at 1/5000 dilution.

Lane 1 : NIH/3T3 (mouse embryonic fibroblast), whole cell lysate 10 ug

Lane 2 : ab260011 IP in NIH/3T3 whole cell lysate

Lane 3 : Rabbit monoclonal IgG (ab172730) instead of ab260011 in NIH/3T3 whole cell lysate

Blocking and dilution buffer and concentration : 5% NFDM/TBST.

Exposure time : 3 minutes.

This data was developed using the same antibody clone in a different buffer formulation containing PBS, BSA, glycerol, and sodium azide (ab260011).

All lanes:

Immunoprecipitation - Anti-PTEN antibody [EPR23729-4] (<a href='/en-us/products/primary-antibodies/pten-antibody-epr23729-4-ab260011'>ab260011</a>)

Predicted band size: 47 kDa

false

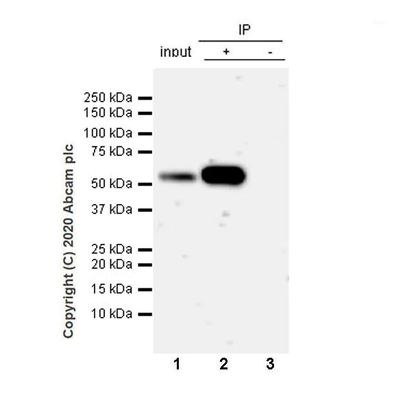
Immunoprecipitation - Anti-PTEN antibody [EPR23729-4] - BSA and Azide free (AB273629)
  • IP

Unknown

Immunoprecipitation - Anti-PTEN antibody [EPR23729-4] - BSA and Azide free (AB273629)

PTEN was immunoprecipitated from 0.35 mg MCF7 (human breast adenocarcinoma epithelial cell), whole cell lysate with ab260011 at 1/30 dilution (2ug in 0.35mg lysates). Western blot was performed on the immunoprecipitate using ab260011 at 1/1000 dilution. VeriBlot for IP Detection Reagent (HRP)(ab131366) was used at 1/5000 dilution.

Lane 1 : MCF7 (human breast adenocarcinoma epithelial cell), whole cell lysate 10 ug

Lane 2 : ab260011 IP in MCF7 whole cell lysate

Lane 3 : Rabbit monoclonal IgG (ab172730) instead of ab260011 in MCF7 whole cell lysate

Blocking and dilution buffer and concentration : 5% NFDM/TBST.

Exposure time : 3 minutes.

This data was developed using the same antibody clone in a different buffer formulation containing PBS, BSA, glycerol, and sodium azide (ab260011).

All lanes:

Immunoprecipitation - Anti-PTEN antibody [EPR23729-4] (<a href='/en-us/products/primary-antibodies/pten-antibody-epr23729-4-ab260011'>ab260011</a>)

Predicted band size: 47 kDa

false

Western blot - Anti-PTEN antibody [EPR23729-4] - BSA and Azide free (AB273629)
  • WB

Lab

Western blot - Anti-PTEN antibody [EPR23729-4] - BSA and Azide free (AB273629)

Blocking and diluting buffer and concentration : 5% NFDM/TBST.

Exposure time : 59 seconds.

This data was developed using the same antibody clone in a different buffer formulation containing PBS, BSA, glycerol, and sodium azide (ab260011).

All lanes:

Western blot - Anti-PTEN antibody [EPR23729-4] (<a href='/en-us/products/primary-antibodies/pten-antibody-epr23729-4-ab260011'>ab260011</a>) at 1/1000 dilution

Lane 1:

Wild-type HAP1 whole cell lysate at 20 µg

Lane 2:

PTEN knockout HAP1 whole cell lysate at 20 µg

Secondary

All lanes:

Goat Anti-Rabbit IgG, (H+L), Peroxidase conjugated (<a href='/en-us/products/secondary-antibodies/goat-rabbit-igg-h-l-hrp-ab97051'>ab97051</a>) at 1/100000 dilution

Predicted band size: 47 kDa

Observed band size: 54 kDa

false

Key facts

Host species

Rabbit

Clonality

Monoclonal

Clone number

EPR23729-4

Isotype

IgG

Carrier free

Yes

Reacts with

Mouse, Rat, Human

Applications

Flow Cyt (Intra), WB, IP

applications

Immunogen

The exact immunogen used to generate this antibody is proprietary information.

Reactivity data

{ "title": "Reactivity Data", "filters": { "stats": ["", "Species", "Dilution Info", "Notes"], "tabs": { "all-applications": {"fullname" : "All Applications", "shortname": "All Applications"}, "ICCIF" : {"fullname" : "Immunocytochemistry/ Immunofluorescence", "shortname":"ICC/IF"}, "FlowCytIntra" : {"fullname" : "Flow Cytometry (Intracellular)", "shortname":"Flow Cyt (Intra)"}, "IP" : {"fullname" : "Immunoprecipitation", "shortname":"IP"}, "WB" : {"fullname" : "Western blot", "shortname":"WB"}, "IHCP" : {"fullname" : "Immunohistochemistry (Formalin/PFA-fixed paraffin-embedded sections)", "shortname":"IHC-P"} }, "product-promise": { "all": "all", "testedAndGuaranteed": "tested", "guaranteed": "expected", "predicted": "predicted", "notRecommended": "not-recommended" } }, "values": { "Human": { "ICCIF-species-checked": "notRecommended", "ICCIF-species-dilution-info": "", "ICCIF-species-notes": "<p></p>", "FlowCytIntra-species-checked": "testedAndGuaranteed", "FlowCytIntra-species-dilution-info": "", "FlowCytIntra-species-notes": "<p></p>", "IP-species-checked": "testedAndGuaranteed", "IP-species-dilution-info": "", "IP-species-notes": "<p></p>", "WB-species-checked": "testedAndGuaranteed", "WB-species-dilution-info": "", "WB-species-notes": "<p></p>", "IHCP-species-checked": "notRecommended", "IHCP-species-dilution-info": "", "IHCP-species-notes": "<p></p>" }, "Mouse": { "ICCIF-species-checked": "notRecommended", "ICCIF-species-dilution-info": "", "ICCIF-species-notes": "<p></p>", "FlowCytIntra-species-checked": "testedAndGuaranteed", "FlowCytIntra-species-dilution-info": "", "FlowCytIntra-species-notes": "<p></p>", "IP-species-checked": "testedAndGuaranteed", "IP-species-dilution-info": "", "IP-species-notes": "<p></p>", "WB-species-checked": "testedAndGuaranteed", "WB-species-dilution-info": "", "WB-species-notes": "<p></p>", "IHCP-species-checked": "notRecommended", "IHCP-species-dilution-info": "", "IHCP-species-notes": "<p></p>" }, "Rat": { "ICCIF-species-checked": "notRecommended", "ICCIF-species-dilution-info": "", "ICCIF-species-notes": "", "FlowCytIntra-species-checked": "guaranteed", "FlowCytIntra-species-dilution-info": "", "FlowCytIntra-species-notes": "", "IP-species-checked": "guaranteed", "IP-species-dilution-info": "", "IP-species-notes": "", "WB-species-checked": "testedAndGuaranteed", "WB-species-dilution-info": "", "WB-species-notes": "<p></p>", "IHCP-species-checked": "notRecommended", "IHCP-species-dilution-info": "", "IHCP-species-notes": "<p></p>" } } }

Product details

ab273629 is the carrier-free version of ab260011.

Patented technology
Our RabMAb® technology is a patented hybridoma-based technology for making rabbit monoclonal antibodies. For details on our patents, please refer to RabMAb® patents.

What are the advantages of a recombinant monoclonal antibody?
This product is a recombinant monoclonal antibody, which offers several advantages including:

  • - High batch-to-batch consistency and reproducibility
  • - Improved sensitivity and specificity
  • - Long-term security of supply
  • - Animal-free batch production

For more information, read more on recombinant antibodies.

Conjugation ready
Our carrier-free antibodies are typically supplied in a PBS-only formulation, purified and free of BSA, sodium azide and glycerol. This conjugation-ready format is designed for use with fluorochromes, metal isotopes, oligonucleotides, and enzymes, which makes them ideal for antibody labelling, functional and cell-based assays, flow-based assays (e.g. mass cytometry) and Multiplex Imaging applications.

Use our conjugation kits for antibody conjugates that are ready-to-use in as little as 20 minutes with 1 minute hands-on-time and 100% antibody recovery: available for fluorescent dyes, HRP, biotin and gold.

Compatibility
This product is compatible with the Maxpar® Antibody Labeling Kit from Fluidigm, without the need for antibody preparation. Maxpar® is a trademark of Fluidigm Canada Inc.

Properties and storage information

Form
Liquid
Purification technique
Affinity purification Protein A
Storage buffer
pH: 7.2 - 7.4 Constituents: PBS
Shipped at conditions
Blue Ice
Appropriate short-term storage conditions
+4°C
Appropriate long-term storage conditions
+4°C
Storage information
Do Not Freeze

Supplementary information

This supplementary information is collated from multiple sources and compiled automatically.

The PTEN protein also known as phosphatase and tensin homolog is a phosphatase enzyme with a molecular mass of approximately 47 kDa. It acts mechanically by removing phosphate groups from phosphatidylinositol (345)-trisphosphate (PIP3) converting it to phosphatidylinositol (45)-bisphosphate. PTEN is ubiquitously expressed in various tissues with pronounced presence in the brain lung kidney and testis. This enzyme is an important regulator of cellular functions through its impact on signaling pathways.
Biological function summary

PTEN plays important roles in cellular processes like apoptosis cell proliferation and migration. It negatively regulates the PI3K/AKT signaling pathway critical for cell survival and growth. PTEN is not part of a larger protein complex but interacts with various other proteins modulating its activity. It maintains cellular homeostasis by balancing growth-promoting signals with cell cycle arrest and apoptotic pathways.

Pathways

PTEN is an important component in the PI3K/AKT and mTOR signaling pathways. These pathways regulate cell growth metabolism and survival and are interlinked with insulin signaling and cancer progression. PTEN's function directly interacts with proteins such as AKT and mTOR serving as a checkpoint that ensures controlled cellular proliferation. This positions PTEN as a tumor suppressor inhibiting uncontrolled cell growth via modulation of these pathways.

PTEN mutations or deletions are strongly associated with various types of cancers including breast and prostate cancer. PTEN interaction with the PI3K/AKT pathway influences cancer development often through loss-of-function mutations leading to unrestrained cellular growth. Beyond cancer PTEN mutations also relate to neurological disorders like Autism Spectrum Disorder where it affects signaling pathways involving proteins like mTOR. Understanding PTEN's role aids in unravelling the mechanistic underpinnings of these diseases paving the way for targeted therapeutic interventions.

Product protocols

For this product, it's our understanding that no specific protocols are required. You can visit:

Target data

Dual-specificity protein phosphatase, dephosphorylating tyrosine-, serine- and threonine-phosphorylated proteins (PubMed : 9187108, PubMed : 9256433, PubMed : 9616126). Also functions as a lipid phosphatase, removing the phosphate in the D3 position of the inositol ring of PtdIns(3,4,5)P3/phosphatidylinositol 3,4,5-trisphosphate, PtdIns(3,4)P2/phosphatidylinositol 3,4-diphosphate and PtdIns3P/phosphatidylinositol 3-phosphate with a preference for PtdIns(3,4,5)P3 (PubMed : 16824732, PubMed : 26504226, PubMed : 9593664, PubMed : 9811831). Furthermore, this enzyme can also act as a cytosolic inositol 3-phosphatase acting on Ins(1,3,4,5,6)P5/inositol 1,3,4,5,6 pentakisphosphate and possibly Ins(1,3,4,5)P4/1D-myo-inositol 1,3,4,5-tetrakisphosphate (PubMed : 11418101, PubMed : 15979280). Antagonizes the PI3K-AKT/PKB signaling pathway by dephosphorylating phosphoinositides and thereby modulating cell cycle progression and cell survival (PubMed : 31492966, PubMed : 37279284). The unphosphorylated form cooperates with MAGI2 to suppress AKT1 activation (PubMed : 11707428). In motile cells, suppresses the formation of lateral pseudopods and thereby promotes cell polarization and directed movement (PubMed : 22279049). Dephosphorylates tyrosine-phosphorylated focal adhesion kinase and inhibits cell migration and integrin-mediated cell spreading and focal adhesion formation (PubMed : 22279049). Required for growth factor-induced epithelial cell migration; growth factor stimulation induces PTEN phosphorylation which changes its binding preference from the p85 regulatory subunit of the PI3K kinase complex to DLC1 and results in translocation of the PTEN-DLC1 complex to the posterior of migrating cells to promote RHOA activation (PubMed : 26166433). Meanwhile, TNS3 switches binding preference from DLC1 to p85 and the TNS3-p85 complex translocates to the leading edge of migrating cells to activate RAC1 activation (PubMed : 26166433). Plays a role as a key modulator of the AKT-mTOR signaling pathway controlling the tempo of the process of newborn neurons integration during adult neurogenesis, including correct neuron positioning, dendritic development and synapse formation (By similarity). Involved in the regulation of synaptic function in excitatory hippocampal synapses. Recruited to the postsynaptic membrane upon NMDA receptor activation, is required for the modulation of synaptic activity during plasticity. Enhancement of lipid phosphatase activity is able to drive depression of AMPA receptor-mediated synaptic responses, activity required for NMDA receptor-dependent long-term depression (LTD) (By similarity). May be a negative regulator of insulin signaling and glucose metabolism in adipose tissue. The nuclear monoubiquitinated form possesses greater apoptotic potential, whereas the cytoplasmic nonubiquitinated form induces less tumor suppressive ability (PubMed : 10468583, PubMed : 18716620).. Isoform alpha. Functional kinase, like isoform 1 it antagonizes the PI3K-AKT/PKB signaling pathway. Plays a role in mitochondrial energetic metabolism by promoting COX activity and ATP production, via collaboration with isoform 1 in increasing protein levels of PINK1.
See full target information PTEN

Product promise

We are committed to supporting your work with high-quality reagents, and we're here for you every step of the way. In the unlikely event that one of our products does not perform as expected, you're protected by our Product Promise.
For full details, please see our Terms & Conditions

Please note: All products are 'FOR RESEARCH USE ONLY. NOT FOR USE IN DIAGNOSTIC OR THERAPEUTIC PROCEDURES'.

For licensing inquiries, please contact partnerships@abcam.com